behaperet病和肺结核:揭露疑似耀斑背后的感染。

IF 1.7 4区 医学 Q4 INFECTIOUS DISEASES
Jobson Lopes de Oliveira, Igor Albuquerque Nogueira, Maurício Catunda Pinheiro Jucá, Afonso Rocha Eisele, Luís Arthur Brasil Gadelha Farias, Diana Arrais de Souza Rangel
{"title":"behaperet病和肺结核:揭露疑似耀斑背后的感染。","authors":"Jobson Lopes de Oliveira, Igor Albuquerque Nogueira, Maurício Catunda Pinheiro Jucá, Afonso Rocha Eisele, Luís Arthur Brasil Gadelha Farias, Diana Arrais de Souza Rangel","doi":"10.1590/S1678-9946202567052","DOIUrl":null,"url":null,"abstract":"<p><p>Behçet's disease (BD) is a chronic and multisystem disorder characterized by recurrent oral and genital ulcers, along with ocular, cutaneous, vascular, gastrointestinal, and neurologic manifestations. The etiology is thought to involve an autoimmune response triggered by infectious or environmental factors in genetically predisposed individuals. Mycobacterium tuberculosis has been proposed as a potential trigger for BD, although this association remains rarely reported. We show a compelling case of a patient with BD diagnostic criteria who subsequently developed mediastinal tuberculous lymphadenitis, which was initially suspected as disease activity. This case underscores the importance of considering tuberculosis in BD patients with new or worsening symptoms despite appropriate therapy.</p>","PeriodicalId":54466,"journal":{"name":"Revista Do Instituto De Medicina Tropical De Sao Paulo","volume":"67 ","pages":"e52"},"PeriodicalIF":1.7000,"publicationDate":"2025-08-18","publicationTypes":"Journal Article","fieldsOfStudy":null,"isOpenAccess":false,"openAccessPdf":"https://www.ncbi.nlm.nih.gov/pmc/articles/PMC12364497/pdf/","citationCount":"0","resultStr":"{\"title\":\"Behçet's disease and tuberculosis: unmasking infection behind a suspected flare.\",\"authors\":\"Jobson Lopes de Oliveira, Igor Albuquerque Nogueira, Maurício Catunda Pinheiro Jucá, Afonso Rocha Eisele, Luís Arthur Brasil Gadelha Farias, Diana Arrais de Souza Rangel\",\"doi\":\"10.1590/S1678-9946202567052\",\"DOIUrl\":null,\"url\":null,\"abstract\":\"<p><p>Behçet's disease (BD) is a chronic and multisystem disorder characterized by recurrent oral and genital ulcers, along with ocular, cutaneous, vascular, gastrointestinal, and neurologic manifestations. The etiology is thought to involve an autoimmune response triggered by infectious or environmental factors in genetically predisposed individuals. Mycobacterium tuberculosis has been proposed as a potential trigger for BD, although this association remains rarely reported. We show a compelling case of a patient with BD diagnostic criteria who subsequently developed mediastinal tuberculous lymphadenitis, which was initially suspected as disease activity. This case underscores the importance of considering tuberculosis in BD patients with new or worsening symptoms despite appropriate therapy.</p>\",\"PeriodicalId\":54466,\"journal\":{\"name\":\"Revista Do Instituto De Medicina Tropical De Sao Paulo\",\"volume\":\"67 \",\"pages\":\"e52\"},\"PeriodicalIF\":1.7000,\"publicationDate\":\"2025-08-18\",\"publicationTypes\":\"Journal Article\",\"fieldsOfStudy\":null,\"isOpenAccess\":false,\"openAccessPdf\":\"https://www.ncbi.nlm.nih.gov/pmc/articles/PMC12364497/pdf/\",\"citationCount\":\"0\",\"resultStr\":null,\"platform\":\"Semanticscholar\",\"paperid\":null,\"PeriodicalName\":\"Revista Do Instituto De Medicina Tropical De Sao Paulo\",\"FirstCategoryId\":\"3\",\"ListUrlMain\":\"https://doi.org/10.1590/S1678-9946202567052\",\"RegionNum\":4,\"RegionCategory\":\"医学\",\"ArticlePicture\":[],\"TitleCN\":null,\"AbstractTextCN\":null,\"PMCID\":null,\"EPubDate\":\"2025/1/1 0:00:00\",\"PubModel\":\"eCollection\",\"JCR\":\"Q4\",\"JCRName\":\"INFECTIOUS DISEASES\",\"Score\":null,\"Total\":0}","platform":"Semanticscholar","paperid":null,"PeriodicalName":"Revista Do Instituto De Medicina Tropical De Sao Paulo","FirstCategoryId":"3","ListUrlMain":"https://doi.org/10.1590/S1678-9946202567052","RegionNum":4,"RegionCategory":"医学","ArticlePicture":[],"TitleCN":null,"AbstractTextCN":null,"PMCID":null,"EPubDate":"2025/1/1 0:00:00","PubModel":"eCollection","JCR":"Q4","JCRName":"INFECTIOUS DISEASES","Score":null,"Total":0}
引用次数: 0

