一个罕见的病因右腰痛在一个年轻的男人:包含破裂的髂总动脉瘤。

IF 0.4 Q3 MEDICINE, GENERAL & INTERNAL
Oxford Medical Case Reports Pub Date : 2025-08-20 eCollection Date: 2025-08-01 DOI:10.1093/omcr/omaf146
Ouiam Taibi, Rania Bouanane, Salma Elaouadi, Ola Messaoud, O El Aoufir, L Jroundi, Zaynab Iraqi Houssaini
{"title":"一个罕见的病因右腰痛在一个年轻的男人:包含破裂的髂总动脉瘤。","authors":"Ouiam Taibi, Rania Bouanane, Salma Elaouadi, Ola Messaoud, O El Aoufir, L Jroundi, Zaynab Iraqi Houssaini","doi":"10.1093/omcr/omaf146","DOIUrl":null,"url":null,"abstract":"<p><p>Relatively rare aneurysms of the common iliac artery are abnormal dilatations of the vessel, which can be complicated by a rupture that, in rarer cases, may be contained by surrounding structures. Imaging, particularly CT angiography, plays a key role in diagnosis. We report a case of a contained rupture of the common iliac artery aneurysms responsible for hydronephrosis, obstruction of the common iliac vein, and lysis of the adjacent vertebra.</p>","PeriodicalId":45318,"journal":{"name":"Oxford Medical Case Reports","volume":"2025 8","pages":"omaf146"},"PeriodicalIF":0.4000,"publicationDate":"2025-08-20","publicationTypes":"Journal Article","fieldsOfStudy":null,"isOpenAccess":false,"openAccessPdf":"https://www.ncbi.nlm.nih.gov/pmc/articles/PMC12365959/pdf/","citationCount":"0","resultStr":"{\"title\":\"A rare etiology of right lower back pain in a young man: contained rupture of the common iliac artery aneurysm.\",\"authors\":\"Ouiam Taibi, Rania Bouanane, Salma Elaouadi, Ola Messaoud, O El Aoufir, L Jroundi, Zaynab Iraqi Houssaini\",\"doi\":\"10.1093/omcr/omaf146\",\"DOIUrl\":null,\"url\":null,\"abstract\":\"<p><p>Relatively rare aneurysms of the common iliac artery are abnormal dilatations of the vessel, which can be complicated by a rupture that, in rarer cases, may be contained by surrounding structures. Imaging, particularly CT angiography, plays a key role in diagnosis. We report a case of a contained rupture of the common iliac artery aneurysms responsible for hydronephrosis, obstruction of the common iliac vein, and lysis of the adjacent vertebra.</p>\",\"PeriodicalId\":45318,\"journal\":{\"name\":\"Oxford Medical Case Reports\",\"volume\":\"2025 8\",\"pages\":\"omaf146\"},\"PeriodicalIF\":0.4000,\"publicationDate\":\"2025-08-20\",\"publicationTypes\":\"Journal Article\",\"fieldsOfStudy\":null,\"isOpenAccess\":false,\"openAccessPdf\":\"https://www.ncbi.nlm.nih.gov/pmc/articles/PMC12365959/pdf/\",\"citationCount\":\"0\",\"resultStr\":null,\"platform\":\"Semanticscholar\",\"paperid\":null,\"PeriodicalName\":\"Oxford Medical Case Reports\",\"FirstCategoryId\":\"1085\",\"ListUrlMain\":\"https://doi.org/10.1093/omcr/omaf146\",\"RegionNum\":0,\"RegionCategory\":null,\"ArticlePicture\":[],\"TitleCN\":null,\"AbstractTextCN\":null,\"PMCID\":null,\"EPubDate\":\"2025/8/1 0:00:00\",\"PubModel\":\"eCollection\",\"JCR\":\"Q3\",\"JCRName\":\"MEDICINE, GENERAL & INTERNAL\",\"Score\":null,\"Total\":0}","platform":"Semanticscholar","paperid":null,"PeriodicalName":"Oxford Medical Case Reports","FirstCategoryId":"1085","ListUrlMain":"https://doi.org/10.1093/omcr/omaf146","RegionNum":0,"RegionCategory":null,"ArticlePicture":[],"TitleCN":null,"AbstractTextCN":null,"PMCID":null,"EPubDate":"2025/8/1 0:00:00","PubModel":"eCollection","JCR":"Q3","JCRName":"MEDICINE, GENERAL & INTERNAL","Score":null,"Total":0}
引用次数: 0

