嗜酸性粒细胞性食管炎伴1型脊髓性肌萎缩的3岁女孩:第一例报道。

IF 1.4 Q3 PEDIATRICS
Aleksandra Marzec, Elżbieta Jarocka-Cyrta, Marta Ruskań-Bakun
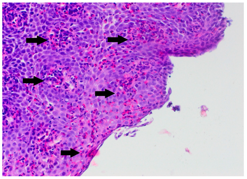
{"title":"嗜酸性粒细胞性食管炎伴1型脊髓性肌萎缩的3岁女孩:第一例报道。","authors":"Aleksandra Marzec, Elżbieta Jarocka-Cyrta, Marta Ruskań-Bakun","doi":"10.3390/pediatric17040080","DOIUrl":null,"url":null,"abstract":"<p><p><b>Background:</b> Spinal muscular atrophy type 1 (SMA1) is a severe neuromuscular disorder characterized by progressive muscle weakness and atrophy, including the muscles of the oral cavity and esophagus. Eosinophilic esophagitis (EoE), a chronic, allergic disease, presents with eosinophilic infiltration of the esophagus, leading to esophageal dysmotility. Feeding difficulties may occur in both conditions. So far, the coexistence of EoE and SMA1 has not been described; we present the first such case. <b>Case presentation:</b> The patient was a girl with SMA1 diagnosed shortly after birth, treated with nusinersen and onasemnogene abeparvovec, and fed a standard industrial diet through a gastrostomy. In her second year of life, she developed increasing symptoms: distress during feeding, regurgitation, vomiting, and weight loss. She was treated with proton pump inhibitors without clinical improvement. Gastroscopy was performed, revealing superficial epithelial damage with bleeding in the proximal esophagus. Histopathology showed chronic inflammation with up to 150 eosinophils per high-power field, microabscesses, spongiosis, and basal layer hypertrophy. The girl was diagnosed with EoE. Her diet was switched from a standard industrial formula to an amino acid-based formula, which led to marked clinical improvement, the resolution of symptoms, and appropriate weight gain. <b>Conclusions:</b> This case report highlights the challenges of diagnosing EoE in SMA1 patients and emphasizes the need for multidisciplinary approaches and further investigation of allergic manifestations in SMA1 patients.</p>","PeriodicalId":45251,"journal":{"name":"Pediatric Reports","volume":"17 4","pages":""},"PeriodicalIF":1.4000,"publicationDate":"2025-07-28","publicationTypes":"Journal Article","fieldsOfStudy":null,"isOpenAccess":false,"openAccessPdf":"https://www.ncbi.nlm.nih.gov/pmc/articles/PMC12389702/pdf/","citationCount":"0","resultStr":"{\"title\":\"Eosinophilic Esophagitis in a 3-Year-Old Girl with Spinal Muscular Atrophy Type 1: The First Reported Case.\",\"authors\":\"Aleksandra Marzec, Elżbieta Jarocka-Cyrta, Marta Ruskań-Bakun\",\"doi\":\"10.3390/pediatric17040080\",\"DOIUrl\":null,\"url\":null,\"abstract\":\"<p><p><b>Background:</b> Spinal muscular atrophy type 1 (SMA1) is a severe neuromuscular disorder characterized by progressive muscle weakness and atrophy, including the muscles of the oral cavity and esophagus. Eosinophilic esophagitis (EoE), a chronic, allergic disease, presents with eosinophilic infiltration of the esophagus, leading to esophageal dysmotility. Feeding difficulties may occur in both conditions. So far, the coexistence of EoE and SMA1 has not been described; we present the first such case. <b>Case presentation:</b> The patient was a girl with SMA1 diagnosed shortly after birth, treated with nusinersen and onasemnogene abeparvovec, and fed a standard industrial diet through a gastrostomy. In her second year of life, she developed increasing symptoms: distress during feeding, regurgitation, vomiting, and weight loss. She was treated with proton pump inhibitors without clinical improvement. Gastroscopy was performed, revealing superficial epithelial damage with bleeding in the proximal esophagus. Histopathology showed chronic inflammation with up to 150 eosinophils per high-power field, microabscesses, spongiosis, and basal layer hypertrophy. The girl was diagnosed with EoE. Her diet was switched from a standard industrial formula to an amino acid-based formula, which led to marked clinical improvement, the resolution of symptoms, and appropriate weight gain. <b>Conclusions:</b> This case report highlights the challenges of diagnosing EoE in SMA1 patients and emphasizes the need for multidisciplinary approaches and further investigation of allergic manifestations in SMA1 patients.</p>\",\"PeriodicalId\":45251,\"journal\":{\"name\":\"Pediatric Reports\",\"volume\":\"17 4\",\"pages\":\"\"},\"PeriodicalIF\":1.4000,\"publicationDate\":\"2025-07-28\",\"publicationTypes\":\"Journal Article\",\"fieldsOfStudy\":null,\"isOpenAccess\":false,\"openAccessPdf\":\"https://www.ncbi.nlm.nih.gov/pmc/articles/PMC12389702/pdf/\",\"citationCount\":\"0\",\"resultStr\":null,\"platform\":\"Semanticscholar\",\"paperid\":null,\"PeriodicalName\":\"Pediatric Reports\",\"FirstCategoryId\":\"1085\",\"ListUrlMain\":\"https://doi.org/10.3390/pediatric17040080\",\"RegionNum\":0,\"RegionCategory\":null,\"ArticlePicture\":[],\"TitleCN\":null,\"AbstractTextCN\":null,\"PMCID\":null,\"EPubDate\":\"\",\"PubModel\":\"\",\"JCR\":\"Q3\",\"JCRName\":\"PEDIATRICS\",\"Score\":null,\"Total\":0}","platform":"Semanticscholar","paperid":null,"PeriodicalName":"Pediatric Reports","FirstCategoryId":"1085","ListUrlMain":"https://doi.org/10.3390/pediatric17040080","RegionNum":0,"RegionCategory":null,"ArticlePicture":[],"TitleCN":null,"AbstractTextCN":null,"PMCID":null,"EPubDate":"","PubModel":"","JCR":"Q3","JCRName":"PEDIATRICS","Score":null,"Total":0}
引用次数: 0