摘要

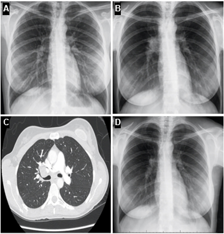
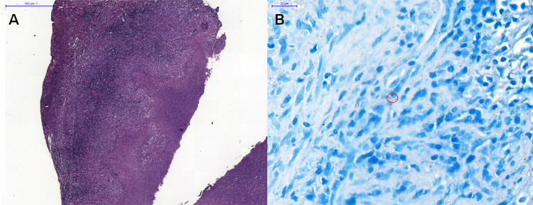
behet病(BD)是一种慢性多系统疾病,以复发性口腔和生殖器溃疡为特征,并伴有眼部、皮肤、血管、胃肠道和神经系统表现。病因被认为涉及由遗传易感个体的感染或环境因素引发的自身免疫反应。结核分枝杆菌被认为是双相障碍的潜在诱因,尽管这种关联很少被报道。我们展示了一个具有BD诊断标准的患者随后发展为纵隔结核性淋巴结炎的令人信服的病例,最初怀疑是疾病活动。本病例强调了在新发或症状恶化的双相障碍患者中考虑结核病的重要性,尽管有适当的治疗。
本文章由计算机程序翻译,如有差异,请以英文原文为准。

Behçet's disease and tuberculosis: unmasking infection behind a suspected flare.

Behçet's disease and tuberculosis: unmasking infection behind a suspected flare.

Behçet's disease and tuberculosis: unmasking infection behind a suspected flare.

Behçet's disease (BD) is a chronic and multisystem disorder characterized by recurrent oral and genital ulcers, along with ocular, cutaneous, vascular, gastrointestinal, and neurologic manifestations. The etiology is thought to involve an autoimmune response triggered by infectious or environmental factors in genetically predisposed individuals. Mycobacterium tuberculosis has been proposed as a potential trigger for BD, although this association remains rarely reported. We show a compelling case of a patient with BD diagnostic criteria who subsequently developed mediastinal tuberculous lymphadenitis, which was initially suspected as disease activity. This case underscores the importance of considering tuberculosis in BD patients with new or worsening symptoms despite appropriate therapy.

求助全文
通过发布文献求助,成功后即可免费获取论文全文。 去求助
来源期刊
CiteScore
3.60
自引率
5.30%
发文量
100
审稿时长
6-12 weeks
期刊介绍: The Revista do Instituto de Medicina Tropical de São Paulo (Journal of the São Paulo Institute of Tropical Medicine) is a journal devoted to research on different aspects of tropical infectious diseases. The journal welcomes original work on all infectious diseases, provided that data and results are directly linked to human health. The journal publishes, besides original articles, review articles, case reports, brief communications, and letters to the editor. The journal publishes manuscripts only in English. From 2016 on, the Revista do Instituto de Medicina Tropical de São Paulo (Journal of the São Paulo Institute of Tropical Medicine) is published online only, maintaining the free access. For more information visit: - http://www.scielo.br/rimtsp - http://www.imt.usp.br/revista-imt/
×
引用
GB/T 7714-2015
复制
MLA
复制
APA
复制
导出至
BibTeX EndNote RefMan NoteFirst NoteExpress
×
提示
您的信息不完整,为了账户安全,请先补充。
现在去补充
×
提示
您因"违规操作"
具体请查看互助需知
我知道了
×
提示
确定
请完成安全验证×
copy
已复制链接
快去分享给好友吧!
我知道了
右上角分享
点击右上角分享
0
联系我们:info@booksci.cn Book学术提供免费学术资源搜索服务,方便国内外学者检索中英文文献。致力于提供最便捷和优质的服务体验。 Copyright © 2023 布克学术 All rights reserved.
京ICP备2023020795号-1
ghs 京公网安备 11010802042870号
Book学术文献互助
Book学术文献互助群
群 号:604180095
Book学术官方微信