双重威胁合并肺纤维化和肺气肿2例。

IF 3.1 3区 医学 Q2 RESPIRATORY SYSTEM
Shan Peng, Fanqing Meng, Cheng Wu, Mengshu Cao, Wei Li, Xiaoyan Xin, Anning Feng
{"title":"双重威胁合并肺纤维化和肺气肿2例。","authors":"Shan Peng, Fanqing Meng, Cheng Wu, Mengshu Cao, Wei Li, Xiaoyan Xin, Anning Feng","doi":"10.2147/COPD.S523597","DOIUrl":null,"url":null,"abstract":"<p><p>Emphysema is common in fibrotic interstitial lung diseases, and its combination with pulmonary fibrosis is known as \"Combined Pulmonary Fibrosis and Emphysema (CPFE) syndrome\". The diagnosis of CPFE significantly impacts treatment strategies and prognosis. In this article, we report the clinical, imaging, and especially the pathological features of two CPFE patients. <b>Case 1</b>: A 51-year-old male patient with a history of smoking. CT scans revealed interstitial lung disease combined with pulmonary bullae. Pathology showed extensive deposition of mononuclear cells in the alveolar spaces, with some cells phagocytosing pigment. Mild fibrous tissue hyperplasia was present in the lung interstitium, along with chronic inflammation and lymphoid nodule formation. The histological findings were consistent with desquamative interstitial pneumonia (DIP), and the clinical, imaging, and pathological correlation confirmed a diagnosis of CPFE. <b>Case 2</b>: A 58-year-old male, a driver with a history of dust exposure and smoking, was admitted due to chest tightness and a cough for 2 years. Chest CT revealed interstitial changes, emphysema, and bullae in both lungs. Histopathology showed fibrous widening of alveolar septa, mild chronic inflammation, and dust cell deposition, along with emphysematous changes and bulla formation, consistent with CPFE. The purpose of this report is to increase pathologists' awareness of this complex disease and emphasize the importance of multidisciplinary cooperation in the diagnosis and treatment of CPFE. Furthermore, this article encourages further research into CPFE.</p>","PeriodicalId":48818,"journal":{"name":"International Journal of Chronic Obstructive Pulmonary Disease","volume":"20 ","pages":"2885-2891"},"PeriodicalIF":3.1000,"publicationDate":"2025-08-15","publicationTypes":"Journal Article","fieldsOfStudy":null,"isOpenAccess":false,"openAccessPdf":"https://www.ncbi.nlm.nih.gov/pmc/articles/PMC12364000/pdf/","citationCount":"0","resultStr":"{\"title\":\"The Dual Threat Combined Pulmonary Fibrosis and Emphysema (CPFE): Two Cases.\",\"authors\":\"Shan Peng, Fanqing Meng, Cheng Wu, Mengshu Cao, Wei Li, Xiaoyan Xin, Anning Feng\",\"doi\":\"10.2147/COPD.S523597\",\"DOIUrl\":null,\"url\":null,\"abstract\":\"<p><p>Emphysema is common in fibrotic interstitial lung diseases, and its combination with pulmonary fibrosis is known as \\\"Combined Pulmonary Fibrosis and Emphysema (CPFE) syndrome\\\". The diagnosis of CPFE significantly impacts treatment strategies and prognosis. In this article, we report the clinical, imaging, and especially the pathological features of two CPFE patients. <b>Case 1</b>: A 51-year-old male patient with a history of smoking. CT scans revealed interstitial lung disease combined with pulmonary bullae. Pathology showed extensive deposition of mononuclear cells in the alveolar spaces, with some cells phagocytosing pigment. Mild fibrous tissue hyperplasia was present in the lung interstitium, along with chronic inflammation and lymphoid nodule formation. The histological findings were consistent with desquamative interstitial pneumonia (DIP), and the clinical, imaging, and pathological correlation confirmed a diagnosis of CPFE. <b>Case 2</b>: A 58-year-old male, a driver with a history of dust exposure and smoking, was admitted due to chest tightness and a cough for 2 years. Chest CT revealed interstitial changes, emphysema, and bullae in both lungs. Histopathology showed fibrous widening of alveolar septa, mild chronic inflammation, and dust cell deposition, along with emphysematous changes and bulla formation, consistent with CPFE. The purpose of this report is to increase pathologists' awareness of this complex disease and emphasize the importance of multidisciplinary cooperation in the diagnosis and treatment of CPFE. Furthermore, this article encourages further research into CPFE.</p>\",\"PeriodicalId\":48818,\"journal\":{\"name\":\"International Journal of Chronic Obstructive Pulmonary Disease\",\"volume\":\"20 \",\"pages\":\"2885-2891\"},\"PeriodicalIF\":3.1000,\"publicationDate\":\"2025-08-15\",\"publicationTypes\":\"Journal Article\",\"fieldsOfStudy\":null,\"isOpenAccess\":false,\"openAccessPdf\":\"https://www.ncbi.nlm.nih.gov/pmc/articles/PMC12364000/pdf/\",\"citationCount\":\"0\",\"resultStr\":null,\"platform\":\"Semanticscholar\",\"paperid\":null,\"PeriodicalName\":\"International Journal of Chronic Obstructive Pulmonary Disease\",\"FirstCategoryId\":\"3\",\"ListUrlMain\":\"https://doi.org/10.2147/COPD.S523597\",\"RegionNum\":3,\"RegionCategory\":\"医学\",\"ArticlePicture\":[],\"TitleCN\":null,\"AbstractTextCN\":null,\"PMCID\":null,\"EPubDate\":\"2025/1/1 0:00:00\",\"PubModel\":\"eCollection\",\"JCR\":\"Q2\",\"JCRName\":\"RESPIRATORY SYSTEM\",\"Score\":null,\"Total\":0}","platform":"Semanticscholar","paperid":null,"PeriodicalName":"International Journal of Chronic Obstructive Pulmonary Disease","FirstCategoryId":"3","ListUrlMain":"https://doi.org/10.2147/COPD.S523597","RegionNum":3,"RegionCategory":"医学","ArticlePicture":[],"TitleCN":null,"AbstractTextCN":null,"PMCID":null,"EPubDate":"2025/1/1 0:00:00","PubModel":"eCollection","JCR":"Q2","JCRName":"RESPIRATORY SYSTEM","Score":null,"Total":0}
引用次数: 0

