肺炎球菌心包炎伴剑状骨髓炎的HIV/AIDS:一种罕见但可能致命的并发症。

IF 0.5 Q4 CARDIAC & CARDIOVASCULAR SYSTEMS
Case Reports in Cardiology Pub Date : 2025-08-13 eCollection Date: 2025-01-01 DOI:10.1155/cric/5008190
Nihar Jena, Izza Saeed, Mackenzie Hamilton, Christian Tocquica, Sreekant Avula, Ramiz Sayyed, Juan Bastidas, Mark Studeny
{"title":"肺炎球菌心包炎伴剑状骨髓炎的HIV/AIDS:一种罕见但可能致命的并发症。","authors":"Nihar Jena, Izza Saeed, Mackenzie Hamilton, Christian Tocquica, Sreekant Avula, Ramiz Sayyed, Juan Bastidas, Mark Studeny","doi":"10.1155/cric/5008190","DOIUrl":null,"url":null,"abstract":"<p><p><b>Background:</b> Purulent pericarditis is a rare, life-threatening condition that has become exceedingly uncommon due to widespread use of antibiotics. However, immunocompromised patients remain susceptible to such opportunistic infections. It is typically caused by direct extension or hematogenous spread from a secondary bacterial source. <b>Case Description:</b> We report a 55-year-old man with HIV cardiomyopathy who was transferred from an outside facility for chest pain and dyspnea, with an electrocardiogram suggestive of an ST-segment elevation myocardial infarction, prompting emergent cardiac catheterization, which revealed normal coronary arteries. A bedside echocardiogram revealed a large pericardial effusion with tamponade physiology, leading to pericardiocentesis. The pericardial fluid analysis revealed a high white blood cell count and a significantly elevated lactate dehydrogenase level, and cultures were positive for <i>Streptococcus pneumoniae</i>. Despite receiving antibiotics, the effusion reaccumulated, necessitating a subxiphoid pericardial wash and drainage. The xiphoid biopsy was consistent with acute osteomyelitis. The patient was discharged with long-term antibiotics and scheduled outpatient follow-ups. <b>Conclusion:</b> This case illustrates an unusual presentation of HIV-AIDS, highlighting advancements in managing pneumococcal pyopericardium with tamponade and the ongoing risk of opportunistic infections despite antiretroviral treatment. Though rare, pyopericardium can be fatal; so prompt diagnosis and multidisciplinary management are essential to improve outcomes.</p>","PeriodicalId":51760,"journal":{"name":"Case Reports in Cardiology","volume":"2025 ","pages":"5008190"},"PeriodicalIF":0.5000,"publicationDate":"2025-08-13","publicationTypes":"Journal Article","fieldsOfStudy":null,"isOpenAccess":false,"openAccessPdf":"https://www.ncbi.nlm.nih.gov/pmc/articles/PMC12367396/pdf/","citationCount":"0","resultStr":"{\"title\":\"Pneumococcal Pyopericardium With Xiphoid Osteomyelitis in HIV/AIDS: A Rare but Potentially Fatal Complication.\",\"authors\":\"Nihar Jena, Izza Saeed, Mackenzie Hamilton, Christian Tocquica, Sreekant Avula, Ramiz Sayyed, Juan Bastidas, Mark Studeny\",\"doi\":\"10.1155/cric/5008190\",\"DOIUrl\":null,\"url\":null,\"abstract\":\"<p><p><b>Background:</b> Purulent pericarditis is a rare, life-threatening condition that has become exceedingly uncommon due to widespread use of antibiotics. However, immunocompromised patients remain susceptible to such opportunistic infections. It is typically caused by direct extension or hematogenous spread from a secondary bacterial source. <b>Case Description:</b> We report a 55-year-old man with HIV cardiomyopathy who was transferred from an outside facility for chest pain and dyspnea, with an electrocardiogram suggestive of an ST-segment elevation myocardial infarction, prompting emergent cardiac catheterization, which revealed normal coronary arteries. A bedside echocardiogram revealed a large pericardial effusion with tamponade physiology, leading to pericardiocentesis. The pericardial fluid analysis revealed a high white blood cell count and a significantly elevated lactate dehydrogenase level, and cultures were positive for <i>Streptococcus pneumoniae</i>. Despite receiving antibiotics, the effusion reaccumulated, necessitating a subxiphoid pericardial wash and drainage. The xiphoid biopsy was consistent with acute osteomyelitis. The patient was discharged with long-term antibiotics and scheduled outpatient follow-ups. <b>Conclusion:</b> This case illustrates an unusual presentation of HIV-AIDS, highlighting advancements in managing pneumococcal pyopericardium with tamponade and the ongoing risk of opportunistic infections despite antiretroviral treatment. Though rare, pyopericardium can be fatal; so prompt diagnosis and multidisciplinary management are essential to improve outcomes.</p>\",\"PeriodicalId\":51760,\"journal\":{\"name\":\"Case Reports in Cardiology\",\"volume\":\"2025 \",\"pages\":\"5008190\"},\"PeriodicalIF\":0.5000,\"publicationDate\":\"2025-08-13\",\"publicationTypes\":\"Journal Article\",\"fieldsOfStudy\":null,\"isOpenAccess\":false,\"openAccessPdf\":\"https://www.ncbi.nlm.nih.gov/pmc/articles/PMC12367396/pdf/\",\"citationCount\":\"0\",\"resultStr\":null,\"platform\":\"Semanticscholar\",\"paperid\":null,\"PeriodicalName\":\"Case Reports in Cardiology\",\"FirstCategoryId\":\"1085\",\"ListUrlMain\":\"https://doi.org/10.1155/cric/5008190\",\"RegionNum\":0,\"RegionCategory\":null,\"ArticlePicture\":[],\"TitleCN\":null,\"AbstractTextCN\":null,\"PMCID\":null,\"EPubDate\":\"2025/1/1 0:00:00\",\"PubModel\":\"eCollection\",\"JCR\":\"Q4\",\"JCRName\":\"CARDIAC & CARDIOVASCULAR SYSTEMS\",\"Score\":null,\"Total\":0}","platform":"Semanticscholar","paperid":null,"PeriodicalName":"Case Reports in Cardiology","FirstCategoryId":"1085","ListUrlMain":"https://doi.org/10.1155/cric/5008190","RegionNum":0,"RegionCategory":null,"ArticlePicture":[],"TitleCN":null,"AbstractTextCN":null,"PMCID":null,"EPubDate":"2025/1/1 0:00:00","PubModel":"eCollection","JCR":"Q4","JCRName":"CARDIAC & CARDIOVASCULAR SYSTEMS","Score":null,"Total":0}
引用次数: 0

