播散性隐球菌病免疫功能正常患者肾上腺功能不全所致Addison病。病例报告。

IF 1 Q3 Medicine
José Paz-Ibarra, Marcio Concepción-Zavaleta, Miguel Tipiani Mallma, Héctor Delgado Nicolás, Hilder Herrera-Silvestre, Laurie Marcilla-Truyenque, Joseph Arzapalo-Benavides, Luis Concepción-Urteaga
{"title":"播散性隐球菌病免疫功能正常患者肾上腺功能不全所致Addison病。病例报告。","authors":"José Paz-Ibarra, Marcio Concepción-Zavaleta, Miguel Tipiani Mallma, Héctor Delgado Nicolás, Hilder Herrera-Silvestre, Laurie Marcilla-Truyenque, Joseph Arzapalo-Benavides, Luis Concepción-Urteaga","doi":"10.17843/rpmesp.2025.422.14304","DOIUrl":null,"url":null,"abstract":"<p><p>Systemic mycoses, such as cryptococcosis, mainly affect the lungs and central nervous system; however, involvement of other organs, such as the adrenal glands, is rare. This has been described in some cases of primary adrenal insufficiency (PAI) of fungal origin, which are associated with high mortality. We present the case of a 65-year-old immunocompetent man who presented clinical manifestations of adrenal insufficiency. Biochemical tests confirmed PAI, and abdominal tomography revealed hyperplasia of both adrenal glands, predominantly on the left side. Left adrenalectomy was performed, and pathological examination identified granulomas and fungal structures compatible with Cryptococcus spp. The patient received hormone replacement therapy and antifungal treatment, with favorable outcome. Cryptococcal adrenalitis should be considered in the differential diagnosis of PAI, particularly in the presence of relevant epidemiological history, and timely treatment is key to improving prognosis.</p>","PeriodicalId":53651,"journal":{"name":"Revista Peruana de Medicina de Experimental y Salud Publica","volume":"42 2","pages":"217-222"},"PeriodicalIF":1.0000,"publicationDate":"2025-08-25","publicationTypes":"Journal Article","fieldsOfStudy":null,"isOpenAccess":false,"openAccessPdf":"https://www.ncbi.nlm.nih.gov/pmc/articles/PMC12377890/pdf/","citationCount":"0","resultStr":"{\"title\":\"Addison's disease due to adrenal insufficiency in an immunocompetent patient with disseminated cryptococcosis. Case report.\",\"authors\":\"José Paz-Ibarra, Marcio Concepción-Zavaleta, Miguel Tipiani Mallma, Héctor Delgado Nicolás, Hilder Herrera-Silvestre, Laurie Marcilla-Truyenque, Joseph Arzapalo-Benavides, Luis Concepción-Urteaga\",\"doi\":\"10.17843/rpmesp.2025.422.14304\",\"DOIUrl\":null,\"url\":null,\"abstract\":\"<p><p>Systemic mycoses, such as cryptococcosis, mainly affect the lungs and central nervous system; however, involvement of other organs, such as the adrenal glands, is rare. This has been described in some cases of primary adrenal insufficiency (PAI) of fungal origin, which are associated with high mortality. We present the case of a 65-year-old immunocompetent man who presented clinical manifestations of adrenal insufficiency. Biochemical tests confirmed PAI, and abdominal tomography revealed hyperplasia of both adrenal glands, predominantly on the left side. Left adrenalectomy was performed, and pathological examination identified granulomas and fungal structures compatible with Cryptococcus spp. The patient received hormone replacement therapy and antifungal treatment, with favorable outcome. Cryptococcal adrenalitis should be considered in the differential diagnosis of PAI, particularly in the presence of relevant epidemiological history, and timely treatment is key to improving prognosis.</p>\",\"PeriodicalId\":53651,\"journal\":{\"name\":\"Revista Peruana de Medicina de Experimental y Salud Publica\",\"volume\":\"42 2\",\"pages\":\"217-222\"},\"PeriodicalIF\":1.0000,\"publicationDate\":\"2025-08-25\",\"publicationTypes\":\"Journal Article\",\"fieldsOfStudy\":null,\"isOpenAccess\":false,\"openAccessPdf\":\"https://www.ncbi.nlm.nih.gov/pmc/articles/PMC12377890/pdf/\",\"citationCount\":\"0\",\"resultStr\":null,\"platform\":\"Semanticscholar\",\"paperid\":null,\"PeriodicalName\":\"Revista Peruana de Medicina de Experimental y Salud Publica\",\"FirstCategoryId\":\"1085\",\"ListUrlMain\":\"https://doi.org/10.17843/rpmesp.2025.422.14304\",\"RegionNum\":0,\"RegionCategory\":null,\"ArticlePicture\":[],\"TitleCN\":null,\"AbstractTextCN\":null,\"PMCID\":null,\"EPubDate\":\"\",\"PubModel\":\"\",\"JCR\":\"Q3\",\"JCRName\":\"Medicine\",\"Score\":null,\"Total\":0}","platform":"Semanticscholar","paperid":null,"PeriodicalName":"Revista Peruana de Medicina de Experimental y Salud Publica","FirstCategoryId":"1085","ListUrlMain":"https://doi.org/10.17843/rpmesp.2025.422.14304","RegionNum":0,"RegionCategory":null,"ArticlePicture":[],"TitleCN":null,"AbstractTextCN":null,"PMCID":null,"EPubDate":"","PubModel":"","JCR":"Q3","JCRName":"Medicine","Score":null,"Total":0}
引用次数: 0

