全覆盖自膨胀裸金属支架作为肝移植的桥梁在急性肝功能衰竭和血流动力学不稳定胆道患者中的应用

IF 0.5 Q4 GASTROENTEROLOGY & HEPATOLOGY
Case Reports in Gastrointestinal Medicine Pub Date : 2025-08-19 eCollection Date: 2025-01-01 DOI:10.1155/crgm/8873661
Joshua Morny, Samuel Koebe, Michael Woods, Patrick Pfau
{"title":"全覆盖自膨胀裸金属支架作为肝移植的桥梁在急性肝功能衰竭和血流动力学不稳定胆道患者中的应用","authors":"Joshua Morny, Samuel Koebe, Michael Woods, Patrick Pfau","doi":"10.1155/crgm/8873661","DOIUrl":null,"url":null,"abstract":"<p><p>We present the case of a 49-year-old man admitted for acute liver failure complicated by hemodynamically unstable hemobilia secondary to bleeding varices in the bile duct. Placement of a fully covered self-expanding bare metal stent (FCSEMS) was considered the best treatment of choice over hepatic artery embolization in this patient because of the venous source of bleeding. The success of this procedure indicates that FCSEMS can be considered as a bridge to liver transplantation in patients with acute liver failure who develop hemodynamically unstable hemobilia secondary to portal hypertensive biliopathy.</p>","PeriodicalId":45645,"journal":{"name":"Case Reports in Gastrointestinal Medicine","volume":"2025 ","pages":"8873661"},"PeriodicalIF":0.5000,"publicationDate":"2025-08-19","publicationTypes":"Journal Article","fieldsOfStudy":null,"isOpenAccess":false,"openAccessPdf":"https://www.ncbi.nlm.nih.gov/pmc/articles/PMC12381408/pdf/","citationCount":"0","resultStr":"{\"title\":\"Hemostasis With Fully Covered Self-Expanding Bare Metal Stent as a Bridge to Liver Transplantation in a Patient With Acute Liver Failure and Hemodynamically Unstable Hemobilia.\",\"authors\":\"Joshua Morny, Samuel Koebe, Michael Woods, Patrick Pfau\",\"doi\":\"10.1155/crgm/8873661\",\"DOIUrl\":null,\"url\":null,\"abstract\":\"<p><p>We present the case of a 49-year-old man admitted for acute liver failure complicated by hemodynamically unstable hemobilia secondary to bleeding varices in the bile duct. Placement of a fully covered self-expanding bare metal stent (FCSEMS) was considered the best treatment of choice over hepatic artery embolization in this patient because of the venous source of bleeding. The success of this procedure indicates that FCSEMS can be considered as a bridge to liver transplantation in patients with acute liver failure who develop hemodynamically unstable hemobilia secondary to portal hypertensive biliopathy.</p>\",\"PeriodicalId\":45645,\"journal\":{\"name\":\"Case Reports in Gastrointestinal Medicine\",\"volume\":\"2025 \",\"pages\":\"8873661\"},\"PeriodicalIF\":0.5000,\"publicationDate\":\"2025-08-19\",\"publicationTypes\":\"Journal Article\",\"fieldsOfStudy\":null,\"isOpenAccess\":false,\"openAccessPdf\":\"https://www.ncbi.nlm.nih.gov/pmc/articles/PMC12381408/pdf/\",\"citationCount\":\"0\",\"resultStr\":null,\"platform\":\"Semanticscholar\",\"paperid\":null,\"PeriodicalName\":\"Case Reports in Gastrointestinal Medicine\",\"FirstCategoryId\":\"1085\",\"ListUrlMain\":\"https://doi.org/10.1155/crgm/8873661\",\"RegionNum\":0,\"RegionCategory\":null,\"ArticlePicture\":[],\"TitleCN\":null,\"AbstractTextCN\":null,\"PMCID\":null,\"EPubDate\":\"2025/1/1 0:00:00\",\"PubModel\":\"eCollection\",\"JCR\":\"Q4\",\"JCRName\":\"GASTROENTEROLOGY & HEPATOLOGY\",\"Score\":null,\"Total\":0}","platform":"Semanticscholar","paperid":null,"PeriodicalName":"Case Reports in Gastrointestinal Medicine","FirstCategoryId":"1085","ListUrlMain":"https://doi.org/10.1155/crgm/8873661","RegionNum":0,"RegionCategory":null,"ArticlePicture":[],"TitleCN":null,"AbstractTextCN":null,"PMCID":null,"EPubDate":"2025/1/1 0:00:00","PubModel":"eCollection","JCR":"Q4","JCRName":"GASTROENTEROLOGY & HEPATOLOGY","Score":null,"Total":0}
引用次数: 0

