尿路上皮癌伴前列腺腺癌同时发生淋巴上皮瘤样和浆细胞样亚型及临床随访。

IF 0.5 Q4 PATHOLOGY
Case Reports in Pathology Pub Date : 2025-08-21 eCollection Date: 2025-01-01 DOI:10.1155/crip/9068792
Siddharth Venkatesh, John S Costanza, Bettye Cox, Chris Finch, Ya Xu
{"title":"尿路上皮癌伴前列腺腺癌同时发生淋巴上皮瘤样和浆细胞样亚型及临床随访。","authors":"Siddharth Venkatesh, John S Costanza, Bettye Cox, Chris Finch, Ya Xu","doi":"10.1155/crip/9068792","DOIUrl":null,"url":null,"abstract":"<p><p>Lymphoepithelioma-like urothelial carcinoma (LELUC) and plasmacytoid urothelial carcinoma (PUC) are rare subtypes. We report a case of simultaneous urothelial carcinoma composed of LELUC and PUC subtypes, along with prostatic adenocarcinoma, with successful clinical management by immunotherapy. The patient, a 54-year-old man with a 40 pack-year smoking history, presented with gross hematuria and dysuria. Imaging revealed focal bladder wall thickening. The patient underwent transurethral resection of bladder tumor (TURBT), followed by cystoprostatectomy. The TURBT revealed LELUC, with muscle invasion. The subsequent cystoprostatectomy specimen displayed a 6.0 cm ulcerative mass, which had focal penetration through the urinary bladder wall. Microscopically, the tumor consisted of sheets of enlarged and pleomorphic tumor cells, mixed with a lymphoplasmacytic infiltrate. Focal plasmacytoid and occasional signet ring cell-like morphologies were observed. Rare tumor cells showed positivity for GATA-3 and p63 immunostains, while the plasmacytoid tumor cells exhibited loss of E-cadherin expression. Additionally, adenocarcinoma of the prostate was present, with a Gleason score of 3 + 3, involving 2% of the prostate tissue. The diagnoses of LELUC, comprising 95% of the tumor, PUC, comprising 5%, and prostatic adenocarcinoma were made. Molecular studies revealed a high tumor mutational burden, and the tumor exhibited PD-L1 expression. The patient received adjuvant immunotherapy with Pembrolizumab and showed no evidence of disease for 3 years up to the time of this report. Morphologic recognition of the various subtypes of urothelial carcinoma, supported by immunohistochemistry, is essential for the proper clinical management of patients. A search of the literature on PubMed revealed no similar cases.</p>","PeriodicalId":45638,"journal":{"name":"Case Reports in Pathology","volume":"2025 ","pages":"9068792"},"PeriodicalIF":0.5000,"publicationDate":"2025-08-21","publicationTypes":"Journal Article","fieldsOfStudy":null,"isOpenAccess":false,"openAccessPdf":"https://www.ncbi.nlm.nih.gov/pmc/articles/PMC12393931/pdf/","citationCount":"0","resultStr":"{\"title\":\"Simultaneous Lymphoepithelioma-Like and Plasmacytoid Subtypes of Urothelial Carcinoma, Along With Prostatic Adenocarcinoma With Clinical Follow-Up.\",\"authors\":\"Siddharth Venkatesh, John S Costanza, Bettye Cox, Chris Finch, Ya Xu\",\"doi\":\"10.1155/crip/9068792\",\"DOIUrl\":null,\"url\":null,\"abstract\":\"<p><p>Lymphoepithelioma-like urothelial carcinoma (LELUC) and plasmacytoid urothelial carcinoma (PUC) are rare subtypes. We report a case of simultaneous urothelial carcinoma composed of LELUC and PUC subtypes, along with prostatic adenocarcinoma, with successful clinical management by immunotherapy. The patient, a 54-year-old man with a 40 pack-year smoking history, presented with gross hematuria and dysuria. Imaging revealed focal bladder wall thickening. The patient underwent transurethral resection of bladder tumor (TURBT), followed by cystoprostatectomy. The TURBT revealed LELUC, with muscle invasion. The subsequent cystoprostatectomy specimen displayed a 6.0 cm ulcerative mass, which had focal penetration through the urinary bladder wall. Microscopically, the tumor consisted of sheets of enlarged and pleomorphic tumor cells, mixed with a lymphoplasmacytic infiltrate. Focal plasmacytoid and occasional signet ring cell-like morphologies were observed. Rare tumor cells showed positivity for GATA-3 and p63 immunostains, while the plasmacytoid tumor cells exhibited loss of E-cadherin expression. Additionally, adenocarcinoma of the prostate was present, with a Gleason score of 3 + 3, involving 2% of the prostate tissue. The diagnoses of LELUC, comprising 95% of the tumor, PUC, comprising 5%, and prostatic adenocarcinoma were made. Molecular studies revealed a high tumor mutational burden, and the tumor exhibited PD-L1 expression. The patient received adjuvant immunotherapy with Pembrolizumab and showed no evidence of disease for 3 years up to the time of this report. Morphologic recognition of the various subtypes of urothelial carcinoma, supported by immunohistochemistry, is essential for the proper clinical management of patients. A search of the literature on PubMed revealed no similar cases.</p>\",\"PeriodicalId\":45638,\"journal\":{\"name\":\"Case Reports in Pathology\",\"volume\":\"2025 \",\"pages\":\"9068792\"},\"PeriodicalIF\":0.5000,\"publicationDate\":\"2025-08-21\",\"publicationTypes\":\"Journal Article\",\"fieldsOfStudy\":null,\"isOpenAccess\":false,\"openAccessPdf\":\"https://www.ncbi.nlm.nih.gov/pmc/articles/PMC12393931/pdf/\",\"citationCount\":\"0\",\"resultStr\":null,\"platform\":\"Semanticscholar\",\"paperid\":null,\"PeriodicalName\":\"Case Reports in Pathology\",\"FirstCategoryId\":\"1085\",\"ListUrlMain\":\"https://doi.org/10.1155/crip/9068792\",\"RegionNum\":0,\"RegionCategory\":null,\"ArticlePicture\":[],\"TitleCN\":null,\"AbstractTextCN\":null,\"PMCID\":null,\"EPubDate\":\"2025/1/1 0:00:00\",\"PubModel\":\"eCollection\",\"JCR\":\"Q4\",\"JCRName\":\"PATHOLOGY\",\"Score\":null,\"Total\":0}","platform":"Semanticscholar","paperid":null,"PeriodicalName":"Case Reports in Pathology","FirstCategoryId":"1085","ListUrlMain":"https://doi.org/10.1155/crip/9068792","RegionNum":0,"RegionCategory":null,"ArticlePicture":[],"TitleCN":null,"AbstractTextCN":null,"PMCID":null,"EPubDate":"2025/1/1 0:00:00","PubModel":"eCollection","JCR":"Q4","JCRName":"PATHOLOGY","Score":null,"Total":0}
引用次数: 0