摘要

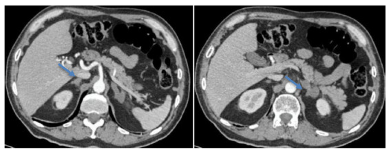
全身真菌病,如隐球菌病,主要影响肺部和中枢神经系统;然而,累及其他器官,如肾上腺,是罕见的。这已经在真菌源性原发性肾上腺功能不全(PAI)的一些病例中得到了描述,这与高死亡率有关。我们提出的情况下,65岁的免疫能力男子谁提出的临床表现肾上腺功能不全。生化检查证实PAI,腹部断层扫描显示双肾上腺增生,主要在左侧。患者行左肾上腺切除术,病理检查发现肉芽肿及真菌结构与隐球菌相容,患者接受激素替代治疗及抗真菌治疗,预后良好。PAI的鉴别诊断应考虑隐球菌性肾上腺炎,特别是在有相关流行病学史的情况下,及时治疗是改善预后的关键。
本文章由计算机程序翻译,如有差异,请以英文原文为准。

Addison's disease due to adrenal insufficiency in an immunocompetent patient with disseminated cryptococcosis. Case report.

Addison's disease due to adrenal insufficiency in an immunocompetent patient with disseminated cryptococcosis. Case report.

Addison's disease due to adrenal insufficiency in an immunocompetent patient with disseminated cryptococcosis. Case report.

Addison's disease due to adrenal insufficiency in an immunocompetent patient with disseminated cryptococcosis. Case report.

Systemic mycoses, such as cryptococcosis, mainly affect the lungs and central nervous system; however, involvement of other organs, such as the adrenal glands, is rare. This has been described in some cases of primary adrenal insufficiency (PAI) of fungal origin, which are associated with high mortality. We present the case of a 65-year-old immunocompetent man who presented clinical manifestations of adrenal insufficiency. Biochemical tests confirmed PAI, and abdominal tomography revealed hyperplasia of both adrenal glands, predominantly on the left side. Left adrenalectomy was performed, and pathological examination identified granulomas and fungal structures compatible with Cryptococcus spp. The patient received hormone replacement therapy and antifungal treatment, with favorable outcome. Cryptococcal adrenalitis should be considered in the differential diagnosis of PAI, particularly in the presence of relevant epidemiological history, and timely treatment is key to improving prognosis.

求助全文
通过发布文献求助,成功后即可免费获取论文全文。 去求助
来源期刊
Revista Peruana de Medicina de Experimental y Salud Publica
Revista Peruana de Medicina de Experimental y Salud Publica Medicine-Public Health, Environmental and Occupational Health
CiteScore
3.00
自引率
0.00%
发文量
57
审稿时长
12 weeks
期刊介绍: La Revista Peruana de Medicina Experimental y Salud Pública (RPMESP) es el órgano oficial de difusión científica del Instituto Nacional de Salud (INS) del Perú. Es una publicación arbitrada por pares, de periodicidad trimestral, de ámbito y difusión mundial, indizada en MEDLINE/Index Medicos, SCOPUS, EMBASE, SciELO Salud Pública y otras bases de datos internacionales. La RPMESP es distribuida en su versión impresa y electrónica, con acceso gratuito a texto completo. La RPMESP publica artículos referidos a temas del ámbito biomédico y de salud pública, resaltando aportes prácticos, que contribuyan a mejorar la situación de salud del país y de la región. Propicia el intercambio de la experiencia científica en salud entre instituciones y personas dedicadas a la investigación dentro y fuera del Perú a fin de promover el avance y la aplicación de la investigación en salud.
×
引用
GB/T 7714-2015
复制
MLA
复制
APA
复制
导出至
BibTeX EndNote RefMan NoteFirst NoteExpress
×
提示
您的信息不完整,为了账户安全,请先补充。
现在去补充
×
提示
您因"违规操作"
具体请查看互助需知
我知道了
×
提示
确定
请完成安全验证×
copy
已复制链接
快去分享给好友吧!
我知道了
右上角分享
点击右上角分享
0
联系我们:info@booksci.cn Book学术提供免费学术资源搜索服务,方便国内外学者检索中英文文献。致力于提供最便捷和优质的服务体验。 Copyright © 2023 布克学术 All rights reserved.
京ICP备2023020795号-1
ghs 京公网安备 11010802042870号
Book学术文献互助
Book学术文献互助群
群 号:604180095
Book学术官方微信