lenvatinib相关的非结核分枝杆菌肺病1例报告

IF 0.8 Q4 RESPIRATORY SYSTEM
Respirology Case Reports Pub Date : 2025-08-20 eCollection Date: 2025-08-01 DOI:10.1002/rcr2.70316
Qian Wang, Lili Du, Yiming Wang, Longhui Zhang
{"title":"lenvatinib相关的非结核分枝杆菌肺病1例报告","authors":"Qian Wang, Lili Du, Yiming Wang, Longhui Zhang","doi":"10.1002/rcr2.70316","DOIUrl":null,"url":null,"abstract":"<p><p>A 64-year-old man, with a history of hepatocellular carcinoma and long-term oral lenvatinib treatment, was hospitalised in our institution twice due to 'cough'. During hospitalisation, the patient underwent multiple bronchoscopies, with lavage fluid sent for pathogen testing, which returned negative results. Finally, <i>Mycobacterium kansasii</i> was detected via next-generation sequencing (NGS). Considering the patient's poor hepatic reserve, we decided against initiating targeted antimicrobial therapy and discontinued lenvatinib. Two months after stopping lenvatinib, the patient's symptoms of cough and chest tightness improved. A follow-up chest computed tomography (CT) on March 18, 2025, showed resolution of the lesions.</p>","PeriodicalId":45846,"journal":{"name":"Respirology Case Reports","volume":"13 8","pages":"e70316"},"PeriodicalIF":0.8000,"publicationDate":"2025-08-20","publicationTypes":"Journal Article","fieldsOfStudy":null,"isOpenAccess":false,"openAccessPdf":"https://www.ncbi.nlm.nih.gov/pmc/articles/PMC12365607/pdf/","citationCount":"0","resultStr":"{\"title\":\"Lenvatinib-Associated Non-Tuberculous Mycobacterial Pulmonary Disease: A Case Report.\",\"authors\":\"Qian Wang, Lili Du, Yiming Wang, Longhui Zhang\",\"doi\":\"10.1002/rcr2.70316\",\"DOIUrl\":null,\"url\":null,\"abstract\":\"<p><p>A 64-year-old man, with a history of hepatocellular carcinoma and long-term oral lenvatinib treatment, was hospitalised in our institution twice due to 'cough'. During hospitalisation, the patient underwent multiple bronchoscopies, with lavage fluid sent for pathogen testing, which returned negative results. Finally, <i>Mycobacterium kansasii</i> was detected via next-generation sequencing (NGS). Considering the patient's poor hepatic reserve, we decided against initiating targeted antimicrobial therapy and discontinued lenvatinib. Two months after stopping lenvatinib, the patient's symptoms of cough and chest tightness improved. A follow-up chest computed tomography (CT) on March 18, 2025, showed resolution of the lesions.</p>\",\"PeriodicalId\":45846,\"journal\":{\"name\":\"Respirology Case Reports\",\"volume\":\"13 8\",\"pages\":\"e70316\"},\"PeriodicalIF\":0.8000,\"publicationDate\":\"2025-08-20\",\"publicationTypes\":\"Journal Article\",\"fieldsOfStudy\":null,\"isOpenAccess\":false,\"openAccessPdf\":\"https://www.ncbi.nlm.nih.gov/pmc/articles/PMC12365607/pdf/\",\"citationCount\":\"0\",\"resultStr\":null,\"platform\":\"Semanticscholar\",\"paperid\":null,\"PeriodicalName\":\"Respirology Case Reports\",\"FirstCategoryId\":\"1085\",\"ListUrlMain\":\"https://doi.org/10.1002/rcr2.70316\",\"RegionNum\":0,\"RegionCategory\":null,\"ArticlePicture\":[],\"TitleCN\":null,\"AbstractTextCN\":null,\"PMCID\":null,\"EPubDate\":\"2025/8/1 0:00:00\",\"PubModel\":\"eCollection\",\"JCR\":\"Q4\",\"JCRName\":\"RESPIRATORY SYSTEM\",\"Score\":null,\"Total\":0}","platform":"Semanticscholar","paperid":null,"PeriodicalName":"Respirology Case Reports","FirstCategoryId":"1085","ListUrlMain":"https://doi.org/10.1002/rcr2.70316","RegionNum":0,"RegionCategory":null,"ArticlePicture":[],"TitleCN":null,"AbstractTextCN":null,"PMCID":null,"EPubDate":"2025/8/1 0:00:00","PubModel":"eCollection","JCR":"Q4","JCRName":"RESPIRATORY SYSTEM","Score":null,"Total":0}
引用次数: 0

