致死性面部坏死性筋膜炎:一个病例报告强调诊断和治疗的挑战。

IF 0.4 Q3 MEDICINE, GENERAL & INTERNAL
Oxford Medical Case Reports Pub Date : 2025-08-20 eCollection Date: 2025-08-01 DOI:10.1093/omcr/omaf137
Muhammad Sheraz Hameed, Syed Rafay Hussain Zaidi, Ali Iqbal, Muhammad Ahsan, Austin Mitchell, Azka Asad Mirza, Joshiah Gordon, Rahmat Gul Omarzai
{"title":"致死性面部坏死性筋膜炎:一个病例报告强调诊断和治疗的挑战。","authors":"Muhammad Sheraz Hameed, Syed Rafay Hussain Zaidi, Ali Iqbal, Muhammad Ahsan, Austin Mitchell, Azka Asad Mirza, Joshiah Gordon, Rahmat Gul Omarzai","doi":"10.1093/omcr/omaf137","DOIUrl":null,"url":null,"abstract":"<p><strong>Background: </strong>Facial Necrotizing Fasciitis (FNF) is a rare but aggressive, life-threatening infection involving the face's subcutaneous tissues and underlying musculature. It can rapidly progress to septic shock and multi-organ failure if not promptly recognized and treated. The clinical course, including severe pain, disproportionate tenderness, and systemic signs, is often the most crucial factor in diagnosis. While computed tomography (CT) can aid in identifying early signs such as soft tissue swelling and gas formation, clinical suspicion remains paramount and should not be delayed by reliance on imaging alone. Without early intervention, FNF may lead to devastating outcomes, including disfigurement, blindness, or death.</p><p><strong>Case presentation: </strong>We present the case of a 70-year-old male who developed facial necrotizing fasciitis with rapid systemic progression. He initially presented to the emergency department with acute tenderness and swelling of the right ear. CT imaging revealed extensive edema and swelling in the subcutaneous fat of the face, scalp, and neck, most prominently involving the right external ear. Despite aggressive supportive measures-including ventilatory, cardiovascular, and renal support-the infection progressed to severe multi-organ failure, ultimately resulting in death.</p><p><strong>Conclusion: </strong>This case highlights the fulminant course and high mortality risk associated with FNF. Early recognition based on clinical evaluation, supported-but not replaced-by imaging, is essential for diagnosis. Prompt intervention with broad-spectrum antibiotics and surgical debridement offers the best chance to improve outcomes and prevent catastrophic complications such as septic shock, multi-organ failure, and death.</p>","PeriodicalId":45318,"journal":{"name":"Oxford Medical Case Reports","volume":"2025 8","pages":"omaf137"},"PeriodicalIF":0.4000,"publicationDate":"2025-08-20","publicationTypes":"Journal Article","fieldsOfStudy":null,"isOpenAccess":false,"openAccessPdf":"https://www.ncbi.nlm.nih.gov/pmc/articles/PMC12365970/pdf/","citationCount":"0","resultStr":"{\"title\":\"Fatal facial necrotizing fasciitis: a case report highlighting diagnostic and therapeutic challenges.\",\"authors\":\"Muhammad Sheraz Hameed, Syed Rafay Hussain Zaidi, Ali Iqbal, Muhammad Ahsan, Austin Mitchell, Azka Asad Mirza, Joshiah Gordon, Rahmat Gul Omarzai\",\"doi\":\"10.1093/omcr/omaf137\",\"DOIUrl\":null,\"url\":null,\"abstract\":\"<p><strong>Background: </strong>Facial Necrotizing Fasciitis (FNF) is a rare but aggressive, life-threatening infection involving the face's subcutaneous tissues and underlying musculature. It can rapidly progress to septic shock and multi-organ failure if not promptly recognized and treated. The clinical course, including severe pain, disproportionate tenderness, and systemic signs, is often the most crucial factor in diagnosis. While computed tomography (CT) can aid in identifying early signs such as soft tissue swelling and gas formation, clinical suspicion remains paramount and should not be delayed by reliance on imaging alone. Without early intervention, FNF may lead to devastating outcomes, including disfigurement, blindness, or death.</p><p><strong>Case presentation: </strong>We present the case of a 70-year-old male who developed facial necrotizing fasciitis with rapid systemic progression. He initially presented to the emergency department with acute tenderness and swelling of the right ear. CT imaging revealed extensive edema and swelling in the subcutaneous fat of the face, scalp, and neck, most prominently involving the right external ear. Despite aggressive supportive measures-including ventilatory, cardiovascular, and renal support-the infection progressed to severe multi-organ failure, ultimately resulting in death.</p><p><strong>Conclusion: </strong>This case highlights the fulminant course and high mortality risk associated with FNF. Early recognition based on clinical evaluation, supported-but not replaced-by imaging, is essential for diagnosis. Prompt intervention with broad-spectrum antibiotics and surgical debridement offers the best chance to improve outcomes and prevent catastrophic complications such as septic shock, multi-organ failure, and death.</p>\",\"PeriodicalId\":45318,\"journal\":{\"name\":\"Oxford Medical Case Reports\",\"volume\":\"2025 8\",\"pages\":\"omaf137\"},\"PeriodicalIF\":0.4000,\"publicationDate\":\"2025-08-20\",\"publicationTypes\":\"Journal Article\",\"fieldsOfStudy\":null,\"isOpenAccess\":false,\"openAccessPdf\":\"https://www.ncbi.nlm.nih.gov/pmc/articles/PMC12365970/pdf/\",\"citationCount\":\"0\",\"resultStr\":null,\"platform\":\"Semanticscholar\",\"paperid\":null,\"PeriodicalName\":\"Oxford Medical Case Reports\",\"FirstCategoryId\":\"1085\",\"ListUrlMain\":\"https://doi.org/10.1093/omcr/omaf137\",\"RegionNum\":0,\"RegionCategory\":null,\"ArticlePicture\":[],\"TitleCN\":null,\"AbstractTextCN\":null,\"PMCID\":null,\"EPubDate\":\"2025/8/1 0:00:00\",\"PubModel\":\"eCollection\",\"JCR\":\"Q3\",\"JCRName\":\"MEDICINE, GENERAL & INTERNAL\",\"Score\":null,\"Total\":0}","platform":"Semanticscholar","paperid":null,"PeriodicalName":"Oxford Medical Case Reports","FirstCategoryId":"1085","ListUrlMain":"https://doi.org/10.1093/omcr/omaf137","RegionNum":0,"RegionCategory":null,"ArticlePicture":[],"TitleCN":null,"AbstractTextCN":null,"PMCID":null,"EPubDate":"2025/8/1 0:00:00","PubModel":"eCollection","JCR":"Q3","JCRName":"MEDICINE, GENERAL & INTERNAL","Score":null,"Total":0}
引用次数: 0

