基孔肯雅热年轻患者急性心肌梗死1例报告。

IF 1.7 4区 医学 Q4 INFECTIOUS DISEASES
João Gabriel Costa, Pedro Manuel Barros de Sousa, Marina Medeiros Orsi, Marcos Adriano Garcia Campos, Romullo José Costa Ataides, Joyce Santos Lages, Gyl Eanes Barros Silva
{"title":"基孔肯雅热年轻患者急性心肌梗死1例报告。","authors":"João Gabriel Costa, Pedro Manuel Barros de Sousa, Marina Medeiros Orsi, Marcos Adriano Garcia Campos, Romullo José Costa Ataides, Joyce Santos Lages, Gyl Eanes Barros Silva","doi":"10.1590/S1678-9946202567060","DOIUrl":null,"url":null,"abstract":"<p><p>Chikungunya virus (CHIKV) is globally distributed and transmitted by Aedes mosquitoes, with a mortality rate of 0.8/1,000 cases. The heart is the second most affected organ, with the osteoarticular system being the first. Cardiac involvement ranges from acute symptoms like myocarditis and exacerbation of pre-existing conditions to long-term complications such as dilated cardiomyopathy. While a direct association between CHIKV and acute myocardial infarction (AMI) is rare, systemic inflammation associated with chronic post-Chikungunya arthritis may destabilize atherosclerotic plaques, increasing AMI risk. This case report describes an AMI with non-obstructive coronary arteries in a previously healthy 24-year-old male infected with CHIKV. He presented low back pain, nausea, sweating, dyspnea, progressive leg edema, fever, and polyarticular pain in the knees and ankles. He was in critical condition upon admission, with decreased consciousness and hemodynamic instability, requiring transfer to the intensive care unit. He died 24 h later. Autopsy revealed a significantly enlarged heart, no visible atherosclerosis in the coronary arteries, and an extensive infarction in the interventricular septum. Histology showed coagulation necrosis, alveolar hemorrhage, and hepatic congestion. RT-PCR for CHIKV was detected in the lungs and heart tissues, while tests for other infectious diseases were negative. Studies highlight the role of mitochondrial antiviral signaling protein (MAVS) in protecting cardiac tissue from chronic CHIKV-related effects. Impaired MAVS signaling may enable continued viral replication, leading to myocarditis and vascular inflammation. Co-infection with dengue fever further increases the risk of cardiac complications. Postmortem analysis is essential to confirm CHIKV-related cardiac deaths and improve understanding and management of severe manifestations.</p>","PeriodicalId":54466,"journal":{"name":"Revista Do Instituto De Medicina Tropical De Sao Paulo","volume":"67 ","pages":"e60"},"PeriodicalIF":1.7000,"publicationDate":"2025-08-25","publicationTypes":"Journal Article","fieldsOfStudy":null,"isOpenAccess":false,"openAccessPdf":"https://www.ncbi.nlm.nih.gov/pmc/articles/PMC12377833/pdf/","citationCount":"0","resultStr":"{\"title\":\"Acute myocardial infarction in a young patient with Chikungunya: a case report.\",\"authors\":\"João Gabriel Costa, Pedro Manuel Barros de Sousa, Marina Medeiros Orsi, Marcos Adriano Garcia Campos, Romullo José Costa Ataides, Joyce Santos Lages, Gyl Eanes Barros Silva\",\"doi\":\"10.1590/S1678-9946202567060\",\"DOIUrl\":null,\"url\":null,\"abstract\":\"<p><p>Chikungunya virus (CHIKV) is globally distributed and transmitted by Aedes mosquitoes, with a mortality rate of 0.8/1,000 cases. The heart is the second most affected organ, with the osteoarticular system being the first. Cardiac involvement ranges from acute symptoms like myocarditis and exacerbation of pre-existing conditions to long-term complications such as dilated cardiomyopathy. While a direct association between CHIKV and acute myocardial infarction (AMI) is rare, systemic inflammation associated with chronic post-Chikungunya arthritis may destabilize atherosclerotic plaques, increasing AMI risk. This case report describes an AMI with non-obstructive coronary arteries in a previously healthy 24-year-old male infected with CHIKV. He presented low back pain, nausea, sweating, dyspnea, progressive leg edema, fever, and polyarticular pain in the knees and ankles. He was in critical condition upon admission, with decreased consciousness and hemodynamic instability, requiring transfer to the intensive care unit. He died 24 h later. Autopsy revealed a significantly enlarged heart, no visible atherosclerosis in the coronary arteries, and an extensive infarction in the interventricular septum. Histology showed coagulation necrosis, alveolar hemorrhage, and hepatic congestion. RT-PCR for CHIKV was detected in the lungs and heart tissues, while tests for other infectious diseases were negative. Studies highlight the role of mitochondrial antiviral signaling protein (MAVS) in protecting cardiac tissue from chronic CHIKV-related effects. Impaired MAVS signaling may enable continued viral replication, leading to myocarditis and vascular inflammation. Co-infection with dengue fever further increases the risk of cardiac complications. Postmortem analysis is essential to confirm CHIKV-related cardiac deaths and improve understanding and management of severe manifestations.</p>\",\"PeriodicalId\":54466,\"journal\":{\"name\":\"Revista Do Instituto De Medicina Tropical De Sao Paulo\",\"volume\":\"67 \",\"pages\":\"e60\"},\"PeriodicalIF\":1.7000,\"publicationDate\":\"2025-08-25\",\"publicationTypes\":\"Journal Article\",\"fieldsOfStudy\":null,\"isOpenAccess\":false,\"openAccessPdf\":\"https://www.ncbi.nlm.nih.gov/pmc/articles/PMC12377833/pdf/\",\"citationCount\":\"0\",\"resultStr\":null,\"platform\":\"Semanticscholar\",\"paperid\":null,\"PeriodicalName\":\"Revista Do Instituto De Medicina Tropical De Sao Paulo\",\"FirstCategoryId\":\"3\",\"ListUrlMain\":\"https://doi.org/10.1590/S1678-9946202567060\",\"RegionNum\":4,\"RegionCategory\":\"医学\",\"ArticlePicture\":[],\"TitleCN\":null,\"AbstractTextCN\":null,\"PMCID\":null,\"EPubDate\":\"2025/1/1 0:00:00\",\"PubModel\":\"eCollection\",\"JCR\":\"Q4\",\"JCRName\":\"INFECTIOUS DISEASES\",\"Score\":null,\"Total\":0}","platform":"Semanticscholar","paperid":null,"PeriodicalName":"Revista Do Instituto De Medicina Tropical De Sao Paulo","FirstCategoryId":"3","ListUrlMain":"https://doi.org/10.1590/S1678-9946202567060","RegionNum":4,"RegionCategory":"医学","ArticlePicture":[],"TitleCN":null,"AbstractTextCN":null,"PMCID":null,"EPubDate":"2025/1/1 0:00:00","PubModel":"eCollection","JCR":"Q4","JCRName":"INFECTIOUS DISEASES","Score":null,"Total":0}
引用次数: 0

