mepolizumab和omalizumab联合生物治疗难治性ABPA 2例。

IF 2.4 4区 医学 Q2 ALLERGY
Ivan H Huang, Kenneth N Dang, Saarang Kashyap, Noah St Clair, Alexander J Sweidan
{"title":"mepolizumab和omalizumab联合生物治疗难治性ABPA 2例。","authors":"Ivan H Huang, Kenneth N Dang, Saarang Kashyap, Noah St Clair, Alexander J Sweidan","doi":"10.1186/s13223-025-00985-0","DOIUrl":null,"url":null,"abstract":"<p><strong>Background: </strong>Allergic bronchopulmonary aspergillosis (ABPA) presents with a wide range of symptom severity, with severe disease manifestations being harder to control through conventional inhalers. While corticosteroids remain a standard treatment option, their use is often hindered by significant adverse side effects. This case series discusses a novel treatment of duo-administration of monoclonal antibodies for two patients that reduced their exacerbations, spared the use of steroids, and improved their quality of life.</p><p><strong>Case presentation: </strong>Both patients were diagnosed with ABPA. Before the administration of treatment, they experienced almost monthly exacerbations and infections requiring constant systemic oral corticosteroids and antibiotics. After the implementation of successive concomitant monoclonal antibody treatments, absolute eosinophil levels were brought down to normal levels, and the monthly exacerbations were eliminated.</p><p><strong>Conclusion: </strong>This case series describes a novel approach for ABPA therapy that holds potential in improving patient outcomes for those with severe ABPA. Duo biologic therapy may improve disease control and reduce corticosteroid reliance in patients with refractory ABPA by targeting multiple mechanistic pathways of inflammation. Mepolizumab with Omalizumab offers a potential treatment strategy to reduce exacerbation frequency and severity and has minimal adverse effects.</p>","PeriodicalId":51302,"journal":{"name":"Allergy Asthma and Clinical Immunology","volume":"21 1","pages":"39"},"PeriodicalIF":2.4000,"publicationDate":"2025-09-02","publicationTypes":"Journal Article","fieldsOfStudy":null,"isOpenAccess":false,"openAccessPdf":"https://www.ncbi.nlm.nih.gov/pmc/articles/PMC12403339/pdf/","citationCount":"0","resultStr":"{\"title\":\"Duo biologic therapy using mepolizumab and omalizumab in refractory ABPA: two cases.\",\"authors\":\"Ivan H Huang, Kenneth N Dang, Saarang Kashyap, Noah St Clair, Alexander J Sweidan\",\"doi\":\"10.1186/s13223-025-00985-0\",\"DOIUrl\":null,\"url\":null,\"abstract\":\"<p><strong>Background: </strong>Allergic bronchopulmonary aspergillosis (ABPA) presents with a wide range of symptom severity, with severe disease manifestations being harder to control through conventional inhalers. While corticosteroids remain a standard treatment option, their use is often hindered by significant adverse side effects. This case series discusses a novel treatment of duo-administration of monoclonal antibodies for two patients that reduced their exacerbations, spared the use of steroids, and improved their quality of life.</p><p><strong>Case presentation: </strong>Both patients were diagnosed with ABPA. Before the administration of treatment, they experienced almost monthly exacerbations and infections requiring constant systemic oral corticosteroids and antibiotics. After the implementation of successive concomitant monoclonal antibody treatments, absolute eosinophil levels were brought down to normal levels, and the monthly exacerbations were eliminated.</p><p><strong>Conclusion: </strong>This case series describes a novel approach for ABPA therapy that holds potential in improving patient outcomes for those with severe ABPA. Duo biologic therapy may improve disease control and reduce corticosteroid reliance in patients with refractory ABPA by targeting multiple mechanistic pathways of inflammation. Mepolizumab with Omalizumab offers a potential treatment strategy to reduce exacerbation frequency and severity and has minimal adverse effects.</p>\",\"PeriodicalId\":51302,\"journal\":{\"name\":\"Allergy Asthma and Clinical Immunology\",\"volume\":\"21 1\",\"pages\":\"39\"},\"PeriodicalIF\":2.4000,\"publicationDate\":\"2025-09-02\",\"publicationTypes\":\"Journal Article\",\"fieldsOfStudy\":null,\"isOpenAccess\":false,\"openAccessPdf\":\"https://www.ncbi.nlm.nih.gov/pmc/articles/PMC12403339/pdf/\",\"citationCount\":\"0\",\"resultStr\":null,\"platform\":\"Semanticscholar\",\"paperid\":null,\"PeriodicalName\":\"Allergy Asthma and Clinical Immunology\",\"FirstCategoryId\":\"3\",\"ListUrlMain\":\"https://doi.org/10.1186/s13223-025-00985-0\",\"RegionNum\":4,\"RegionCategory\":\"医学\",\"ArticlePicture\":[],\"TitleCN\":null,\"AbstractTextCN\":null,\"PMCID\":null,\"EPubDate\":\"\",\"PubModel\":\"\",\"JCR\":\"Q2\",\"JCRName\":\"ALLERGY\",\"Score\":null,\"Total\":0}","platform":"Semanticscholar","paperid":null,"PeriodicalName":"Allergy Asthma and Clinical Immunology","FirstCategoryId":"3","ListUrlMain":"https://doi.org/10.1186/s13223-025-00985-0","RegionNum":4,"RegionCategory":"医学","ArticlePicture":[],"TitleCN":null,"AbstractTextCN":null,"PMCID":null,"EPubDate":"","PubModel":"","JCR":"Q2","JCRName":"ALLERGY","Score":null,"Total":0}
引用次数: 0

