持续性左上腔静脉静脉移植伴奇静脉变异1例报告并文献复习。

IF 1.8 3区 医学 Q2 SURGERY
Li Zhang, Jingjin Wu
{"title":"持续性左上腔静脉静脉移植伴奇静脉变异1例报告并文献复习。","authors":"Li Zhang, Jingjin Wu","doi":"10.1186/s12893-025-03144-9","DOIUrl":null,"url":null,"abstract":"","PeriodicalId":49229,"journal":{"name":"BMC Surgery","volume":"25 1","pages":"389"},"PeriodicalIF":1.8000,"publicationDate":"2025-08-25","publicationTypes":"Journal Article","fieldsOfStudy":null,"isOpenAccess":false,"openAccessPdf":"https://www.ncbi.nlm.nih.gov/pmc/articles/PMC12376719/pdf/","citationCount":"0","resultStr":"{\"title\":\"Venous Port implantation in persistent left superior vena cava with azygos vein variation: a case report and literature review.\",\"authors\":\"Li Zhang, Jingjin Wu\",\"doi\":\"10.1186/s12893-025-03144-9\",\"DOIUrl\":null,\"url\":null,\"abstract\":\"\",\"PeriodicalId\":49229,\"journal\":{\"name\":\"BMC Surgery\",\"volume\":\"25 1\",\"pages\":\"389\"},\"PeriodicalIF\":1.8000,\"publicationDate\":\"2025-08-25\",\"publicationTypes\":\"Journal Article\",\"fieldsOfStudy\":null,\"isOpenAccess\":false,\"openAccessPdf\":\"https://www.ncbi.nlm.nih.gov/pmc/articles/PMC12376719/pdf/\",\"citationCount\":\"0\",\"resultStr\":null,\"platform\":\"Semanticscholar\",\"paperid\":null,\"PeriodicalName\":\"BMC Surgery\",\"FirstCategoryId\":\"3\",\"ListUrlMain\":\"https://doi.org/10.1186/s12893-025-03144-9\",\"RegionNum\":3,\"RegionCategory\":\"医学\",\"ArticlePicture\":[],\"TitleCN\":null,\"AbstractTextCN\":null,\"PMCID\":null,\"EPubDate\":\"\",\"PubModel\":\"\",\"JCR\":\"Q2\",\"JCRName\":\"SURGERY\",\"Score\":null,\"Total\":0}","platform":"Semanticscholar","paperid":null,"PeriodicalName":"BMC Surgery","FirstCategoryId":"3","ListUrlMain":"https://doi.org/10.1186/s12893-025-03144-9","RegionNum":3,"RegionCategory":"医学","ArticlePicture":[],"TitleCN":null,"AbstractTextCN":null,"PMCID":null,"EPubDate":"","PubModel":"","JCR":"Q2","JCRName":"SURGERY","Score":null,"Total":0}
引用次数: 0

摘要

本文章由计算机程序翻译,如有差异,请以英文原文为准。

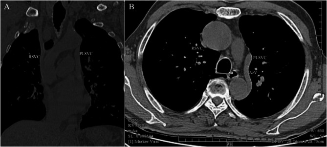
Venous Port implantation in persistent left superior vena cava with azygos vein variation: a case report and literature review.

Venous Port implantation in persistent left superior vena cava with azygos vein variation: a case report and literature review.

Venous Port implantation in persistent left superior vena cava with azygos vein variation: a case report and literature review.

Venous Port implantation in persistent left superior vena cava with azygos vein variation: a case report and literature review.
求助全文
通过发布文献求助,成功后即可免费获取论文全文。 去求助
来源期刊
BMC Surgery
BMC Surgery SURGERY-
CiteScore
2.90
自引率
5.30%
发文量
391
审稿时长
58 days
期刊介绍: BMC Surgery is an open access, peer-reviewed journal that considers articles on surgical research, training, and practice.
×
引用
GB/T 7714-2015
复制
MLA
复制
APA
复制
导出至
BibTeX EndNote RefMan NoteFirst NoteExpress
×
提示
您的信息不完整,为了账户安全,请先补充。
现在去补充
×
提示
您因"违规操作"
具体请查看互助需知
我知道了
×
提示
确定
请完成安全验证×
copy
已复制链接
快去分享给好友吧!
我知道了
右上角分享
点击右上角分享
0
联系我们:info@booksci.cn Book学术提供免费学术资源搜索服务,方便国内外学者检索中英文文献。致力于提供最便捷和优质的服务体验。 Copyright © 2023 布克学术 All rights reserved.
京ICP备2023020795号-1
ghs 京公网安备 11010802042870号
Book学术文献互助
Book学术文献互助群
群 号:604180095
Book学术官方微信