基于双基因探针的乳中荧光假单胞菌新型灵敏重组酶辅助扩增集成试纸条

IF 5.6 3区 工程技术 Q1 CHEMISTRY, ANALYTICAL
Guangying Zhang, Lili Zhang, Jingqin Ye, Dongshu Wang, Ying Lu
{"title":"基于双基因探针的乳中荧光假单胞菌新型灵敏重组酶辅助扩增集成试纸条","authors":"Guangying Zhang, Lili Zhang, Jingqin Ye, Dongshu Wang, Ying Lu","doi":"10.3390/bios15080553","DOIUrl":null,"url":null,"abstract":"<p><p><i>Pseudomonas fluorescens</i> is the main spoilage bacterium in milk, and its proliferation is one of the factors leading to the deterioration of the quality of raw milk. In this study, a rapid detection system for <i>P. fluorescens</i> was developed based on recombinase-aided amplification combined with a test strip (RAA-TS), which contained a double test line (DTL) targeting the virulence gene <i>aprX</i> of <i>P. fluorescens</i> and the housekeeping gene <i>gyrB</i> of <i>Pseudomonas</i>. Visual observation could detect <i>gyrB</i> (50 CFU/mL) and <i>aprX</i> (250 CFU/mL) within 90 min, including sample pretreatment and RAA reaction and detection steps. No cross-reactions were observed with <i>Pseudomonas</i> or other bacteria (n = 19). The quantitative detection limits (LOD) of <i>gyrB</i> and <i>aprX</i> for <i>P. fluorescens</i> in milk were 37 CFU/mL and 233 CFU/mL, respectively. Compared with polymerase chain reaction-agarose gel electrophoresis (PCR-AGE), the sensitivity of the developed RAA-TS-DTL system was increased by approximately four times. Furthermore, it could detect live <i>P. fluorescens</i> in milk when combined with optimized sample pretreatment by propidium monoazide (PMAxx). Its consistency with the traditional culture method in the detection of <i>P. fluorescens</i> spiked in milk samples (n = 25) was 100%. The developed RAA-TS-DTL had the advantages of high accuracy and short time consumption. Thus, it provides a new way or tool for the rapid screening or detection of <i>P. fluorescens</i> in milk.</p>","PeriodicalId":48608,"journal":{"name":"Biosensors-Basel","volume":"15 8","pages":""},"PeriodicalIF":5.6000,"publicationDate":"2025-08-21","publicationTypes":"Journal Article","fieldsOfStudy":null,"isOpenAccess":false,"openAccessPdf":"https://www.ncbi.nlm.nih.gov/pmc/articles/PMC12385110/pdf/","citationCount":"0","resultStr":"{\"title\":\"A Novel Sensitive Recombinase-Aided Amplification Integrated Test Strip for <i>Pseudomonas fluorescens</i> in Milk via Dual Gene Probes.\",\"authors\":\"Guangying Zhang, Lili Zhang, Jingqin Ye, Dongshu Wang, Ying Lu\",\"doi\":\"10.3390/bios15080553\",\"DOIUrl\":null,\"url\":null,\"abstract\":\"<p><p><i>Pseudomonas fluorescens</i> is the main spoilage bacterium in milk, and its proliferation is one of the factors leading to the deterioration of the quality of raw milk. In this study, a rapid detection system for <i>P. fluorescens</i> was developed based on recombinase-aided amplification combined with a test strip (RAA-TS), which contained a double test line (DTL) targeting the virulence gene <i>aprX</i> of <i>P. fluorescens</i> and the housekeeping gene <i>gyrB</i> of <i>Pseudomonas</i>. Visual observation could detect <i>gyrB</i> (50 CFU/mL) and <i>aprX</i> (250 CFU/mL) within 90 min, including sample pretreatment and RAA reaction and detection steps. No cross-reactions were observed with <i>Pseudomonas</i> or other bacteria (n = 19). The quantitative detection limits (LOD) of <i>gyrB</i> and <i>aprX</i> for <i>P. fluorescens</i> in milk were 37 CFU/mL and 233 CFU/mL, respectively. Compared with polymerase chain reaction-agarose gel electrophoresis (PCR-AGE), the sensitivity of the developed RAA-TS-DTL system was increased by approximately four times. Furthermore, it could detect live <i>P. fluorescens</i> in milk when combined with optimized sample pretreatment by propidium monoazide (PMAxx). Its consistency with the traditional culture method in the detection of <i>P. fluorescens</i> spiked in milk samples (n = 25) was 100%. The developed RAA-TS-DTL had the advantages of high accuracy and short time consumption. Thus, it provides a new way or tool for the rapid screening or detection of <i>P. fluorescens</i> in milk.</p>\",\"PeriodicalId\":48608,\"journal\":{\"name\":\"Biosensors-Basel\",\"volume\":\"15 8\",\"pages\":\"\"},\"PeriodicalIF\":5.6000,\"publicationDate\":\"2025-08-21\",\"publicationTypes\":\"Journal Article\",\"fieldsOfStudy\":null,\"isOpenAccess\":false,\"openAccessPdf\":\"https://www.ncbi.nlm.nih.gov/pmc/articles/PMC12385110/pdf/\",\"citationCount\":\"0\",\"resultStr\":null,\"platform\":\"Semanticscholar\",\"paperid\":null,\"PeriodicalName\":\"Biosensors-Basel\",\"FirstCategoryId\":\"5\",\"ListUrlMain\":\"https://doi.org/10.3390/bios15080553\",\"RegionNum\":3,\"RegionCategory\":\"工程技术\",\"ArticlePicture\":[],\"TitleCN\":null,\"AbstractTextCN\":null,\"PMCID\":null,\"EPubDate\":\"\",\"PubModel\":\"\",\"JCR\":\"Q1\",\"JCRName\":\"CHEMISTRY, ANALYTICAL\",\"Score\":null,\"Total\":0}","platform":"Semanticscholar","paperid":null,"PeriodicalName":"Biosensors-Basel","FirstCategoryId":"5","ListUrlMain":"https://doi.org/10.3390/bios15080553","RegionNum":3,"RegionCategory":"工程技术","ArticlePicture":[],"TitleCN":null,"AbstractTextCN":null,"PMCID":null,"EPubDate":"","PubModel":"","JCR":"Q1","JCRName":"CHEMISTRY, ANALYTICAL","Score":null,"Total":0}
引用次数: 0

