以一个肺纤维化个案评估医学教育的跨学科整合。

IF 1.7 Q2 EDUCATION, SCIENTIFIC DISCIPLINES
Advances in Medical Education and Practice Pub Date : 2025-08-24 eCollection Date: 2025-01-01 DOI:10.2147/AMEP.S529501
Xiaorun Zhai, Yunjuan Nie
{"title":"以一个肺纤维化个案评估医学教育的跨学科整合。","authors":"Xiaorun Zhai, Yunjuan Nie","doi":"10.2147/AMEP.S529501","DOIUrl":null,"url":null,"abstract":"<p><strong>Introduction: </strong>This article examines the teaching method of experimental design in the context of Chinese universities, specifically focusing on the exploration of the disease development process. Cultivating innovative and research-oriented medical skills is a crucial objective within medical education, and the design of high-quality experimental courses is a significant aspect of optimizing and reforming medical education.</p><p><strong>Methods: </strong>Innovative experimental teaching design serves as a novel approach to integrating scientific research into undergraduate instruction. Centered on the exploration of the disease development process and combining the characteristics of clinical diseases, this method integrates experimental techniques from diverse disciplines such as anatomy, pathology, and molecular biology. It achieves a seamless fusion of theoretical knowledge and experimental operations. In this teaching initiative, students are fully immersed in the entire journey, from establishing disease-model mice to collecting and identifying samples at various time points during disease progression. Through hands-on engagement, students not only enhance their experimental skills but also gain a vivid and profound understanding of the dynamic evolution of diseases.</p><p><strong>Results: </strong>From the perspective of experimental exploration, students' theoretical understanding is reinforced, and they grasp the occurrence and progression of diseases. This approach provides technical support for scientific research and offers a new line of thinking for the treatment of clinical diseases.</p><p><strong>Conclusion: </strong>Experimental teaching focused on exploring the disease development process can foster students' scientific thinking, enhance their practical capabilities, and cultivate research-oriented medical professionals while they learn experimental techniques.</p>","PeriodicalId":47404,"journal":{"name":"Advances in Medical Education and Practice","volume":"16 ","pages":"1529-1536"},"PeriodicalIF":1.7000,"publicationDate":"2025-08-24","publicationTypes":"Journal Article","fieldsOfStudy":null,"isOpenAccess":false,"openAccessPdf":"https://www.ncbi.nlm.nih.gov/pmc/articles/PMC12397502/pdf/","citationCount":"0","resultStr":"{\"title\":\"To Evaluate Interdisciplinary Integration in Medical Education Through a Pulmonary Fibrosis Case Study.\",\"authors\":\"Xiaorun Zhai, Yunjuan Nie\",\"doi\":\"10.2147/AMEP.S529501\",\"DOIUrl\":null,\"url\":null,\"abstract\":\"<p><strong>Introduction: </strong>This article examines the teaching method of experimental design in the context of Chinese universities, specifically focusing on the exploration of the disease development process. Cultivating innovative and research-oriented medical skills is a crucial objective within medical education, and the design of high-quality experimental courses is a significant aspect of optimizing and reforming medical education.</p><p><strong>Methods: </strong>Innovative experimental teaching design serves as a novel approach to integrating scientific research into undergraduate instruction. Centered on the exploration of the disease development process and combining the characteristics of clinical diseases, this method integrates experimental techniques from diverse disciplines such as anatomy, pathology, and molecular biology. It achieves a seamless fusion of theoretical knowledge and experimental operations. In this teaching initiative, students are fully immersed in the entire journey, from establishing disease-model mice to collecting and identifying samples at various time points during disease progression. Through hands-on engagement, students not only enhance their experimental skills but also gain a vivid and profound understanding of the dynamic evolution of diseases.</p><p><strong>Results: </strong>From the perspective of experimental exploration, students' theoretical understanding is reinforced, and they grasp the occurrence and progression of diseases. This approach provides technical support for scientific research and offers a new line of thinking for the treatment of clinical diseases.</p><p><strong>Conclusion: </strong>Experimental teaching focused on exploring the disease development process can foster students' scientific thinking, enhance their practical capabilities, and cultivate research-oriented medical professionals while they learn experimental techniques.</p>\",\"PeriodicalId\":47404,\"journal\":{\"name\":\"Advances in Medical Education and Practice\",\"volume\":\"16 \",\"pages\":\"1529-1536\"},\"PeriodicalIF\":1.7000,\"publicationDate\":\"2025-08-24\",\"publicationTypes\":\"Journal Article\",\"fieldsOfStudy\":null,\"isOpenAccess\":false,\"openAccessPdf\":\"https://www.ncbi.nlm.nih.gov/pmc/articles/PMC12397502/pdf/\",\"citationCount\":\"0\",\"resultStr\":null,\"platform\":\"Semanticscholar\",\"paperid\":null,\"PeriodicalName\":\"Advances in Medical Education and Practice\",\"FirstCategoryId\":\"1085\",\"ListUrlMain\":\"https://doi.org/10.2147/AMEP.S529501\",\"RegionNum\":0,\"RegionCategory\":null,\"ArticlePicture\":[],\"TitleCN\":null,\"AbstractTextCN\":null,\"PMCID\":null,\"EPubDate\":\"2025/1/1 0:00:00\",\"PubModel\":\"eCollection\",\"JCR\":\"Q2\",\"JCRName\":\"EDUCATION, SCIENTIFIC DISCIPLINES\",\"Score\":null,\"Total\":0}","platform":"Semanticscholar","paperid":null,"PeriodicalName":"Advances in Medical Education and Practice","FirstCategoryId":"1085","ListUrlMain":"https://doi.org/10.2147/AMEP.S529501","RegionNum":0,"RegionCategory":null,"ArticlePicture":[],"TitleCN":null,"AbstractTextCN":null,"PMCID":null,"EPubDate":"2025/1/1 0:00:00","PubModel":"eCollection","JCR":"Q2","JCRName":"EDUCATION, SCIENTIFIC DISCIPLINES","Score":null,"Total":0}
引用次数: 0

