揭示阴道纤维化:一种使用博来霉素和上皮破坏的新小鼠模型。

妇产科期刊(英文) Pub Date : 2025-03-01 Epub Date: 2025-03-19 DOI:10.4236/ojog.2025.153033
Jennifer M McCracken, Gisele A Calderon, Felipe Rivas, Dorothea Erxleben, Taylor Moseley, Lishore A Kumar, Daniel E Kennedy, Swathi Balaji, Adam Hall, Julie C E Hakim
{"title":"揭示阴道纤维化:一种使用博来霉素和上皮破坏的新小鼠模型。","authors":"Jennifer M McCracken, Gisele A Calderon, Felipe Rivas, Dorothea Erxleben, Taylor Moseley, Lishore A Kumar, Daniel E Kennedy, Swathi Balaji, Adam Hall, Julie C E Hakim","doi":"10.4236/ojog.2025.153033","DOIUrl":null,"url":null,"abstract":"<p><p>Vaginal fibrosis induced by cancer therapy continues to take a physical and psychoemotional burden. To advance the efforts to generate a reproducible and cost-effective animal model, we tested the effect of repeated bleomycin instillations with mucosal layer disruption on induction of vaginal fibrosis. Tissue samples collected at various time points were analyzed for fibrosis-related gene expression changes and collagen content. Low (1.5 U/kg) and high-dose (2.5 U/kg) bleomycin instillations alone did not induce fibrosis, but when high-dose bleomycin was combined with epithelial disruption, increased profibrotic gene expression and trichrome staining were observed. To evaluate spatial and temporal changes in the ECM structure and gene expression, tissue samples were collected at 1 day, 3 weeks, and 6 weeks after bleomycin and epithelial disruption. Data analyses revealed a significant decrease in matrix metabolizing genes and an increase in pro-fibrotic genes and inhibitors of matrix metabolizing genes in the bleomycin plus epithelial disruption group at 3 weeks. Elevated levels of the profibrotic genes <i>Acta2</i>, <i>Col1a1</i>, and <i>Col3a</i> were exclusively detected in this group at 3 weeks, and trichrome staining confirmed increased collagen content after 3 weeks. Both average hyaluronan (HA) size and mass distribution were increased 3 weeks after bleomycin plus epithelial disruption with return to baseline by 6 weeks. Epithelial disruption combined with bleomycin induces murine vaginal fibrosis within three weeks, characterized by increased collagen synthesis. The vaginal tissue fully recovers within six weeks, elucidating the regenerative capacity of the vagina.</p>","PeriodicalId":67381,"journal":{"name":"妇产科期刊(英文)","volume":"15 3","pages":"371-386"},"PeriodicalIF":0.0000,"publicationDate":"2025-03-01","publicationTypes":"Journal Article","fieldsOfStudy":null,"isOpenAccess":false,"openAccessPdf":"https://www.ncbi.nlm.nih.gov/pmc/articles/PMC12392699/pdf/","citationCount":"0","resultStr":"{\"title\":\"Unveiling Vaginal Fibrosis: A Novel Murine Model Using Bleomycin and Epithelial Disruption.