摘要

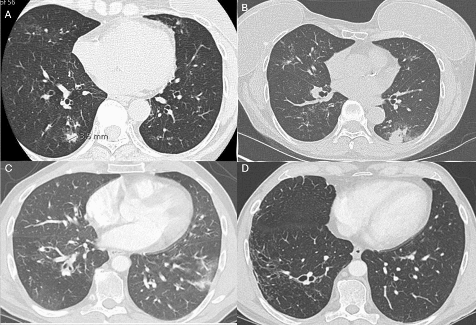
背景:变应性支气管肺曲霉病(ABPA)具有多种症状严重程度,严重的疾病表现难以通过常规吸入器控制。虽然皮质类固醇仍然是一种标准的治疗选择,但它们的使用往往受到严重副作用的阻碍。本病例系列讨论了一种新的治疗方法,即对两名患者进行单克隆抗体的双重管理,减少了他们的恶化,避免了类固醇的使用,并提高了他们的生活质量。病例描述:两例患者均被诊断为ABPA。在接受治疗之前,他们几乎每月都会经历病情恶化和感染,需要持续全身口服皮质类固醇和抗生素。实施连续单克隆抗体治疗后,绝对嗜酸性粒细胞水平降至正常水平,每月加重消除。结论:本病例系列描述了一种新的ABPA治疗方法,具有改善严重ABPA患者预后的潜力。双生物治疗可以通过靶向多种炎症机制途径改善难治性ABPA患者的疾病控制并减少对皮质类固醇的依赖。Mepolizumab与Omalizumab提供了一种潜在的治疗策略,可以减少恶化频率和严重程度,并且副作用最小。
本文章由计算机程序翻译,如有差异,请以英文原文为准。

Duo biologic therapy using mepolizumab and omalizumab in refractory ABPA: two cases.

Duo biologic therapy using mepolizumab and omalizumab in refractory ABPA: two cases.

Duo biologic therapy using mepolizumab and omalizumab in refractory ABPA: two cases.

Duo biologic therapy using mepolizumab and omalizumab in refractory ABPA: two cases.

Background: Allergic bronchopulmonary aspergillosis (ABPA) presents with a wide range of symptom severity, with severe disease manifestations being harder to control through conventional inhalers. While corticosteroids remain a standard treatment option, their use is often hindered by significant adverse side effects. This case series discusses a novel treatment of duo-administration of monoclonal antibodies for two patients that reduced their exacerbations, spared the use of steroids, and improved their quality of life.

Case presentation: Both patients were diagnosed with ABPA. Before the administration of treatment, they experienced almost monthly exacerbations and infections requiring constant systemic oral corticosteroids and antibiotics. After the implementation of successive concomitant monoclonal antibody treatments, absolute eosinophil levels were brought down to normal levels, and the monthly exacerbations were eliminated.

Conclusion: This case series describes a novel approach for ABPA therapy that holds potential in improving patient outcomes for those with severe ABPA. Duo biologic therapy may improve disease control and reduce corticosteroid reliance in patients with refractory ABPA by targeting multiple mechanistic pathways of inflammation. Mepolizumab with Omalizumab offers a potential treatment strategy to reduce exacerbation frequency and severity and has minimal adverse effects.

求助全文
通过发布文献求助,成功后即可免费获取论文全文。 去求助
来源期刊
CiteScore
4.30
自引率
3.70%
发文量
96
审稿时长
12 weeks
期刊介绍: Allergy, Asthma & Clinical Immunology (AACI), the official journal of the Canadian Society of Allergy and Clinical Immunology (CSACI), is an open access journal that encompasses all aspects of diagnosis, epidemiology, prevention and treatment of allergic and immunologic disease. By offering a high-visibility forum for new insights and discussions, AACI provides a platform for the dissemination of allergy and clinical immunology research and reviews amongst allergists, pulmonologists, immunologists and other physicians, healthcare workers, medical students and the public worldwide. AACI reports on basic research and clinically applied studies in the following areas and other related topics: asthma and occupational lung disease, rhinoconjunctivitis and rhinosinusitis, drug hypersensitivity, allergic skin diseases, urticaria and angioedema, venom hypersensitivity, anaphylaxis and food allergy, immunotherapy, immune modulators and biologics, immune deficiency and autoimmunity, T cell and B cell functions, regulatory T cells, natural killer cells, mast cell and eosinophil functions, complement abnormalities.
×
引用
GB/T 7714-2015
复制
MLA
复制
APA
复制
导出至
BibTeX EndNote RefMan NoteFirst NoteExpress
×
提示
您的信息不完整,为了账户安全,请先补充。
现在去补充
×
提示
您因"违规操作"
具体请查看互助需知
我知道了
×
提示
确定
请完成安全验证×
copy
已复制链接
快去分享给好友吧!
我知道了
右上角分享
点击右上角分享
0
联系我们:info@booksci.cn Book学术提供免费学术资源搜索服务,方便国内外学者检索中英文文献。致力于提供最便捷和优质的服务体验。 Copyright © 2023 布克学术 All rights reserved.
京ICP备2023020795号-1
ghs 京公网安备 11010802042870号
Book学术文献互助
Book学术文献互助群
群 号:604180095
Book学术官方微信