累及口腔的皮肤粘膜利什曼病1例报告。

IF 0.9 Q4 DENTISTRY, ORAL SURGERY & MEDICINE
Case Reports in Dentistry Pub Date : 2025-08-22 eCollection Date: 2025-01-01 DOI:10.1155/crid/1229183
Pierpaolo De Francesco, Paolo Vescovi, Claudio Feliciani, Roberta Iaria, Luigi Corcione, Ilaria Giovannacci
{"title":"累及口腔的皮肤粘膜利什曼病1例报告。","authors":"Pierpaolo De Francesco, Paolo Vescovi, Claudio Feliciani, Roberta Iaria, Luigi Corcione, Ilaria Giovannacci","doi":"10.1155/crid/1229183","DOIUrl":null,"url":null,"abstract":"<p><p>The primary objective of the present study is the retrospective analysis of a clinical case of oral leishmaniasis treated at Parma Hospital and a review of the literature on mucosal leishmaniasis (ML) with oral cavity involvement. We report the case of a patient diagnosed in 2017 with mucocutaneous leishmaniasis who was referred to our clinic due to the emergence of oral manifestations. Through a detailed review of the clinical documentation, we aim to describe the clinical presentation, diagnosis, treatment choices made, and evolution of the disease. Literature describes various pharmacological approaches for leishmaniasis, with treatment selection dependent on clinical presentation. ML does not spontaneously resolve, and systemic therapy is necessary. Due to its rarity, oral leishmaniasis can be challenging to diagnose. This case report can help physicians recognize the clinical presentation of oral lesions, enabling prompt diagnosis and effective treatment.</p>","PeriodicalId":46841,"journal":{"name":"Case Reports in Dentistry","volume":"2025 ","pages":"1229183"},"PeriodicalIF":0.9000,"publicationDate":"2025-08-22","publicationTypes":"Journal Article","fieldsOfStudy":null,"isOpenAccess":false,"openAccessPdf":"https://www.ncbi.nlm.nih.gov/pmc/articles/PMC12396908/pdf/","citationCount":"0","resultStr":"{\"title\":\"Mucocutaneous Leishmaniasis With Oral Involvement: A Case Report.\",\"authors\":\"Pierpaolo De Francesco, Paolo Vescovi, Claudio Feliciani, Roberta Iaria, Luigi Corcione, Ilaria Giovannacci\",\"doi\":\"10.1155/crid/1229183\",\"DOIUrl\":null,\"url\":null,\"abstract\":\"<p><p>The primary objective of the present study is the retrospective analysis of a clinical case of oral leishmaniasis treated at Parma Hospital and a review of the literature on mucosal leishmaniasis (ML) with oral cavity involvement. We report the case of a patient diagnosed in 2017 with mucocutaneous leishmaniasis who was referred to our clinic due to the emergence of oral manifestations. Through a detailed review of the clinical documentation, we aim to describe the clinical presentation, diagnosis, treatment choices made, and evolution of the disease. Literature describes various pharmacological approaches for leishmaniasis, with treatment selection dependent on clinical presentation. ML does not spontaneously resolve, and systemic therapy is necessary. Due to its rarity, oral leishmaniasis can be challenging to diagnose. This case report can help physicians recognize the clinical presentation of oral lesions, enabling prompt diagnosis and effective treatment.</p>\",\"PeriodicalId\":46841,\"journal\":{\"name\":\"Case Reports in Dentistry\",\"volume\":\"2025 \",\"pages\":\"1229183\"},\"PeriodicalIF\":0.9000,\"publicationDate\":\"2025-08-22\",\"publicationTypes\":\"Journal Article\",\"fieldsOfStudy\":null,\"isOpenAccess\":false,\"openAccessPdf\":\"https://www.ncbi.nlm.nih.gov/pmc/articles/PMC12396908/pdf/\",\"citationCount\":\"0\",\"resultStr\":null,\"platform\":\"Semanticscholar\",\"paperid\":null,\"PeriodicalName\":\"Case Reports in Dentistry\",\"FirstCategoryId\":\"1085\",\"ListUrlMain\":\"https://doi.org/10.1155/crid/1229183\",\"RegionNum\":0,\"RegionCategory\":null,\"ArticlePicture\":[],\"TitleCN\":null,\"AbstractTextCN\":null,\"PMCID\":null,\"EPubDate\":\"2025/1/1 0:00:00\",\"PubModel\":\"eCollection\",\"JCR\":\"Q4\",\"JCRName\":\"DENTISTRY, ORAL SURGERY & MEDICINE\",\"Score\":null,\"Total\":0}","platform":"Semanticscholar","paperid":null,"PeriodicalName":"Case Reports in Dentistry","FirstCategoryId":"1085","ListUrlMain":"https://doi.org/10.1155/crid/1229183","RegionNum":0,"RegionCategory":null,"ArticlePicture":[],"TitleCN":null,"AbstractTextCN":null,"PMCID":null,"EPubDate":"2025/1/1 0:00:00","PubModel":"eCollection","JCR":"Q4","JCRName":"DENTISTRY, ORAL SURGERY & MEDICINE","Score":null,"Total":0}
引用次数: 0

