平山病:颈椎病的罕见病因。

IF 0.4 Q3 MEDICINE, GENERAL & INTERNAL
Oxford Medical Case Reports Pub Date : 2025-08-25 eCollection Date: 2025-08-01 DOI:10.1093/omcr/omaf151
Amin Khan, Aditya Duhan, Rajiv Mangla, Manisha Mangla, Sajjad Ghanim Al-Badri
{"title":"平山病:颈椎病的罕见病因。","authors":"Amin Khan, Aditya Duhan, Rajiv Mangla, Manisha Mangla, Sajjad Ghanim Al-Badri","doi":"10.1093/omcr/omaf151","DOIUrl":null,"url":null,"abstract":"<p><p>Hirayama disease (HD) is a rare cervical myelopathy involving lower cervical myotomes, causing asymmetric or unilateral distal upper extremity muscle atrophy. Diagnosis relies on clinical findings, nerve conduction studies, and cervical spine MRI in neutral and flexion positions. We present a 17-year-old male with painless, progressive weakness and atrophy of the left forearm and hand muscles, along with hyperhidrosis. Initial cervical spine MRI revealed loss of cervical lordosis, lower cervical hemicord atrophy, and increased T2 signal intensity in the anterior horn cells. Flexion MRI demonstrated anterior shifting of the posterior dura, cervical cord compression, venous plexus congestion, and posterior epidural space widening with enhancement, confirming Hirayama disease. In adolescent males with cervical cord atrophy and asymmetric flattening on routine MRI, Hirayama disease should be suspected. Flexion MRI is crucial for identifying anterior dural shifting and related changes, ensuring accurate diagnosis.</p>","PeriodicalId":45318,"journal":{"name":"Oxford Medical Case Reports","volume":"2025 8","pages":"omaf151"},"PeriodicalIF":0.4000,"publicationDate":"2025-08-25","publicationTypes":"Journal Article","fieldsOfStudy":null,"isOpenAccess":false,"openAccessPdf":"https://www.ncbi.nlm.nih.gov/pmc/articles/PMC12375807/pdf/","citationCount":"0","resultStr":"{\"title\":\"Hirayama disease: a rare cause of cervical myelopathy.\",\"authors\":\"Amin Khan, Aditya Duhan, Rajiv Mangla, Manisha Mangla, Sajjad Ghanim Al-Badri\",\"doi\":\"10.1093/omcr/omaf151\",\"DOIUrl\":null,\"url\":null,\"abstract\":\"<p><p>Hirayama disease (HD) is a rare cervical myelopathy involving lower cervical myotomes, causing asymmetric or unilateral distal upper extremity muscle atrophy. Diagnosis relies on clinical findings, nerve conduction studies, and cervical spine MRI in neutral and flexion positions. We present a 17-year-old male with painless, progressive weakness and atrophy of the left forearm and hand muscles, along with hyperhidrosis. Initial cervical spine MRI revealed loss of cervical lordosis, lower cervical hemicord atrophy, and increased T2 signal intensity in the anterior horn cells. Flexion MRI demonstrated anterior shifting of the posterior dura, cervical cord compression, venous plexus congestion, and posterior epidural space widening with enhancement, confirming Hirayama disease. In adolescent males with cervical cord atrophy and asymmetric flattening on routine MRI, Hirayama disease should be suspected. Flexion MRI is crucial for identifying anterior dural shifting and related changes, ensuring accurate diagnosis.</p>\",\"PeriodicalId\":45318,\"journal\":{\"name\":\"Oxford Medical Case Reports\",\"volume\":\"2025 8\",\"pages\":\"omaf151\"},\"PeriodicalIF\":0.4000,\"publicationDate\":\"2025-08-25\",\"publicationTypes\":\"Journal Article\",\"fieldsOfStudy\":null,\"isOpenAccess\":false,\"openAccessPdf\":\"https://www.ncbi.nlm.nih.gov/pmc/articles/PMC12375807/pdf/\",\"citationCount\":\"0\",\"resultStr\":null,\"platform\":\"Semanticscholar\",\"paperid\":null,\"PeriodicalName\":\"Oxford Medical Case Reports\",\"FirstCategoryId\":\"1085\",\"ListUrlMain\":\"https://doi.org/10.1093/omcr/omaf151\",\"RegionNum\":0,\"RegionCategory\":null,\"ArticlePicture\":[],\"TitleCN\":null,\"AbstractTextCN\":null,\"PMCID\":null,\"EPubDate\":\"2025/8/1 0:00:00\",\"PubModel\":\"eCollection\",\"JCR\":\"Q3\",\"JCRName\":\"MEDICINE, GENERAL & INTERNAL\",\"Score\":null,\"Total\":0}","platform":"Semanticscholar","paperid":null,"PeriodicalName":"Oxford Medical Case Reports","FirstCategoryId":"1085","ListUrlMain":"https://doi.org/10.1093/omcr/omaf151","RegionNum":0,"RegionCategory":null,"ArticlePicture":[],"TitleCN":null,"AbstractTextCN":null,"PMCID":null,"EPubDate":"2025/8/1 0:00:00","PubModel":"eCollection","JCR":"Q3","JCRName":"MEDICINE, GENERAL & INTERNAL","Score":null,"Total":0}
引用次数: 0