\",\"authors\":\"Jennifer M McCracken, Gisele A Calderon, Felipe Rivas, Dorothea Erxleben, Taylor Moseley, Lishore A Kumar, Daniel E Kennedy, Swathi Balaji, Adam Hall, Julie C E Hakim\",\"doi\":\"10.4236/ojog.2025.153033\",\"DOIUrl\":null,\"url\":null,\"abstract\":\"<p><p>Vaginal fibrosis induced by cancer therapy continues to take a physical and psychoemotional burden. To advance the efforts to generate a reproducible and cost-effective animal model, we tested the effect of repeated bleomycin instillations with mucosal layer disruption on induction of vaginal fibrosis. Tissue samples collected at various time points were analyzed for fibrosis-related gene expression changes and collagen content. Low (1.5 U/kg) and high-dose (2.5 U/kg) bleomycin instillations alone did not induce fibrosis, but when high-dose bleomycin was combined with epithelial disruption, increased profibrotic gene expression and trichrome staining were observed. To evaluate spatial and temporal changes in the ECM structure and gene expression, tissue samples were collected at 1 day, 3 weeks, and 6 weeks after bleomycin and epithelial disruption. Data analyses revealed a significant decrease in matrix metabolizing genes and an increase in pro-fibrotic genes and inhibitors of matrix metabolizing genes in the bleomycin plus epithelial disruption group at 3 weeks. Elevated levels of the profibrotic genes <i>Acta2</i>, <i>Col1a1</i>, and <i>Col3a</i> were exclusively detected in this group at 3 weeks, and trichrome staining confirmed increased collagen content after 3 weeks. Both average hyaluronan (HA) size and mass distribution were increased 3 weeks after bleomycin plus epithelial disruption with return to baseline by 6 weeks. Epithelial disruption combined with bleomycin induces murine vaginal fibrosis within three weeks, characterized by increased collagen synthesis. The vaginal tissue fully recovers within six weeks, elucidating the regenerative capacity of the vagina.</p>\",\"PeriodicalId\":67381,\"journal\":{\"name\":\"妇产科期刊(英文)\",\"volume\":\"15 3\",\"pages\":\"371-386\"},\"PeriodicalIF\":0.0000,\"publicationDate\":\"2025-03-01\",\"publicationTypes\":\"Journal Article\",\"fieldsOfStudy\":null,\"isOpenAccess\":false,\"openAccessPdf\":\"https://www.ncbi.nlm.nih.gov/pmc/articles/PMC12392699/pdf/\",\"citationCount\":\"0\",\"resultStr\":null,\"platform\":\"Semanticscholar\",\"paperid\":null,\"PeriodicalName\":\"妇产科期刊(英文)\",\"FirstCategoryId\":\"3\",\"ListUrlMain\":\"https://doi.org/10.4236/ojog.2025.153033\",\"RegionNum\":0,\"RegionCategory\":null,\"ArticlePicture\":[],\"TitleCN\":null,\"AbstractTextCN\":null,\"PMCID\":null,\"EPubDate\":\"2025/3/19 0:00:00\",\"PubModel\":\"Epub\",\"JCR\":\"\",\"JCRName\":\"\",\"Score\":null,\"Total\":0}","platform":"Semanticscholar","paperid":null,"PeriodicalName":"妇产科期刊(英文)","FirstCategoryId":"3","ListUrlMain":"https://doi.org/10.4236/ojog.2025.153033","RegionNum":0,"RegionCategory":null,"ArticlePicture":[],"TitleCN":null,"AbstractTextCN":null,"PMCID":null,"EPubDate":"2025/3/19 0:00:00","PubModel":"Epub","JCR":"","JCRName":"","Score":null,"Total":0}
引用次数: 0

