呼吸道异物——不留痕迹。

IF 0.8 Q4 RESPIRATORY SYSTEM
Respirology Case Reports Pub Date : 2025-08-26 eCollection Date: 2025-08-01 DOI:10.1002/rcr2.70332
Jeffrey Ng, Christopher Thong, Kay Choong See
{"title":"呼吸道异物——不留痕迹。","authors":"Jeffrey Ng, Christopher Thong, Kay Choong See","doi":"10.1002/rcr2.70332","DOIUrl":null,"url":null,"abstract":"<p><p>A middle-aged male presented with chronic cough, shortness of breath and fever. In the presence of wheeze and mild right-sided opacities on chest x-ray, he was treated for infective exacerbation of asthma with nebulised bronchodilators, antibiotics and steroids. Due to persistent wheeze, a contrasted computed tomography (CT) scan was done and revealed the presence of two endobronchial linear foreign body (FB) opacities, the second located more distally than the first. A rigid bronchoscopy-based technique under general anaesthesia was used to remove the first FB, and flexible bronchoscopy via endotracheal tube was used for the second FB in the same session. This case illustrates the tenets of airway FB diagnosis and management. The differential diagnosis of radiolucent airway FB needs to be considered in patients with chronic symptoms. Rigid and flexible bronchoscopy techniques are complementary. Peripheral lesions are more accessible by flexible bronchoscopy. Measures to ensure complete removal of FBs must be consistently incorporated into routine practice.</p>","PeriodicalId":45846,"journal":{"name":"Respirology Case Reports","volume":"13 8","pages":"e70332"},"PeriodicalIF":0.8000,"publicationDate":"2025-08-26","publicationTypes":"Journal Article","fieldsOfStudy":null,"isOpenAccess":false,"openAccessPdf":"https://www.ncbi.nlm.nih.gov/pmc/articles/PMC12379834/pdf/","citationCount":"0","resultStr":"{\"title\":\"Airway Foreign Body-Leave Nothing Behind.\",\"authors\":\"Jeffrey Ng, Christopher Thong, Kay Choong See\",\"doi\":\"10.1002/rcr2.70332\",\"DOIUrl\":null,\"url\":null,\"abstract\":\"<p><p>A middle-aged male presented with chronic cough, shortness of breath and fever. In the presence of wheeze and mild right-sided opacities on chest x-ray, he was treated for infective exacerbation of asthma with nebulised bronchodilators, antibiotics and steroids. Due to persistent wheeze, a contrasted computed tomography (CT) scan was done and revealed the presence of two endobronchial linear foreign body (FB) opacities, the second located more distally than the first. A rigid bronchoscopy-based technique under general anaesthesia was used to remove the first FB, and flexible bronchoscopy via endotracheal tube was used for the second FB in the same session. This case illustrates the tenets of airway FB diagnosis and management. The differential diagnosis of radiolucent airway FB needs to be considered in patients with chronic symptoms. Rigid and flexible bronchoscopy techniques are complementary. Peripheral lesions are more accessible by flexible bronchoscopy. Measures to ensure complete removal of FBs must be consistently incorporated into routine practice.</p>\",\"PeriodicalId\":45846,\"journal\":{\"name\":\"Respirology Case Reports\",\"volume\":\"13 8\",\"pages\":\"e70332\"},\"PeriodicalIF\":0.8000,\"publicationDate\":\"2025-08-26\",\"publicationTypes\":\"Journal Article\",\"fieldsOfStudy\":null,\"isOpenAccess\":false,\"openAccessPdf\":\"https://www.ncbi.nlm.nih.gov/pmc/articles/PMC12379834/pdf/\",\"citationCount\":\"0\",\"resultStr\":null,\"platform\":\"Semanticscholar\",\"paperid\":null,\"PeriodicalName\":\"Respirology Case Reports\",\"FirstCategoryId\":\"1085\",\"ListUrlMain\":\"https://doi.org/10.1002/rcr2.70332\",\"RegionNum\":0,\"RegionCategory\":null,\"ArticlePicture\":[],\"TitleCN\":null,\"AbstractTextCN\":null,\"PMCID\":null,\"EPubDate\":\"2025/8/1 0:00:00\",\"PubModel\":\"eCollection\",\"JCR\":\"Q4\",\"JCRName\":\"RESPIRATORY SYSTEM\",\"Score\":null,\"Total\":0}","platform":"Semanticscholar","paperid":null,"PeriodicalName":"Respirology Case Reports","FirstCategoryId":"1085","ListUrlMain":"https://doi.org/10.1002/rcr2.70332","RegionNum":0,"RegionCategory":null,"ArticlePicture":[],"TitleCN":null,"AbstractTextCN":null,"PMCID":null,"EPubDate":"2025/8/1 0:00:00","PubModel":"eCollection","JCR":"Q4","JCRName":"RESPIRATORY SYSTEM","Score":null,"Total":0}
引用次数: 0

