b型all患儿卵巢复发1例。

IF 1 Q4 PUBLIC, ENVIRONMENTAL & OCCUPATIONAL HEALTH
Pan African Medical Journal Pub Date : 2025-06-18 eCollection Date: 2025-01-01 DOI:10.11604/pamj.2025.51.50.45756
Meriem Cheikhna, Chaimae El Mahdaoui, Nisrine Bennani Guebessi, Asmaa Zeggwagh, Nisrine Khoubila, Mouna Lamchahab, Meryem Qachouh, Mohamed Rachid, Abdellah Madani, Siham Cherkaoui
{"title":"b型all患儿卵巢复发1例。","authors":"Meriem Cheikhna, Chaimae El Mahdaoui, Nisrine Bennani Guebessi, Asmaa Zeggwagh, Nisrine Khoubila, Mouna Lamchahab, Meryem Qachouh, Mohamed Rachid, Abdellah Madani, Siham Cherkaoui","doi":"10.11604/pamj.2025.51.50.45756","DOIUrl":null,"url":null,"abstract":"<p><p>This case presents an 8-year-old girl diagnosed with B-cell acute lymphoblastic leukemia (B-ALL), who relapsed after 3 years of treatment and 1 year of complete remission, with an unusual extramedullary relapse in the ovary. Ovarian relapse of B-ALL is extremely rare in children, making this case noteworthy in scientific literature. The patient had an initial diagnosis of B-ALL with a deletion of chromosome 12, a genetic alteration previously associated with the ETV6-RUNX1 fusion gene, which is typically linked to a favorable prognosis but also carries a 20% risk of late relapse. The relapse was initially asymptomatic and went undetected until clinical symptoms of pelvic pain appeared. Imaging with pelvic ultrasound confirmed the ovarian involvement. The relapse was treated with standard chemotherapy protocols for B-ALL, resulting in a partial response. This case underscores the importance of considering extramedullary relapse in the differential diagnosis for pediatric ALL patients who present with atypical symptoms after remission. It also suggests that routine pelvic ultrasound could be a useful tool for early detection of ovarian and other extramedullary relapses, which are often associated with bone marrow relapse. The main take-away from this case is the necessity for vigilant follow-up, including targeted imaging, in ALL patient's post-remission to ensure early identification of extramedullary relapses, which can otherwise be easily overlooked. The presence of chromosome 12 deletion and its association with late relapse highlights the need for ongoing surveillance even in patients with initial favorable genetic abnormalities.</p>","PeriodicalId":48190,"journal":{"name":"Pan African Medical Journal","volume":"51 ","pages":"50"},"PeriodicalIF":1.0000,"publicationDate":"2025-06-18","publicationTypes":"Journal Article","fieldsOfStudy":null,"isOpenAccess":false,"openAccessPdf":"https://www.ncbi.nlm.nih.gov/pmc/articles/PMC12374740/pdf/","citationCount":"0","resultStr":"{\"title\":\"Ovarian relapse in a child with B-ALL: a case report.\",\"authors\":\"Meriem Cheikhna, Chaimae El Mahdaoui, Nisrine Bennani Guebessi, Asmaa Zeggwagh, Nisrine Khoubila, Mouna Lamchahab, Meryem Qachouh, Mohamed Rachid, Abdellah Madani, Siham Cherkaoui\",\"doi\":\"10.11604/pamj.2025.51.50.45756\",\"DOIUrl\":null,\"url\":null,\"abstract\":\"<p><p>This case presents an 8-year-old girl diagnosed with B-cell acute lymphoblastic leukemia (B-ALL), who relapsed after 3 years of treatment and 1 year of complete remission, with an unusual extramedullary relapse in the ovary. Ovarian relapse of B-ALL is extremely rare in children, making this case noteworthy in scientific literature. The patient had an initial diagnosis of B-ALL with a deletion of chromosome 12, a genetic alteration previously associated with the ETV6-RUNX1 fusion gene, which is typically linked to a favorable prognosis but also carries a 20% risk of late relapse. The relapse was initially asymptomatic and went undetected until clinical symptoms of pelvic pain appeared. Imaging with pelvic ultrasound confirmed the ovarian involvement. The relapse was treated with standard chemotherapy protocols for B-ALL, resulting in a partial response. This case underscores the importance of considering extramedullary relapse in the differential diagnosis for pediatric ALL patients who present with atypical symptoms after remission. It also suggests that routine pelvic ultrasound could be a useful tool for early detection of ovarian and other extramedullary relapses, which are often associated with bone marrow relapse. The main take-away from this case is the necessity for vigilant follow-up, including targeted imaging, in ALL patient's post-remission to ensure early identification of extramedullary relapses, which can otherwise be easily overlooked. The presence of chromosome 12 deletion and its association with late relapse highlights the need for ongoing surveillance even in patients with initial favorable genetic abnormalities.</p>\",\"PeriodicalId\":48190,\"journal\":{\"name\":\"Pan African Medical Journal\",\"volume\":\"51 \",\"pages\":\"50\"},\"PeriodicalIF\":1.0000,\"publicationDate\":\"2025-06-18\",\"publicationTypes\":\"Journal Article\",\"fieldsOfStudy\":null,\"isOpenAccess\":false,\"openAccessPdf\":\"https://www.ncbi.nlm.nih.gov/pmc/articles/PMC12374740/pdf/\",\"citationCount\":\"0\",\"resultStr\":null,\"platform\":\"Semanticscholar\",\"paperid\":null,\"PeriodicalName\":\"Pan African Medical Journal\",\"FirstCategoryId\":\"1085\",\"ListUrlMain\":\"https://doi.org/10.11604/pamj.2025.51.50.45756\",\"RegionNum\":0,\"RegionCategory\":null,\"ArticlePicture\":[],\"TitleCN\":null,\"AbstractTextCN\":null,\"PMCID\":null,\"EPubDate\":\"2025/1/1 0:00:00\",\"PubModel\":\"eCollection\",\"JCR\":\"Q4\",\"JCRName\":\"PUBLIC, ENVIRONMENTAL & OCCUPATIONAL HEALTH\",\"Score\":null,\"Total\":0}","platform":"Semanticscholar","paperid":null,"PeriodicalName":"Pan African Medical Journal","FirstCategoryId":"1085","ListUrlMain":"https://doi.org/10.11604/pamj.2025.51.50.45756","RegionNum":0,"RegionCategory":null,"ArticlePicture":[],"TitleCN":null,"AbstractTextCN":null,"PMCID":null,"EPubDate":"2025/1/1 0:00:00","PubModel":"eCollection","JCR":"Q4","JCRName":"PUBLIC, ENVIRONMENTAL & OCCUPATIONAL HEALTH","Score":null,"Total":0}
引用次数: 0