摘要

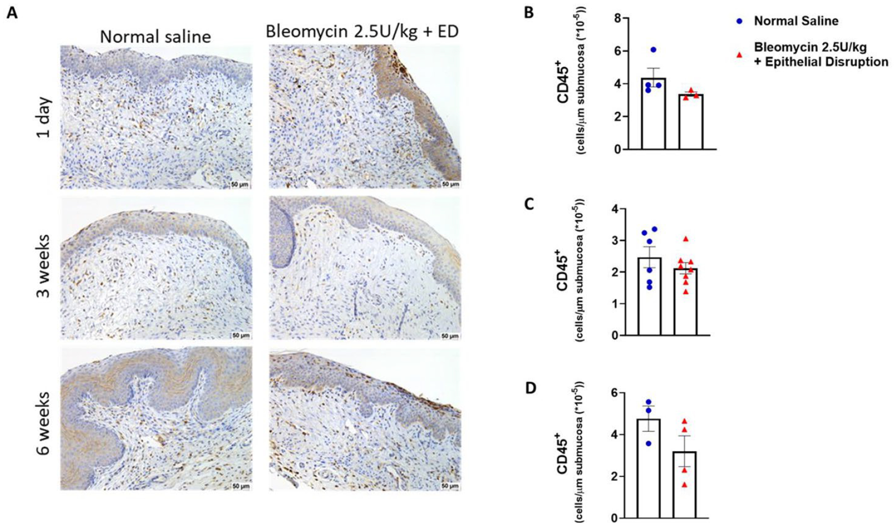
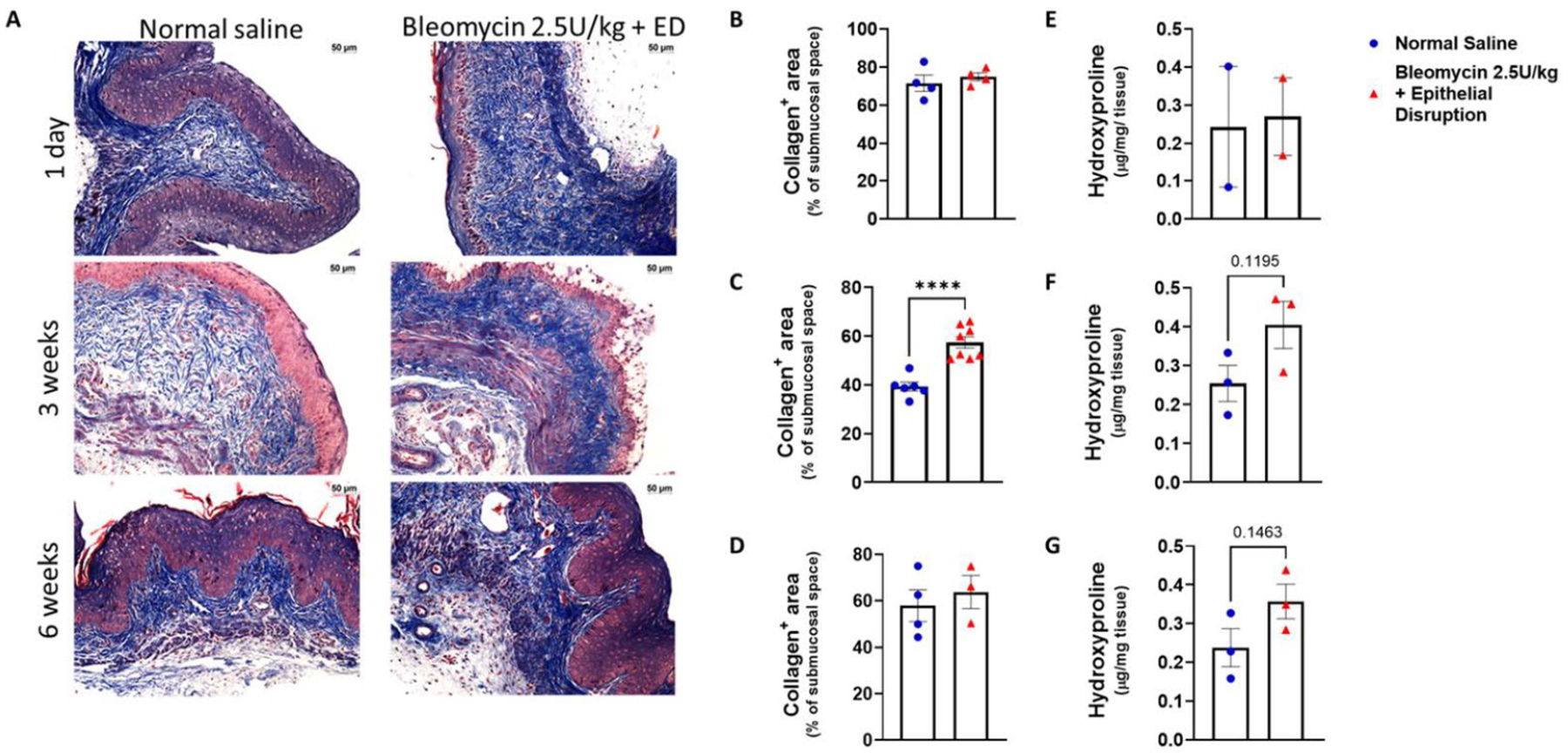
由癌症治疗引起的阴道纤维化继续带来身体和精神上的负担。为了进一步建立一个可重复且成本效益高的动物模型,我们测试了反复滴注博来霉素并破坏粘膜层对阴道纤维化的影响。在不同时间点收集组织样本,分析纤维相关基因表达变化和胶原含量。低剂量(1.5 U/kg)和高剂量(2.5 U/kg)博来霉素单独滴注不诱导纤维化,但当高剂量博来霉素联合上皮破坏时,观察到促纤维化基因表达和三色染色增加。为了评估ECM结构和基因表达的时空变化,在博莱霉素和上皮破坏后1天、3周和6周收集组织样本。数据分析显示,博来霉素加上皮破坏组在3周时基质代谢基因显著减少,促纤维化基因和基质代谢基因抑制剂增加。3周时,该组仅检测到促纤维化基因Acta2、Col1a1和Col3a水平升高,3周后三色染色证实胶原蛋白含量升高。博莱霉素加上皮破坏后3周,平均透明质酸(HA)大小和质量分布均增加,6周后恢复到基线水平。上皮破坏联合博来霉素可在三周内诱导小鼠阴道纤维化,其特征是胶原合成增加。阴道组织在六周内完全恢复,说明了阴道的再生能力。
本文章由计算机程序翻译,如有差异,请以英文原文为准。

