全膝关节置换术治疗血友病患者伸直位强直膝关节:中长期单中心经验。

IF 1.8 3区 医学 Q2 SURGERY
Zhongyi Zhang, Yi Tang, Zhaokai Jin, Lei Chen, Xinyu Hu, Yichen Gong, Shineng Lin, Guoqian Chen, Shuaijie Lv, Peijian Tong
{"title":"全膝关节置换术治疗血友病患者伸直位强直膝关节:中长期单中心经验。","authors":"Zhongyi Zhang, Yi Tang, Zhaokai Jin, Lei Chen, Xinyu Hu, Yichen Gong, Shineng Lin, Guoqian Chen, Shuaijie Lv, Peijian Tong","doi":"10.1186/s12893-025-03102-5","DOIUrl":null,"url":null,"abstract":"<p><strong>Background: </strong>Total knee arthroplasty (TKA) is one of the curative methods for patients with end-stage ankylosed knees. However, the existing methods are difficult to enable patients with hemophilic ankylosed knees to recover good functional activities.</p><p><strong>Methods: </strong>Between January 2008 and December 2021, 22 male patients with ankylosed knees in the extended position due to hemophilia underwent TKA. The average age of the patients was 41.3 years (range, 19 to 52 years), and the average hospital stay was 33.4 days (range, 14 to 50 days). TKA was performed using quadriceps tendon Z-lengthening plasty, staged osteotomy, and comprehensive soft-tissue release. A variety of methods were used to evaluate the postoperative clinical outcomes and complications, including range of motion (ROM) assessment, Visual Analogue Scale (VAS), Knee Society Score (KSS), and the Western Ontario and McMaster Universities Osteoarthritis Index (WOMAC).</p><p><strong>Results: </strong>At the last follow-up, the average KSS increased from 75.14 ± 34.63 before surgery to 148.41 ± 27.74 (P < 0.001), the ROM increased from 0 to 86.14 ± 24.69 (P < 0.001), the WOMAC score changed from 28.05 ± 11.20 before surgery to 10.82 ± 11.00 (P < 0.001), and the average VAS score decreased from 2.86 ± 1.86 to 0.73 ± 1.20 (P < 0.001).</p><p><strong>Conclusion: </strong>Although the recovery of range of motion is lower than normal and there is a relatively high incidence of complications, TKA can still significantly improve the flexion and extension functions, mobility, and quality of life of patients with ankylosed knees.</p>","PeriodicalId":49229,"journal":{"name":"BMC Surgery","volume":"25 1","pages":"405"},"PeriodicalIF":1.8000,"publicationDate":"2025-09-02","publicationTypes":"Journal Article","fieldsOfStudy":null,"isOpenAccess":false,"openAccessPdf":"https://www.ncbi.nlm.nih.gov/pmc/articles/PMC12403424/pdf/","citationCount":"0","resultStr":"{\"title\":\"Total knee arthroplasty for ankylosed knees in the extended position with hemophilia: a medium- and long-term single-center experience.\",\"authors\":\"Zhongyi Zhang, Yi Tang, Zhaokai Jin, Lei Chen, Xinyu Hu, Yichen Gong, Shineng Lin, Guoqian Chen, Shuaijie Lv, Peijian Tong\",\"doi\":\"10.1186/s12893-025-03102-5\",\"DOIUrl\":null,\"url\":null,\"abstract\":\"<p><strong>Background: </strong>Total knee arthroplasty (TKA) is one of the curative methods for patients with end-stage ankylosed knees. However, the existing methods are difficult to enable patients with hemophilic ankylosed knees to recover good functional activities.</p><p><strong>Methods: </strong>Between January 2008 and December 2021, 22 male patients with ankylosed knees in the extended position due to hemophilia underwent TKA. The average age of the patients was 41.3 years (range, 19 to 52 years), and the average hospital stay was 33.4 days (range, 14 to 50 days). TKA was performed using quadriceps tendon Z-lengthening plasty, staged osteotomy, and comprehensive soft-tissue release. A variety of methods were used to evaluate the postoperative clinical outcomes and complications, including range of motion (ROM) assessment, Visual Analogue Scale (VAS), Knee Society Score (KSS), and the Western Ontario and McMaster Universities Osteoarthritis Index (WOMAC).</p><p><strong>Results: </strong>At the last follow-up, the average KSS increased from 75.14 ± 34.63 before surgery to 148.41 ± 27.74 (P < 0.001), the ROM increased from 0 to 86.14 ± 24.69 (P < 0.001), the WOMAC score changed from 28.05 ± 11.20 before surgery to 10.82 ± 11.00 (P < 0.001), and the average VAS score decreased from 2.86 ± 1.86 to 0.73 ± 1.20 (P < 0.001).</p><p><strong>Conclusion: </strong>Although the recovery of range of motion is lower than normal and there is a relatively high incidence of complications, TKA can still significantly improve the flexion and extension functions, mobility, and quality of life of patients with ankylosed knees.</p>\",\"PeriodicalId\":49229,\"journal\":{\"name\":\"BMC Surgery\",\"volume\":\"25 1\",\"pages\":\"405\"},\"PeriodicalIF\":1.8000,\"publicationDate\":\"2025-09-02\",\"publicationTypes\":\"Journal Article\",\"fieldsOfStudy\":null,\"isOpenAccess\":false,\"openAccessPdf\":\"https://www.ncbi.nlm.nih.gov/pmc/articles/PMC12403424/pdf/\",\"citationCount\":\"0\",\"resultStr\":null,\"platform\":\"Semanticscholar\",\"paperid\":null,\"PeriodicalName\":\"BMC Surgery\",\"FirstCategoryId\":\"3\",\"ListUrlMain\":\"https://doi.org/10.1186/s12893-025-03102-5\",\"RegionNum\":3,\"RegionCategory\":\"医学\",\"ArticlePicture\":[],\"TitleCN\":null,\"AbstractTextCN\":null,\"PMCID\":null,\"EPubDate\":\"\",\"PubModel\":\"\",\"JCR\":\"Q2\",\"JCRName\":\"SURGERY\",\"Score\":null,\"Total\":0}","platform":"Semanticscholar","paperid":null,"PeriodicalName":"BMC Surgery","FirstCategoryId":"3","ListUrlMain":"https://doi.org/10.1186/s12893-025-03102-5","RegionNum":3,"RegionCategory":"医学","ArticlePicture":[],"TitleCN":null,"AbstractTextCN":null,"PMCID":null,"EPubDate":"","PubModel":"","JCR":"Q2","JCRName":"SURGERY","Score":null,"Total":0}
引用次数: 0