摘要

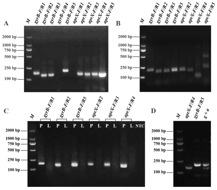
荧光假单胞菌是牛奶中的主要腐败菌,其增殖是导致原料奶质量恶化的因素之一。本研究基于重组酶辅助扩增结合试纸条(RAA-TS),建立了荧光假单胞菌毒力基因aprX和内控基因gyrB的双试纸系(DTL)快速检测系统。肉眼观察可在90 min内检测出gyrB (50 CFU/mL)和aprX (250 CFU/mL),包括样品前处理和RAA反应及检测步骤。未见与假单胞菌或其他细菌发生交叉反应(n = 19)。gyrB和aprX对牛奶中荧光杆菌的定量检出限(LOD)分别为37 CFU/mL和233 CFU/mL。与聚合酶链反应-琼脂糖凝胶电泳(PCR-AGE)相比,所建立的RAA-TS-DTL系统的灵敏度提高了约4倍。此外,与优化后的单叠氮丙啶(PMAxx)样品预处理相结合,可检测牛奶中的荧光假单胞菌。该方法与传统培养法检测25份牛奶样品中荧光假单孢菌的一致性为100%。研制的RAA-TS-DTL具有精度高、耗时短的优点。从而为牛奶中荧光假单胞菌的快速筛选或检测提供了一种新的方法或工具。
本文章由计算机程序翻译,如有差异,请以英文原文为准。

A Novel Sensitive Recombinase-Aided Amplification Integrated Test Strip for <i>Pseudomonas fluorescens</i> in Milk via Dual Gene Probes.

A Novel Sensitive Recombinase-Aided Amplification Integrated Test Strip for <i>Pseudomonas fluorescens</i> in Milk via Dual Gene Probes.

A Novel Sensitive Recombinase-Aided Amplification Integrated Test Strip for <i>Pseudomonas fluorescens</i> in Milk via Dual Gene Probes.

A Novel Sensitive Recombinase-Aided Amplification Integrated Test Strip for Pseudomonas fluorescens in Milk via Dual Gene Probes.

Pseudomonas fluorescens is the main spoilage bacterium in milk, and its proliferation is one of the factors leading to the deterioration of the quality of raw milk. In this study, a rapid detection system for P. fluorescens was developed based on recombinase-aided amplification combined with a test strip (RAA-TS), which contained a double test line (DTL) targeting the virulence gene aprX of P. fluorescens and the housekeeping gene gyrB of Pseudomonas. Visual observation could detect gyrB (50 CFU/mL) and aprX (250 CFU/mL) within 90 min, including sample pretreatment and RAA reaction and detection steps. No cross-reactions were observed with Pseudomonas or other bacteria (n = 19). The quantitative detection limits (LOD) of gyrB and aprX for P. fluorescens in milk were 37 CFU/mL and 233 CFU/mL, respectively. Compared with polymerase chain reaction-agarose gel electrophoresis (PCR-AGE), the sensitivity of the developed RAA-TS-DTL system was increased by approximately four times. Furthermore, it could detect live P. fluorescens in milk when combined with optimized sample pretreatment by propidium monoazide (PMAxx). Its consistency with the traditional culture method in the detection of P. fluorescens spiked in milk samples (n = 25) was 100%. The developed RAA-TS-DTL had the advantages of high accuracy and short time consumption. Thus, it provides a new way or tool for the rapid screening or detection of P. fluorescens in milk.

求助全文
通过发布文献求助,成功后即可免费获取论文全文。 去求助
来源期刊
Biosensors-Basel
Biosensors-Basel Biochemistry, Genetics and Molecular Biology-Clinical Biochemistry
CiteScore
6.60
自引率
14.80%
发文量
983
审稿时长
11 weeks
期刊介绍: Biosensors (ISSN 2079-6374) provides an advanced forum for studies related to the science and technology of biosensors and biosensing. It publishes original research papers, comprehensive reviews and communications. Our aim is to encourage scientists to publish their experimental and theoretical results in as much detail as possible. There is no restriction on the length of the papers. The full experimental details must be provided so that the results can be reproduced. Electronic files and software regarding the full details of the calculation or experimental procedure, if unable to be published in a normal way, can be deposited as supplementary electronic material.
×
引用
GB/T 7714-2015
复制
MLA
复制
APA
复制
导出至
BibTeX EndNote RefMan NoteFirst NoteExpress
×
提示
您的信息不完整,为了账户安全,请先补充。
现在去补充
×
提示
您因"违规操作"
具体请查看互助需知
我知道了
×
提示
确定
请完成安全验证×
copy
已复制链接
快去分享给好友吧!
我知道了
右上角分享
点击右上角分享
0
联系我们:info@booksci.cn Book学术提供免费学术资源搜索服务,方便国内外学者检索中英文文献。致力于提供最便捷和优质的服务体验。 Copyright © 2023 布克学术 All rights reserved.
京ICP备2023020795号-1
ghs 京公网安备 11010802042870号
Book学术文献互助
Book学术文献互助群
群 号:604180095
Book学术官方微信