Unveiling Vaginal Fibrosis: A Novel Murine Model Using Bleomycin and Epithelial Disruption.

Unveiling Vaginal Fibrosis: A Novel Murine Model Using Bleomycin and Epithelial Disruption.

Unveiling Vaginal Fibrosis: A Novel Murine Model Using Bleomycin and Epithelial Disruption.

Unveiling Vaginal Fibrosis: A Novel Murine Model Using Bleomycin and Epithelial Disruption.

Vaginal fibrosis induced by cancer therapy continues to take a physical and psychoemotional burden. To advance the efforts to generate a reproducible and cost-effective animal model, we tested the effect of repeated bleomycin instillations with mucosal layer disruption on induction of vaginal fibrosis. Tissue samples collected at various time points were analyzed for fibrosis-related gene expression changes and collagen content. Low (1.5 U/kg) and high-dose (2.5 U/kg) bleomycin instillations alone did not induce fibrosis, but when high-dose bleomycin was combined with epithelial disruption, increased profibrotic gene expression and trichrome staining were observed. To evaluate spatial and temporal changes in the ECM structure and gene expression, tissue samples were collected at 1 day, 3 weeks, and 6 weeks after bleomycin and epithelial disruption. Data analyses revealed a significant decrease in matrix metabolizing genes and an increase in pro-fibrotic genes and inhibitors of matrix metabolizing genes in the bleomycin plus epithelial disruption group at 3 weeks. Elevated levels of the profibrotic genes Acta2, Col1a1, and Col3a were exclusively detected in this group at 3 weeks, and trichrome staining confirmed increased collagen content after 3 weeks. Both average hyaluronan (HA) size and mass distribution were increased 3 weeks after bleomycin plus epithelial disruption with return to baseline by 6 weeks. Epithelial disruption combined with bleomycin induces murine vaginal fibrosis within three weeks, characterized by increased collagen synthesis. The vaginal tissue fully recovers within six weeks, elucidating the regenerative capacity of the vagina.

求助全文
通过发布文献求助,成功后即可免费获取论文全文。 去求助
来源期刊
自引率
0.00%
发文量
1180
×
引用
GB/T 7714-2015
复制
MLA
复制
APA
复制
导出至
BibTeX EndNote RefMan NoteFirst NoteExpress
×
提示
您的信息不完整,为了账户安全,请先补充。
现在去补充
×
提示
您因"违规操作"
具体请查看互助需知
我知道了
×
提示
确定
请完成安全验证×
copy
已复制链接
快去分享给好友吧!
我知道了
右上角分享
点击右上角分享
0
联系我们:info@booksci.cn Book学术提供免费学术资源搜索服务,方便国内外学者检索中英文文献。致力于提供最便捷和优质的服务体验。 Copyright © 2023 布克学术 All rights reserved.
京ICP备2023020795号-1
ghs 京公网安备 11010802042870号
Book学术文献互助
Book学术文献互助群
群 号:604180095
Book学术官方微信