百草枯中毒后的肺移植:是时候考虑了。

IF 0.8 Q4 RESPIRATORY SYSTEM
Respirology Case Reports Pub Date : 2025-08-27 eCollection Date: 2025-08-01 DOI:10.1002/rcr2.70324
Hari Kishan Gonuguntla, Somesh Tripathi, Vimi Varghese, Sricharan Goda, Chetan Rao Vaddepally, Balasubramoniam Kavumkal Rajagopalan, M Sheetal Kumar, Belgundi Preeti Vidyasagar
{"title":"百草枯中毒后的肺移植:是时候考虑了。","authors":"Hari Kishan Gonuguntla, Somesh Tripathi, Vimi Varghese, Sricharan Goda, Chetan Rao Vaddepally, Balasubramoniam Kavumkal Rajagopalan, M Sheetal Kumar, Belgundi Preeti Vidyasagar","doi":"10.1002/rcr2.70324","DOIUrl":null,"url":null,"abstract":"<p><p>Paraquat, a commonly available herbicide, when consumed in high doses, affects organs with high blood flow (lungs, heart, kidney and liver), leading to pulmonary fibrosis, respiratory failure and death. Few reports of rescue lung transplantation exist. Complete depletion of paraquat from the body is necessary prior to transplant; however, timing for and concerns after lung transplantation remain unknown. We report 2 patients (median age 19 years) with severe respiratory failure requiring extracorporeal membrane oxygenation support, acute kidney injury requiring haemodialysis and acute liver injury in the pre-transplant period. Volume of paraquat consumption was more than 30 mL and PF ratio less than 100 before transplant. Once their urine paraquat level was negative (median time 32 days), both underwent bilateral lung transplantation after receiving an induction agent with basiliximab and were continued on triple immunosuppressant following the transplant. With reported mortality rates reaching up to 90%, <b>l</b>ung transplantation remains a reasonable option for patients with paraquat poisoning not responding to conventional treatment options. Once paraquat levels are negative and after optimising renal and liver function, these patients could be considered for bilateral lung transplantation and have successful outcomes as reported here.</p>","PeriodicalId":45846,"journal":{"name":"Respirology Case Reports","volume":"13 8","pages":"e70324"},"PeriodicalIF":0.8000,"publicationDate":"2025-08-27","publicationTypes":"Journal Article","fieldsOfStudy":null,"isOpenAccess":false,"openAccessPdf":"https://www.ncbi.nlm.nih.gov/pmc/articles/PMC12391016/pdf/","citationCount":"0","resultStr":"{\"title\":\"Lung Transplantation Following Paraquat Poisoning: Time to Think.\",\"authors\":\"Hari Kishan Gonuguntla, Somesh Tripathi, Vimi Varghese, Sricharan Goda, Chetan Rao Vaddepally, Balasubramoniam Kavumkal Rajagopalan, M Sheetal Kumar, Belgundi Preeti Vidyasagar\",\"doi\":\"10.1002/rcr2.70324\",\"DOIUrl\":null,\"url\":null,\"abstract\":\"<p><p>Paraquat, a commonly available herbicide, when consumed in high doses, affects organs with high blood flow (lungs, heart, kidney and liver), leading to pulmonary fibrosis, respiratory failure and death. Few reports of rescue lung transplantation exist. Complete depletion of paraquat from the body is necessary prior to transplant; however, timing for and concerns after lung transplantation remain unknown. We report 2 patients (median age 19 years) with severe respiratory failure requiring extracorporeal membrane oxygenation support, acute kidney injury requiring haemodialysis and acute liver injury in the pre-transplant period. Volume of paraquat consumption was more than 30 mL and PF ratio less than 100 before transplant. Once their urine paraquat level was negative (median time 32 days), both underwent bilateral lung transplantation after receiving an induction agent with basiliximab and were continued on triple immunosuppressant following the transplant. With reported mortality rates reaching up to 90%, <b>l</b>ung transplantation remains a reasonable option for patients with paraquat poisoning not responding to conventional treatment options. Once paraquat levels are negative and after optimising renal and liver function, these patients could be considered for bilateral lung transplantation and have successful outcomes as reported here.</p>\",\"PeriodicalId\":45846,\"journal\":{\"name\":\"Respirology Case Reports\",\"volume\":\"13 8\",\"pages\":\"e70324\"},\"PeriodicalIF\":0.8000,\"publicationDate\":\"2025-08-27\",\"publicationTypes\":\"Journal Article\",\"fieldsOfStudy\":null,\"isOpenAccess\":false,\"openAccessPdf\":\"https://www.ncbi.nlm.nih.gov/pmc/articles/PMC12391016/pdf/\",\"citationCount\":\"0\",\"resultStr\":null,\"platform\":\"Semanticscholar\",\"paperid\":null,\"PeriodicalName\":\"Respirology Case Reports\",\"FirstCategoryId\":\"1085\",\"ListUrlMain\":\"https://doi.org/10.1002/rcr2.70324\",\"RegionNum\":0,\"RegionCategory\":null,\"ArticlePicture\":[],\"TitleCN\":null,\"AbstractTextCN\":null,\"PMCID\":null,\"EPubDate\":\"2025/8/1 0:00:00\",\"PubModel\":\"eCollection\",\"JCR\":\"Q4\",\"JCRName\":\"RESPIRATORY SYSTEM\",\"Score\":null,\"Total\":0}","platform":"Semanticscholar","paperid":null,"PeriodicalName":"Respirology Case Reports","FirstCategoryId":"1085","ListUrlMain":"https://doi.org/10.1002/rcr2.70324","RegionNum":0,"RegionCategory":null,"ArticlePicture":[],"TitleCN":null,"AbstractTextCN":null,"PMCID":null,"EPubDate":"2025/8/1 0:00:00","PubModel":"eCollection","JCR":"Q4","JCRName":"RESPIRATORY SYSTEM","Score":null,"Total":0}
引用次数: 0

