n-乙酰半胱氨酸对阿霉素致雌性大鼠原发性卵巢衰竭的保护作用。

IF 1.3 Q4 OBSTETRICS & GYNECOLOGY
İlke Özer Aslan, Mehmet Öz, Hüseyin Erdal, İhsan Karaboğa, Mehmet Doğan
{"title":"n-乙酰半胱氨酸对阿霉素致雌性大鼠原发性卵巢衰竭的保护作用。","authors":"İlke Özer Aslan, Mehmet Öz, Hüseyin Erdal, İhsan Karaboğa, Mehmet Doğan","doi":"10.4274/tjod.galenos.2025.71654","DOIUrl":null,"url":null,"abstract":"<p><strong>Objective: </strong>N-acetylcysteine (NAC), an aminothiol compound, eliminates free radicals and enhances glutathione (GSH) synthesis, thereby strengthening intracellular antioxidant defenses. Although its protective effects against ovarian injury have been reported, its efficacy in doxorubicin (DOX)-induced ovarian failure has not been demonstrated. This study aimed to investigate whether NAC exerts a protective role against DOX-induced ovarian toxicity in female rats.</p><p><strong>Materials and methods: </strong>Twenty-one adult female rats were randomly assigned to three groups: Control, DOX (10 mg/kg, i.p., single dose), and DOX+NAC (150 mg/kg, i.p., for 5 days; DOX administered on day 3, one hour after NAC). Serum and tissue oxidative stress parameters, histopathological changes, proliferating cell nuclear antigen (PCNA) immunoreactivity, and TUNEL assay were evaluated.</p><p><strong>Results: </strong>DOX significantly reduced serum anti-Müllerian hormone (AMH) (6.75 → 5.31 ng/mL; p<0.001) and GSH (422.64 → 280.98 mg/L; p<0.001), while increasing tumor necrosis factor alpha (TNF-α) (175.87 → 260.77 ng/L; p<0.001) and total oxidant status (TOS) (7.18 → 11.84 U/mL; p=0.002). NAC treatment reversed these alterations, namely: AMH (6.51 ng/mL; p=0.004), GSH (363.86 mg/L; p=0.018), TNF-α (184.55 ng/L; p<0.001), TOS (7.88 U/mL; p=0.003). In ovarian tissue, DOX reduced GSH (123.63 → 80.64 mg/L; p=0.001) and total antioxidant status (14.88 → 10.57 U/mL; p<0.001), while elevating TOS (7.14 → 12.64 U/mL; p<0.001) and caspase-3 (2.06 → 3.14 ng/mL; p<0.001). NAC significantly improved all these parameters (p≤0.005). Histologically, DOX caused edema, hemorrhage, infiltration, and a reduction in the percentage of healthy follicles, whereas NAC markedly ameliorated these alterations. Furthermore, NAC enhanced PCNA expression and reduced TUNEL-positive granulosa cells, supporting its anti-apoptotic effect.</p><p><strong>Conclusion: </strong>NAC preserved ovarian reserve and follicular integrity by suppressing oxidative stress, inflammation, and apoptosis induced by DOX. These findings highlight NAC as a promising protective agent against chemotherapy-induced ovarian toxicity.</p>","PeriodicalId":45340,"journal":{"name":"Turkish Journal of Obstetrics and Gynecology","volume":" ","pages":"266-274"},"PeriodicalIF":1.3000,"publicationDate":"2025-09-05","publicationTypes":"Journal Article","fieldsOfStudy":null,"isOpenAccess":false,"openAccessPdf":"https://www.ncbi.nlm.nih.gov/pmc/articles/PMC12411988/pdf/","citationCount":"0","resultStr":"{\"title\":\"Protective effect of N-acetylcysteine in doxorubicin-induced primary ovarian failure in female rats.\",\"authors\":\"İlke Özer Aslan, Mehmet Öz, Hüseyin Erdal, İhsan Karaboğa, Mehmet Doğan\",\"doi\":\"10.4274/tjod.galenos.2025.71654\",\"DOIUrl\":null,\"url\":null,\"abstract\":\"<p><strong>Objective: </strong>N-acetylcysteine (NAC), an aminothiol compound, eliminates free radicals and enhances glutathione (GSH) synthesis, thereby strengthening intracellular antioxidant defenses. Although its protective effects against ovarian injury have been reported, its efficacy in doxorubicin (DOX)-induced ovarian failure has not been demonstrated. This study aimed to investigate whether NAC exerts a protective role against DOX-induced ovarian toxicity in female rats.