针刺后瘢痕形成的肉瘤样鳞状细胞癌:1例报告及文献复习。

Q2 Medicine
Archives of Craniofacial Surgery Pub Date : 2025-08-01 Epub Date: 2025-08-20 DOI:10.7181/acfs.2025.0016
Minwoo Park, Sug Won Kim, Jiye Kim
{"title":"针刺后瘢痕形成的肉瘤样鳞状细胞癌:1例报告及文献复习。","authors":"Minwoo Park, Sug Won Kim, Jiye Kim","doi":"10.7181/acfs.2025.0016","DOIUrl":null,"url":null,"abstract":"<p><p>Keloids are benign fibroproliferative skin tumors that typically arise after cutaneous injuries, such as surgical incisions, burns, lacerations, tattoos, or infections. Malignant transformation of keloids is exceedingly rare, with only sporadic reports of squamous cell carcinoma. To date, sarcomatoid squamous cell carcinoma-an uncommon, highly aggressive squamous cell carcinoma variant-has not been described in association with keloidal scars. We present the first known case of sarcomatoid squamous cell carcinoma developing within a post‑acupuncture keloid scar, detailing its clinical presentation, histopathology, and surgical management. This report underscores the importance of malignancy screening in keloids displaying atypical features, particularly in trauma-exposed regions.</p>","PeriodicalId":52238,"journal":{"name":"Archives of Craniofacial Surgery","volume":"26 4","pages":"160-164"},"PeriodicalIF":0.0000,"publicationDate":"2025-08-01","publicationTypes":"Journal Article","fieldsOfStudy":null,"isOpenAccess":false,"openAccessPdf":"https://www.ncbi.nlm.nih.gov/pmc/articles/PMC12415371/pdf/","citationCount":"0","resultStr":"{\"title\":\"Sarcomatoid squamous cell carcinoma arising in a post-acupuncture keloid scar: a case report and literature review.\",\"authors\":\"Minwoo Park, Sug Won Kim, Jiye Kim\",\"doi\":\"10.7181/acfs.2025.0016\",\"DOIUrl\":null,\"url\":null,\"abstract\":\"<p><p>Keloids are benign fibroproliferative skin tumors that typically arise after cutaneous injuries, such as surgical incisions, burns, lacerations, tattoos, or infections. Malignant transformation of keloids is exceedingly rare, with only sporadic reports of squamous cell carcinoma. To date, sarcomatoid squamous cell carcinoma-an uncommon, highly aggressive squamous cell carcinoma variant-has not been described in association with keloidal scars. We present the first known case of sarcomatoid squamous cell carcinoma developing within a post‑acupuncture keloid scar, detailing its clinical presentation, histopathology, and surgical management. This report underscores the importance of malignancy screening in keloids displaying atypical features, particularly in trauma-exposed regions.</p>\",\"PeriodicalId\":52238,\"journal\":{\"name\":\"Archives of Craniofacial Surgery\",\"volume\":\"26 4\",\"pages\":\"160-164\"},\"PeriodicalIF\":0.0000,\"publicationDate\":\"2025-08-01\",\"publicationTypes\":\"Journal Article\",\"fieldsOfStudy\":null,\"isOpenAccess\":false,\"openAccessPdf\":\"https://www.ncbi.nlm.nih.gov/pmc/articles/PMC12415371/pdf/\",\"citationCount\":\"0\",\"resultStr\":null,\"platform\":\"Semanticscholar\",\"paperid\":null,\"PeriodicalName\":\"Archives of Craniofacial Surgery\",\"FirstCategoryId\":\"1085\",\"ListUrlMain\":\"https://doi.org/10.7181/acfs.2025.0016\",\"RegionNum\":0,\"RegionCategory\":null,\"ArticlePicture\":[],\"TitleCN\":null,\"AbstractTextCN\":null,\"PMCID\":null,\"EPubDate\":\"2025/8/20 0:00:00\",\"PubModel\":\"Epub\",\"JCR\":\"Q2\",\"JCRName\":\"Medicine\",\"Score\":null,\"Total\":0}","platform":"Semanticscholar","paperid":null,"PeriodicalName":"Archives of Craniofacial Surgery","FirstCategoryId":"1085","ListUrlMain":"https://doi.org/10.7181/acfs.2025.0016","RegionNum":0,"RegionCategory":null,"ArticlePicture":[],"TitleCN":null,"AbstractTextCN":null,"PMCID":null,"EPubDate":"2025/8/20 0:00:00","PubModel":"Epub","JCR":"Q2","JCRName":"Medicine","Score":null,"Total":0}
引用次数: 0