摘要

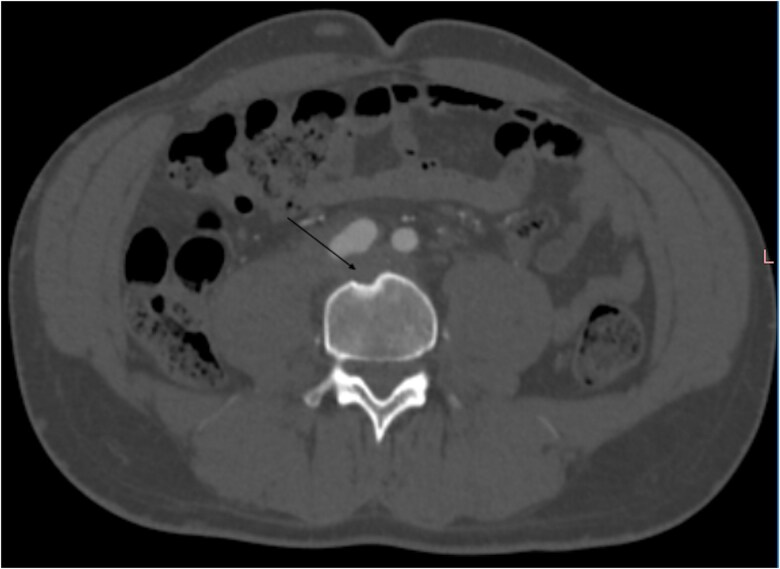
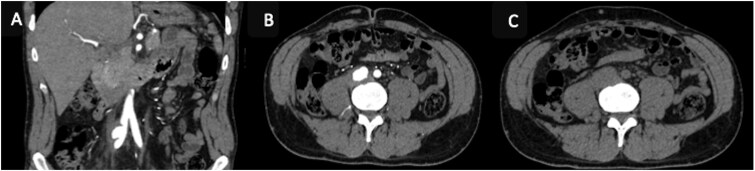
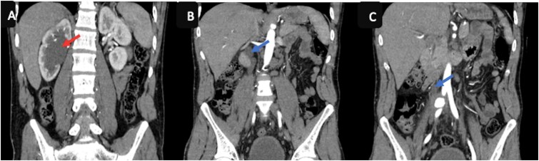
相对罕见的髂总动脉动脉瘤是血管的异常扩张,在罕见的情况下,可能会因破裂而复杂化,破裂可能被周围的结构所包含。影像学,特别是CT血管造影,在诊断中起着关键作用。我们报告一例包含破裂的髂总动脉瘤负责肾积水,髂总静脉阻塞,和邻近椎体的溶解。
本文章由计算机程序翻译,如有差异,请以英文原文为准。

A rare etiology of right lower back pain in a young man: contained rupture of the common iliac artery aneurysm.

A rare etiology of right lower back pain in a young man: contained rupture of the common iliac artery aneurysm.

A rare etiology of right lower back pain in a young man: contained rupture of the common iliac artery aneurysm.

A rare etiology of right lower back pain in a young man: contained rupture of the common iliac artery aneurysm.

Relatively rare aneurysms of the common iliac artery are abnormal dilatations of the vessel, which can be complicated by a rupture that, in rarer cases, may be contained by surrounding structures. Imaging, particularly CT angiography, plays a key role in diagnosis. We report a case of a contained rupture of the common iliac artery aneurysms responsible for hydronephrosis, obstruction of the common iliac vein, and lysis of the adjacent vertebra.

求助全文
通过发布文献求助,成功后即可免费获取论文全文。 去求助
来源期刊
Oxford Medical Case Reports
Oxford Medical Case Reports MEDICINE, GENERAL & INTERNAL-
CiteScore
0.90
自引率
0.00%
发文量
125
审稿时长
19 weeks
期刊介绍: Oxford Medical Case Reports (OMCR) is an open access, peer-reviewed online journal publishing original and educationally valuable case reports that expand the field of medicine. The journal covers all medical specialities including cardiology, rheumatology, nephrology, oncology, neurology, and reproduction, comprising a comprehensive resource for physicians in all fields and at all stages of training. Oxford Medical Case Reports deposits all articles in PubMed Central (PMC). Physicians and researchers can find your work through PubMed , helping you reach the widest possible audience. The journal is also indexed in the Web of Science Core Collection . Oxford Medical Case Reports publishes case reports under the following categories: Allergy Audiovestibular medicine Cardiology and cardiovascular systems Critical care medicine Dermatology Emergency medicine Endocrinology and metabolism Gastroenterology and hepatology Geriatrics and gerontology Haematology Immunology Infectious diseases and tropical medicine Medical disorders in pregnancy Medical ophthalmology Nephrology Neurology Oncology Paediatrics Pain Palliative medicine Pharmacology and pharmacy Psychiatry Radiology, nuclear medicine, and medical imaging Respiratory disorders Rheumatology Sexual and reproductive health Sports Medicine Substance abuse.
×
引用
GB/T 7714-2015
复制
MLA
复制
APA
复制
导出至
BibTeX EndNote RefMan NoteFirst NoteExpress
×
提示
您的信息不完整,为了账户安全,请先补充。
现在去补充
×
提示
您因"违规操作"
具体请查看互助需知
我知道了
×
提示
确定
请完成安全验证×
copy
已复制链接
快去分享给好友吧!
我知道了
右上角分享
点击右上角分享
0
联系我们:info@booksci.cn Book学术提供免费学术资源搜索服务,方便国内外学者检索中英文文献。致力于提供最便捷和优质的服务体验。 Copyright © 2023 布克学术 All rights reserved.
京ICP备2023020795号-1
ghs 京公网安备 11010802042870号
Book学术文献互助
Book学术文献互助群
群 号:604180095
Book学术官方微信