诊断和治疗的挑战肝素诱导血小板减少在HIV免疫缺陷:关于儿科病例(病例报告)。

IF 1 Q4 PUBLIC, ENVIRONMENTAL & OCCUPATIONAL HEALTH
Pan African Medical Journal Pub Date : 2025-06-13 eCollection Date: 2025-01-01 DOI:10.11604/pamj.2025.51.43.46466
Mouna Zouine, Yousra El Boussadani, Abdallah Oulmaati
{"title":"诊断和治疗的挑战肝素诱导血小板减少在HIV免疫缺陷:关于儿科病例(病例报告)。","authors":"Mouna Zouine, Yousra El Boussadani, Abdallah Oulmaati","doi":"10.11604/pamj.2025.51.43.46466","DOIUrl":null,"url":null,"abstract":"<p><p>We are dealing with a female infant case who had a cerebral venous thrombosis, revealing a secondary immunodeficiency, owing to a human immunodeficiency virus infection. After anticoagulant treatment with low-molecular-weight heparin (LMWH), it came to light that she had a severe thrombocytopenia, suggesting a thrombocytopenia induced by an auto-immune origin of heparin. Within a developing country in which means of confirmation are not always available, it was difficult to identify whether severe thrombocytopenia was owing to HIV infection, sepsis, or heparin. The therapeutic decision was therefore difficult, because stopping anticoagulation can lead to a cerebral thrombosis extension.</p>","PeriodicalId":48190,"journal":{"name":"Pan African Medical Journal","volume":"51 ","pages":"43"},"PeriodicalIF":1.0000,"publicationDate":"2025-06-13","publicationTypes":"Journal Article","fieldsOfStudy":null,"isOpenAccess":false,"openAccessPdf":"https://www.ncbi.nlm.nih.gov/pmc/articles/PMC12374743/pdf/","citationCount":"0","resultStr":"{\"title\":\"Diagnostic and therapeutic challenges of a heparin-induced thrombocytopenia in HIV immunodeficiency: in regards to a pediatric case (a case report).\",\"authors\":\"Mouna Zouine, Yousra El Boussadani, Abdallah Oulmaati\",\"doi\":\"10.11604/pamj.2025.51.43.46466\",\"DOIUrl\":null,\"url\":null,\"abstract\":\"<p><p>We are dealing with a female infant case who had a cerebral venous thrombosis, revealing a secondary immunodeficiency, owing to a human immunodeficiency virus infection. After anticoagulant treatment with low-molecular-weight heparin (LMWH), it came to light that she had a severe thrombocytopenia, suggesting a thrombocytopenia induced by an auto-immune origin of heparin. Within a developing country in which means of confirmation are not always available, it was difficult to identify whether severe thrombocytopenia was owing to HIV infection, sepsis, or heparin. The therapeutic decision was therefore difficult, because stopping anticoagulation can lead to a cerebral thrombosis extension.</p>\",\"PeriodicalId\":48190,\"journal\":{\"name\":\"Pan African Medical Journal\",\"volume\":\"51 \",\"pages\":\"43\"},\"PeriodicalIF\":1.0000,\"publicationDate\":\"2025-06-13\",\"publicationTypes\":\"Journal Article\",\"fieldsOfStudy\":null,\"isOpenAccess\":false,\"openAccessPdf\":\"https://www.ncbi.nlm.nih.gov/pmc/articles/PMC12374743/pdf/\",\"citationCount\":\"0\",\"resultStr\":null,\"platform\":\"Semanticscholar\",\"paperid\":null,\"PeriodicalName\":\"Pan African Medical Journal\",\"FirstCategoryId\":\"1085\",\"ListUrlMain\":\"https://doi.org/10.11604/pamj.2025.51.43.46466\",\"RegionNum\":0,\"RegionCategory\":null,\"ArticlePicture\":[],\"TitleCN\":null,\"AbstractTextCN\":null,\"PMCID\":null,\"EPubDate\":\"2025/1/1 0:00:00\",\"PubModel\":\"eCollection\",\"JCR\":\"Q4\",\"JCRName\":\"PUBLIC, ENVIRONMENTAL & OCCUPATIONAL HEALTH\",\"Score\":null,\"Total\":0}","platform":"Semanticscholar","paperid":null,"PeriodicalName":"Pan African Medical Journal","FirstCategoryId":"1085","ListUrlMain":"https://doi.org/10.11604/pamj.2025.51.43.46466","RegionNum":0,"RegionCategory":null,"ArticlePicture":[],"TitleCN":null,"AbstractTextCN":null,"PMCID":null,"EPubDate":"2025/1/1 0:00:00","PubModel":"eCollection","JCR":"Q4","JCRName":"PUBLIC, ENVIRONMENTAL & OCCUPATIONAL HEALTH","Score":null,"Total":0}
引用次数: 0