摘要

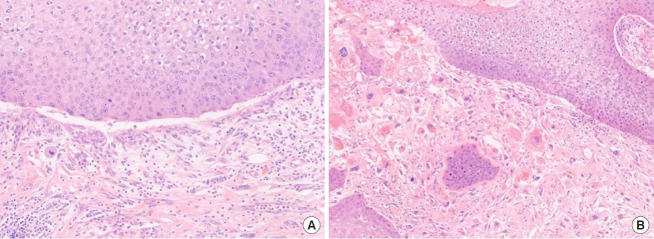
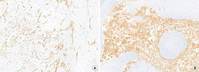
瘢痕疙瘩是一种良性的纤维增生性皮肤肿瘤,通常出现在皮肤损伤后,如手术切口、烧伤、撕裂、纹身或感染。瘢痕疙瘩的恶性转化是非常罕见的,只有零星的报告鳞状细胞癌。迄今为止,肉瘤样鳞状细胞癌——一种罕见的、高度侵袭性的鳞状细胞癌变体——尚未被描述与瘢痕相关。我们报告了第一例已知的肉瘤样鳞状细胞癌在针刺后瘢痕内发展的病例,详细介绍了其临床表现、组织病理学和手术治疗。本报告强调了在表现非典型特征的瘢痕疙瘩中进行恶性肿瘤筛查的重要性,特别是在创伤暴露区域。
本文章由计算机程序翻译,如有差异,请以英文原文为准。

Sarcomatoid squamous cell carcinoma arising in a post-acupuncture keloid scar: a case report and literature review.

Sarcomatoid squamous cell carcinoma arising in a post-acupuncture keloid scar: a case report and literature review.

Sarcomatoid squamous cell carcinoma arising in a post-acupuncture keloid scar: a case report and literature review.

Sarcomatoid squamous cell carcinoma arising in a post-acupuncture keloid scar: a case report and literature review.

Keloids are benign fibroproliferative skin tumors that typically arise after cutaneous injuries, such as surgical incisions, burns, lacerations, tattoos, or infections. Malignant transformation of keloids is exceedingly rare, with only sporadic reports of squamous cell carcinoma. To date, sarcomatoid squamous cell carcinoma-an uncommon, highly aggressive squamous cell carcinoma variant-has not been described in association with keloidal scars. We present the first known case of sarcomatoid squamous cell carcinoma developing within a post‑acupuncture keloid scar, detailing its clinical presentation, histopathology, and surgical management. This report underscores the importance of malignancy screening in keloids displaying atypical features, particularly in trauma-exposed regions.

求助全文
通过发布文献求助,成功后即可免费获取论文全文。 去求助
来源期刊
Archives of Craniofacial Surgery
Archives of Craniofacial Surgery Medicine-Otorhinolaryngology
CiteScore
2.90
自引率
0.00%
发文量
44
×
引用
GB/T 7714-2015
复制
MLA
复制
APA
复制
导出至
BibTeX EndNote RefMan NoteFirst NoteExpress
×
提示
您的信息不完整,为了账户安全,请先补充。
现在去补充
×
提示
您因"违规操作"
具体请查看互助需知
我知道了
×
提示
确定
请完成安全验证×
copy
已复制链接
快去分享给好友吧!
我知道了
右上角分享
点击右上角分享
0
联系我们:info@booksci.cn Book学术提供免费学术资源搜索服务,方便国内外学者检索中英文文献。致力于提供最便捷和优质的服务体验。 Copyright © 2023 布克学术 All rights reserved.
京ICP备2023020795号-1
ghs 京公网安备 11010802042870号
Book学术文献互助
Book学术文献互助群
群 号:604180095
Book学术官方微信