</p><p><strong>Materials and methods: </strong>Twenty-one adult female rats were randomly assigned to three groups: Control, DOX (10 mg/kg, i.p., single dose), and DOX+NAC (150 mg/kg, i.p., for 5 days; DOX administered on day 3, one hour after NAC). Serum and tissue oxidative stress parameters, histopathological changes, proliferating cell nuclear antigen (PCNA) immunoreactivity, and TUNEL assay were evaluated.</p><p><strong>Results: </strong>DOX significantly reduced serum anti-Müllerian hormone (AMH) (6.75 → 5.31 ng/mL; p<0.001) and GSH (422.64 → 280.98 mg/L; p<0.001), while increasing tumor necrosis factor alpha (TNF-α) (175.87 → 260.77 ng/L; p<0.001) and total oxidant status (TOS) (7.18 → 11.84 U/mL; p=0.002). NAC treatment reversed these alterations, namely: AMH (6.51 ng/mL; p=0.004), GSH (363.86 mg/L; p=0.018), TNF-α (184.55 ng/L; p<0.001), TOS (7.88 U/mL; p=0.003). In ovarian tissue, DOX reduced GSH (123.63 → 80.64 mg/L; p=0.001) and total antioxidant status (14.88 → 10.57 U/mL; p<0.001), while elevating TOS (7.14 → 12.64 U/mL; p<0.001) and caspase-3 (2.06 → 3.14 ng/mL; p<0.001). NAC significantly improved all these parameters (p≤0.005). Histologically, DOX caused edema, hemorrhage, infiltration, and a reduction in the percentage of healthy follicles, whereas NAC markedly ameliorated these alterations. Furthermore, NAC enhanced PCNA expression and reduced TUNEL-positive granulosa cells, supporting its anti-apoptotic effect.</p><p><strong>Conclusion: </strong>NAC preserved ovarian reserve and follicular integrity by suppressing oxidative stress, inflammation, and apoptosis induced by DOX. These findings highlight NAC as a promising protective agent against chemotherapy-induced ovarian toxicity.</p>\",\"PeriodicalId\":45340,\"journal\":{\"name\":\"Turkish Journal of Obstetrics and Gynecology\",\"volume\":\" \",\"pages\":\"266-274\"},\"PeriodicalIF\":1.3000,\"publicationDate\":\"2025-09-05\",\"publicationTypes\":\"Journal Article\",\"fieldsOfStudy\":null,\"isOpenAccess\":false,\"openAccessPdf\":\"https://www.ncbi.nlm.nih.gov/pmc/articles/PMC12411988/pdf/\",\"citationCount\":\"0\",\"resultStr\":null,\"platform\":\"Semanticscholar\",\"paperid\":null,\"PeriodicalName\":\"Turkish Journal of Obstetrics and Gynecology\",\"FirstCategoryId\":\"1085\",\"ListUrlMain\":\"https://doi.org/10.4274/tjod.galenos.2025.71654\",\"RegionNum\":0,\"RegionCategory\":null,\"ArticlePicture\":[],\"TitleCN\":null,\"AbstractTextCN\":null,\"PMCID\":null,\"EPubDate\":\"2025/8/25 0:00:00\",\"PubModel\":\"Epub\",\"JCR\":\"Q4\",\"JCRName\":\"OBSTETRICS & GYNECOLOGY\",\"Score\":null,\"Total\":0}","platform":"Semanticscholar","paperid":null,"PeriodicalName":"Turkish Journal of Obstetrics and Gynecology","FirstCategoryId":"1085","ListUrlMain":"https://doi.org/10.4274/tjod.galenos.2025.71654","RegionNum":0,"RegionCategory":null,"ArticlePicture":[],"TitleCN":null,"AbstractTextCN":null,"PMCID":null,"EPubDate":"2025/8/25 0:00:00","PubModel":"Epub","JCR":"Q4","JCRName":"OBSTETRICS & GYNECOLOGY","Score":null,"Total":0}
引用次数: 0

