以出血性脑转移为首发表现的骨肉瘤:一例罕见病例报告。

IF 0.4 Q3 MEDICINE, GENERAL & INTERNAL
Oxford Medical Case Reports Pub Date : 2025-08-20 eCollection Date: 2025-08-01 DOI:10.1093/omcr/omaf138
Salma El Aouadi, Rania Bouanane, Soukaina Bahha, Imane Iraqui, Asaad El Bakkari, F Z Laamrani, Youssef Omor, Rachida Latib, Sanae Amalik
{"title":"以出血性脑转移为首发表现的骨肉瘤:一例罕见病例报告。","authors":"Salma El Aouadi, Rania Bouanane, Soukaina Bahha, Imane Iraqui, Asaad El Bakkari, F Z Laamrani, Youssef Omor, Rachida Latib, Sanae Amalik","doi":"10.1093/omcr/omaf138","DOIUrl":null,"url":null,"abstract":"<p><p>Osteosarcoma is the most common malignant bone tumor in children and adolescents, with a predilection for long bones and frequent pulmonary metastases. Brain metastases are rare, occurring in 1.8% to 5.6% of cases, and hemorrhagic ones are exceptionally uncommon, with only a few cases documented in the literature. We report the case of a 16-year-old girl who presented with acute headache and seizures. Imaging revealed hemorrhagic brain and pulmonary metastases, and biopsy confirmed a primary femoral osteosarcoma. This case represents an exceptionally rare presentation of osteosarcoma and highlights its aggressive metastatic behavior.</p>","PeriodicalId":45318,"journal":{"name":"Oxford Medical Case Reports","volume":"2025 8","pages":"omaf138"},"PeriodicalIF":0.4000,"publicationDate":"2025-08-20","publicationTypes":"Journal Article","fieldsOfStudy":null,"isOpenAccess":false,"openAccessPdf":"https://www.ncbi.nlm.nih.gov/pmc/articles/PMC12365974/pdf/","citationCount":"0","resultStr":"{\"title\":\"Hemorrhagic brain metastasis as the initial presentation of osteosarcoma: a rare case report.\",\"authors\":\"Salma El Aouadi, Rania Bouanane, Soukaina Bahha, Imane Iraqui, Asaad El Bakkari, F Z Laamrani, Youssef Omor, Rachida Latib, Sanae Amalik\",\"doi\":\"10.1093/omcr/omaf138\",\"DOIUrl\":null,\"url\":null,\"abstract\":\"<p><p>Osteosarcoma is the most common malignant bone tumor in children and adolescents, with a predilection for long bones and frequent pulmonary metastases. Brain metastases are rare, occurring in 1.8% to 5.6% of cases, and hemorrhagic ones are exceptionally uncommon, with only a few cases documented in the literature. We report the case of a 16-year-old girl who presented with acute headache and seizures. Imaging revealed hemorrhagic brain and pulmonary metastases, and biopsy confirmed a primary femoral osteosarcoma. This case represents an exceptionally rare presentation of osteosarcoma and highlights its aggressive metastatic behavior.</p>\",\"PeriodicalId\":45318,\"journal\":{\"name\":\"Oxford Medical Case Reports\",\"volume\":\"2025 8\",\"pages\":\"omaf138\"},\"PeriodicalIF\":0.4000,\"publicationDate\":\"2025-08-20\",\"publicationTypes\":\"Journal Article\",\"fieldsOfStudy\":null,\"isOpenAccess\":false,\"openAccessPdf\":\"https://www.ncbi.nlm.nih.gov/pmc/articles/PMC12365974/pdf/\",\"citationCount\":\"0\",\"resultStr\":null,\"platform\":\"Semanticscholar\",\"paperid\":null,\"PeriodicalName\":\"Oxford Medical Case Reports\",\"FirstCategoryId\":\"1085\",\"ListUrlMain\":\"https://doi.org/10.1093/omcr/omaf138\",\"RegionNum\":0,\"RegionCategory\":null,\"ArticlePicture\":[],\"TitleCN\":null,\"AbstractTextCN\":null,\"PMCID\":null,\"EPubDate\":\"2025/8/1 0:00:00\",\"PubModel\":\"eCollection\",\"JCR\":\"Q3\",\"JCRName\":\"MEDICINE, GENERAL & INTERNAL\",\"Score\":null,\"Total\":0}","platform":"Semanticscholar","paperid":null,"PeriodicalName":"Oxford Medical Case Reports","FirstCategoryId":"1085","ListUrlMain":"https://doi.org/10.1093/omcr/omaf138","RegionNum":0,"RegionCategory":null,"ArticlePicture":[],"TitleCN":null,"AbstractTextCN":null,"PMCID":null,"EPubDate":"2025/8/1 0:00:00","PubModel":"eCollection","JCR":"Q3","JCRName":"MEDICINE, GENERAL & INTERNAL","Score":null,"Total":0}
引用次数: 0