摘要

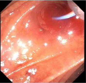
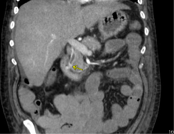
我们提出的情况下,49岁的男子入院急性肝功能衰竭合并血流动力学不稳定的胆道继发出血静脉曲张在胆管。由于静脉出血,放置全覆盖自膨胀裸金属支架(fcems)被认为是该患者肝动脉栓塞的最佳治疗选择。该手术的成功表明,fcems可以被认为是急性肝衰竭并发门静脉高压性胆道病并发血流动力学不稳定胆道患者肝移植的桥梁。
本文章由计算机程序翻译,如有差异,请以英文原文为准。

Hemostasis With Fully Covered Self-Expanding Bare Metal Stent as a Bridge to Liver Transplantation in a Patient With Acute Liver Failure and Hemodynamically Unstable Hemobilia.

Hemostasis With Fully Covered Self-Expanding Bare Metal Stent as a Bridge to Liver Transplantation in a Patient With Acute Liver Failure and Hemodynamically Unstable Hemobilia.

Hemostasis With Fully Covered Self-Expanding Bare Metal Stent as a Bridge to Liver Transplantation in a Patient With Acute Liver Failure and Hemodynamically Unstable Hemobilia.

Hemostasis With Fully Covered Self-Expanding Bare Metal Stent as a Bridge to Liver Transplantation in a Patient With Acute Liver Failure and Hemodynamically Unstable Hemobilia.

We present the case of a 49-year-old man admitted for acute liver failure complicated by hemodynamically unstable hemobilia secondary to bleeding varices in the bile duct. Placement of a fully covered self-expanding bare metal stent (FCSEMS) was considered the best treatment of choice over hepatic artery embolization in this patient because of the venous source of bleeding. The success of this procedure indicates that FCSEMS can be considered as a bridge to liver transplantation in patients with acute liver failure who develop hemodynamically unstable hemobilia secondary to portal hypertensive biliopathy.

求助全文
通过发布文献求助,成功后即可免费获取论文全文。 去求助
来源期刊
Case Reports in Gastrointestinal Medicine
Case Reports in Gastrointestinal Medicine GASTROENTEROLOGY & HEPATOLOGY-
自引率
0.00%
发文量
33
审稿时长
14 weeks
×
引用
GB/T 7714-2015
复制
MLA
复制
APA
复制
导出至
BibTeX EndNote RefMan NoteFirst NoteExpress
×
提示
您的信息不完整,为了账户安全,请先补充。
现在去补充
×
提示
您因"违规操作"
具体请查看互助需知
我知道了
×
提示
确定
请完成安全验证×
copy
已复制链接
快去分享给好友吧!
我知道了
右上角分享
点击右上角分享
0
联系我们:info@booksci.cn Book学术提供免费学术资源搜索服务,方便国内外学者检索中英文文献。致力于提供最便捷和优质的服务体验。 Copyright © 2023 布克学术 All rights reserved.
京ICP备2023020795号-1
ghs 京公网安备 11010802042870号
Book学术文献互助
Book学术文献互助群
群 号:604180095
Book学术官方微信