摘要

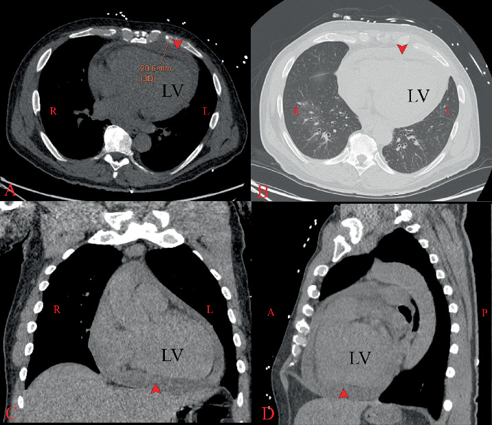
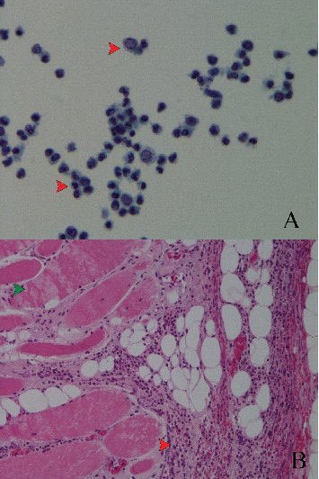
背景:化脓性心包炎是一种罕见的危及生命的疾病,由于抗生素的广泛使用而变得非常罕见。然而,免疫功能低下的患者仍然容易受到这种机会性感染。它通常是由二次细菌源的直接延伸或血液传播引起的。病例描述:我们报告一名55岁男性HIV心肌病患者,因胸痛和呼吸困难从室外转院,心电图提示st段抬高型心肌梗死,提示紧急心导管检查,结果显示冠状动脉正常。床边超声心动图显示大量心包积液伴心包填塞生理征,导致心包穿刺。心包液分析显示白细胞计数高,乳酸脱氢酶水平显著升高,培养肺炎链球菌阳性。尽管接受了抗生素治疗,积液仍重新积聚,需要进行剑突下心包冲洗和引流。剑突活检符合急性骨髓炎。患者出院后接受长期抗生素治疗并安排门诊随访。结论:该病例显示了HIV-AIDS的一种不寻常的表现,突出了用填塞治疗肺炎球菌心包的进展,以及尽管抗逆转录病毒治疗仍存在机会性感染的风险。虽然很罕见,但心包积血可能是致命的;因此,及时诊断和多学科管理对改善预后至关重要。
本文章由计算机程序翻译,如有差异,请以英文原文为准。