摘要

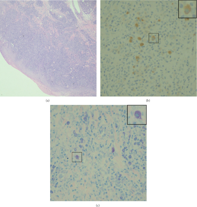
本研究的主要目的是回顾性分析在帕尔马医院治疗的一例口腔利什曼病的临床病例,并回顾有关粘膜利什曼病(ML)累及口腔的文献。我们报告一例于2017年诊断为皮肤粘膜利什曼病的患者,因出现口腔表现而转诊至我们诊所。通过对临床文献的详细回顾,我们旨在描述临床表现,诊断,治疗选择和疾病的演变。文献描述了治疗利什曼病的各种药理学方法,治疗选择取决于临床表现。ML不能自行消退,需要全身治疗。由于其罕见性,口腔利什曼病可能很难诊断。本病例报告可以帮助医生认识口腔病变的临床表现,使其能够及时诊断和有效治疗。
本文章由计算机程序翻译,如有差异,请以英文原文为准。

Mucocutaneous Leishmaniasis With Oral Involvement: A Case Report.

Mucocutaneous Leishmaniasis With Oral Involvement: A Case Report.

Mucocutaneous Leishmaniasis With Oral Involvement: A Case Report.

Mucocutaneous Leishmaniasis With Oral Involvement: A Case Report.

The primary objective of the present study is the retrospective analysis of a clinical case of oral leishmaniasis treated at Parma Hospital and a review of the literature on mucosal leishmaniasis (ML) with oral cavity involvement. We report the case of a patient diagnosed in 2017 with mucocutaneous leishmaniasis who was referred to our clinic due to the emergence of oral manifestations. Through a detailed review of the clinical documentation, we aim to describe the clinical presentation, diagnosis, treatment choices made, and evolution of the disease. Literature describes various pharmacological approaches for leishmaniasis, with treatment selection dependent on clinical presentation. ML does not spontaneously resolve, and systemic therapy is necessary. Due to its rarity, oral leishmaniasis can be challenging to diagnose. This case report can help physicians recognize the clinical presentation of oral lesions, enabling prompt diagnosis and effective treatment.

求助全文
通过发布文献求助,成功后即可免费获取论文全文。 去求助
来源期刊
Case Reports in Dentistry
Case Reports in Dentistry DENTISTRY, ORAL SURGERY & MEDICINE-
CiteScore
1.40
自引率
12.50%
发文量
107
审稿时长
14 weeks
期刊介绍: Case Reports in Dentistry is a peer-reviewed, Open Access journal that publishes case reports and case series in all areas of dentistry, including periodontal diseases, dental implants, oral pathology, as well as oral and maxillofacial surgery.
×
引用
GB/T 7714-2015
复制
MLA
复制
APA
复制
导出至
BibTeX EndNote RefMan NoteFirst NoteExpress
×
提示
您的信息不完整,为了账户安全,请先补充。
现在去补充
×
提示
您因"违规操作"
具体请查看互助需知
我知道了
×
提示
确定
请完成安全验证×
copy
已复制链接
快去分享给好友吧!
我知道了
右上角分享
点击右上角分享
0
联系我们:info@booksci.cn Book学术提供免费学术资源搜索服务,方便国内外学者检索中英文文献。致力于提供最便捷和优质的服务体验。 Copyright © 2023 布克学术 All rights reserved.
京ICP备2023020795号-1
ghs 京公网安备 11010802042870号
Book学术文献互助
Book学术文献互助群
群 号:604180095
Book学术官方微信