先天性肺气道畸形伴全身供血异常混合型患者血清碳水化合物抗原19-9升高1例。

IF 0.8 Q4 RESPIRATORY SYSTEM
Respirology Case Reports Pub Date : 2025-08-19 eCollection Date: 2025-08-01 DOI:10.1002/rcr2.70323
Yukihisa Inoue, Osamu Matsubara, Tetsu Hara, Hiroyuki Shimada, Kazuki Yamanaka, Yasuto Jinn
{"title":"先天性肺气道畸形伴全身供血异常混合型患者血清碳水化合物抗原19-9升高1例。","authors":"Yukihisa Inoue, Osamu Matsubara, Tetsu Hara, Hiroyuki Shimada, Kazuki Yamanaka, Yasuto Jinn","doi":"10.1002/rcr2.70323","DOIUrl":null,"url":null,"abstract":"<p><p>Congenital pulmonary airway malformations (CPAM) are rare congenital pulmonary anomalies in adults and are at risk of malignant transformation. CPAM lesions with abnormal systemic blood supply are considered hybrid lesions (HL). There are few cases of HL in adults. Here, we report a 44-year-old woman who presented with elevated serum carbohydrate antigen19-9 (CA19-9) levels and was diagnosed with HL with abnormal arterial blood flow from the celiac artery. After surgical resection, serum CA19-9 levels immediately decreased to the normal range. Immunohistochemical staining of the resected lung tissue showed positive staining for CA19-9 in the bronchiolar ciliated columnar epithelial cells. This report highlights that elevated serum CA19-9 levels may be seen in HL, even in the absence of malignancy.</p>","PeriodicalId":45846,"journal":{"name":"Respirology Case Reports","volume":"13 8","pages":"e70323"},"PeriodicalIF":0.8000,"publicationDate":"2025-08-19","publicationTypes":"Journal Article","fieldsOfStudy":null,"isOpenAccess":false,"openAccessPdf":"https://www.ncbi.nlm.nih.gov/pmc/articles/PMC12364611/pdf/","citationCount":"0","resultStr":"{\"title\":\"A Case of Hybrid of Congenital Pulmonary Airway Malformation and Anomalous Systemic Blood Supply Presenting Elevated Serum Levels of Carbohydrate Antigen 19-9.\",\"authors\":\"Yukihisa Inoue, Osamu Matsubara, Tetsu Hara, Hiroyuki Shimada, Kazuki Yamanaka, Yasuto Jinn\",\"doi\":\"10.1002/rcr2.70323\",\"DOIUrl\":null,\"url\":null,\"abstract\":\"<p><p>Congenital pulmonary airway malformations (CPAM) are rare congenital pulmonary anomalies in adults and are at risk of malignant transformation. CPAM lesions with abnormal systemic blood supply are considered hybrid lesions (HL). There are few cases of HL in adults. Here, we report a 44-year-old woman who presented with elevated serum carbohydrate antigen19-9 (CA19-9) levels and was diagnosed with HL with abnormal arterial blood flow from the celiac artery. After surgical resection, serum CA19-9 levels immediately decreased to the normal range. Immunohistochemical staining of the resected lung tissue showed positive staining for CA19-9 in the bronchiolar ciliated columnar epithelial cells. This report highlights that elevated serum CA19-9 levels may be seen in HL, even in the absence of malignancy.</p>\",\"PeriodicalId\":45846,\"journal\":{\"name\":\"Respirology Case Reports\",\"volume\":\"13 8\",\"pages\":\"e70323\"},\"PeriodicalIF\":0.8000,\"publicationDate\":\"2025-08-19\",\"publicationTypes\":\"Journal Article\",\"fieldsOfStudy\":null,\"isOpenAccess\":false,\"openAccessPdf\":\"https://www.ncbi.nlm.nih.gov/pmc/articles/PMC12364611/pdf/\",\"citationCount\":\"0\",\"resultStr\":null,\"platform\":\"Semanticscholar\",\"paperid\":null,\"PeriodicalName\":\"Respirology Case Reports\",\"FirstCategoryId\":\"1085\",\"ListUrlMain\":\"https://doi.org/10.1002/rcr2.70323\",\"RegionNum\":0,\"RegionCategory\":null,\"ArticlePicture\":[],\"TitleCN\":null,\"AbstractTextCN\":null,\"PMCID\":null,\"EPubDate\":\"2025/8/1 0:00:00\",\"PubModel\":\"eCollection\",\"JCR\":\"Q4\",\"JCRName\":\"RESPIRATORY SYSTEM\",\"Score\":null,\"Total\":0}","platform":"Semanticscholar","paperid":null,"PeriodicalName":"Respirology Case Reports","FirstCategoryId":"1085","ListUrlMain":"https://doi.org/10.1002/rcr2.70323","RegionNum":0,"RegionCategory":null,"ArticlePicture":[],"TitleCN":null,"AbstractTextCN":null,"PMCID":null,"EPubDate":"2025/8/1 0:00:00","PubModel":"eCollection","JCR":"Q4","JCRName":"RESPIRATORY SYSTEM","Score":null,"Total":0}
引用次数: 0

