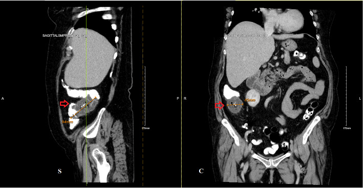
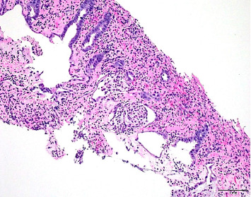
非甾体抗炎药诱导的肉芽肿性结肠炎:一例消失的结肠肿块模拟恶性肿瘤的报告和文献复习。

IF 0.5 Q4 GASTROENTEROLOGY & HEPATOLOGY
Case Reports in Gastrointestinal Medicine Pub Date : 2025-08-20 eCollection Date: 2025-01-01 DOI:10.1155/crgm/1169139
Joel Gabin Konlack Mekontso, Akil Olliverrie, Nitin Pendyala, Joseph Yvan Bena Nnang, Guy Loic Nguefang Tchoukeu, Vera Platsky, Roy Chaudhury, Christopher Chum
{"title":"非甾体抗炎药诱导的肉芽肿性结肠炎:一例消失的结肠肿块模拟恶性肿瘤的报告和文献复习。","authors":"Joel Gabin Konlack Mekontso, Akil Olliverrie, Nitin Pendyala, Joseph Yvan Bena Nnang, Guy Loic Nguefang Tchoukeu, Vera Platsky, Roy Chaudhury, Christopher Chum","doi":"10.1155/crgm/1169139","DOIUrl":null,"url":null,"abstract":"<p><p>This case report describes a rare occurrence of nonsteroidal anti-inflammatory drugs (NSAID)-induced focal colonic granulomatous mass mimicking a malignant colonic mass. It highlights the diagnostic challenges of NSAID-related gastrointestinal complications and stresses the importance of considering such causes in similar presentations. Prompt recognition and withdrawal of the offending NSAID can prevent unnecessary surgical intervention and facilitate symptom resolution. This case underscores the value of a detailed medication history and cautious NSAID use to reduce the risk of adverse gastrointestinal effects.</p>","PeriodicalId":45645,"journal":{"name":"Case Reports in Gastrointestinal Medicine","volume":"2025 ","pages":"1169139"},"PeriodicalIF":0.5000,"publicationDate":"2025-08-20","publicationTypes":"Journal Article","fieldsOfStudy":null,"isOpenAccess":false,"openAccessPdf":"https://www.ncbi.nlm.nih.gov/pmc/articles/PMC12390562/pdf/","citationCount":"0","resultStr":"{\"title\":\"Nonsteroidal Anti-Inflammatory Drug-Induced Granulomatous Colitis: A Case Report and Literature Review of a Vanishing Colonic Mass Mimicking Malignancy.\",\"authors\":\"Joel Gabin Konlack Mekontso, Akil Olliverrie, Nitin Pendyala, Joseph Yvan Bena Nnang, Guy Loic Nguefang Tchoukeu, Vera Platsky, Roy Chaudhury, Christopher Chum\",\"doi\":\"10.1155/crgm/1169139\",\"DOIUrl\":null,\"url\":null,\"abstract\":\"<p><p>This case report describes a rare occurrence of nonsteroidal anti-inflammatory drugs (NSAID)-induced focal colonic granulomatous mass mimicking a malignant colonic mass. It highlights the diagnostic challenges of NSAID-related gastrointestinal complications and stresses the importance of considering such causes in similar presentations. Prompt recognition and withdrawal of the offending NSAID can prevent unnecessary surgical intervention and facilitate symptom resolution. This case underscores the value of a detailed medication history and cautious NSAID use to reduce the risk of adverse gastrointestinal effects.</p>\",\"PeriodicalId\":45645,\"journal\":{\"name\":\"Case Reports in Gastrointestinal Medicine\",\"volume\":\"2025 \",\"pages\":\"1169139\"},\"PeriodicalIF\":0.5000,\"publicationDate\":\"2025-08-20\",\"publicationTypes\":\"Journal Article\",\"fieldsOfStudy\":null,\"isOpenAccess\":false,\"openAccessPdf\":\"https://www.ncbi.nlm.nih.gov/pmc/articles/PMC12390562/pdf/\",\"citationCount\":\"0\",\"resultStr\":null,\"platform\":\"Semanticscholar\",\"paperid\":null,\"PeriodicalName\":\"Case Reports in Gastrointestinal Medicine\",\"FirstCategoryId\":\"1085\",\"ListUrlMain\":\"https://doi.org/10.1155/crgm/1169139\",\"RegionNum\":0,\"RegionCategory\":null,\"ArticlePicture\":[],\"TitleCN\":null,\"AbstractTextCN\":null,\"PMCID\":null,\"EPubDate\":\"2025/1/1 0:00:00\",\"PubModel\":\"eCollection\",\"JCR\":\"Q4\",\"JCRName\":\"GASTROENTEROLOGY & HEPATOLOGY\",\"Score\":null,\"Total\":0}","platform":"Semanticscholar","paperid":null,"PeriodicalName":"Case Reports in Gastrointestinal Medicine","FirstCategoryId":"1085","ListUrlMain":"https://doi.org/10.1155/crgm/1169139","RegionNum":0,"RegionCategory":null,"ArticlePicture":[],"TitleCN":null,"AbstractTextCN":null,"PMCID":null,"EPubDate":"2025/1/1 0:00:00","PubModel":"eCollection","JCR":"Q4","JCRName":"GASTROENTEROLOGY & HEPATOLOGY","Score":null,"Total":0}
引用次数: 0