摘要

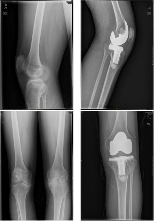
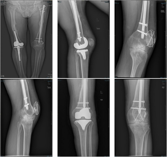
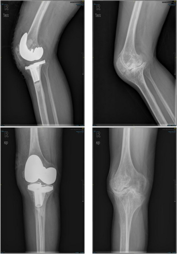
背景:全膝关节置换术(TKA)是治疗终末期膝关节强直的方法之一。然而,现有的方法很难使血友病强直膝关节患者恢复良好的功能活动。方法:2008年1月至2021年12月,对22例因血友病导致双膝伸直位强直的男性患者行全膝关节置换术。患者平均年龄41.3岁(19 ~ 52岁),平均住院时间33.4天(14 ~ 50天)。TKA采用股四头肌腱z -延长成形术、分阶段截骨和全面软组织释放。采用多种方法评估术后临床结果和并发症,包括活动范围(ROM)评估、视觉模拟量表(VAS)、膝关节社会评分(KSS)和西安大略和麦克马斯特大学骨关节炎指数(WOMAC)。结果:末次随访时,平均KSS由术前75.14±34.63上升至148.41±27.74 (P)。结论:虽然TKA术后膝关节活动范围恢复较正常低,并发症发生率较高,但仍能明显改善膝关节强直患者的屈伸功能、活动能力和生活质量。
本文章由计算机程序翻译,如有差异,请以英文原文为准。

Total knee arthroplasty for ankylosed knees in the extended position with hemophilia: a medium- and long-term single-center experience.

Total knee arthroplasty for ankylosed knees in the extended position with hemophilia: a medium- and long-term single-center experience.

Total knee arthroplasty for ankylosed knees in the extended position with hemophilia: a medium- and long-term single-center experience.

Total knee arthroplasty for ankylosed knees in the extended position with hemophilia: a medium- and long-term single-center experience.

Background: Total knee arthroplasty (TKA) is one of the curative methods for patients with end-stage ankylosed knees. However, the existing methods are difficult to enable patients with hemophilic ankylosed knees to recover good functional activities.

Methods: Between January 2008 and December 2021, 22 male patients with ankylosed knees in the extended position due to hemophilia underwent TKA. The average age of the patients was 41.3 years (range, 19 to 52 years), and the average hospital stay was 33.4 days (range, 14 to 50 days). TKA was performed using quadriceps tendon Z-lengthening plasty, staged osteotomy, and comprehensive soft-tissue release. A variety of methods were used to evaluate the postoperative clinical outcomes and complications, including range of motion (ROM) assessment, Visual Analogue Scale (VAS), Knee Society Score (KSS), and the Western Ontario and McMaster Universities Osteoarthritis Index (WOMAC).

Results: At the last follow-up, the average KSS increased from 75.14 ± 34.63 before surgery to 148.41 ± 27.74 (P < 0.001), the ROM increased from 0 to 86.14 ± 24.69 (P < 0.001), the WOMAC score changed from 28.05 ± 11.20 before surgery to 10.82 ± 11.00 (P < 0.001), and the average VAS score decreased from 2.86 ± 1.86 to 0.73 ± 1.20 (P < 0.001).

Conclusion: Although the recovery of range of motion is lower than normal and there is a relatively high incidence of complications, TKA can still significantly improve the flexion and extension functions, mobility, and quality of life of patients with ankylosed knees.

求助全文
通过发布文献求助,成功后即可免费获取论文全文。 去求助
来源期刊
BMC Surgery
BMC Surgery SURGERY-
CiteScore
2.90
自引率
5.30%
发文量
391
审稿时长
58 days
期刊介绍: BMC Surgery is an open access, peer-reviewed journal that considers articles on surgical research, training, and practice.
×
引用
GB/T 7714-2015
复制
MLA
复制
APA
复制
导出至
BibTeX EndNote RefMan NoteFirst NoteExpress
×
提示
您的信息不完整,为了账户安全,请先补充。
现在去补充
×
提示
您因"违规操作"
具体请查看互助需知
我知道了
×
提示
确定
请完成安全验证×
copy
已复制链接
快去分享给好友吧!
我知道了
右上角分享
点击右上角分享
0
联系我们:info@booksci.cn Book学术提供免费学术资源搜索服务,方便国内外学者检索中英文文献。致力于提供最便捷和优质的服务体验。 Copyright © 2023 布克学术 All rights reserved.
京ICP备2023020795号-1
ghs 京公网安备 11010802042870号
Book学术文献互助
Book学术文献互助群
群 号:604180095
Book学术官方微信