无功能垂体腺瘤经蝶窦手术后不适当抗利尿的孤立综合征:临床病例报告。

IF 0.4 Q3 MEDICINE, GENERAL & INTERNAL
Oxford Medical Case Reports Pub Date : 2025-08-25 eCollection Date: 2025-08-01 DOI:10.1093/omcr/omaf152
Nasthia Quilismal, Mariana Risso, Patricia Agüero, Ramilo Lima, Francisco Garagorry, Dardo Centurion, Maria M Pineyro
{"title":"无功能垂体腺瘤经蝶窦手术后不适当抗利尿的孤立综合征:临床病例报告。","authors":"Nasthia Quilismal, Mariana Risso, Patricia Agüero, Ramilo Lima, Francisco Garagorry, Dardo Centurion, Maria M Pineyro","doi":"10.1093/omcr/omaf152","DOIUrl":null,"url":null,"abstract":"<p><strong>Introduction: </strong>Disorders of water balance, including arginine vasopressin deficiency (AVP-D) and syndrome of inappropriate antidiuresis (SIAD), are common postoperative complications following pituitary surgery. While AVP-D typically occurs as an isolated condition, SIAD may also present independently.</p><p><strong>Clinical case: </strong>We describe the case of a patient with a non-functioning pituitary adenoma who underwent transsphenoidal surgery. On postoperative day 7, she developed isolated SIAD, characterized by a plasma sodium level of 113 mmol/L, normovolemia, urine osmolality of 364 mOsm/kg, and urine sodium concentration of 50 mmol/L. A daily fluid restriction of 800 mL resulted in the resolution of hyponatremia within 48 h.</p><p><strong>Conclusions: </strong>Water balance disorders following pituitary surgery are often unpredictable. This case highlighs the importance of close postoperative clinical and biochemical monitoring. Vigilance is essential, even in the absence of AVP-D, to ensure early detection and management of potentially severe complications such as SIAD.</p>","PeriodicalId":45318,"journal":{"name":"Oxford Medical Case Reports","volume":"2025 8","pages":"omaf152"},"PeriodicalIF":0.4000,"publicationDate":"2025-08-25","publicationTypes":"Journal Article","fieldsOfStudy":null,"isOpenAccess":false,"openAccessPdf":"https://www.ncbi.nlm.nih.gov/pmc/articles/PMC12375806/pdf/","citationCount":"0","resultStr":"{\"title\":\"Isolated syndrome of inappropriate antidiuresis (SIAD) after Transphenoidal surgery of a non-functioning pituitary adenoma: clinical case report.\",\"authors\":\"Nasthia Quilismal, Mariana Risso, Patricia Agüero, Ramilo Lima, Francisco Garagorry, Dardo Centurion, Maria M Pineyro\",\"doi\":\"10.1093/omcr/omaf152\",\"DOIUrl\":null,\"url\":null,\"abstract\":\"<p><strong>Introduction: </strong>Disorders of water balance, including arginine vasopressin deficiency (AVP-D) and syndrome of inappropriate antidiuresis (SIAD), are common postoperative complications following pituitary surgery. While AVP-D typically occurs as an isolated condition, SIAD may also present independently.</p><p><strong>Clinical case: </strong>We describe the case of a patient with a non-functioning pituitary adenoma who underwent transsphenoidal surgery. On postoperative day 7, she developed isolated SIAD, characterized by a plasma sodium level of 113 mmol/L, normovolemia, urine osmolality of 364 mOsm/kg, and urine sodium concentration of 50 mmol/L. A daily fluid restriction of 800 mL resulted in the resolution of hyponatremia within 48 h.</p><p><strong>Conclusions: </strong>Water balance disorders following pituitary surgery are often unpredictable. This case highlighs the importance of close postoperative clinical and biochemical monitoring. Vigilance is essential, even in the absence of AVP-D, to ensure early detection and management of potentially severe complications such as SIAD.</p>\",\"PeriodicalId\":45318,\"journal\":{\"name\":\"Oxford Medical Case Reports\",\"volume\":\"2025 8\",\"pages\":\"omaf152\"},\"PeriodicalIF\":0.4000,\"publicationDate\":\"2025-08-25\",\"publicationTypes\":\"Journal Article\",\"fieldsOfStudy\":null,\"isOpenAccess\":false,\"openAccessPdf\":\"https://www.ncbi.nlm.nih.gov/pmc/articles/PMC12375806/pdf/\",\"citationCount\":\"0\",\"resultStr\":null,\"platform\":\"Semanticscholar\",\"paperid\":null,\"PeriodicalName\":\"Oxford Medical Case Reports\",\"FirstCategoryId\":\"1085\",\"ListUrlMain\":\"https://doi.org/10.1093/omcr/omaf152\",\"RegionNum\":0,\"RegionCategory\":null,\"ArticlePicture\":[],\"TitleCN\":null,\"AbstractTextCN\":null,\"PMCID\":null,\"EPubDate\":\"2025/8/1 0:00:00\",\"PubModel\":\"eCollection\",\"JCR\":\"Q3\",\"JCRName\":\"MEDICINE, GENERAL & INTERNAL\",\"Score\":null,\"Total\":0}","platform":"Semanticscholar","paperid":null,"PeriodicalName":"Oxford Medical Case Reports","FirstCategoryId":"1085","ListUrlMain":"https://doi.org/10.1093/omcr/omaf152","RegionNum":0,"RegionCategory":null,"ArticlePicture":[],"TitleCN":null,"AbstractTextCN":null,"PMCID":null,"EPubDate":"2025/8/1 0:00:00","PubModel":"eCollection","JCR":"Q3","JCRName":"MEDICINE, GENERAL & INTERNAL","Score":null,"Total":0}
引用次数: 0