摘要

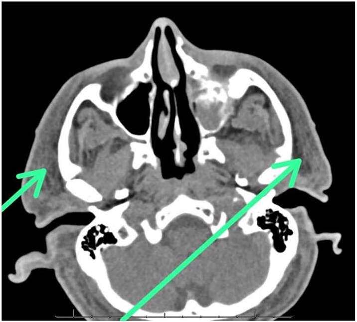
背景:面部坏死性筋膜炎(FNF)是一种罕见但侵袭性的、危及生命的感染,累及面部皮下组织和皮下肌肉组织。如果不及时发现和治疗,可迅速发展为感染性休克和多器官衰竭。临床过程,包括剧烈疼痛,不成比例的压痛和全身体征,通常是诊断的最关键因素。虽然计算机断层扫描(CT)可以帮助识别早期症状,如软组织肿胀和气体形成,但临床怀疑仍然是最重要的,不应该仅仅依靠成像来拖延。如果不进行早期干预,FNF可能导致毁灭性的后果,包括毁容、失明或死亡。病例介绍:我们提出的情况下,70岁的男性谁发展面部坏死性筋膜炎与快速的全身进展。他最初以右耳急性压痛和肿胀就诊于急诊科。CT显示面部、头皮和颈部皮下脂肪广泛水肿和肿胀,最明显的是累及右外耳。尽管采取了积极的支持措施,包括通气、心血管和肾脏支持,但感染进展为严重的多器官衰竭,最终导致死亡。结论:本病例突出了FNF的暴发性病程和高死亡率。早期识别基于临床评估,支持,但不能取代,影像学诊断是必不可少的。使用广谱抗生素和外科清创进行及时干预是改善预后和预防灾难性并发症(如感染性休克、多器官衰竭和死亡)的最佳机会。
本文章由计算机程序翻译,如有差异,请以英文原文为准。

Fatal facial necrotizing fasciitis: a case report highlighting diagnostic and therapeutic challenges.