摘要

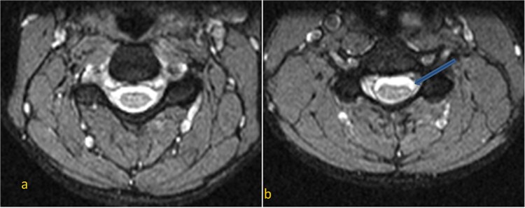
平山病(Hirayama disease, HD)是一种罕见的颈椎脊髓病,累及下颈肌瘤,引起不对称或单侧上肢远端肌肉萎缩。诊断依赖于临床表现、神经传导研究和颈椎中性位和屈曲位的MRI。我们提出一个17岁的男性无痛,进行性无力和萎缩的左前臂和手的肌肉,并伴有多汗症。最初的颈椎MRI显示颈椎前凸消失,下颈半索萎缩,前角细胞T2信号强度增加。屈曲MRI显示后硬脑膜前移,颈髓受压,静脉丛充血,后硬膜外间隙扩大并增强,证实平山病。在常规MRI检查中出现颈髓萎缩和不对称扁平的青少年男性,应怀疑为平山病。屈曲MRI对识别硬脑膜前移位及相关改变至关重要,确保准确诊断。
本文章由计算机程序翻译,如有差异,请以英文原文为准。

Hirayama disease: a rare cause of cervical myelopathy.

Hirayama disease: a rare cause of cervical myelopathy.

Hirayama disease: a rare cause of cervical myelopathy.

Hirayama disease (HD) is a rare cervical myelopathy involving lower cervical myotomes, causing asymmetric or unilateral distal upper extremity muscle atrophy. Diagnosis relies on clinical findings, nerve conduction studies, and cervical spine MRI in neutral and flexion positions. We present a 17-year-old male with painless, progressive weakness and atrophy of the left forearm and hand muscles, along with hyperhidrosis. Initial cervical spine MRI revealed loss of cervical lordosis, lower cervical hemicord atrophy, and increased T2 signal intensity in the anterior horn cells. Flexion MRI demonstrated anterior shifting of the posterior dura, cervical cord compression, venous plexus congestion, and posterior epidural space widening with enhancement, confirming Hirayama disease. In adolescent males with cervical cord atrophy and asymmetric flattening on routine MRI, Hirayama disease should be suspected. Flexion MRI is crucial for identifying anterior dural shifting and related changes, ensuring accurate diagnosis.

求助全文
通过发布文献求助,成功后即可免费获取论文全文。 去求助
来源期刊
Oxford Medical Case Reports
Oxford Medical Case Reports MEDICINE, GENERAL & INTERNAL-
CiteScore
0.90
自引率
0.00%
发文量
125
审稿时长
19 weeks
期刊介绍: Oxford Medical Case Reports (OMCR) is an open access, peer-reviewed online journal publishing original and educationally valuable case reports that expand the field of medicine. The journal covers all medical specialities including cardiology, rheumatology, nephrology, oncology, neurology, and reproduction, comprising a comprehensive resource for physicians in all fields and at all stages of training. Oxford Medical Case Reports deposits all articles in PubMed Central (PMC). Physicians and researchers can find your work through PubMed , helping you reach the widest possible audience. The journal is also indexed in the Web of Science Core Collection . Oxford Medical Case Reports publishes case reports under the following categories: Allergy Audiovestibular medicine Cardiology and cardiovascular systems Critical care medicine Dermatology Emergency medicine Endocrinology and metabolism Gastroenterology and hepatology Geriatrics and gerontology Haematology Immunology Infectious diseases and tropical medicine Medical disorders in pregnancy Medical ophthalmology Nephrology Neurology Oncology Paediatrics Pain Palliative medicine Pharmacology and pharmacy Psychiatry Radiology, nuclear medicine, and medical imaging Respiratory disorders Rheumatology Sexual and reproductive health Sports Medicine Substance abuse.
×
引用
GB/T 7714-2015
复制
MLA
复制
APA
复制
导出至
BibTeX EndNote RefMan NoteFirst NoteExpress
×
提示
您的信息不完整,为了账户安全,请先补充。
现在去补充
×
提示
您因"违规操作"
具体请查看互助需知
我知道了
×
提示
确定
请完成安全验证×
copy
已复制链接
快去分享给好友吧!
我知道了
右上角分享
点击右上角分享
0
联系我们:info@booksci.cn Book学术提供免费学术资源搜索服务,方便国内外学者检索中英文文献。致力于提供最便捷和优质的服务体验。 Copyright © 2023 布克学术 All rights reserved.
京ICP备2023020795号-1
ghs 京公网安备 11010802042870号
Book学术文献互助
Book学术文献互助群
群 号:604180095
Book学术官方微信