胸部超声在肺脓肿诊断及随访中的应用。

IF 1.2 Q4 RESPIRATORY SYSTEM
Lung India Pub Date : 2025-09-01 Epub Date: 2025-09-02 DOI:10.4103/lungindia.lungindia_11_25
Göksel Menek, Coşkun Doğan
{"title":"胸部超声在肺脓肿诊断及随访中的应用。","authors":"Göksel Menek, Coşkun Doğan","doi":"10.4103/lungindia.lungindia_11_25","DOIUrl":null,"url":null,"abstract":"<p><p>Thoracic ultrasonography (TUS) is a long-established imaging modality with proven efficacy and reliability in the diagnosis of numerous pleuro-parenchymal diseases. Lung abscess (LA) is an infectious disease characterized by liquefactive necrosis and cavitation within the pulmonary parenchyma, typically occurring in immunosuppressed patients or those with various risk factors. Its treatment involves effective antibiotic therapy and, in rare cases, drainage or surgery. Obtaining a sample from the LA, when feasible, is crucial for initiating targeted therapy based on the pathogen identified in the culture. In this case report, we present a 44-year-old female patient hospitalized for an LA. The abscess was visualized via TUS, sampled under ultrasound guidance and successfully managed with ongoing ultrasonographic monitoring.</p>","PeriodicalId":47462,"journal":{"name":"Lung India","volume":"42 5","pages":"461-464"},"PeriodicalIF":1.2000,"publicationDate":"2025-09-01","publicationTypes":"Journal Article","fieldsOfStudy":null,"isOpenAccess":false,"openAccessPdf":"https://www.ncbi.nlm.nih.gov/pmc/articles/PMC12453526/pdf/","citationCount":"0","resultStr":"{\"title\":\"Thoracic ultrasonography in the diagnosis and follow-up of lung abscess.\",\"authors\":\"Göksel Menek, Coşkun Doğan\",\"doi\":\"10.4103/lungindia.lungindia_11_25\",\"DOIUrl\":null,\"url\":null,\"abstract\":\"<p><p>Thoracic ultrasonography (TUS) is a long-established imaging modality with proven efficacy and reliability in the diagnosis of numerous pleuro-parenchymal diseases. Lung abscess (LA) is an infectious disease characterized by liquefactive necrosis and cavitation within the pulmonary parenchyma, typically occurring in immunosuppressed patients or those with various risk factors. Its treatment involves effective antibiotic therapy and, in rare cases, drainage or surgery. Obtaining a sample from the LA, when feasible, is crucial for initiating targeted therapy based on the pathogen identified in the culture. In this case report, we present a 44-year-old female patient hospitalized for an LA. The abscess was visualized via TUS, sampled under ultrasound guidance and successfully managed with ongoing ultrasonographic monitoring.</p>\",\"PeriodicalId\":47462,\"journal\":{\"name\":\"Lung India\",\"volume\":\"42 5\",\"pages\":\"461-464\"},\"PeriodicalIF\":1.2000,\"publicationDate\":\"2025-09-01\",\"publicationTypes\":\"Journal Article\",\"fieldsOfStudy\":null,\"isOpenAccess\":false,\"openAccessPdf\":\"https://www.ncbi.nlm.nih.gov/pmc/articles/PMC12453526/pdf/\",\"citationCount\":\"0\",\"resultStr\":null,\"platform\":\"Semanticscholar\",\"paperid\":null,\"PeriodicalName\":\"Lung India\",\"FirstCategoryId\":\"1085\",\"ListUrlMain\":\"https://doi.org/10.4103/lungindia.lungindia_11_25\",\"RegionNum\":0,\"RegionCategory\":null,\"ArticlePicture\":[],\"TitleCN\":null,\"AbstractTextCN\":null,\"PMCID\":null,\"EPubDate\":\"2025/9/2 0:00:00\",\"PubModel\":\"Epub\",\"JCR\":\"Q4\",\"JCRName\":\"RESPIRATORY SYSTEM\",\"Score\":null,\"Total\":0}","platform":"Semanticscholar","paperid":null,"PeriodicalName":"Lung India","FirstCategoryId":"1085","ListUrlMain":"https://doi.org/10.4103/lungindia.lungindia_11_25","RegionNum":0,"RegionCategory":null,"ArticlePicture":[],"TitleCN":null,"AbstractTextCN":null,"PMCID":null,"EPubDate":"2025/9/2 0:00:00","PubModel":"Epub","JCR":"Q4","JCRName":"RESPIRATORY SYSTEM","Score":null,"Total":0}
引用次数: 0

摘要

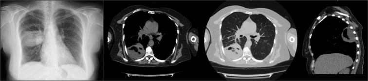
胸部超声(TUS)是一种长期建立的成像方式,在诊断许多胸膜实质疾病方面具有公认的有效性和可靠性。肺脓肿(LA)是一种以肺实质内液化性坏死和空化为特征的传染病,多见于免疫抑制患者或有多种危险因素的患者。它的治疗包括有效的抗生素治疗,在极少数情况下,引流或手术。在可行的情况下,从LA获取样本对于根据培养物中鉴定的病原体启动靶向治疗至关重要。在这个病例报告中,我们提出了一个44岁的女性患者住院的洛杉矶。脓肿通过超声显像,在超声引导下取样,并在持续的超声监测下成功处理。
本文章由计算机程序翻译,如有差异,请以英文原文为准。

Thoracic ultrasonography in the diagnosis and follow-up of lung abscess.

Thoracic ultrasonography in the diagnosis and follow-up of lung abscess.

Thoracic ultrasonography in the diagnosis and follow-up of lung abscess.

Thoracic ultrasonography in the diagnosis and follow-up of lung abscess.

Thoracic ultrasonography (TUS) is a long-established imaging modality with proven efficacy and reliability in the diagnosis of numerous pleuro-parenchymal diseases. Lung abscess (LA) is an infectious disease characterized by liquefactive necrosis and cavitation within the pulmonary parenchyma, typically occurring in immunosuppressed patients or those with various risk factors. Its treatment involves effective antibiotic therapy and, in rare cases, drainage or surgery. Obtaining a sample from the LA, when feasible, is crucial for initiating targeted therapy based on the pathogen identified in the culture. In this case report, we present a 44-year-old female patient hospitalized for an LA. The abscess was visualized via TUS, sampled under ultrasound guidance and successfully managed with ongoing ultrasonographic monitoring.

求助全文
通过发布文献求助,成功后即可免费获取论文全文。 去求助
来源期刊
Lung India
Lung India RESPIRATORY SYSTEM-
CiteScore
2.30
自引率
12.50%
发文量
114
审稿时长
37 weeks
×
引用
GB/T 7714-2015
复制
MLA
复制
APA
复制
导出至
BibTeX EndNote RefMan NoteFirst NoteExpress
×
提示
您的信息不完整,为了账户安全,请先补充。
现在去补充
×
提示
您因"违规操作"
具体请查看互助需知
我知道了
×
提示
确定
请完成安全验证×
copy
已复制链接
快去分享给好友吧!
我知道了
右上角分享
点击右上角分享
0
联系我们:info@booksci.cn Book学术提供免费学术资源搜索服务,方便国内外学者检索中英文文献。致力于提供最便捷和优质的服务体验。 Copyright © 2023 布克学术 All rights reserved.
京ICP备2023020795号-1
ghs 京公网安备 11010802042870号
Book学术文献互助
Book学术文献互助群
群 号:604180095
Book学术官方微信