Fatal facial necrotizing fasciitis: a case report highlighting diagnostic and therapeutic challenges.

Fatal facial necrotizing fasciitis: a case report highlighting diagnostic and therapeutic challenges.

Background: Facial Necrotizing Fasciitis (FNF) is a rare but aggressive, life-threatening infection involving the face's subcutaneous tissues and underlying musculature. It can rapidly progress to septic shock and multi-organ failure if not promptly recognized and treated. The clinical course, including severe pain, disproportionate tenderness, and systemic signs, is often the most crucial factor in diagnosis. While computed tomography (CT) can aid in identifying early signs such as soft tissue swelling and gas formation, clinical suspicion remains paramount and should not be delayed by reliance on imaging alone. Without early intervention, FNF may lead to devastating outcomes, including disfigurement, blindness, or death.

Case presentation: We present the case of a 70-year-old male who developed facial necrotizing fasciitis with rapid systemic progression. He initially presented to the emergency department with acute tenderness and swelling of the right ear. CT imaging revealed extensive edema and swelling in the subcutaneous fat of the face, scalp, and neck, most prominently involving the right external ear. Despite aggressive supportive measures-including ventilatory, cardiovascular, and renal support-the infection progressed to severe multi-organ failure, ultimately resulting in death.

Conclusion: This case highlights the fulminant course and high mortality risk associated with FNF. Early recognition based on clinical evaluation, supported-but not replaced-by imaging, is essential for diagnosis. Prompt intervention with broad-spectrum antibiotics and surgical debridement offers the best chance to improve outcomes and prevent catastrophic complications such as septic shock, multi-organ failure, and death.

求助全文
通过发布文献求助,成功后即可免费获取论文全文。 去求助
来源期刊
Oxford Medical Case Reports
Oxford Medical Case Reports MEDICINE, GENERAL & INTERNAL-
CiteScore
0.90
自引率
0.00%
发文量
125
审稿时长
19 weeks
期刊介绍: Oxford Medical Case Reports (OMCR) is an open access, peer-reviewed online journal publishing original and educationally valuable case reports that expand the field of medicine. The journal covers all medical specialities including cardiology, rheumatology, nephrology, oncology, neurology, and reproduction, comprising a comprehensive resource for physicians in all fields and at all stages of training. Oxford Medical Case Reports deposits all articles in PubMed Central (PMC). Physicians and researchers can find your work through PubMed , helping you reach the widest possible audience. The journal is also indexed in the Web of Science Core Collection . Oxford Medical Case Reports publishes case reports under the following categories: Allergy Audiovestibular medicine Cardiology and cardiovascular systems Critical care medicine Dermatology Emergency medicine Endocrinology and metabolism Gastroenterology and hepatology Geriatrics and gerontology Haematology Immunology Infectious diseases and tropical medicine Medical disorders in pregnancy Medical ophthalmology Nephrology Neurology Oncology Paediatrics Pain Palliative medicine Pharmacology and pharmacy Psychiatry Radiology, nuclear medicine, and medical imaging Respiratory disorders Rheumatology Sexual and reproductive health Sports Medicine Substance abuse.
×
引用
GB/T 7714-2015
复制
MLA
复制
APA
复制
导出至
BibTeX EndNote RefMan NoteFirst NoteExpress
×
提示
您的信息不完整,为了账户安全,请先补充。
现在去补充
×
提示
您因"违规操作"
具体请查看互助需知
我知道了
×
提示
确定
请完成安全验证×
copy
已复制链接
快去分享给好友吧!
我知道了
右上角分享
点击右上角分享
0
联系我们:info@booksci.cn Book学术提供免费学术资源搜索服务,方便国内外学者检索中英文文献。致力于提供最便捷和优质的服务体验。 Copyright © 2023 布克学术 All rights reserved.
京ICP备2023020795号-1
ghs 京公网安备 11010802042870号
Book学术文献互助
Book学术文献互助群
群 号:604180095
Book学术官方微信