摘要

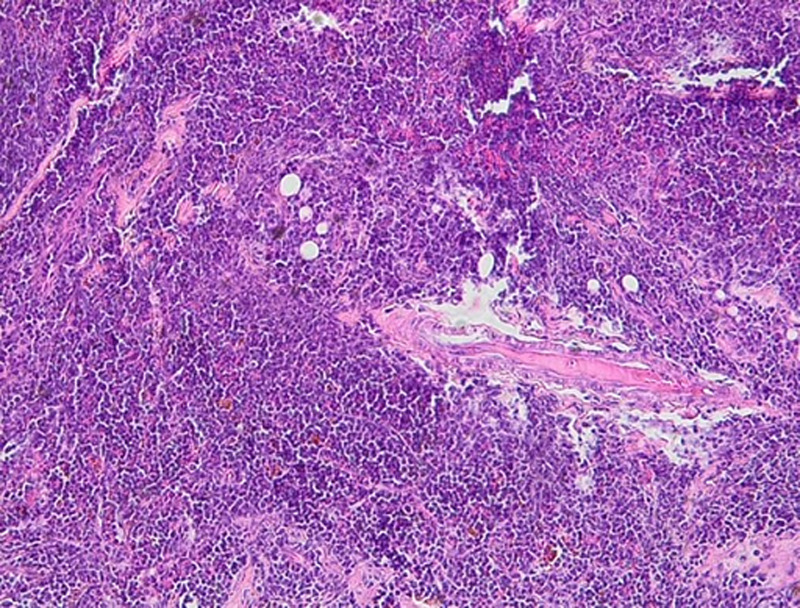
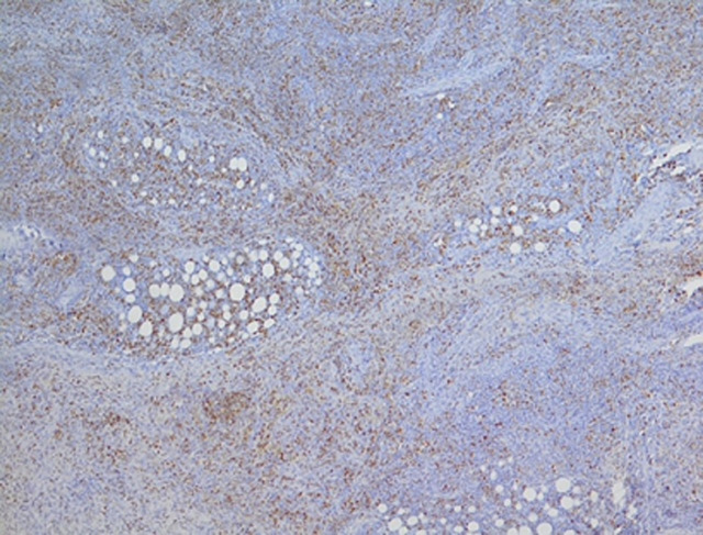
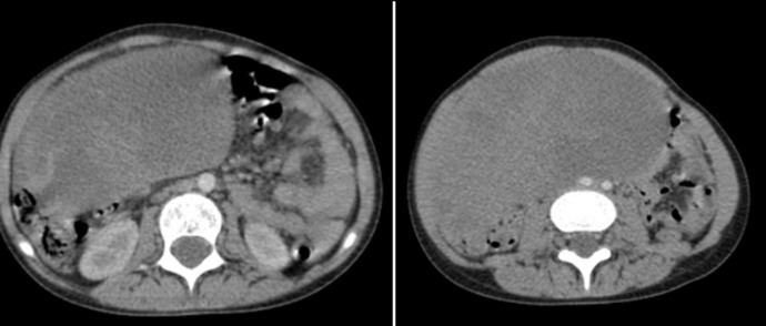
本病例是一名8岁女孩,诊断为b细胞急性淋巴细胞白血病(B-ALL),经过3年的治疗和1年的完全缓解后复发,卵巢髓外复发。B-ALL卵巢复发在儿童中极为罕见,这在科学文献中值得注意。患者最初诊断为B-ALL,伴有12号染色体缺失,这是一种与ETV6-RUNX1融合基因相关的遗传改变,通常与良好的预后有关,但也有20%的晚期复发风险。复发最初无症状,直到出现骨盆疼痛的临床症状才被发现。盆腔超声检查证实卵巢受累。复发用B-ALL的标准化疗方案治疗,导致部分缓解。本病例强调了在缓解后出现非典型症状的儿科ALL患者鉴别诊断中考虑髓外复发的重要性。它还表明,常规盆腔超声可能是早期发现卵巢和其他髓外复发的有用工具,这些复发通常与骨髓复发有关。从这个病例中得到的主要结论是,在ALL患者缓解后,有必要进行警惕的随访,包括有针对性的影像学检查,以确保早期发现髓外复发,否则很容易被忽视。12号染色体缺失的存在及其与晚期复发的关系强调了即使在最初有利的遗传异常患者中也需要持续监测。
本文章由计算机程序翻译,如有差异,请以英文原文为准。