摘要

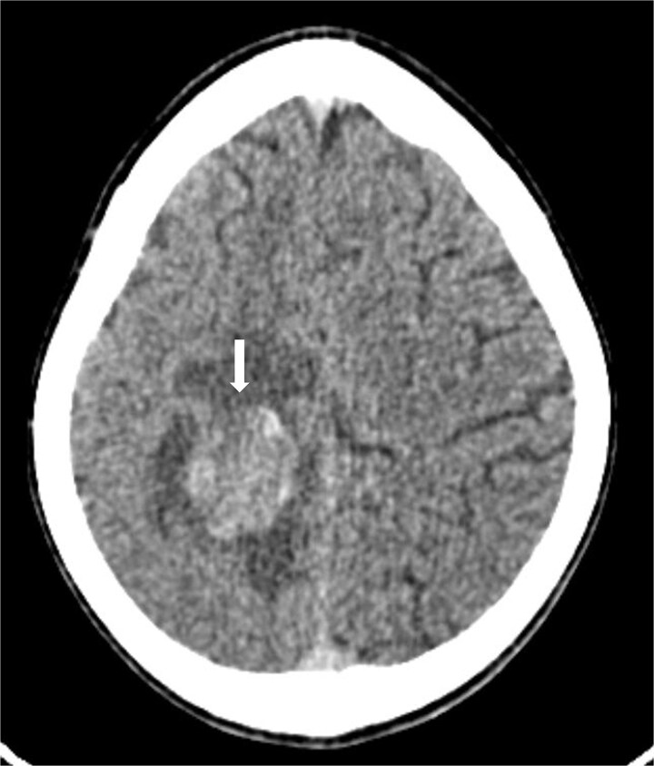
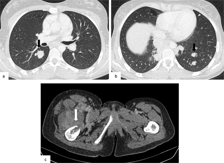
骨肉瘤是儿童和青少年中最常见的恶性骨肿瘤,以长骨为主,常发生肺转移。脑转移是罕见的,发生在1.8%至5.6%的病例中,出血性转移非常罕见,文献中只有少数病例记录。我们报告的情况下,一个16岁的女孩谁提出急性头痛和癫痫发作。影像显示出出血性脑和肺转移,活检证实为原发性股骨骨肉瘤。本病例是一种罕见的骨肉瘤,并突出了其侵袭性转移行为。
本文章由计算机程序翻译,如有差异,请以英文原文为准。

Hemorrhagic brain metastasis as the initial presentation of osteosarcoma: a rare case report.

Hemorrhagic brain metastasis as the initial presentation of osteosarcoma: a rare case report.

Hemorrhagic brain metastasis as the initial presentation of osteosarcoma: a rare case report.

Hemorrhagic brain metastasis as the initial presentation of osteosarcoma: a rare case report.

Osteosarcoma is the most common malignant bone tumor in children and adolescents, with a predilection for long bones and frequent pulmonary metastases. Brain metastases are rare, occurring in 1.8% to 5.6% of cases, and hemorrhagic ones are exceptionally uncommon, with only a few cases documented in the literature. We report the case of a 16-year-old girl who presented with acute headache and seizures. Imaging revealed hemorrhagic brain and pulmonary metastases, and biopsy confirmed a primary femoral osteosarcoma. This case represents an exceptionally rare presentation of osteosarcoma and highlights its aggressive metastatic behavior.

求助全文
通过发布文献求助,成功后即可免费获取论文全文。 去求助
来源期刊
Oxford Medical Case Reports
Oxford Medical Case Reports MEDICINE, GENERAL & INTERNAL-
CiteScore
0.90
自引率
0.00%
发文量
125
审稿时长
19 weeks
期刊介绍: Oxford Medical Case Reports (OMCR) is an open access, peer-reviewed online journal publishing original and educationally valuable case reports that expand the field of medicine. The journal covers all medical specialities including cardiology, rheumatology, nephrology, oncology, neurology, and reproduction, comprising a comprehensive resource for physicians in all fields and at all stages of training. Oxford Medical Case Reports deposits all articles in PubMed Central (PMC). Physicians and researchers can find your work through PubMed , helping you reach the widest possible audience. The journal is also indexed in the Web of Science Core Collection . Oxford Medical Case Reports publishes case reports under the following categories: Allergy Audiovestibular medicine Cardiology and cardiovascular systems Critical care medicine Dermatology Emergency medicine Endocrinology and metabolism Gastroenterology and hepatology Geriatrics and gerontology Haematology Immunology Infectious diseases and tropical medicine Medical disorders in pregnancy Medical ophthalmology Nephrology Neurology Oncology Paediatrics Pain Palliative medicine Pharmacology and pharmacy Psychiatry Radiology, nuclear medicine, and medical imaging Respiratory disorders Rheumatology Sexual and reproductive health Sports Medicine Substance abuse.
×
引用
GB/T 7714-2015
复制
MLA
复制
APA
复制
导出至
BibTeX EndNote RefMan NoteFirst NoteExpress
×
提示
您的信息不完整,为了账户安全,请先补充。
现在去补充
×
提示
您因"违规操作"
具体请查看互助需知
我知道了
×
提示
确定
请完成安全验证×
copy
已复制链接
快去分享给好友吧!
我知道了
右上角分享
点击右上角分享
0
联系我们:info@booksci.cn Book学术提供免费学术资源搜索服务,方便国内外学者检索中英文文献。致力于提供最便捷和优质的服务体验。 Copyright © 2023 布克学术 All rights reserved.
京ICP备2023020795号-1
ghs 京公网安备 11010802042870号
Book学术文献互助
Book学术文献互助群
群 号:604180095
Book学术官方微信