支气管镜下治疗支气管内错构瘤的“冷热”疗法-两例患者的初步经验。

IF 1.2 Q4 RESPIRATORY SYSTEM
Lung India Pub Date : 2025-09-01 Epub Date: 2025-09-02 DOI:10.4103/lungindia.lungindia_622_24
Manu Chopra, Gaurav Mishra, Rahul Tyagi, Kislay Kishore, Aseem Yadav, Ritwik Chakrabarti, Monika Aggarwal
{"title":"支气管镜下治疗支气管内错构瘤的“冷热”疗法-两例患者的初步经验。","authors":"Manu Chopra, Gaurav Mishra, Rahul Tyagi, Kislay Kishore, Aseem Yadav, Ritwik Chakrabarti, Monika Aggarwal","doi":"10.4103/lungindia.lungindia_622_24","DOIUrl":null,"url":null,"abstract":"<p><p>Pulmonary hamartomas are the most common benign tumours of the lung and are often detected incidentally. Endobronchial hamartomas, though rare, can cause significant symptoms such as dyspnoea, haemoptysis, and recurrent respiratory infections due to bronchial obstruction. This report describes the successful bronchoscopic management of symptomatic endobronchial hamartomas in two young Indian males aged 29 and 34 years. Both cases were diagnosed based on radiological and histopathological findings. The first patient underwent eight sessions of electrocautery fulguration using a flexible bronchoscope, while the second was treated with six sessions of cryotherapy delivered through a flexible bronchoscope guided cryoprobe. All procedures were carried out under conscious sedation via nasal insertion of the flexible bronchoscope, with no requirement for rigid bronchoscopy or general anaesthesia. Both patients showed marked symptomatic improvement and near-complete resolution of endobronchial lesions. Follow-up bronchoscopies at 18 and 12 months, respectively, revealed no recurrence, and no procedure-related complications were observed. These cases highlight the safety, efficacy, and minimally invasive nature of flexible bronchoscopic techniques such as electrocautery and cryoablation in managing endobronchial hamartomas, particularly in settings where surgical options may be limited.</p>","PeriodicalId":47462,"journal":{"name":"Lung India","volume":"42 5","pages":"456-460"},"PeriodicalIF":1.2000,"publicationDate":"2025-09-01","publicationTypes":"Journal Article","fieldsOfStudy":null,"isOpenAccess":false,"openAccessPdf":"https://www.ncbi.nlm.nih.gov/pmc/articles/PMC12453540/pdf/","citationCount":"0","resultStr":"{\"title\":\"Bronchoscopic management of endobronchial hamartomas using \\\"hot and cold\\\" therapies - Initial experience in two patients.\",\"authors\":\"Manu Chopra, Gaurav Mishra, Rahul Tyagi, Kislay Kishore, Aseem Yadav, Ritwik Chakrabarti, Monika Aggarwal\",\"doi\":\"10.4103/lungindia.lungindia_622_24\",\"DOIUrl\":null,\"url\":null,\"abstract\":\"<p><p>Pulmonary hamartomas are the most common benign tumours of the lung and are often detected incidentally. Endobronchial hamartomas, though rare, can cause significant symptoms such as dyspnoea, haemoptysis, and recurrent respiratory infections due to bronchial obstruction. This report describes the successful bronchoscopic management of symptomatic endobronchial hamartomas in two young Indian males aged 29 and 34 years. Both cases were diagnosed based on radiological and histopathological findings. The first patient underwent eight sessions of electrocautery fulguration using a flexible bronchoscope, while the second was treated with six sessions of cryotherapy delivered through a flexible bronchoscope guided cryoprobe. All procedures were carried out under conscious sedation via nasal insertion of the flexible bronchoscope, with no requirement for rigid bronchoscopy or general anaesthesia. Both patients showed marked symptomatic improvement and near-complete resolution of endobronchial lesions. Follow-up bronchoscopies at 18 and 12 months, respectively, revealed no recurrence, and no procedure-related complications were observed. These cases highlight the safety, efficacy, and minimally invasive nature of flexible bronchoscopic techniques such as electrocautery and cryoablation in managing endobronchial hamartomas, particularly in settings where surgical options may be limited.</p>\",\"PeriodicalId\":47462,\"journal\":{\"name\":\"Lung India\",\"volume\":\"42 5\",\"pages\":\"456-460\"},\"PeriodicalIF\":1.2000,\"publicationDate\":\"2025-09-01\",\"publicationTypes\":\"Journal Article\",\"fieldsOfStudy\":null,\"isOpenAccess\":false,\"openAccessPdf\":\"https://www.ncbi.nlm.nih.gov/pmc/articles/PMC12453540/pdf/\",\"citationCount\":\"0\",\"resultStr\":null,\"platform\":\"Semanticscholar\",\"paperid\":null,\"PeriodicalName\":\"Lung India\",\"FirstCategoryId\":\"1085\",\"ListUrlMain\":\"https://doi.org/10.4103/lungindia.lungindia_622_24\",\"RegionNum\":0,\"RegionCategory\":null,\"ArticlePicture\":[],\"TitleCN\":null,\"AbstractTextCN\":null,\"PMCID\":null,\"EPubDate\":\"2025/9/2 0:00:00\",\"PubModel\":\"Epub\",\"JCR\":\"Q4\",\"JCRName\":\"RESPIRATORY SYSTEM\",\"Score\":null,\"Total\":0}","platform":"Semanticscholar","paperid":null,"PeriodicalName":"Lung India","FirstCategoryId":"1085","ListUrlMain":"https://doi.org/10.4103/lungindia.lungindia_622_24","RegionNum":0,"RegionCategory":null,"ArticlePicture":[],"TitleCN":null,"AbstractTextCN":null,"PMCID":null,"EPubDate":"2025/9/2 0:00:00","PubModel":"Epub","JCR":"Q4","JCRName":"RESPIRATORY SYSTEM","Score":null,"Total":0}
引用次数: 0

