默克尔细胞癌合并肺栓塞的不典型表现。

IF 0.4 Q3 MEDICINE, GENERAL & INTERNAL
Oxford Medical Case Reports Pub Date : 2025-08-20 eCollection Date: 2025-08-01 DOI:10.1093/omcr/omaf076
Romina Garakani, Michael Moradi, Fatima Batool, Muhammad Aameish, Manzoor A Rather
{"title":"默克尔细胞癌合并肺栓塞的不典型表现。","authors":"Romina Garakani, Michael Moradi, Fatima Batool, Muhammad Aameish, Manzoor A Rather","doi":"10.1093/omcr/omaf076","DOIUrl":null,"url":null,"abstract":"<p><p>Merkel cell carcinoma (MCC) is a rare aggressive neuroendocrine malignancy that typically presents in the skin and rapidly progresses to other body parts. MCC is typically found in sun-exposed areas, mainly the head and neck region as well as the upper limbs and shoulders. It typically affects fair-skinned elderly males. In this report, we present an unusual MCC case of a 48-year-old Caucasian male with an initial presentation of a massive pulmonary embolism. Further work-up of our patient indicated no typical MCC skin presentation, but rather metastases of the disease. The goal of this report is to highlight the importance of considering MCC as a differential even when patients do not present with common MCC risk factors or skin presentations.</p>","PeriodicalId":45318,"journal":{"name":"Oxford Medical Case Reports","volume":"2025 8","pages":"omaf076"},"PeriodicalIF":0.4000,"publicationDate":"2025-08-20","publicationTypes":"Journal Article","fieldsOfStudy":null,"isOpenAccess":false,"openAccessPdf":"https://www.ncbi.nlm.nih.gov/pmc/articles/PMC12365962/pdf/","citationCount":"0","resultStr":"{\"title\":\"Atypical presentation of Merkel cell carcinoma with pulmonary embolism.\",\"authors\":\"Romina Garakani, Michael Moradi, Fatima Batool, Muhammad Aameish, Manzoor A Rather\",\"doi\":\"10.1093/omcr/omaf076\",\"DOIUrl\":null,\"url\":null,\"abstract\":\"<p><p>Merkel cell carcinoma (MCC) is a rare aggressive neuroendocrine malignancy that typically presents in the skin and rapidly progresses to other body parts. MCC is typically found in sun-exposed areas, mainly the head and neck region as well as the upper limbs and shoulders. It typically affects fair-skinned elderly males. In this report, we present an unusual MCC case of a 48-year-old Caucasian male with an initial presentation of a massive pulmonary embolism. Further work-up of our patient indicated no typical MCC skin presentation, but rather metastases of the disease. The goal of this report is to highlight the importance of considering MCC as a differential even when patients do not present with common MCC risk factors or skin presentations.</p>\",\"PeriodicalId\":45318,\"journal\":{\"name\":\"Oxford Medical Case Reports\",\"volume\":\"2025 8\",\"pages\":\"omaf076\"},\"PeriodicalIF\":0.4000,\"publicationDate\":\"2025-08-20\",\"publicationTypes\":\"Journal Article\",\"fieldsOfStudy\":null,\"isOpenAccess\":false,\"openAccessPdf\":\"https://www.ncbi.nlm.nih.gov/pmc/articles/PMC12365962/pdf/\",\"citationCount\":\"0\",\"resultStr\":null,\"platform\":\"Semanticscholar\",\"paperid\":null,\"PeriodicalName\":\"Oxford Medical Case Reports\",\"FirstCategoryId\":\"1085\",\"ListUrlMain\":\"https://doi.org/10.1093/omcr/omaf076\",\"RegionNum\":0,\"RegionCategory\":null,\"ArticlePicture\":[],\"TitleCN\":null,\"AbstractTextCN\":null,\"PMCID\":null,\"EPubDate\":\"2025/8/1 0:00:00\",\"PubModel\":\"eCollection\",\"JCR\":\"Q3\",\"JCRName\":\"MEDICINE, GENERAL & INTERNAL\",\"Score\":null,\"Total\":0}","platform":"Semanticscholar","paperid":null,"PeriodicalName":"Oxford Medical Case Reports","FirstCategoryId":"1085","ListUrlMain":"https://doi.org/10.1093/omcr/omaf076","RegionNum":0,"RegionCategory":null,"ArticlePicture":[],"TitleCN":null,"AbstractTextCN":null,"PMCID":null,"EPubDate":"2025/8/1 0:00:00","PubModel":"eCollection","JCR":"Q3","JCRName":"MEDICINE, GENERAL & INTERNAL","Score":null,"Total":0}
引用次数: 0