摘要

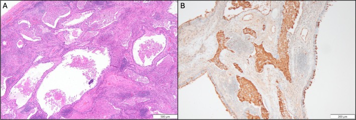
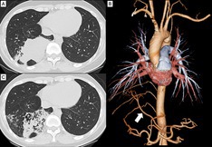
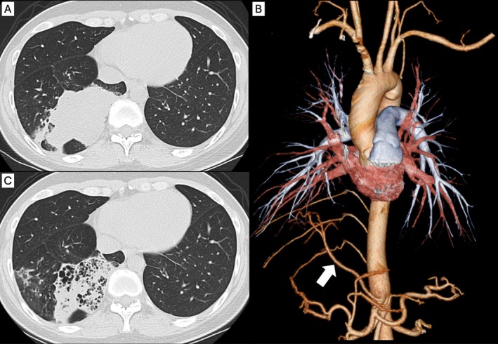
摘要先天性肺气道畸形(CPAM)是一种罕见的成人先天性肺异常,有恶性转化的危险。伴有全身血供异常的CPAM病变被认为是混合型病变(HL)。成人患HL的病例很少。在这里,我们报告了一位44岁的女性,她表现为血清碳水化合物抗原19-9 (CA19-9)水平升高,并被诊断为HL,伴有腹腔动脉异常动脉血流。手术切除后,血清CA19-9水平立即降至正常范围。切除肺组织免疫组化染色显示细支气管纤毛柱状上皮细胞CA19-9阳性。本报告强调,即使在没有恶性肿瘤的情况下,HL患者血清CA19-9水平也可能升高。
本文章由计算机程序翻译,如有差异,请以英文原文为准。

A Case of Hybrid of Congenital Pulmonary Airway Malformation and Anomalous Systemic Blood Supply Presenting Elevated Serum Levels of Carbohydrate Antigen 19-9.

A Case of Hybrid of Congenital Pulmonary Airway Malformation and Anomalous Systemic Blood Supply Presenting Elevated Serum Levels of Carbohydrate Antigen 19-9.

A Case of Hybrid of Congenital Pulmonary Airway Malformation and Anomalous Systemic Blood Supply Presenting Elevated Serum Levels of Carbohydrate Antigen 19-9.

A Case of Hybrid of Congenital Pulmonary Airway Malformation and Anomalous Systemic Blood Supply Presenting Elevated Serum Levels of Carbohydrate Antigen 19-9.

Congenital pulmonary airway malformations (CPAM) are rare congenital pulmonary anomalies in adults and are at risk of malignant transformation. CPAM lesions with abnormal systemic blood supply are considered hybrid lesions (HL). There are few cases of HL in adults. Here, we report a 44-year-old woman who presented with elevated serum carbohydrate antigen19-9 (CA19-9) levels and was diagnosed with HL with abnormal arterial blood flow from the celiac artery. After surgical resection, serum CA19-9 levels immediately decreased to the normal range. Immunohistochemical staining of the resected lung tissue showed positive staining for CA19-9 in the bronchiolar ciliated columnar epithelial cells. This report highlights that elevated serum CA19-9 levels may be seen in HL, even in the absence of malignancy.

求助全文
通过发布文献求助,成功后即可免费获取论文全文。 去求助
来源期刊
Respirology Case Reports
Respirology Case Reports RESPIRATORY SYSTEM-
CiteScore
1.40
自引率
0.00%
发文量
178
审稿时长
8 weeks
期刊介绍: Respirology Case Reports is an open-access online journal dedicated to the publication of original clinical case reports, case series, clinical images and clinical videos in all fields of respiratory medicine. The Journal encourages the international exchange between clinicians and researchers of experiences in diagnosing and treating uncommon diseases or diseases with unusual presentations. All manuscripts are peer-reviewed through a streamlined process that aims at providing a rapid turnaround time from submission to publication.
×
引用
GB/T 7714-2015
复制
MLA
复制
APA
复制
导出至
BibTeX EndNote RefMan NoteFirst NoteExpress
×
提示
您的信息不完整,为了账户安全,请先补充。
现在去补充
×
提示
您因"违规操作"
具体请查看互助需知
我知道了
×
提示
确定
请完成安全验证×
copy
已复制链接
快去分享给好友吧!
我知道了
右上角分享
点击右上角分享
0
联系我们:info@booksci.cn Book学术提供免费学术资源搜索服务,方便国内外学者检索中英文文献。致力于提供最便捷和优质的服务体验。 Copyright © 2023 布克学术 All rights reserved.
京ICP备2023020795号-1
ghs 京公网安备 11010802042870号
Book学术文献互助
Book学术文献互助群
群 号:604180095
Book学术官方微信