氯胺酮的严重心肺并发症:心脏病患者的急性肺水肿。

IF 0.4 Q3 MEDICINE, GENERAL & INTERNAL
Oxford Medical Case Reports Pub Date : 2025-08-20 eCollection Date: 2025-08-01 DOI:10.1093/omcr/omaf063
Tahir Shahzad, Zain A Bhutta, Muhammad Abd Ur Rehman
{"title":"氯胺酮的严重心肺并发症:心脏病患者的急性肺水肿。","authors":"Tahir Shahzad, Zain A Bhutta, Muhammad Abd Ur Rehman","doi":"10.1093/omcr/omaf063","DOIUrl":null,"url":null,"abstract":"<p><p>Ketamine use in the emergency department is more widespread than ever due to its favorable safety profile and combined analgesic and anesthetic properties. Its ability to stimulate the cardiovascular system via the sympathetic nervous system is particularly important, as patients can develop hemodynamic instability. However, concerns remain regarding the risk of decompensated cardiac function due to extreme tachycardia and severely elevated systemic blood pressure. In this case, a middle-aged male with a known history of coronary artery disease and congestive heart failure deteriorated significantly after ketamine was administered for sedation to facilitate a computed tomography pulmonary angiogram. He developed acute pulmonary edema and cardiogenic shock, requiring mechanical ventilation and inotropic support. Therefore, it is advisable to use ketamine with caution in patients with underlying heart failure. Further research is needed to establish a causal relationship between ketamine and cardiac decompensation leading to cardiogenic shock and pulmonary edema in selected patients.</p>","PeriodicalId":45318,"journal":{"name":"Oxford Medical Case Reports","volume":"2025 8","pages":"omaf063"},"PeriodicalIF":0.4000,"publicationDate":"2025-08-20","publicationTypes":"Journal Article","fieldsOfStudy":null,"isOpenAccess":false,"openAccessPdf":"https://www.ncbi.nlm.nih.gov/pmc/articles/PMC12365973/pdf/","citationCount":"0","resultStr":"{\"title\":\"Severe cardiopulmonary complications of ketamine: Acute pulmonary Edema in a cardiac patient.\",\"authors\":\"Tahir Shahzad, Zain A Bhutta, Muhammad Abd Ur Rehman\",\"doi\":\"10.1093/omcr/omaf063\",\"DOIUrl\":null,\"url\":null,\"abstract\":\"<p><p>Ketamine use in the emergency department is more widespread than ever due to its favorable safety profile and combined analgesic and anesthetic properties. Its ability to stimulate the cardiovascular system via the sympathetic nervous system is particularly important, as patients can develop hemodynamic instability. However, concerns remain regarding the risk of decompensated cardiac function due to extreme tachycardia and severely elevated systemic blood pressure. In this case, a middle-aged male with a known history of coronary artery disease and congestive heart failure deteriorated significantly after ketamine was administered for sedation to facilitate a computed tomography pulmonary angiogram. He developed acute pulmonary edema and cardiogenic shock, requiring mechanical ventilation and inotropic support. Therefore, it is advisable to use ketamine with caution in patients with underlying heart failure. Further research is needed to establish a causal relationship between ketamine and cardiac decompensation leading to cardiogenic shock and pulmonary edema in selected patients.</p>\",\"PeriodicalId\":45318,\"journal\":{\"name\":\"Oxford Medical Case Reports\",\"volume\":\"2025 8\",\"pages\":\"omaf063\"},\"PeriodicalIF\":0.4000,\"publicationDate\":\"2025-08-20\",\"publicationTypes\":\"Journal Article\",\"fieldsOfStudy\":null,\"isOpenAccess\":false,\"openAccessPdf\":\"https://www.ncbi.nlm.nih.gov/pmc/articles/PMC12365973/pdf/\",\"citationCount\":\"0\",\"resultStr\":null,\"platform\":\"Semanticscholar\",\"paperid\":null,\"PeriodicalName\":\"Oxford Medical Case Reports\",\"FirstCategoryId\":\"1085\",\"ListUrlMain\":\"https://doi.org/10.1093/omcr/omaf063\",\"RegionNum\":0,\"RegionCategory\":null,\"ArticlePicture\":[],\"TitleCN\":null,\"AbstractTextCN\":null,\"PMCID\":null,\"EPubDate\":\"2025/8/1 0:00:00\",\"PubModel\":\"eCollection\",\"JCR\":\"Q3\",\"JCRName\":\"MEDICINE, GENERAL & INTERNAL\",\"Score\":null,\"Total\":0}","platform":"Semanticscholar","paperid":null,"PeriodicalName":"Oxford Medical Case Reports","FirstCategoryId":"1085","ListUrlMain":"https://doi.org/10.1093/omcr/omaf063","RegionNum":0,"RegionCategory":null,"ArticlePicture":[],"TitleCN":null,"AbstractTextCN":null,"PMCID":null,"EPubDate":"2025/8/1 0:00:00","PubModel":"eCollection","JCR":"Q3","JCRName":"MEDICINE, GENERAL & INTERNAL","Score":null,"Total":0}
引用次数: 0

