肺粘膜相关淋巴组织淋巴瘤罕见病例报告。

IF 0.8 Q4 RESPIRATORY SYSTEM
Respirology Case Reports Pub Date : 2025-08-26 eCollection Date: 2025-08-01 DOI:10.1002/rcr2.70284
Suzhen Yang, Qin Shen
{"title":"肺粘膜相关淋巴组织淋巴瘤罕见病例报告。","authors":"Suzhen Yang, Qin Shen","doi":"10.1002/rcr2.70284","DOIUrl":null,"url":null,"abstract":"<p><p>Bronchial mucosa-associated lymphoid tissue is the site of the uncommon malignancy known as mucosa-associated lymphoid tissue (MALT) lymphoma. Due to its lack of distinct clinical signs and imaging characteristics, it is frequently misdiagnosed and underdiagnosed. After receiving unsuccessful treatment for a lung infection or tuberculosis in multiple tertiary care hospitals, we report a male patient who had a solid lesion in his left upper lung for 18 years. The patient was ultimately diagnosed with pulmonary MALT lymphoma at our hospital through a CT-guided percutaneous lung biopsy using the Jiang technique (i.e., employing a laser-assisted guidance system in addition to the conventional CT guidance). It is vital to extend one's perspective, synthesise extrapulmonary signs, and work toward the conditions essential to get a high-quality biopsy specimen when an intrapulmonary lesion is hard to explain by general lung illnesses.</p>","PeriodicalId":45846,"journal":{"name":"Respirology Case Reports","volume":"13 8","pages":"e70284"},"PeriodicalIF":0.8000,"publicationDate":"2025-08-26","publicationTypes":"Journal Article","fieldsOfStudy":null,"isOpenAccess":false,"openAccessPdf":"https://www.ncbi.nlm.nih.gov/pmc/articles/PMC12379836/pdf/","citationCount":"0","resultStr":"{\"title\":\"Rare Case Report of Pulmonary Mucosa-Associated Lymphoid Tissue Lymphoma.\",\"authors\":\"Suzhen Yang, Qin Shen\",\"doi\":\"10.1002/rcr2.70284\",\"DOIUrl\":null,\"url\":null,\"abstract\":\"<p><p>Bronchial mucosa-associated lymphoid tissue is the site of the uncommon malignancy known as mucosa-associated lymphoid tissue (MALT) lymphoma. Due to its lack of distinct clinical signs and imaging characteristics, it is frequently misdiagnosed and underdiagnosed. After receiving unsuccessful treatment for a lung infection or tuberculosis in multiple tertiary care hospitals, we report a male patient who had a solid lesion in his left upper lung for 18 years. The patient was ultimately diagnosed with pulmonary MALT lymphoma at our hospital through a CT-guided percutaneous lung biopsy using the Jiang technique (i.e., employing a laser-assisted guidance system in addition to the conventional CT guidance). It is vital to extend one's perspective, synthesise extrapulmonary signs, and work toward the conditions essential to get a high-quality biopsy specimen when an intrapulmonary lesion is hard to explain by general lung illnesses.</p>\",\"PeriodicalId\":45846,\"journal\":{\"name\":\"Respirology Case Reports\",\"volume\":\"13 8\",\"pages\":\"e70284\"},\"PeriodicalIF\":0.8000,\"publicationDate\":\"2025-08-26\",\"publicationTypes\":\"Journal Article\",\"fieldsOfStudy\":null,\"isOpenAccess\":false,\"openAccessPdf\":\"https://www.ncbi.nlm.nih.gov/pmc/articles/PMC12379836/pdf/\",\"citationCount\":\"0\",\"resultStr\":null,\"platform\":\"Semanticscholar\",\"paperid\":null,\"PeriodicalName\":\"Respirology Case Reports\",\"FirstCategoryId\":\"1085\",\"ListUrlMain\":\"https://doi.org/10.1002/rcr2.70284\",\"RegionNum\":0,\"RegionCategory\":null,\"ArticlePicture\":[],\"TitleCN\":null,\"AbstractTextCN\":null,\"PMCID\":null,\"EPubDate\":\"2025/8/1 0:00:00\",\"PubModel\":\"eCollection\",\"JCR\":\"Q4\",\"JCRName\":\"RESPIRATORY SYSTEM\",\"Score\":null,\"Total\":0}","platform":"Semanticscholar","paperid":null,"PeriodicalName":"Respirology Case Reports","FirstCategoryId":"1085","ListUrlMain":"https://doi.org/10.1002/rcr2.70284","RegionNum":0,"RegionCategory":null,"ArticlePicture":[],"TitleCN":null,"AbstractTextCN":null,"PMCID":null,"EPubDate":"2025/8/1 0:00:00","PubModel":"eCollection","JCR":"Q4","JCRName":"RESPIRATORY SYSTEM","Score":null,"Total":0}
引用次数: 0

