生殖器髌骨综合征与口腔健康的交叉:沙特阿拉伯一例报告。

IF 0.9 Q4 DENTISTRY, ORAL SURGERY & MEDICINE
Case Reports in Dentistry Pub Date : 2025-08-13 eCollection Date: 2025-01-01 DOI:10.1155/crid/5053711
Sara Alzanbaqi, Ahmed Ghibban, Zuhair S Natto
{"title":"生殖器髌骨综合征与口腔健康的交叉:沙特阿拉伯一例报告。","authors":"Sara Alzanbaqi, Ahmed Ghibban, Zuhair S Natto","doi":"10.1155/crid/5053711","DOIUrl":null,"url":null,"abstract":"<p><p>Genitopatellar syndrome (GPS) is a rare genetic disorder characterized by a spectrum of clinical manifestations including the absence of patellae, psychomotor retardation, congenital flexion deformity of the lower limbs, and genitourinary abnormalities. A 5-year-old female presented to the Faculty of Dentistry Clinic for a routine dental examination. Physical examination revealed distinctive phenotypic features, notably wide thumbnails and limb wrinkling, while facial appearance appeared within normal limits. At birth, the patient exhibited dysmorphic clubfoot, genital anomalies, bilateral hydronephrosis, and hepatomegaly. Subsequent MRI evaluation disclosed bilateral dysplastic femoral trochlea with lateral patellofemoral dislocation, accompanied by marked tibial rotation and vertical talus. Additionally, bilateral hindfoot valgus deformity and first metatarsophalangeal joint flexion deformity were noted. Molecular analysis using Sanger sequencing identified a de novo heterozygous nonsense mutation (c.4117, p.Glu1373Ter) in the KAT6B gene. Oral examination revealed shortened clinical crowns, absence of caries in the primary teeth, and delayed eruption of the primary canines (Cs) and second molars (Es). Radiographic assessment demonstrated existing primary Es and incisors with delayed eruption. This report elucidates a potential association between GPS and oral manifestations, particularly highlighting delayed eruption of primary Es. Since there is a scarcity of publications addressing the oral and dental manifestations of the syndrome, this clinical case contributes, albeit not specifically, to the diagnosis.</p>","PeriodicalId":46841,"journal":{"name":"Case Reports in Dentistry","volume":"2025 ","pages":"5053711"},"PeriodicalIF":0.9000,"publicationDate":"2025-08-13","publicationTypes":"Journal Article","fieldsOfStudy":null,"isOpenAccess":false,"openAccessPdf":"https://www.ncbi.nlm.nih.gov/pmc/articles/PMC12367357/pdf/","citationCount":"0","resultStr":"{\"title\":\"The Intersection of Genitopatellar Syndrome and Oral Health: A Case Report at Saudi Arabia.\",\"authors\":\"Sara Alzanbaqi, Ahmed Ghibban, Zuhair S Natto\",\"doi\":\"10.1155/crid/5053711\",\"DOIUrl\":null,\"url\":null,\"abstract\":\"<p><p>Genitopatellar syndrome (GPS) is a rare genetic disorder characterized by a spectrum of clinical manifestations including the absence of patellae, psychomotor retardation, congenital flexion deformity of the lower limbs, and genitourinary abnormalities. A 5-year-old female presented to the Faculty of Dentistry Clinic for a routine dental examination. Physical examination revealed distinctive phenotypic features, notably wide thumbnails and limb wrinkling, while facial appearance appeared within normal limits. At birth, the patient exhibited dysmorphic clubfoot, genital anomalies, bilateral hydronephrosis, and hepatomegaly. Subsequent MRI evaluation disclosed bilateral dysplastic femoral trochlea with lateral patellofemoral dislocation, accompanied by marked tibial rotation and vertical talus. Additionally, bilateral hindfoot valgus deformity and first metatarsophalangeal joint flexion deformity were noted. Molecular analysis using Sanger sequencing identified a de novo heterozygous nonsense mutation (c.4117, p.Glu1373Ter) in the KAT6B gene. Oral examination revealed shortened clinical crowns, absence of caries in the primary teeth, and delayed eruption of the primary canines (Cs) and second molars (Es). Radiographic assessment demonstrated existing primary Es and incisors with delayed eruption. This report elucidates a potential association between GPS and oral manifestations, particularly highlighting delayed eruption of primary Es. Since there is a scarcity of publications addressing the oral and dental manifestations of the syndrome, this clinical case contributes, albeit not specifically, to the diagnosis.</p>\",\"PeriodicalId\":46841,\"journal\":{\"name\":\"Case Reports in Dentistry\",\"volume\":\"2025 \",\"pages\":\"5053711\"},\"PeriodicalIF\":0.9000,\"publicationDate\":\"2025-08-13\",\"publicationTypes\":\"Journal Article\",\"fieldsOfStudy\":null,\"isOpenAccess\":false,\"openAccessPdf\":\"https://www.ncbi.nlm.nih.gov/pmc/articles/PMC12367357/pdf/\",\"citationCount\":\"0\",\"resultStr\":null,\"platform\":\"Semanticscholar\",\"paperid\":null,\"PeriodicalName\":\"Case Reports in Dentistry\",\"FirstCategoryId\":\"1085\",\"ListUrlMain\":\"https://doi.org/10.1155/crid/5053711\",\"RegionNum\":0,\"RegionCategory\":null,\"ArticlePicture\":[],\"TitleCN\":null,\"AbstractTextCN\":null,\"PMCID\":null,\"EPubDate\":\"2025/1/1 0:00:00\",\"PubModel\":\"eCollection\",\"JCR\":\"Q4\",\"JCRName\":\"DENTISTRY, ORAL SURGERY & MEDICINE\",\"Score\":null,\"Total\":0}","platform":"Semanticscholar","paperid":null,"PeriodicalName":"Case Reports in Dentistry","FirstCategoryId":"1085","ListUrlMain":"https://doi.org/10.1155/crid/5053711","RegionNum":0,"RegionCategory":null,"ArticlePicture":[],"TitleCN":null,"AbstractTextCN":null,"PMCID":null,"EPubDate":"2025/1/1 0:00:00","PubModel":"eCollection","JCR":"Q4","JCRName":"DENTISTRY, ORAL SURGERY & MEDICINE","Score":null,"Total":0}
引用次数: 0

