维格列汀相关大疱性类天疱疮病例系列-罕见的副作用。

IF 1.5 4区 医学 Q2 Medicine
the Indian Journal of Pharmacy Pub Date : 2025-09-01 Epub Date: 2025-08-22 DOI:10.4103/ijp.ijp_522_24
Mohit Kumar Shahi, J V Ashwin, Astha Singh, Suvrat Gupta, K Surya
{"title":"维格列汀相关大疱性类天疱疮病例系列-罕见的副作用。","authors":"Mohit Kumar Shahi, J V Ashwin, Astha Singh, Suvrat Gupta, K Surya","doi":"10.4103/ijp.ijp_522_24","DOIUrl":null,"url":null,"abstract":"<p><p>Vildagliptin, among the most commonly used, OHA, belongs to group dipeptidyl peptidase-4 inhibitors for managing type 2 diabetes mellitus, has recently been associated with bullous pemphigoid, characterized by fluid-filled blisters and erosions on the skin and mucous membranes. We report the series of three cases of bullous pemphigoid in patients of diabetes, who developed bullous pemphigoid after vildagliptin use.</p>","PeriodicalId":49189,"journal":{"name":"the Indian Journal of Pharmacy","volume":"57 5","pages":"350-352"},"PeriodicalIF":1.5000,"publicationDate":"2025-09-01","publicationTypes":"Journal Article","fieldsOfStudy":null,"isOpenAccess":false,"openAccessPdf":"https://www.ncbi.nlm.nih.gov/pmc/articles/PMC12419561/pdf/","citationCount":"0","resultStr":"{\"title\":\"A case series of vildagliptin-associated bullous pemphigoid - Rare side effect.\",\"authors\":\"Mohit Kumar Shahi, J V Ashwin, Astha Singh, Suvrat Gupta, K Surya\",\"doi\":\"10.4103/ijp.ijp_522_24\",\"DOIUrl\":null,\"url\":null,\"abstract\":\"<p><p>Vildagliptin, among the most commonly used, OHA, belongs to group dipeptidyl peptidase-4 inhibitors for managing type 2 diabetes mellitus, has recently been associated with bullous pemphigoid, characterized by fluid-filled blisters and erosions on the skin and mucous membranes. We report the series of three cases of bullous pemphigoid in patients of diabetes, who developed bullous pemphigoid after vildagliptin use.</p>\",\"PeriodicalId\":49189,\"journal\":{\"name\":\"the Indian Journal of Pharmacy\",\"volume\":\"57 5\",\"pages\":\"350-352\"},\"PeriodicalIF\":1.5000,\"publicationDate\":\"2025-09-01\",\"publicationTypes\":\"Journal Article\",\"fieldsOfStudy\":null,\"isOpenAccess\":false,\"openAccessPdf\":\"https://www.ncbi.nlm.nih.gov/pmc/articles/PMC12419561/pdf/\",\"citationCount\":\"0\",\"resultStr\":null,\"platform\":\"Semanticscholar\",\"paperid\":null,\"PeriodicalName\":\"the Indian Journal of Pharmacy\",\"FirstCategoryId\":\"3\",\"ListUrlMain\":\"https://doi.org/10.4103/ijp.ijp_522_24\",\"RegionNum\":4,\"RegionCategory\":\"医学\",\"ArticlePicture\":[],\"TitleCN\":null,\"AbstractTextCN\":null,\"PMCID\":null,\"EPubDate\":\"2025/8/22 0:00:00\",\"PubModel\":\"Epub\",\"JCR\":\"Q2\",\"JCRName\":\"Medicine\",\"Score\":null,\"Total\":0}","platform":"Semanticscholar","paperid":null,"PeriodicalName":"the Indian Journal of Pharmacy","FirstCategoryId":"3","ListUrlMain":"https://doi.org/10.4103/ijp.ijp_522_24","RegionNum":4,"RegionCategory":"医学","ArticlePicture":[],"TitleCN":null,"AbstractTextCN":null,"PMCID":null,"EPubDate":"2025/8/22 0:00:00","PubModel":"Epub","JCR":"Q2","JCRName":"Medicine","Score":null,"Total":0}
引用次数: 0

摘要

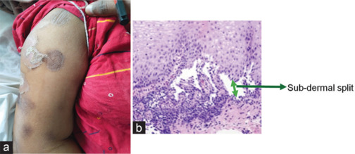
维格列汀,在最常用的OHA中,属于二肽基肽酶-4抑制剂组,用于治疗2型糖尿病,最近与大疱性类天疱疮有关,其特征是充满液体的水泡和皮肤和粘膜糜烂。我们报告了三例糖尿病患者的大疱性类天疱疮,他们在使用维格列汀后发生了大疱性类天疱疮。
本文章由计算机程序翻译,如有差异,请以英文原文为准。

A case series of vildagliptin-associated bullous pemphigoid - Rare side effect.

A case series of vildagliptin-associated bullous pemphigoid - Rare side effect.

A case series of vildagliptin-associated bullous pemphigoid - Rare side effect.

A case series of vildagliptin-associated bullous pemphigoid - Rare side effect.

Vildagliptin, among the most commonly used, OHA, belongs to group dipeptidyl peptidase-4 inhibitors for managing type 2 diabetes mellitus, has recently been associated with bullous pemphigoid, characterized by fluid-filled blisters and erosions on the skin and mucous membranes. We report the series of three cases of bullous pemphigoid in patients of diabetes, who developed bullous pemphigoid after vildagliptin use.

求助全文
通过发布文献求助,成功后即可免费获取论文全文。 去求助
来源期刊
the Indian Journal of Pharmacy
the Indian Journal of Pharmacy Pharmacology, Toxicology and Pharmaceutics-Pharmacology
CiteScore
3.60
自引率
4.20%
发文量
53
期刊介绍: Indian Journal of Pharmacology accepts, in English, review articles, articles for educational forum, original research articles (full length and short communications), letter to editor, case reports and interesting fillers. Articles concerning all aspects of pharmacology will be considered. Articles of general interest (e.g. methods, therapeutics, medical education, interesting websites, new drug information and commentary on a recent topic) are also welcome.
×
引用
GB/T 7714-2015
复制
MLA
复制
APA
复制
导出至
BibTeX EndNote RefMan NoteFirst NoteExpress
×
提示
您的信息不完整,为了账户安全,请先补充。
现在去补充
×
提示
您因"违规操作"
具体请查看互助需知
我知道了
×
提示
确定
请完成安全验证×
copy
已复制链接
快去分享给好友吧!
我知道了
右上角分享
点击右上角分享
0
联系我们:info@booksci.cn Book学术提供免费学术资源搜索服务,方便国内外学者检索中英文文献。致力于提供最便捷和优质的服务体验。 Copyright © 2023 布克学术 All rights reserved.
京ICP备2023020795号-1
ghs 京公网安备 11010802042870号
Book学术文献互助
Book学术文献互助群
群 号:604180095
Book学术官方微信