摘要

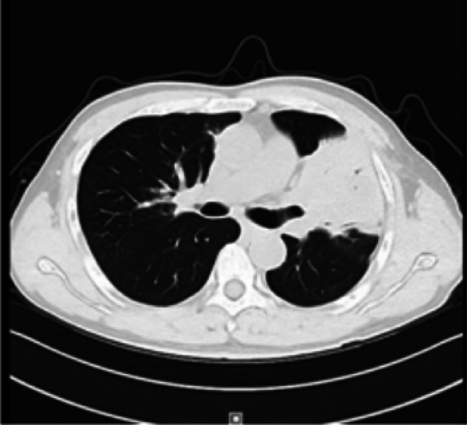
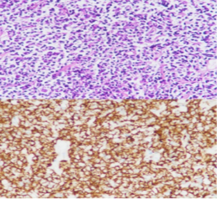
支气管粘膜相关淋巴组织是罕见的粘膜相关淋巴组织(MALT)淋巴瘤的发生部位。由于缺乏明显的临床征象和影像学特征,它经常被误诊和漏诊。在多家三级医院接受肺部感染或肺结核治疗失败后,我们报告了一位男性患者,他的左上肺有一个实性病变长达18年。患者最终在我院采用Jiang技术行CT引导下经皮肺活检(即在常规CT引导的基础上采用激光辅助引导系统)诊断为肺部MALT淋巴瘤。当肺内病变难以用一般肺部疾病来解释时,扩展一个人的视野,综合肺外体征,并努力获得高质量活检标本是至关重要的。
本文章由计算机程序翻译,如有差异,请以英文原文为准。

Rare Case Report of Pulmonary Mucosa-Associated Lymphoid Tissue Lymphoma.

Rare Case Report of Pulmonary Mucosa-Associated Lymphoid Tissue Lymphoma.

Rare Case Report of Pulmonary Mucosa-Associated Lymphoid Tissue Lymphoma.

Rare Case Report of Pulmonary Mucosa-Associated Lymphoid Tissue Lymphoma.

Bronchial mucosa-associated lymphoid tissue is the site of the uncommon malignancy known as mucosa-associated lymphoid tissue (MALT) lymphoma. Due to its lack of distinct clinical signs and imaging characteristics, it is frequently misdiagnosed and underdiagnosed. After receiving unsuccessful treatment for a lung infection or tuberculosis in multiple tertiary care hospitals, we report a male patient who had a solid lesion in his left upper lung for 18 years. The patient was ultimately diagnosed with pulmonary MALT lymphoma at our hospital through a CT-guided percutaneous lung biopsy using the Jiang technique (i.e., employing a laser-assisted guidance system in addition to the conventional CT guidance). It is vital to extend one's perspective, synthesise extrapulmonary signs, and work toward the conditions essential to get a high-quality biopsy specimen when an intrapulmonary lesion is hard to explain by general lung illnesses.

求助全文
通过发布文献求助,成功后即可免费获取论文全文。 去求助
来源期刊
Respirology Case Reports
Respirology Case Reports RESPIRATORY SYSTEM-
CiteScore
1.40
自引率
0.00%
发文量
178
审稿时长
8 weeks
期刊介绍: Respirology Case Reports is an open-access online journal dedicated to the publication of original clinical case reports, case series, clinical images and clinical videos in all fields of respiratory medicine. The Journal encourages the international exchange between clinicians and researchers of experiences in diagnosing and treating uncommon diseases or diseases with unusual presentations. All manuscripts are peer-reviewed through a streamlined process that aims at providing a rapid turnaround time from submission to publication.
×
引用
GB/T 7714-2015
复制
MLA
复制
APA
复制
导出至
BibTeX EndNote RefMan NoteFirst NoteExpress
×
提示
您的信息不完整,为了账户安全,请先补充。
现在去补充
×
提示
您因"违规操作"
具体请查看互助需知
我知道了
×
提示
确定
请完成安全验证×
copy
已复制链接
快去分享给好友吧!
我知道了
右上角分享
点击右上角分享
0
联系我们:info@booksci.cn Book学术提供免费学术资源搜索服务,方便国内外学者检索中英文文献。致力于提供最便捷和优质的服务体验。 Copyright © 2023 布克学术 All rights reserved.
京ICP备2023020795号-1
ghs 京公网安备 11010802042870号
Book学术文献互助
Book学术文献互助群
群 号:604180095
Book学术官方微信