摘要

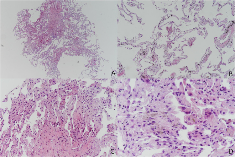
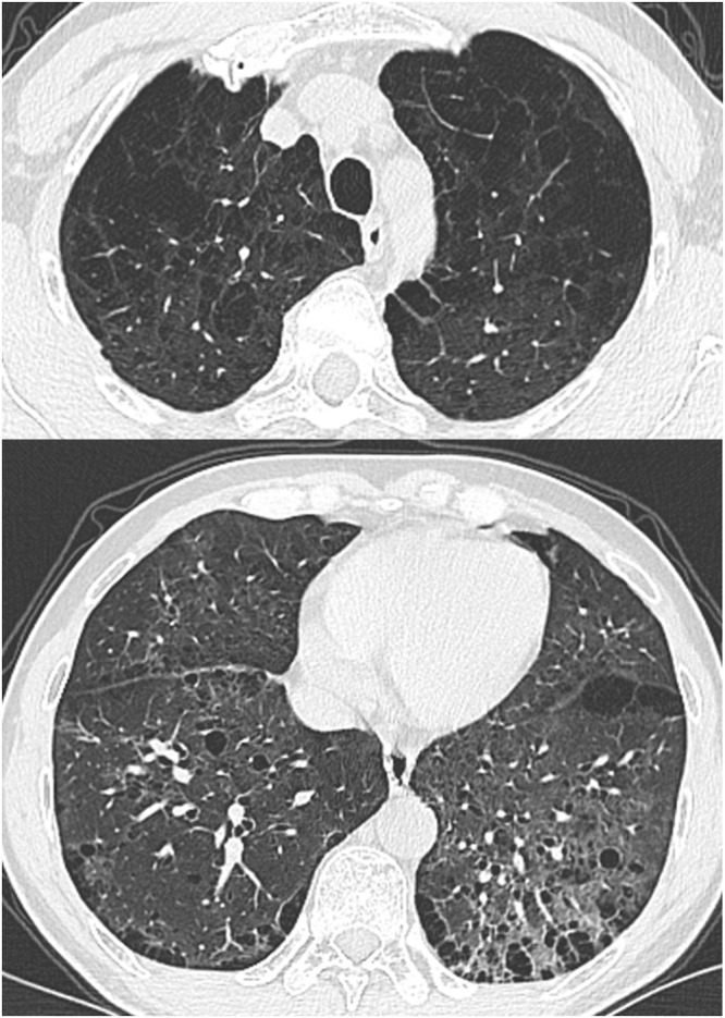
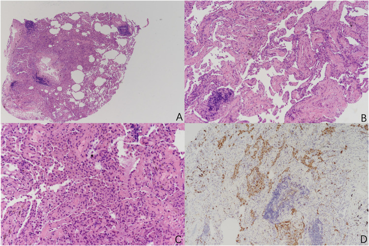
肺气肿常见于纤维化间质性肺疾病,其合并肺纤维化被称为“肺纤维化合并肺气肿综合征”。CPFE的诊断显著影响治疗策略和预后。本文报告两例CPFE患者的临床、影像学及病理特点。病例1:男性,51岁,有吸烟史。CT示肺间质性病变伴肺大泡。病理显示肺泡间隙有大量单核细胞沉积,部分细胞吞噬色素。肺间质轻度纤维组织增生,伴慢性炎症和淋巴样结节形成。组织学表现符合脱屑性间质性肺炎(DIP),临床、影像学和病理相关证实了CPFE的诊断。病例2:男,58岁,驾驶员,有粉尘接触史和吸烟史,因胸闷、咳嗽2年入院。胸部CT显示双肺间质改变、肺气肿及大泡。组织病理学显示肺泡间隔纤维增宽,轻度慢性炎症,尘埃细胞沉积,伴肺气肿改变和大泡形成,与CPFE一致。本报告的目的是提高病理学家对这一复杂疾病的认识,并强调多学科合作在CPFE诊治中的重要性。此外,本文鼓励对CPFE进行进一步的研究。
本文章由计算机程序翻译,如有差异,请以英文原文为准。