摘要

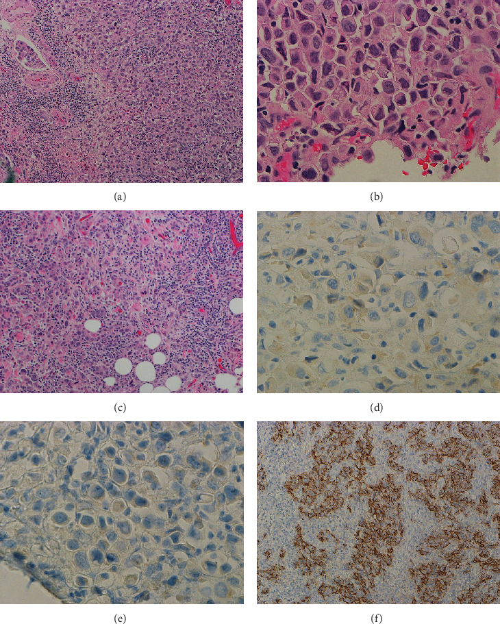
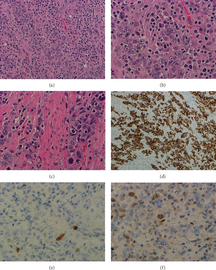
淋巴上皮瘤样尿路上皮癌(LELUC)和浆细胞样尿路上皮癌(PUC)是罕见的亚型。我们报告一例同时由LELUC和PUC亚型组成的尿路上皮癌,以及前列腺腺癌,通过免疫治疗成功的临床管理。患者54岁,男性,吸烟史40包年,表现为肉眼血尿和排尿困难。影像学显示局灶性膀胱壁增厚。患者行经尿道膀胱肿瘤切除术(turt),随后行膀胱前列腺切除术。TURBT显示LELUC伴肌肉浸润。随后的膀胱前列腺切除术标本显示一个6.0厘米的溃疡性肿块,其局灶性穿透膀胱壁。显微镜下,肿瘤由肿大的多形性肿瘤细胞片组成,并伴有淋巴浆细胞浸润。灶性浆细胞样和偶见印戒细胞样形态。罕见肿瘤细胞GATA-3和p63免疫染色阳性,浆细胞样肿瘤细胞E-cadherin表达缺失。此外,前列腺腺癌存在,Gleason评分为3 + 3,涉及2%的前列腺组织。诊断为LELUC占肿瘤的95%,PUC占肿瘤的5%,前列腺腺癌。分子研究表明,该肿瘤具有较高的突变负荷,肿瘤表现出PD-L1的表达。患者接受了Pembrolizumab的辅助免疫治疗,截至本报告发表时,3年内无疾病迹象。在免疫组织化学的支持下,对尿路上皮癌各种亚型的形态学识别对于患者的适当临床管理至关重要。PubMed上的文献搜索没有发现类似的案例。
本文章由计算机程序翻译,如有差异,请以英文原文为准。