Ovarian relapse in a child with B-ALL: a case report.

Ovarian relapse in a child with B-ALL: a case report.

Ovarian relapse in a child with B-ALL: a case report.

Ovarian relapse in a child with B-ALL: a case report.

This case presents an 8-year-old girl diagnosed with B-cell acute lymphoblastic leukemia (B-ALL), who relapsed after 3 years of treatment and 1 year of complete remission, with an unusual extramedullary relapse in the ovary. Ovarian relapse of B-ALL is extremely rare in children, making this case noteworthy in scientific literature. The patient had an initial diagnosis of B-ALL with a deletion of chromosome 12, a genetic alteration previously associated with the ETV6-RUNX1 fusion gene, which is typically linked to a favorable prognosis but also carries a 20% risk of late relapse. The relapse was initially asymptomatic and went undetected until clinical symptoms of pelvic pain appeared. Imaging with pelvic ultrasound confirmed the ovarian involvement. The relapse was treated with standard chemotherapy protocols for B-ALL, resulting in a partial response. This case underscores the importance of considering extramedullary relapse in the differential diagnosis for pediatric ALL patients who present with atypical symptoms after remission. It also suggests that routine pelvic ultrasound could be a useful tool for early detection of ovarian and other extramedullary relapses, which are often associated with bone marrow relapse. The main take-away from this case is the necessity for vigilant follow-up, including targeted imaging, in ALL patient's post-remission to ensure early identification of extramedullary relapses, which can otherwise be easily overlooked. The presence of chromosome 12 deletion and its association with late relapse highlights the need for ongoing surveillance even in patients with initial favorable genetic abnormalities.

求助全文
通过发布文献求助,成功后即可免费获取论文全文。 去求助
来源期刊
Pan African Medical Journal
Pan African Medical Journal PUBLIC, ENVIRONMENTAL & OCCUPATIONAL HEALTH-
CiteScore
1.80
自引率
0.00%
发文量
691
×
引用
GB/T 7714-2015
复制
MLA
复制
APA
复制
导出至
BibTeX EndNote RefMan NoteFirst NoteExpress
×
提示
您的信息不完整,为了账户安全,请先补充。
现在去补充
×
提示
您因"违规操作"
具体请查看互助需知
我知道了
×
提示
确定
请完成安全验证×
copy
已复制链接
快去分享给好友吧!
我知道了
右上角分享
点击右上角分享
0
联系我们:info@booksci.cn Book学术提供免费学术资源搜索服务,方便国内外学者检索中英文文献。致力于提供最便捷和优质的服务体验。 Copyright © 2023 布克学术 All rights reserved.
京ICP备2023020795号-1
ghs 京公网安备 11010802042870号
Book学术文献互助
Book学术文献互助群
群 号:604180095
Book学术官方微信