摘要

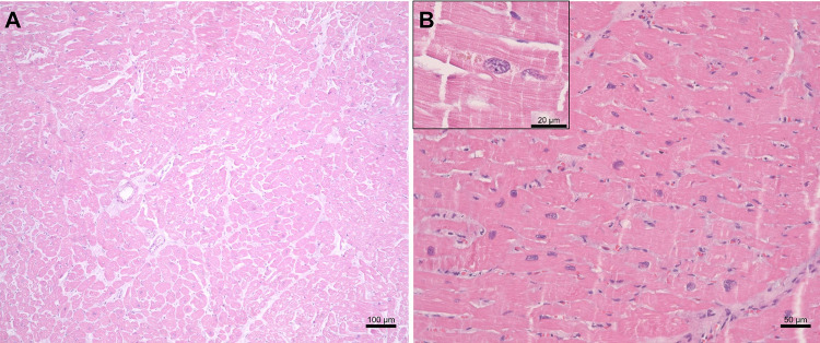
基孔肯雅病毒(CHIKV)在全球分布,由伊蚊传播,死亡率为0.8/ 1000例。心脏是第二个最受影响的器官,骨关节系统是第一个。心脏受累范围从急性症状如心肌炎和原有疾病的恶化到长期并发症如扩张性心肌病。虽然CHIKV与急性心肌梗死(AMI)之间的直接关联很少见,但与慢性基孔肯雅关节炎相关的全身性炎症可能会破坏动脉粥样硬化斑块的稳定,增加AMI的风险。本病例报告描述了一名先前健康的24岁男性感染CHIKV的非阻塞性冠状动脉AMI。患者表现为腰痛、恶心、出汗、呼吸困难、进行性腿部水肿、发热、膝盖和脚踝多关节疼痛。入院时病情危重,意识下降,血流动力学不稳定,需要转至重症监护病房。24小时后死亡。尸检显示心脏明显增大,冠状动脉未见明显动脉粥样硬化,室间隔广泛梗死。组织学表现为凝血坏死、肺泡出血、肝充血。在肺和心脏组织中检测到CHIKV的RT-PCR,而对其他传染病的检测均为阴性。研究强调了线粒体抗病毒信号蛋白(MAVS)在保护心脏组织免受慢性chikv相关影响中的作用。受损的MAVS信号可能使病毒持续复制,导致心肌炎和血管炎症。与登革热合并感染进一步增加心脏并发症的风险。尸检分析对于确认与chikv相关的心脏死亡以及提高对严重症状的理解和管理至关重要。
本文章由计算机程序翻译,如有差异,请以英文原文为准。