摘要

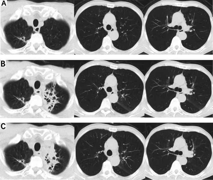
一名64岁男性,有肝细胞癌病史,长期口服lenvatinib治疗,因“咳嗽”两次住院。在住院期间,患者接受了多次支气管镜检查,并送洗液进行病原体检测,结果为阴性。最后,通过下一代测序(NGS)检测到堪萨斯分枝杆菌。考虑到患者肝脏储备不良,我们决定不启动靶向抗菌治疗并停用lenvatinib。停用lenvatinib两个月后,患者咳嗽和胸闷症状有所改善。2025年3月18日随访胸部计算机断层扫描(CT)显示病变消退。
本文章由计算机程序翻译,如有差异,请以英文原文为准。

Lenvatinib-Associated Non-Tuberculous Mycobacterial Pulmonary Disease: A Case Report.

Lenvatinib-Associated Non-Tuberculous Mycobacterial Pulmonary Disease: A Case Report.

Lenvatinib-Associated Non-Tuberculous Mycobacterial Pulmonary Disease: A Case Report.

Lenvatinib-Associated Non-Tuberculous Mycobacterial Pulmonary Disease: A Case Report.

A 64-year-old man, with a history of hepatocellular carcinoma and long-term oral lenvatinib treatment, was hospitalised in our institution twice due to 'cough'. During hospitalisation, the patient underwent multiple bronchoscopies, with lavage fluid sent for pathogen testing, which returned negative results. Finally, Mycobacterium kansasii was detected via next-generation sequencing (NGS). Considering the patient's poor hepatic reserve, we decided against initiating targeted antimicrobial therapy and discontinued lenvatinib. Two months after stopping lenvatinib, the patient's symptoms of cough and chest tightness improved. A follow-up chest computed tomography (CT) on March 18, 2025, showed resolution of the lesions.

求助全文
通过发布文献求助,成功后即可免费获取论文全文。 去求助
来源期刊
Respirology Case Reports
Respirology Case Reports RESPIRATORY SYSTEM-
CiteScore
1.40
自引率
0.00%
发文量
178
审稿时长
8 weeks
期刊介绍: Respirology Case Reports is an open-access online journal dedicated to the publication of original clinical case reports, case series, clinical images and clinical videos in all fields of respiratory medicine. The Journal encourages the international exchange between clinicians and researchers of experiences in diagnosing and treating uncommon diseases or diseases with unusual presentations. All manuscripts are peer-reviewed through a streamlined process that aims at providing a rapid turnaround time from submission to publication.
×
引用
GB/T 7714-2015
复制
MLA
复制
APA
复制
导出至
BibTeX EndNote RefMan NoteFirst NoteExpress
×
提示
您的信息不完整,为了账户安全,请先补充。
现在去补充
×
提示
您因"违规操作"
具体请查看互助需知
我知道了
×
提示
确定
请完成安全验证×
copy
已复制链接
快去分享给好友吧!
我知道了
右上角分享
点击右上角分享
0
联系我们:info@booksci.cn Book学术提供免费学术资源搜索服务,方便国内外学者检索中英文文献。致力于提供最便捷和优质的服务体验。 Copyright © 2023 布克学术 All rights reserved.
京ICP备2023020795号-1
ghs 京公网安备 11010802042870号
Book学术文献互助
Book学术文献互助群
群 号:604180095
Book学术官方微信