摘要

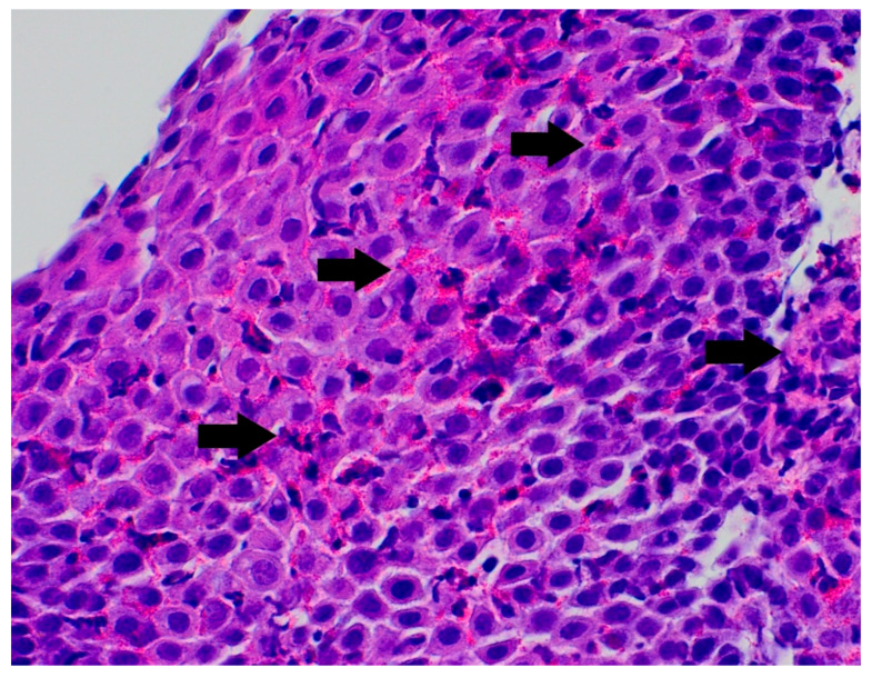
背景:脊髓性肌萎缩1型(SMA1)是一种严重的神经肌肉疾病,以进行性肌肉无力和萎缩为特征,包括口腔和食道肌肉。嗜酸性粒细胞性食管炎(EoE)是一种慢性过敏性疾病,表现为食管嗜酸性粒细胞浸润,导致食管运动障碍。两种情况下都可能出现进食困难。到目前为止,还没有对EoE和SMA1共存的描述;我们提出了第一个这样的案例。病例介绍:患者是一名出生后不久诊断为SMA1的女孩,使用nusinsensen和onasemnogene abparvovec治疗,并通过胃造口术喂养标准工业饮食。在她出生的第二年,她出现了越来越多的症状:进食时痛苦、反流、呕吐和体重减轻。给予质子泵抑制剂治疗,临床无改善。胃镜检查显示食管近端浅表上皮损伤伴出血。组织病理学显示慢性炎症,每高倍视场有多达150个嗜酸性粒细胞,微脓肿,海绵状病变和基底层肥大。这名女孩被诊断为肺水肿。她的饮食从标准的工业配方改为以氨基酸为基础的配方,这导致了明显的临床改善,症状缓解,体重适当增加。结论:本病例报告强调了诊断SMA1患者EoE的挑战,强调需要多学科方法和进一步研究SMA1患者的过敏表现。
本文章由计算机程序翻译,如有差异,请以英文原文为准。

