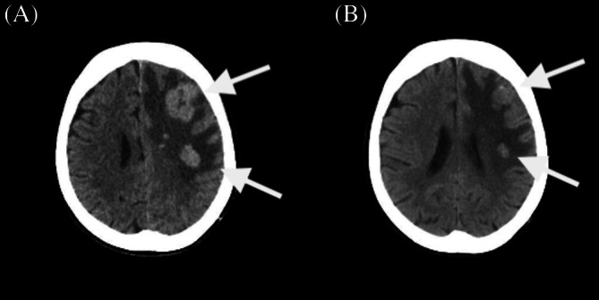
Lorlatinib在81岁表现恶化的NSCLC患者中实现了快速中枢神经系统反应。

IF 0.8 Q4 RESPIRATORY SYSTEM
Respirology Case Reports Pub Date : 2025-08-21 eCollection Date: 2025-08-01 DOI:10.1002/rcr2.70320
Akina Nigi, Keisuke Iwamoto, Hidetoshi Itani, Shigeto Kondou
{"title":"Lorlatinib在81岁表现恶化的NSCLC患者中实现了快速中枢神经系统反应。","authors":"Akina Nigi, Keisuke Iwamoto, Hidetoshi Itani, Shigeto Kondou","doi":"10.1002/rcr2.70320","DOIUrl":null,"url":null,"abstract":"<p><p>Lorlatinib may offer rapid CNS symptom and imaging improvement after alectinib failure, even in elderly ALK-positive NSCLC patients with declining performance status.</p>","PeriodicalId":45846,"journal":{"name":"Respirology Case Reports","volume":"13 8","pages":"e70320"},"PeriodicalIF":0.8000,"publicationDate":"2025-08-21","publicationTypes":"Journal Article","fieldsOfStudy":null,"isOpenAccess":false,"openAccessPdf":"https://www.ncbi.nlm.nih.gov/pmc/articles/PMC12371122/pdf/","citationCount":"0","resultStr":"{\"title\":\"Lorlatinib Achieved Rapid CNS Response in an 81-Year-Old NSCLC Patient With Performance Status Deterioration.\",\"authors\":\"Akina Nigi, Keisuke Iwamoto, Hidetoshi Itani, Shigeto Kondou\",\"doi\":\"10.1002/rcr2.70320\",\"DOIUrl\":null,\"url\":null,\"abstract\":\"<p><p>Lorlatinib may offer rapid CNS symptom and imaging improvement after alectinib failure, even in elderly ALK-positive NSCLC patients with declining performance status.</p>\",\"PeriodicalId\":45846,\"journal\":{\"name\":\"Respirology Case Reports\",\"volume\":\"13 8\",\"pages\":\"e70320\"},\"PeriodicalIF\":0.8000,\"publicationDate\":\"2025-08-21\",\"publicationTypes\":\"Journal Article\",\"fieldsOfStudy\":null,\"isOpenAccess\":false,\"openAccessPdf\":\"https://www.ncbi.nlm.nih.gov/pmc/articles/PMC12371122/pdf/\",\"citationCount\":\"0\",\"resultStr\":null,\"platform\":\"Semanticscholar\",\"paperid\":null,\"PeriodicalName\":\"Respirology Case Reports\",\"FirstCategoryId\":\"1085\",\"ListUrlMain\":\"https://doi.org/10.1002/rcr2.70320\",\"RegionNum\":0,\"RegionCategory\":null,\"ArticlePicture\":[],\"TitleCN\":null,\"AbstractTextCN\":null,\"PMCID\":null,\"EPubDate\":\"2025/8/1 0:00:00\",\"PubModel\":\"eCollection\",\"JCR\":\"Q4\",\"JCRName\":\"RESPIRATORY SYSTEM\",\"Score\":null,\"Total\":0}","platform":"Semanticscholar","paperid":null,"PeriodicalName":"Respirology Case Reports","FirstCategoryId":"1085","ListUrlMain":"https://doi.org/10.1002/rcr2.70320","RegionNum":0,"RegionCategory":null,"ArticlePicture":[],"TitleCN":null,"AbstractTextCN":null,"PMCID":null,"EPubDate":"2025/8/1 0:00:00","PubModel":"eCollection","JCR":"Q4","JCRName":"RESPIRATORY SYSTEM","Score":null,"Total":0}
引用次数: 0

摘要

Lorlatinib可以在alectiinib失效后快速改善中枢神经系统症状和影像学,即使是在表现下降的老年alk阳性NSCLC患者中。
本文章由计算机程序翻译,如有差异,请以英文原文为准。

Lorlatinib Achieved Rapid CNS Response in an 81-Year-Old NSCLC Patient With Performance Status Deterioration.

Lorlatinib Achieved Rapid CNS Response in an 81-Year-Old NSCLC Patient With Performance Status Deterioration.

Lorlatinib Achieved Rapid CNS Response in an 81-Year-Old NSCLC Patient With Performance Status Deterioration.

Lorlatinib may offer rapid CNS symptom and imaging improvement after alectinib failure, even in elderly ALK-positive NSCLC patients with declining performance status.

求助全文
通过发布文献求助,成功后即可免费获取论文全文。 去求助
来源期刊
Respirology Case Reports
Respirology Case Reports RESPIRATORY SYSTEM-
CiteScore
1.40
自引率
0.00%
发文量
178
审稿时长
8 weeks
期刊介绍: Respirology Case Reports is an open-access online journal dedicated to the publication of original clinical case reports, case series, clinical images and clinical videos in all fields of respiratory medicine. The Journal encourages the international exchange between clinicians and researchers of experiences in diagnosing and treating uncommon diseases or diseases with unusual presentations. All manuscripts are peer-reviewed through a streamlined process that aims at providing a rapid turnaround time from submission to publication.
×
引用
GB/T 7714-2015
复制
MLA
复制
APA
复制
导出至
BibTeX EndNote RefMan NoteFirst NoteExpress
×
提示
您的信息不完整,为了账户安全,请先补充。
现在去补充
×
提示
您因"违规操作"
具体请查看互助需知
我知道了
×
提示
确定
请完成安全验证×
copy
已复制链接
快去分享给好友吧!
我知道了
右上角分享
点击右上角分享
0
联系我们:info@booksci.cn Book学术提供免费学术资源搜索服务,方便国内外学者检索中英文文献。致力于提供最便捷和优质的服务体验。 Copyright © 2023 布克学术 All rights reserved.
京ICP备2023020795号-1
ghs 京公网安备 11010802042870号
Book学术文献互助
Book学术文献互助群
群 号:604180095
Book学术官方微信