摘要

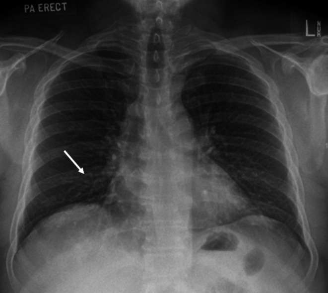
中年男性,慢性咳嗽,呼吸急促,发热。在胸部x光片上出现喘息和轻度右侧混浊,他接受了支气管扩张剂雾化、抗生素和类固醇治疗,以治疗哮喘的感染性加重。由于持续喘息,做了对比计算机断层扫描(CT),发现存在两个支气管内线状异物(FB)混浊,第二个位置比第一个更远。在全身麻醉下,采用基于刚性支气管镜的技术切除第一个FB,在同一疗程中,采用经气管内管的柔性支气管镜切除第二个FB。本病例说明了气道FB的诊断和治疗原则。在有慢性症状的患者中,需要考虑放射性气道FB的鉴别诊断。刚性和柔性支气管镜检查技术是互补的。周围病变更容易通过柔性支气管镜检查。确保完全去除FBs的措施必须始终纳入日常实践。
本文章由计算机程序翻译,如有差异,请以英文原文为准。

Airway Foreign Body-Leave Nothing Behind.

Airway Foreign Body-Leave Nothing Behind.

Airway Foreign Body-Leave Nothing Behind.

Airway Foreign Body-Leave Nothing Behind.

A middle-aged male presented with chronic cough, shortness of breath and fever. In the presence of wheeze and mild right-sided opacities on chest x-ray, he was treated for infective exacerbation of asthma with nebulised bronchodilators, antibiotics and steroids. Due to persistent wheeze, a contrasted computed tomography (CT) scan was done and revealed the presence of two endobronchial linear foreign body (FB) opacities, the second located more distally than the first. A rigid bronchoscopy-based technique under general anaesthesia was used to remove the first FB, and flexible bronchoscopy via endotracheal tube was used for the second FB in the same session. This case illustrates the tenets of airway FB diagnosis and management. The differential diagnosis of radiolucent airway FB needs to be considered in patients with chronic symptoms. Rigid and flexible bronchoscopy techniques are complementary. Peripheral lesions are more accessible by flexible bronchoscopy. Measures to ensure complete removal of FBs must be consistently incorporated into routine practice.

求助全文
通过发布文献求助,成功后即可免费获取论文全文。 去求助
来源期刊
Respirology Case Reports
Respirology Case Reports RESPIRATORY SYSTEM-
CiteScore
1.40
自引率
0.00%
发文量
178
审稿时长
8 weeks
期刊介绍: Respirology Case Reports is an open-access online journal dedicated to the publication of original clinical case reports, case series, clinical images and clinical videos in all fields of respiratory medicine. The Journal encourages the international exchange between clinicians and researchers of experiences in diagnosing and treating uncommon diseases or diseases with unusual presentations. All manuscripts are peer-reviewed through a streamlined process that aims at providing a rapid turnaround time from submission to publication.
×
引用
GB/T 7714-2015
复制
MLA
复制
APA
复制
导出至
BibTeX EndNote RefMan NoteFirst NoteExpress
×
提示
您的信息不完整,为了账户安全,请先补充。
现在去补充
×
提示
您因"违规操作"
具体请查看互助需知
我知道了
×
提示
确定
请完成安全验证×
copy
已复制链接
快去分享给好友吧!
我知道了
右上角分享
点击右上角分享
0
联系我们:info@booksci.cn Book学术提供免费学术资源搜索服务,方便国内外学者检索中英文文献。致力于提供最便捷和优质的服务体验。 Copyright © 2023 布克学术 All rights reserved.
京ICP备2023020795号-1
ghs 京公网安备 11010802042870号
Book学术文献互助
Book学术文献互助群
群 号:604180095
Book学术官方微信