The Dual Threat Combined Pulmonary Fibrosis and Emphysema (CPFE): Two Cases.

The Dual Threat Combined Pulmonary Fibrosis and Emphysema (CPFE): Two Cases.

The Dual Threat Combined Pulmonary Fibrosis and Emphysema (CPFE): Two Cases.

The Dual Threat Combined Pulmonary Fibrosis and Emphysema (CPFE): Two Cases.

Emphysema is common in fibrotic interstitial lung diseases, and its combination with pulmonary fibrosis is known as "Combined Pulmonary Fibrosis and Emphysema (CPFE) syndrome". The diagnosis of CPFE significantly impacts treatment strategies and prognosis. In this article, we report the clinical, imaging, and especially the pathological features of two CPFE patients. Case 1: A 51-year-old male patient with a history of smoking. CT scans revealed interstitial lung disease combined with pulmonary bullae. Pathology showed extensive deposition of mononuclear cells in the alveolar spaces, with some cells phagocytosing pigment. Mild fibrous tissue hyperplasia was present in the lung interstitium, along with chronic inflammation and lymphoid nodule formation. The histological findings were consistent with desquamative interstitial pneumonia (DIP), and the clinical, imaging, and pathological correlation confirmed a diagnosis of CPFE. Case 2: A 58-year-old male, a driver with a history of dust exposure and smoking, was admitted due to chest tightness and a cough for 2 years. Chest CT revealed interstitial changes, emphysema, and bullae in both lungs. Histopathology showed fibrous widening of alveolar septa, mild chronic inflammation, and dust cell deposition, along with emphysematous changes and bulla formation, consistent with CPFE. The purpose of this report is to increase pathologists' awareness of this complex disease and emphasize the importance of multidisciplinary cooperation in the diagnosis and treatment of CPFE. Furthermore, this article encourages further research into CPFE.

求助全文
通过发布文献求助,成功后即可免费获取论文全文。 去求助
来源期刊
CiteScore
4.80
自引率
10.70%
发文量
372
审稿时长
16 weeks
期刊介绍: An international, peer-reviewed journal of therapeutics and pharmacology focusing on concise rapid reporting of clinical studies and reviews in COPD. Special focus will be given to the pathophysiological processes underlying the disease, intervention programs, patient focused education, and self management protocols. This journal is directed at specialists and healthcare professionals
×
引用
GB/T 7714-2015
复制
MLA
复制
APA
复制
导出至
BibTeX EndNote RefMan NoteFirst NoteExpress
×
提示
您的信息不完整,为了账户安全,请先补充。
现在去补充
×
提示
您因"违规操作"
具体请查看互助需知
我知道了
×
提示
确定
请完成安全验证×
copy
已复制链接
快去分享给好友吧!
我知道了
右上角分享
点击右上角分享
0
联系我们:info@booksci.cn Book学术提供免费学术资源搜索服务,方便国内外学者检索中英文文献。致力于提供最便捷和优质的服务体验。 Copyright © 2023 布克学术 All rights reserved.
京ICP备2023020795号-1
ghs 京公网安备 11010802042870号
Book学术文献互助
Book学术文献互助群
群 号:604180095
Book学术官方微信