摘要

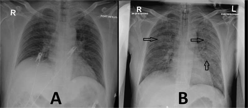
氯胺酮在急诊科的使用比以往任何时候都更广泛,因为它具有良好的安全性和镇痛和麻醉的综合特性。它通过交感神经系统刺激心血管系统的能力尤其重要,因为患者可能出现血流动力学不稳定。然而,由于极度心动过速和严重的全身血压升高,人们仍然担心心脏功能失代偿的风险。在本病例中,一名已知有冠状动脉疾病和充血性心力衰竭病史的中年男性,在给予氯胺酮镇静后病情明显恶化,以便于进行肺血管造影计算机断层扫描。他出现急性肺水肿和心源性休克,需要机械通气和肌力支持。因此,有潜在心力衰竭的患者慎用氯胺酮。氯胺酮与心脏失代偿导致的心源性休克和肺水肿之间的因果关系有待进一步研究。
本文章由计算机程序翻译,如有差异,请以英文原文为准。

Severe cardiopulmonary complications of ketamine: Acute pulmonary Edema in a cardiac patient.

Severe cardiopulmonary complications of ketamine: Acute pulmonary Edema in a cardiac patient.

Severe cardiopulmonary complications of ketamine: Acute pulmonary Edema in a cardiac patient.

Severe cardiopulmonary complications of ketamine: Acute pulmonary Edema in a cardiac patient.

Ketamine use in the emergency department is more widespread than ever due to its favorable safety profile and combined analgesic and anesthetic properties. Its ability to stimulate the cardiovascular system via the sympathetic nervous system is particularly important, as patients can develop hemodynamic instability. However, concerns remain regarding the risk of decompensated cardiac function due to extreme tachycardia and severely elevated systemic blood pressure. In this case, a middle-aged male with a known history of coronary artery disease and congestive heart failure deteriorated significantly after ketamine was administered for sedation to facilitate a computed tomography pulmonary angiogram. He developed acute pulmonary edema and cardiogenic shock, requiring mechanical ventilation and inotropic support. Therefore, it is advisable to use ketamine with caution in patients with underlying heart failure. Further research is needed to establish a causal relationship between ketamine and cardiac decompensation leading to cardiogenic shock and pulmonary edema in selected patients.

求助全文
通过发布文献求助,成功后即可免费获取论文全文。 去求助
来源期刊
Oxford Medical Case Reports
Oxford Medical Case Reports MEDICINE, GENERAL & INTERNAL-
CiteScore
0.90
自引率
0.00%
发文量
125
审稿时长
19 weeks
期刊介绍: Oxford Medical Case Reports (OMCR) is an open access, peer-reviewed online journal publishing original and educationally valuable case reports that expand the field of medicine. The journal covers all medical specialities including cardiology, rheumatology, nephrology, oncology, neurology, and reproduction, comprising a comprehensive resource for physicians in all fields and at all stages of training. Oxford Medical Case Reports deposits all articles in PubMed Central (PMC). Physicians and researchers can find your work through PubMed , helping you reach the widest possible audience. The journal is also indexed in the Web of Science Core Collection . Oxford Medical Case Reports publishes case reports under the following categories: Allergy Audiovestibular medicine Cardiology and cardiovascular systems Critical care medicine Dermatology Emergency medicine Endocrinology and metabolism Gastroenterology and hepatology Geriatrics and gerontology Haematology Immunology Infectious diseases and tropical medicine Medical disorders in pregnancy Medical ophthalmology Nephrology Neurology Oncology Paediatrics Pain Palliative medicine Pharmacology and pharmacy Psychiatry Radiology, nuclear medicine, and medical imaging Respiratory disorders Rheumatology Sexual and reproductive health Sports Medicine Substance abuse.
×
引用
GB/T 7714-2015
复制
MLA
复制
APA
复制
导出至
BibTeX EndNote RefMan NoteFirst NoteExpress
×
提示
您的信息不完整,为了账户安全,请先补充。
现在去补充
×
提示
您因"违规操作"
具体请查看互助需知
我知道了
×
提示
确定
请完成安全验证×
copy
已复制链接
快去分享给好友吧!
我知道了
右上角分享
点击右上角分享
0
联系我们:info@booksci.cn Book学术提供免费学术资源搜索服务,方便国内外学者检索中英文文献。致力于提供最便捷和优质的服务体验。 Copyright © 2023 布克学术 All rights reserved.
京ICP备2023020795号-1
ghs 京公网安备 11010802042870号
Book学术文献互助
Book学术文献互助群
群 号:604180095
Book学术官方微信