Pneumococcal Pyopericardium With Xiphoid Osteomyelitis in HIV/AIDS: A Rare but Potentially Fatal Complication.

Pneumococcal Pyopericardium With Xiphoid Osteomyelitis in HIV/AIDS: A Rare but Potentially Fatal Complication.

Pneumococcal Pyopericardium With Xiphoid Osteomyelitis in HIV/AIDS: A Rare but Potentially Fatal Complication.

Pneumococcal Pyopericardium With Xiphoid Osteomyelitis in HIV/AIDS: A Rare but Potentially Fatal Complication.

Background: Purulent pericarditis is a rare, life-threatening condition that has become exceedingly uncommon due to widespread use of antibiotics. However, immunocompromised patients remain susceptible to such opportunistic infections. It is typically caused by direct extension or hematogenous spread from a secondary bacterial source. Case Description: We report a 55-year-old man with HIV cardiomyopathy who was transferred from an outside facility for chest pain and dyspnea, with an electrocardiogram suggestive of an ST-segment elevation myocardial infarction, prompting emergent cardiac catheterization, which revealed normal coronary arteries. A bedside echocardiogram revealed a large pericardial effusion with tamponade physiology, leading to pericardiocentesis. The pericardial fluid analysis revealed a high white blood cell count and a significantly elevated lactate dehydrogenase level, and cultures were positive for Streptococcus pneumoniae. Despite receiving antibiotics, the effusion reaccumulated, necessitating a subxiphoid pericardial wash and drainage. The xiphoid biopsy was consistent with acute osteomyelitis. The patient was discharged with long-term antibiotics and scheduled outpatient follow-ups. Conclusion: This case illustrates an unusual presentation of HIV-AIDS, highlighting advancements in managing pneumococcal pyopericardium with tamponade and the ongoing risk of opportunistic infections despite antiretroviral treatment. Though rare, pyopericardium can be fatal; so prompt diagnosis and multidisciplinary management are essential to improve outcomes.

求助全文
通过发布文献求助,成功后即可免费获取论文全文。 去求助
来源期刊
Case Reports in Cardiology
Case Reports in Cardiology CARDIAC & CARDIOVASCULAR SYSTEMS-
自引率
0.00%
发文量
63
审稿时长
13 weeks
期刊介绍: Case Reports in Cardiology is a peer-reviewed, Open Access journal that publishes case reports and case series related to hypertension, arrhythmia, congestive heart failure, valvular heart disease, vascular disease, congenital heart disease and cardiomyopathy.
×
引用
GB/T 7714-2015
复制
MLA
复制
APA
复制
导出至
BibTeX EndNote RefMan NoteFirst NoteExpress
×
提示
您的信息不完整,为了账户安全,请先补充。
现在去补充
×
提示
您因"违规操作"
具体请查看互助需知
我知道了
×
提示
确定
请完成安全验证×
copy
已复制链接
快去分享给好友吧!
我知道了
右上角分享
点击右上角分享
0
联系我们:info@booksci.cn Book学术提供免费学术资源搜索服务,方便国内外学者检索中英文文献。致力于提供最便捷和优质的服务体验。 Copyright © 2023 布克学术 All rights reserved.
京ICP备2023020795号-1
ghs 京公网安备 11010802042870号
Book学术文献互助
Book学术文献互助群
群 号:604180095
Book学术官方微信