摘要

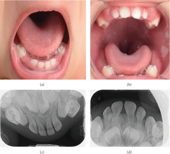
生殖髌骨综合征(GPS)是一种罕见的遗传性疾病,其临床表现包括髌骨缺失、精神运动迟缓、先天性下肢屈曲畸形和泌尿生殖系统异常。一名五岁女童到牙科学院诊所作例行牙科检查。体格检查显示明显的表型特征,特别是宽缩略图和肢体皱纹,而面部外观在正常范围内。出生时,患者表现为畸形畸形的内翻足,生殖器异常,双侧肾积水和肝肿大。随后的MRI评估显示双侧股骨滑车发育不良伴外侧髌股脱位,伴明显的胫骨旋转和垂直距骨。此外,双侧后脚外翻畸形和第一跖趾关节屈曲畸形也被注意到。Sanger测序的分子分析鉴定了KAT6B基因的一个从头杂合无义突变(c.4117, p.Glu1373Ter)。口腔检查显示临床牙冠缩短,乳牙无龋,乳牙(Cs)和第二磨牙(Es)的萌牙延迟。x线评估显示现有的初级e和门牙延迟出牙。本报告阐明了GPS与口腔表现之间的潜在联系,特别强调了原发性Es的延迟爆发。由于缺乏针对该综合征的口腔和牙齿表现的出版物,因此该临床病例有助于诊断,尽管不是具体的。
本文章由计算机程序翻译,如有差异,请以英文原文为准。

The Intersection of Genitopatellar Syndrome and Oral Health: A Case Report at Saudi Arabia.

The Intersection of Genitopatellar Syndrome and Oral Health: A Case Report at Saudi Arabia.

The Intersection of Genitopatellar Syndrome and Oral Health: A Case Report at Saudi Arabia.

The Intersection of Genitopatellar Syndrome and Oral Health: A Case Report at Saudi Arabia.

Genitopatellar syndrome (GPS) is a rare genetic disorder characterized by a spectrum of clinical manifestations including the absence of patellae, psychomotor retardation, congenital flexion deformity of the lower limbs, and genitourinary abnormalities. A 5-year-old female presented to the Faculty of Dentistry Clinic for a routine dental examination. Physical examination revealed distinctive phenotypic features, notably wide thumbnails and limb wrinkling, while facial appearance appeared within normal limits. At birth, the patient exhibited dysmorphic clubfoot, genital anomalies, bilateral hydronephrosis, and hepatomegaly. Subsequent MRI evaluation disclosed bilateral dysplastic femoral trochlea with lateral patellofemoral dislocation, accompanied by marked tibial rotation and vertical talus. Additionally, bilateral hindfoot valgus deformity and first metatarsophalangeal joint flexion deformity were noted. Molecular analysis using Sanger sequencing identified a de novo heterozygous nonsense mutation (c.4117, p.Glu1373Ter) in the KAT6B gene. Oral examination revealed shortened clinical crowns, absence of caries in the primary teeth, and delayed eruption of the primary canines (Cs) and second molars (Es). Radiographic assessment demonstrated existing primary Es and incisors with delayed eruption. This report elucidates a potential association between GPS and oral manifestations, particularly highlighting delayed eruption of primary Es. Since there is a scarcity of publications addressing the oral and dental manifestations of the syndrome, this clinical case contributes, albeit not specifically, to the diagnosis.

求助全文
通过发布文献求助,成功后即可免费获取论文全文。 去求助
来源期刊
Case Reports in Dentistry
Case Reports in Dentistry DENTISTRY, ORAL SURGERY & MEDICINE-
CiteScore
1.40
自引率
12.50%
发文量
107
审稿时长
14 weeks
期刊介绍: Case Reports in Dentistry is a peer-reviewed, Open Access journal that publishes case reports and case series in all areas of dentistry, including periodontal diseases, dental implants, oral pathology, as well as oral and maxillofacial surgery.
×
引用
GB/T 7714-2015
复制
MLA
复制
APA
复制
导出至
BibTeX EndNote RefMan NoteFirst NoteExpress
×
提示
您的信息不完整,为了账户安全,请先补充。
现在去补充
×
提示
您因"违规操作"
具体请查看互助需知
我知道了
×
提示
确定
请完成安全验证×
copy
已复制链接
快去分享给好友吧!
我知道了
右上角分享
点击右上角分享
0
联系我们:info@booksci.cn Book学术提供免费学术资源搜索服务,方便国内外学者检索中英文文献。致力于提供最便捷和优质的服务体验。 Copyright © 2023 布克学术 All rights reserved.
京ICP备2023020795号-1
ghs 京公网安备 11010802042870号
Book学术文献互助
Book学术文献互助群
群 号:604180095
Book学术官方微信