摘要

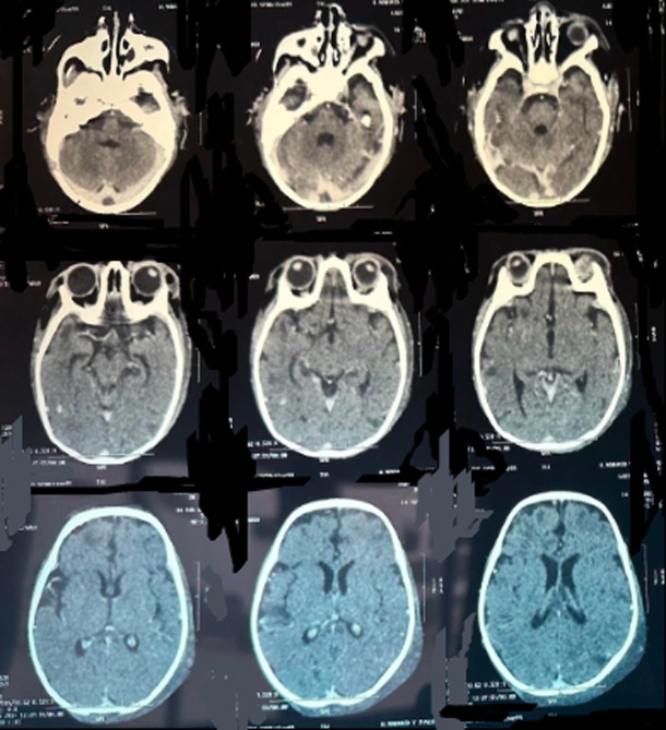
我们正在处理一个女婴病例,她有脑静脉血栓,显示继发性免疫缺陷,由于人类免疫缺陷病毒感染。在用低分子肝素(LMWH)进行抗凝治疗后,发现她患有严重的血小板减少症,这表明血小板减少症是由肝素的自身免疫来源引起的。在发展中国家,确诊手段并不总是可用,因此很难确定严重血小板减少症是由于艾滋病毒感染、败血症还是肝素所致。因此,治疗决定是困难的,因为停止抗凝可能导致脑血栓扩展。
本文章由计算机程序翻译,如有差异,请以英文原文为准。

Diagnostic and therapeutic challenges of a heparin-induced thrombocytopenia in HIV immunodeficiency: in regards to a pediatric case (a case report).

Diagnostic and therapeutic challenges of a heparin-induced thrombocytopenia in HIV immunodeficiency: in regards to a pediatric case (a case report).

Diagnostic and therapeutic challenges of a heparin-induced thrombocytopenia in HIV immunodeficiency: in regards to a pediatric case (a case report).

We are dealing with a female infant case who had a cerebral venous thrombosis, revealing a secondary immunodeficiency, owing to a human immunodeficiency virus infection. After anticoagulant treatment with low-molecular-weight heparin (LMWH), it came to light that she had a severe thrombocytopenia, suggesting a thrombocytopenia induced by an auto-immune origin of heparin. Within a developing country in which means of confirmation are not always available, it was difficult to identify whether severe thrombocytopenia was owing to HIV infection, sepsis, or heparin. The therapeutic decision was therefore difficult, because stopping anticoagulation can lead to a cerebral thrombosis extension.

求助全文
通过发布文献求助,成功后即可免费获取论文全文。 去求助
来源期刊
Pan African Medical Journal
Pan African Medical Journal PUBLIC, ENVIRONMENTAL & OCCUPATIONAL HEALTH-
CiteScore
1.80
自引率
0.00%
发文量
691
×
引用
GB/T 7714-2015
复制
MLA
复制
APA
复制
导出至
BibTeX EndNote RefMan NoteFirst NoteExpress
×
提示
您的信息不完整,为了账户安全,请先补充。
现在去补充
×
提示
您因"违规操作"
具体请查看互助需知
我知道了
×
提示
确定
请完成安全验证×
copy
已复制链接
快去分享给好友吧!
我知道了
右上角分享
点击右上角分享
0
联系我们:info@booksci.cn Book学术提供免费学术资源搜索服务,方便国内外学者检索中英文文献。致力于提供最便捷和优质的服务体验。 Copyright © 2023 布克学术 All rights reserved.
京ICP备2023020795号-1
ghs 京公网安备 11010802042870号
Book学术文献互助
Book学术文献互助群
群 号:604180095
Book学术官方微信