摘要

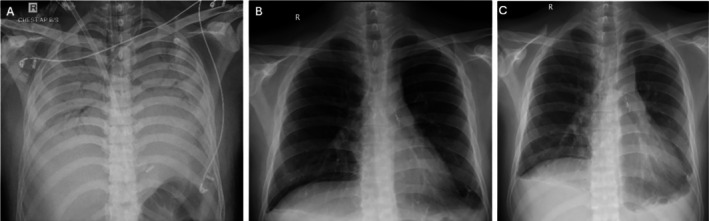
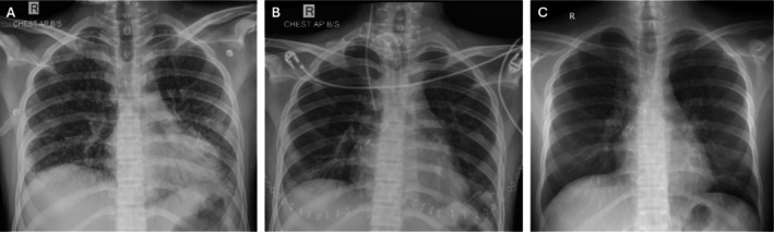
百草枯是一种常见的除草剂,如果摄入大剂量,会影响血流量大的器官(肺、心、肾和肝),导致肺纤维化、呼吸衰竭和死亡。关于抢救性肺移植的报道很少。移植前必须将体内的百草枯完全排出;然而,肺移植的时机和术后关注的问题仍然未知。我们报告了2例患者(中位年龄19岁)在移植前出现严重呼吸衰竭需要体外膜氧合支持,急性肾损伤需要血液透析和急性肝损伤。移植前百草枯消耗量大于30 mL, PF比小于100。一旦他们的尿液中百草枯水平为阴性(中位时间32天),他们都在接受basiliximab诱导剂后进行了双侧肺移植,并在移植后继续使用三联免疫抑制剂。由于报道的死亡率高达90%,对于常规治疗方案无效的百草枯中毒患者,肺移植仍然是一个合理的选择。一旦百草枯水平为阴性,在优化肾功能和肝功能后,这些患者可以考虑进行双侧肺移植,并有成功的结果。
本文章由计算机程序翻译,如有差异,请以英文原文为准。

Lung Transplantation Following Paraquat Poisoning: Time to Think.

Lung Transplantation Following Paraquat Poisoning: Time to Think.

Lung Transplantation Following Paraquat Poisoning: Time to Think.

Lung Transplantation Following Paraquat Poisoning: Time to Think.

Paraquat, a commonly available herbicide, when consumed in high doses, affects organs with high blood flow (lungs, heart, kidney and liver), leading to pulmonary fibrosis, respiratory failure and death. Few reports of rescue lung transplantation exist. Complete depletion of paraquat from the body is necessary prior to transplant; however, timing for and concerns after lung transplantation remain unknown. We report 2 patients (median age 19 years) with severe respiratory failure requiring extracorporeal membrane oxygenation support, acute kidney injury requiring haemodialysis and acute liver injury in the pre-transplant period. Volume of paraquat consumption was more than 30 mL and PF ratio less than 100 before transplant. Once their urine paraquat level was negative (median time 32 days), both underwent bilateral lung transplantation after receiving an induction agent with basiliximab and were continued on triple immunosuppressant following the transplant. With reported mortality rates reaching up to 90%, lung transplantation remains a reasonable option for patients with paraquat poisoning not responding to conventional treatment options. Once paraquat levels are negative and after optimising renal and liver function, these patients could be considered for bilateral lung transplantation and have successful outcomes as reported here.

求助全文
通过发布文献求助,成功后即可免费获取论文全文。 去求助
来源期刊
Respirology Case Reports
Respirology Case Reports RESPIRATORY SYSTEM-
CiteScore
1.40
自引率
0.00%
发文量
178
审稿时长
8 weeks
期刊介绍: Respirology Case Reports is an open-access online journal dedicated to the publication of original clinical case reports, case series, clinical images and clinical videos in all fields of respiratory medicine. The Journal encourages the international exchange between clinicians and researchers of experiences in diagnosing and treating uncommon diseases or diseases with unusual presentations. All manuscripts are peer-reviewed through a streamlined process that aims at providing a rapid turnaround time from submission to publication.
×
引用
GB/T 7714-2015
复制
MLA
复制
APA
复制
导出至
BibTeX EndNote RefMan NoteFirst NoteExpress
×
提示
您的信息不完整,为了账户安全,请先补充。
现在去补充
×
提示
您因"违规操作"
具体请查看互助需知
我知道了
×
提示
确定
请完成安全验证×
copy
已复制链接
快去分享给好友吧!
我知道了
右上角分享
点击右上角分享
0
联系我们:info@booksci.cn Book学术提供免费学术资源搜索服务,方便国内外学者检索中英文文献。致力于提供最便捷和优质的服务体验。 Copyright © 2023 布克学术 All rights reserved.
京ICP备2023020795号-1
ghs 京公网安备 11010802042870号
Book学术文献互助
Book学术文献互助群
群 号:604180095
Book学术官方微信