摘要

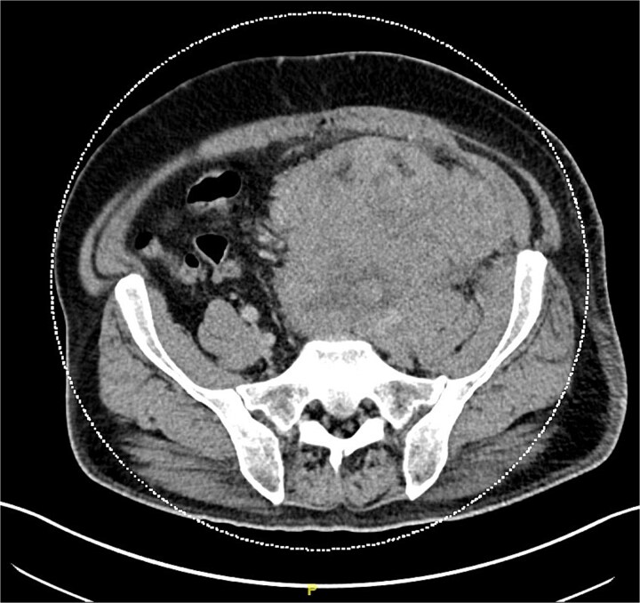
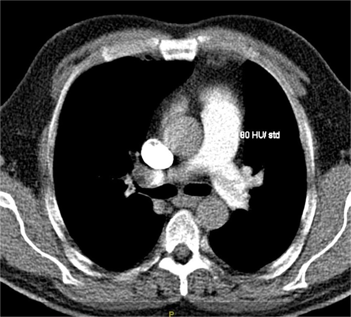
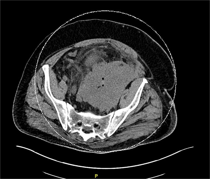
默克尔细胞癌(MCC)是一种罕见的侵袭性神经内分泌恶性肿瘤,通常出现在皮肤,并迅速进展到其他身体部位。MCC通常出现在阳光照射的区域,主要是头颈部以及上肢和肩部。它通常影响皮肤白皙的老年男性。在这个报告中,我们提出一个不寻常的MCC病例,一个48岁的白人男性,最初的表现是一个巨大的肺栓塞。患者的进一步检查显示没有典型的MCC皮肤表现,而是疾病转移。本报告的目的是强调即使患者没有常见的MCC危险因素或皮肤表现,也应将MCC视为鉴别的重要性。
本文章由计算机程序翻译,如有差异,请以英文原文为准。

Atypical presentation of Merkel cell carcinoma with pulmonary embolism.

Atypical presentation of Merkel cell carcinoma with pulmonary embolism.

Atypical presentation of Merkel cell carcinoma with pulmonary embolism.

Atypical presentation of Merkel cell carcinoma with pulmonary embolism.

Merkel cell carcinoma (MCC) is a rare aggressive neuroendocrine malignancy that typically presents in the skin and rapidly progresses to other body parts. MCC is typically found in sun-exposed areas, mainly the head and neck region as well as the upper limbs and shoulders. It typically affects fair-skinned elderly males. In this report, we present an unusual MCC case of a 48-year-old Caucasian male with an initial presentation of a massive pulmonary embolism. Further work-up of our patient indicated no typical MCC skin presentation, but rather metastases of the disease. The goal of this report is to highlight the importance of considering MCC as a differential even when patients do not present with common MCC risk factors or skin presentations.

求助全文
通过发布文献求助,成功后即可免费获取论文全文。 去求助
来源期刊
Oxford Medical Case Reports
Oxford Medical Case Reports MEDICINE, GENERAL & INTERNAL-
CiteScore
0.90
自引率
0.00%
发文量
125
审稿时长
19 weeks
期刊介绍: Oxford Medical Case Reports (OMCR) is an open access, peer-reviewed online journal publishing original and educationally valuable case reports that expand the field of medicine. The journal covers all medical specialities including cardiology, rheumatology, nephrology, oncology, neurology, and reproduction, comprising a comprehensive resource for physicians in all fields and at all stages of training. Oxford Medical Case Reports deposits all articles in PubMed Central (PMC). Physicians and researchers can find your work through PubMed , helping you reach the widest possible audience. The journal is also indexed in the Web of Science Core Collection . Oxford Medical Case Reports publishes case reports under the following categories: Allergy Audiovestibular medicine Cardiology and cardiovascular systems Critical care medicine Dermatology Emergency medicine Endocrinology and metabolism Gastroenterology and hepatology Geriatrics and gerontology Haematology Immunology Infectious diseases and tropical medicine Medical disorders in pregnancy Medical ophthalmology Nephrology Neurology Oncology Paediatrics Pain Palliative medicine Pharmacology and pharmacy Psychiatry Radiology, nuclear medicine, and medical imaging Respiratory disorders Rheumatology Sexual and reproductive health Sports Medicine Substance abuse.
×
引用
GB/T 7714-2015
复制
MLA
复制
APA
复制
导出至
BibTeX EndNote RefMan NoteFirst NoteExpress
×
提示
您的信息不完整,为了账户安全,请先补充。
现在去补充
×
提示
您因"违规操作"
具体请查看互助需知
我知道了
×
提示
确定
请完成安全验证×
copy
已复制链接
快去分享给好友吧!
我知道了
右上角分享
点击右上角分享
0
联系我们:info@booksci.cn Book学术提供免费学术资源搜索服务,方便国内外学者检索中英文文献。致力于提供最便捷和优质的服务体验。 Copyright © 2023 布克学术 All rights reserved.
京ICP备2023020795号-1
ghs 京公网安备 11010802042870号
Book学术文献互助
Book学术文献互助群
群 号:604180095
Book学术官方微信