Eosinophilic Esophagitis in a 3-Year-Old Girl with Spinal Muscular Atrophy Type 1: The First Reported Case.

Eosinophilic Esophagitis in a 3-Year-Old Girl with Spinal Muscular Atrophy Type 1: The First Reported Case.

Eosinophilic Esophagitis in a 3-Year-Old Girl with Spinal Muscular Atrophy Type 1: The First Reported Case.

Eosinophilic Esophagitis in a 3-Year-Old Girl with Spinal Muscular Atrophy Type 1: The First Reported Case.

Background: Spinal muscular atrophy type 1 (SMA1) is a severe neuromuscular disorder characterized by progressive muscle weakness and atrophy, including the muscles of the oral cavity and esophagus. Eosinophilic esophagitis (EoE), a chronic, allergic disease, presents with eosinophilic infiltration of the esophagus, leading to esophageal dysmotility. Feeding difficulties may occur in both conditions. So far, the coexistence of EoE and SMA1 has not been described; we present the first such case. Case presentation: The patient was a girl with SMA1 diagnosed shortly after birth, treated with nusinersen and onasemnogene abeparvovec, and fed a standard industrial diet through a gastrostomy. In her second year of life, she developed increasing symptoms: distress during feeding, regurgitation, vomiting, and weight loss. She was treated with proton pump inhibitors without clinical improvement. Gastroscopy was performed, revealing superficial epithelial damage with bleeding in the proximal esophagus. Histopathology showed chronic inflammation with up to 150 eosinophils per high-power field, microabscesses, spongiosis, and basal layer hypertrophy. The girl was diagnosed with EoE. Her diet was switched from a standard industrial formula to an amino acid-based formula, which led to marked clinical improvement, the resolution of symptoms, and appropriate weight gain. Conclusions: This case report highlights the challenges of diagnosing EoE in SMA1 patients and emphasizes the need for multidisciplinary approaches and further investigation of allergic manifestations in SMA1 patients.

求助全文
通过发布文献求助,成功后即可免费获取论文全文。 去求助
来源期刊
Pediatric Reports
Pediatric Reports PEDIATRICS-
CiteScore
2.10
自引率
0.00%
发文量
55
审稿时长
11 weeks
×
引用
GB/T 7714-2015
复制
MLA
复制
APA
复制
导出至
BibTeX EndNote RefMan NoteFirst NoteExpress
×
提示
您的信息不完整,为了账户安全,请先补充。
现在去补充
×
提示
您因"违规操作"
具体请查看互助需知
我知道了
×
提示
确定
请完成安全验证×
copy
已复制链接
快去分享给好友吧!
我知道了
右上角分享
点击右上角分享
0
联系我们:info@booksci.cn Book学术提供免费学术资源搜索服务,方便国内外学者检索中英文文献。致力于提供最便捷和优质的服务体验。 Copyright © 2023 布克学术 All rights reserved.
京ICP备2023020795号-1
ghs 京公网安备 11010802042870号
Book学术文献互助
Book学术文献互助群
群 号:604180095
Book学术官方微信