摘要

导言:本文考察了中国高校背景下的实验设计教学方法,重点探讨了疾病发展过程。培养具有创新性和研究性的医学技能是医学教育的重要目标,高质量实验课程的设计是优化和改革医学教育的重要方面。方法:创新实验教学设计是将科学研究融入本科教学的新途径。该方法以探索疾病的发展过程为中心,结合临床疾病的特点,将解剖学、病理学、分子生物学等多学科的实验技术相结合。实现了理论知识与实验操作的无缝融合。在这项教学活动中,学生完全沉浸在整个过程中,从建立疾病模型小鼠到收集和识别疾病进展过程中各个时间点的样本。通过亲身实践,学生不仅提高了实验技能,而且对疾病的动态演变有了生动而深刻的认识。结果:从实验探索的角度,加强了学生的理论认识,掌握了疾病的发生、发展。该方法为科学研究提供了技术支持,为临床疾病的治疗提供了新的思路。结论:以探索疾病发展过程为重点的实验教学,在学习实验技术的同时,能培养学生的科学思维,增强学生的实践能力,培养研究型医学专业人才。
本文章由计算机程序翻译,如有差异,请以英文原文为准。

To Evaluate Interdisciplinary Integration in Medical Education Through a Pulmonary Fibrosis Case Study.

To Evaluate Interdisciplinary Integration in Medical Education Through a Pulmonary Fibrosis Case Study.

To Evaluate Interdisciplinary Integration in Medical Education Through a Pulmonary Fibrosis Case Study.

To Evaluate Interdisciplinary Integration in Medical Education Through a Pulmonary Fibrosis Case Study.

Introduction: This article examines the teaching method of experimental design in the context of Chinese universities, specifically focusing on the exploration of the disease development process. Cultivating innovative and research-oriented medical skills is a crucial objective within medical education, and the design of high-quality experimental courses is a significant aspect of optimizing and reforming medical education.

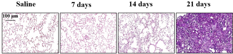
Methods: Innovative experimental teaching design serves as a novel approach to integrating scientific research into undergraduate instruction. Centered on the exploration of the disease development process and combining the characteristics of clinical diseases, this method integrates experimental techniques from diverse disciplines such as anatomy, pathology, and molecular biology. It achieves a seamless fusion of theoretical knowledge and experimental operations. In this teaching initiative, students are fully immersed in the entire journey, from establishing disease-model mice to collecting and identifying samples at various time points during disease progression. Through hands-on engagement, students not only enhance their experimental skills but also gain a vivid and profound understanding of the dynamic evolution of diseases.

Results: From the perspective of experimental exploration, students' theoretical understanding is reinforced, and they grasp the occurrence and progression of diseases. This approach provides technical support for scientific research and offers a new line of thinking for the treatment of clinical diseases.

Conclusion: Experimental teaching focused on exploring the disease development process can foster students' scientific thinking, enhance their practical capabilities, and cultivate research-oriented medical professionals while they learn experimental techniques.

求助全文
通过发布文献求助,成功后即可免费获取论文全文。 去求助
来源期刊
Advances in Medical Education and Practice
Advances in Medical Education and Practice EDUCATION, SCIENTIFIC DISCIPLINES-
CiteScore
3.10
自引率
10.00%
发文量
189
审稿时长
16 weeks
×
引用
GB/T 7714-2015
复制
MLA
复制
APA
复制
导出至
BibTeX EndNote RefMan NoteFirst NoteExpress
×
提示
您的信息不完整,为了账户安全,请先补充。
现在去补充
×
提示
您因"违规操作"
具体请查看互助需知
我知道了
×
提示
确定
请完成安全验证×
copy
已复制链接
快去分享给好友吧!
我知道了
右上角分享
点击右上角分享
0
联系我们:info@booksci.cn Book学术提供免费学术资源搜索服务,方便国内外学者检索中英文文献。致力于提供最便捷和优质的服务体验。 Copyright © 2023 布克学术 All rights reserved.
京ICP备2023020795号-1
ghs 京公网安备 11010802042870号
Book学术文献互助
Book学术文献互助群
群 号:604180095
Book学术官方微信