摘要

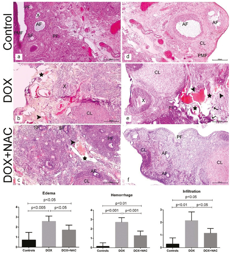
目的:n -乙酰半胱氨酸(NAC)是一种氨基硫醇化合物,可以消除自由基,促进谷胱甘肽(GSH)的合成,从而增强细胞内抗氧化防御能力。虽然其对卵巢损伤的保护作用已被报道,但其对阿霉素(DOX)诱导的卵巢衰竭的疗效尚未得到证实。本研究旨在探讨NAC是否对dox诱导的雌性大鼠卵巢毒性具有保护作用。材料与方法:将21只成年雌性大鼠随机分为3组:对照组、DOX (10 mg/kg,单次给药)和DOX+NAC (150 mg/kg,单次给药,连续5 d; DOX于NAC后第3天1小时给药)。评估血清和组织氧化应激参数、组织病理变化、增殖细胞核抗原(PCNA)免疫反应性和TUNEL测定。结果:DOX显著降低血清抗勒氏管激素(AMH)(6.75→5.31 ng/mL);结论:NAC通过抑制DOX诱导的氧化应激、炎症和细胞凋亡,保护卵巢储备和卵泡完整性。这些发现突出了NAC作为一种有希望的抗化疗诱导的卵巢毒性的保护剂。
本文章由计算机程序翻译,如有差异,请以英文原文为准。

Protective effect of N-acetylcysteine in doxorubicin-induced primary ovarian failure in female rats.

Protective effect of N-acetylcysteine in doxorubicin-induced primary ovarian failure in female rats.

Protective effect of N-acetylcysteine in doxorubicin-induced primary ovarian failure in female rats.

Protective effect of N-acetylcysteine in doxorubicin-induced primary ovarian failure in female rats.

Objective: N-acetylcysteine (NAC), an aminothiol compound, eliminates free radicals and enhances glutathione (GSH) synthesis, thereby strengthening intracellular antioxidant defenses. Although its protective effects against ovarian injury have been reported, its efficacy in doxorubicin (DOX)-induced ovarian failure has not been demonstrated. This study aimed to investigate whether NAC exerts a protective role against DOX-induced ovarian toxicity in female rats.

Materials and methods: Twenty-one adult female rats were randomly assigned to three groups: Control, DOX (10 mg/kg, i.p., single dose), and DOX+NAC (150 mg/kg, i.p., for 5 days; DOX administered on day 3, one hour after NAC). Serum and tissue oxidative stress parameters, histopathological changes, proliferating cell nuclear antigen (PCNA) immunoreactivity, and TUNEL assay were evaluated.

Results: DOX significantly reduced serum anti-Müllerian hormone (AMH) (6.75 → 5.31 ng/mL; p<0.001) and GSH (422.64 → 280.98 mg/L; p<0.001), while increasing tumor necrosis factor alpha (TNF-α) (175.87 → 260.77 ng/L; p<0.001) and total oxidant status (TOS) (7.18 → 11.84 U/mL; p=0.002). NAC treatment reversed these alterations, namely: AMH (6.51 ng/mL; p=0.004), GSH (363.86 mg/L; p=0.018), TNF-α (184.55 ng/L; p<0.001), TOS (7.88 U/mL; p=0.003). In ovarian tissue, DOX reduced GSH (123.63 → 80.64 mg/L; p=0.001) and total antioxidant status (14.88 → 10.57 U/mL; p<0.001), while elevating TOS (7.14 → 12.64 U/mL; p<0.001) and caspase-3 (2.06 → 3.14 ng/mL; p<0.001). NAC significantly improved all these parameters (p≤0.005). Histologically, DOX caused edema, hemorrhage, infiltration, and a reduction in the percentage of healthy follicles, whereas NAC markedly ameliorated these alterations. Furthermore, NAC enhanced PCNA expression and reduced TUNEL-positive granulosa cells, supporting its anti-apoptotic effect.

Conclusion: NAC preserved ovarian reserve and follicular integrity by suppressing oxidative stress, inflammation, and apoptosis induced by DOX. These findings highlight NAC as a promising protective agent against chemotherapy-induced ovarian toxicity.

求助全文
通过发布文献求助,成功后即可免费获取论文全文。 去求助
来源期刊
CiteScore
2.10
自引率
0.00%
发文量
1
×
引用
GB/T 7714-2015
复制
MLA
复制
APA
复制
导出至
BibTeX EndNote RefMan NoteFirst NoteExpress
×
提示
您的信息不完整,为了账户安全,请先补充。
现在去补充
×
提示
您因"违规操作"
具体请查看互助需知
我知道了
×
提示
确定
请完成安全验证×
copy
已复制链接
快去分享给好友吧!
我知道了
右上角分享
点击右上角分享
0
联系我们:info@booksci.cn Book学术提供免费学术资源搜索服务,方便国内外学者检索中英文文献。致力于提供最便捷和优质的服务体验。 Copyright © 2023 布克学术 All rights reserved.
京ICP备2023020795号-1
ghs 京公网安备 11010802042870号
Book学术文献互助
Book学术文献互助群
群 号:604180095
Book学术官方微信