Acute myocardial infarction in a young patient with Chikungunya: a case report.

Acute myocardial infarction in a young patient with Chikungunya: a case report.

Chikungunya virus (CHIKV) is globally distributed and transmitted by Aedes mosquitoes, with a mortality rate of 0.8/1,000 cases. The heart is the second most affected organ, with the osteoarticular system being the first. Cardiac involvement ranges from acute symptoms like myocarditis and exacerbation of pre-existing conditions to long-term complications such as dilated cardiomyopathy. While a direct association between CHIKV and acute myocardial infarction (AMI) is rare, systemic inflammation associated with chronic post-Chikungunya arthritis may destabilize atherosclerotic plaques, increasing AMI risk. This case report describes an AMI with non-obstructive coronary arteries in a previously healthy 24-year-old male infected with CHIKV. He presented low back pain, nausea, sweating, dyspnea, progressive leg edema, fever, and polyarticular pain in the knees and ankles. He was in critical condition upon admission, with decreased consciousness and hemodynamic instability, requiring transfer to the intensive care unit. He died 24 h later. Autopsy revealed a significantly enlarged heart, no visible atherosclerosis in the coronary arteries, and an extensive infarction in the interventricular septum. Histology showed coagulation necrosis, alveolar hemorrhage, and hepatic congestion. RT-PCR for CHIKV was detected in the lungs and heart tissues, while tests for other infectious diseases were negative. Studies highlight the role of mitochondrial antiviral signaling protein (MAVS) in protecting cardiac tissue from chronic CHIKV-related effects. Impaired MAVS signaling may enable continued viral replication, leading to myocarditis and vascular inflammation. Co-infection with dengue fever further increases the risk of cardiac complications. Postmortem analysis is essential to confirm CHIKV-related cardiac deaths and improve understanding and management of severe manifestations.

求助全文
通过发布文献求助,成功后即可免费获取论文全文。 去求助
来源期刊
CiteScore
3.60
自引率
5.30%
发文量
100
审稿时长
6-12 weeks
期刊介绍: The Revista do Instituto de Medicina Tropical de São Paulo (Journal of the São Paulo Institute of Tropical Medicine) is a journal devoted to research on different aspects of tropical infectious diseases. The journal welcomes original work on all infectious diseases, provided that data and results are directly linked to human health. The journal publishes, besides original articles, review articles, case reports, brief communications, and letters to the editor. The journal publishes manuscripts only in English. From 2016 on, the Revista do Instituto de Medicina Tropical de São Paulo (Journal of the São Paulo Institute of Tropical Medicine) is published online only, maintaining the free access. For more information visit: - http://www.scielo.br/rimtsp - http://www.imt.usp.br/revista-imt/
×
引用
GB/T 7714-2015
复制
MLA
复制
APA
复制
导出至
BibTeX EndNote RefMan NoteFirst NoteExpress
×
提示
您的信息不完整,为了账户安全,请先补充。
现在去补充
×
提示
您因"违规操作"
具体请查看互助需知
我知道了
×
提示
确定
请完成安全验证×
copy
已复制链接
快去分享给好友吧!
我知道了
右上角分享
点击右上角分享
0
联系我们:info@booksci.cn Book学术提供免费学术资源搜索服务,方便国内外学者检索中英文文献。致力于提供最便捷和优质的服务体验。 Copyright © 2023 布克学术 All rights reserved.
京ICP备2023020795号-1
ghs 京公网安备 11010802042870号
Book学术文献互助
Book学术文献互助群
群 号:604180095
Book学术官方微信