Simultaneous Lymphoepithelioma-Like and Plasmacytoid Subtypes of Urothelial Carcinoma, Along With Prostatic Adenocarcinoma With Clinical Follow-Up.

Simultaneous Lymphoepithelioma-Like and Plasmacytoid Subtypes of Urothelial Carcinoma, Along With Prostatic Adenocarcinoma With Clinical Follow-Up.

Simultaneous Lymphoepithelioma-Like and Plasmacytoid Subtypes of Urothelial Carcinoma, Along With Prostatic Adenocarcinoma With Clinical Follow-Up.

Simultaneous Lymphoepithelioma-Like and Plasmacytoid Subtypes of Urothelial Carcinoma, Along With Prostatic Adenocarcinoma With Clinical Follow-Up.

Lymphoepithelioma-like urothelial carcinoma (LELUC) and plasmacytoid urothelial carcinoma (PUC) are rare subtypes. We report a case of simultaneous urothelial carcinoma composed of LELUC and PUC subtypes, along with prostatic adenocarcinoma, with successful clinical management by immunotherapy. The patient, a 54-year-old man with a 40 pack-year smoking history, presented with gross hematuria and dysuria. Imaging revealed focal bladder wall thickening. The patient underwent transurethral resection of bladder tumor (TURBT), followed by cystoprostatectomy. The TURBT revealed LELUC, with muscle invasion. The subsequent cystoprostatectomy specimen displayed a 6.0 cm ulcerative mass, which had focal penetration through the urinary bladder wall. Microscopically, the tumor consisted of sheets of enlarged and pleomorphic tumor cells, mixed with a lymphoplasmacytic infiltrate. Focal plasmacytoid and occasional signet ring cell-like morphologies were observed. Rare tumor cells showed positivity for GATA-3 and p63 immunostains, while the plasmacytoid tumor cells exhibited loss of E-cadherin expression. Additionally, adenocarcinoma of the prostate was present, with a Gleason score of 3 + 3, involving 2% of the prostate tissue. The diagnoses of LELUC, comprising 95% of the tumor, PUC, comprising 5%, and prostatic adenocarcinoma were made. Molecular studies revealed a high tumor mutational burden, and the tumor exhibited PD-L1 expression. The patient received adjuvant immunotherapy with Pembrolizumab and showed no evidence of disease for 3 years up to the time of this report. Morphologic recognition of the various subtypes of urothelial carcinoma, supported by immunohistochemistry, is essential for the proper clinical management of patients. A search of the literature on PubMed revealed no similar cases.

求助全文
通过发布文献求助,成功后即可免费获取论文全文。 去求助
来源期刊
自引率
0.00%
发文量
20
审稿时长
12 weeks
×
引用
GB/T 7714-2015
复制
MLA
复制
APA
复制
导出至
BibTeX EndNote RefMan NoteFirst NoteExpress
×
提示
您的信息不完整,为了账户安全,请先补充。
现在去补充
×
提示
您因"违规操作"
具体请查看互助需知
我知道了
×
提示
确定
请完成安全验证×
copy
已复制链接
快去分享给好友吧!
我知道了
右上角分享
点击右上角分享
0
联系我们:info@booksci.cn Book学术提供免费学术资源搜索服务,方便国内外学者检索中英文文献。致力于提供最便捷和优质的服务体验。 Copyright © 2023 布克学术 All rights reserved.
京ICP备2023020795号-1
ghs 京公网安备 11010802042870号
Book学术文献互助
Book学术文献互助群
群 号:604180095
Book学术官方微信