摘要

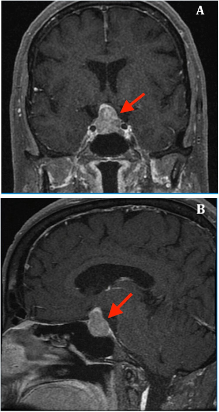
水平衡紊乱,包括精氨酸抗利尿素缺乏症(AVP-D)和不适当抗利尿综合征(SIAD),是垂体手术后常见的并发症。虽然AVP-D通常作为孤立情况发生,但SIAD也可能独立出现。临床病例:我们描述的情况下,患者与无功能的垂体腺瘤谁接受了经蝶手术。术后第7天,患者出现孤立性SIAD,血钠水平113 mmol/L,血容量正常,尿渗透压364 mOsm/kg,尿钠浓度50 mmol/L。每天限制800毫升的液体可在48小时内解决低钠血症。结论:垂体手术后的水平衡障碍通常是不可预测的。这个病例强调了密切的术后临床和生化监测的重要性。即使在没有AVP-D的情况下,保持警惕也是必不可少的,以确保早期发现和管理潜在的严重并发症,如SIAD。
本文章由计算机程序翻译,如有差异,请以英文原文为准。

Isolated syndrome of inappropriate antidiuresis (SIAD) after Transphenoidal surgery of a non-functioning pituitary adenoma: clinical case report.

Isolated syndrome of inappropriate antidiuresis (SIAD) after Transphenoidal surgery of a non-functioning pituitary adenoma: clinical case report.

Introduction: Disorders of water balance, including arginine vasopressin deficiency (AVP-D) and syndrome of inappropriate antidiuresis (SIAD), are common postoperative complications following pituitary surgery. While AVP-D typically occurs as an isolated condition, SIAD may also present independently.

Clinical case: We describe the case of a patient with a non-functioning pituitary adenoma who underwent transsphenoidal surgery. On postoperative day 7, she developed isolated SIAD, characterized by a plasma sodium level of 113 mmol/L, normovolemia, urine osmolality of 364 mOsm/kg, and urine sodium concentration of 50 mmol/L. A daily fluid restriction of 800 mL resulted in the resolution of hyponatremia within 48 h.

Conclusions: Water balance disorders following pituitary surgery are often unpredictable. This case highlighs the importance of close postoperative clinical and biochemical monitoring. Vigilance is essential, even in the absence of AVP-D, to ensure early detection and management of potentially severe complications such as SIAD.

求助全文
通过发布文献求助,成功后即可免费获取论文全文。 去求助
来源期刊
Oxford Medical Case Reports
Oxford Medical Case Reports MEDICINE, GENERAL & INTERNAL-
CiteScore
0.90
自引率
0.00%
发文量
125
审稿时长
19 weeks
期刊介绍: Oxford Medical Case Reports (OMCR) is an open access, peer-reviewed online journal publishing original and educationally valuable case reports that expand the field of medicine. The journal covers all medical specialities including cardiology, rheumatology, nephrology, oncology, neurology, and reproduction, comprising a comprehensive resource for physicians in all fields and at all stages of training. Oxford Medical Case Reports deposits all articles in PubMed Central (PMC). Physicians and researchers can find your work through PubMed , helping you reach the widest possible audience. The journal is also indexed in the Web of Science Core Collection . Oxford Medical Case Reports publishes case reports under the following categories: Allergy Audiovestibular medicine Cardiology and cardiovascular systems Critical care medicine Dermatology Emergency medicine Endocrinology and metabolism Gastroenterology and hepatology Geriatrics and gerontology Haematology Immunology Infectious diseases and tropical medicine Medical disorders in pregnancy Medical ophthalmology Nephrology Neurology Oncology Paediatrics Pain Palliative medicine Pharmacology and pharmacy Psychiatry Radiology, nuclear medicine, and medical imaging Respiratory disorders Rheumatology Sexual and reproductive health Sports Medicine Substance abuse.
×
引用
GB/T 7714-2015
复制
MLA
复制
APA
复制
导出至
BibTeX EndNote RefMan NoteFirst NoteExpress
×
提示
您的信息不完整,为了账户安全,请先补充。
现在去补充
×
提示
您因"违规操作"
具体请查看互助需知
我知道了
×
提示
确定
请完成安全验证×
copy
已复制链接
快去分享给好友吧!
我知道了
右上角分享
点击右上角分享
0
联系我们:info@booksci.cn Book学术提供免费学术资源搜索服务,方便国内外学者检索中英文文献。致力于提供最便捷和优质的服务体验。 Copyright © 2023 布克学术 All rights reserved.
京ICP备2023020795号-1
ghs 京公网安备 11010802042870号
Book学术文献互助
Book学术文献互助群
群 号:604180095
Book学术官方微信