摘要

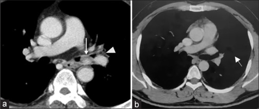
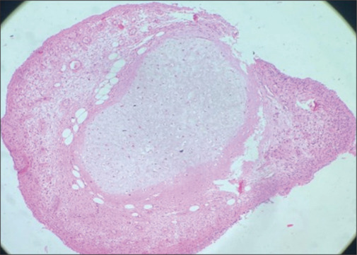
肺错构瘤是最常见的肺良性肿瘤,通常是偶然发现的。支气管内错构瘤虽然罕见,但可引起明显的症状,如呼吸困难、咯血和支气管阻塞引起的反复呼吸道感染。本报告描述两名年龄分别为29岁和34岁的年轻印度男性成功的支气管镜治疗有症状的支气管内错构瘤。这两个病例都是根据放射学和组织病理学结果诊断的。第一名患者使用柔性支气管镜进行了8次电灼,而第二名患者通过柔性支气管镜引导的冷冻探针进行了6次冷冻治疗。所有手术均在清醒镇静下进行,通过柔性支气管镜鼻腔插入,不需要刚性支气管镜或全身麻醉。两例患者均表现出明显的症状改善和支气管内病变几乎完全消退。分别在18个月和12个月随访支气管镜检查,未发现复发,也未观察到手术相关并发症。这些病例强调了柔性支气管镜技术如电灼和冷冻消融治疗支气管内错构瘤的安全性、有效性和微创性,特别是在手术选择可能有限的情况下。
本文章由计算机程序翻译,如有差异,请以英文原文为准。

Bronchoscopic management of endobronchial hamartomas using "hot and cold" therapies - Initial experience in two patients.

Bronchoscopic management of endobronchial hamartomas using "hot and cold" therapies - Initial experience in two patients.

Bronchoscopic management of endobronchial hamartomas using "hot and cold" therapies - Initial experience in two patients.

Bronchoscopic management of endobronchial hamartomas using "hot and cold" therapies - Initial experience in two patients.

Pulmonary hamartomas are the most common benign tumours of the lung and are often detected incidentally. Endobronchial hamartomas, though rare, can cause significant symptoms such as dyspnoea, haemoptysis, and recurrent respiratory infections due to bronchial obstruction. This report describes the successful bronchoscopic management of symptomatic endobronchial hamartomas in two young Indian males aged 29 and 34 years. Both cases were diagnosed based on radiological and histopathological findings. The first patient underwent eight sessions of electrocautery fulguration using a flexible bronchoscope, while the second was treated with six sessions of cryotherapy delivered through a flexible bronchoscope guided cryoprobe. All procedures were carried out under conscious sedation via nasal insertion of the flexible bronchoscope, with no requirement for rigid bronchoscopy or general anaesthesia. Both patients showed marked symptomatic improvement and near-complete resolution of endobronchial lesions. Follow-up bronchoscopies at 18 and 12 months, respectively, revealed no recurrence, and no procedure-related complications were observed. These cases highlight the safety, efficacy, and minimally invasive nature of flexible bronchoscopic techniques such as electrocautery and cryoablation in managing endobronchial hamartomas, particularly in settings where surgical options may be limited.

求助全文
通过发布文献求助,成功后即可免费获取论文全文。 去求助
来源期刊
Lung India
Lung India RESPIRATORY SYSTEM-
CiteScore
2.30
自引率
12.50%
发文量
114
审稿时长
37 weeks
×
引用
GB/T 7714-2015
复制
MLA
复制
APA
复制
导出至
BibTeX EndNote RefMan NoteFirst NoteExpress
×
提示
您的信息不完整,为了账户安全,请先补充。
现在去补充
×
提示
您因"违规操作"
具体请查看互助需知
我知道了
×
提示
确定
请完成安全验证×
copy
已复制链接
快去分享给好友吧!
我知道了
右上角分享
点击右上角分享
0
联系我们:info@booksci.cn Book学术提供免费学术资源搜索服务,方便国内外学者检索中英文文献。致力于提供最便捷和优质的服务体验。 Copyright © 2023 布克学术 All rights reserved.
京ICP备2023020795号-1
ghs 京公网安备 11010802042870号
Book学术文献互助
Book学术文献互助群
群 号:604180095
Book学术官方微信