摘要

本病例报告描述了一例罕见的非甾体抗炎药(NSAID)诱导的局灶性结肠肉芽肿肿块,类似恶性结肠肿块。它强调了非甾体抗炎药相关胃肠道并发症的诊断挑战,并强调了在类似的表现中考虑这些原因的重要性。及时识别和停用非甾体抗炎药可以防止不必要的手术干预,并促进症状的缓解。本病例强调了详细用药史和谨慎使用非甾体抗炎药以减少不良胃肠道反应风险的价值。
本文章由计算机程序翻译,如有差异,请以英文原文为准。

Nonsteroidal Anti-Inflammatory Drug-Induced Granulomatous Colitis: A Case Report and Literature Review of a Vanishing Colonic Mass Mimicking Malignancy.

Nonsteroidal Anti-Inflammatory Drug-Induced Granulomatous Colitis: A Case Report and Literature Review of a Vanishing Colonic Mass Mimicking Malignancy.

Nonsteroidal Anti-Inflammatory Drug-Induced Granulomatous Colitis: A Case Report and Literature Review of a Vanishing Colonic Mass Mimicking Malignancy.

Nonsteroidal Anti-Inflammatory Drug-Induced Granulomatous Colitis: A Case Report and Literature Review of a Vanishing Colonic Mass Mimicking Malignancy.

This case report describes a rare occurrence of nonsteroidal anti-inflammatory drugs (NSAID)-induced focal colonic granulomatous mass mimicking a malignant colonic mass. It highlights the diagnostic challenges of NSAID-related gastrointestinal complications and stresses the importance of considering such causes in similar presentations. Prompt recognition and withdrawal of the offending NSAID can prevent unnecessary surgical intervention and facilitate symptom resolution. This case underscores the value of a detailed medication history and cautious NSAID use to reduce the risk of adverse gastrointestinal effects.

求助全文
通过发布文献求助,成功后即可免费获取论文全文。 去求助
来源期刊
Case Reports in Gastrointestinal Medicine
Case Reports in Gastrointestinal Medicine GASTROENTEROLOGY & HEPATOLOGY-
自引率
0.00%
发文量
33
审稿时长
14 weeks
×
引用
GB/T 7714-2015
复制
MLA
复制
APA
复制
导出至
BibTeX EndNote RefMan NoteFirst NoteExpress
×
提示
您的信息不完整,为了账户安全,请先补充。
现在去补充
×
提示
您因"违规操作"
具体请查看互助需知
我知道了
×
提示
确定
请完成安全验证×
copy
已复制链接
快去分享给好友吧!
我知道了
右上角分享
点击右上角分享
0
联系我们:info@booksci.cn Book学术提供免费学术资源搜索服务,方便国内外学者检索中英文文献。致力于提供最便捷和优质的服务体验。 Copyright © 2023 布克学术 All rights reserved.
京ICP备2023020795号-1
ghs 京公网安备 11010802042870号
Book学术文献互助
Book学术文献互助群
群 号:604180095
Book学术官方微信