唐氏综合征患者经皮导管置入术栓塞PDA装置10年后主动脉夹层一例。

IF 1.4 Q3 PEDIATRICS
Youna Park, Hong Ryang Kil, Sang Yoon Kim, Geena Kim
{"title":"唐氏综合征患者经皮导管置入术栓塞PDA装置10年后主动脉夹层一例。","authors":"Youna Park, Hong Ryang Kil, Sang Yoon Kim, Geena Kim","doi":"10.3390/pediatric17040084","DOIUrl":null,"url":null,"abstract":"<p><p>There are no recorded cases of catheter-induced aortic dissection in pediatric patients. We report a unique case of a pediatric patient with Down syndrome who developed a long-standing dissecting aortic aneurysm. The patient underwent successful stent insertion 10 years after experiencing difficulty retrieving an embolized patent ductus arteriosus device. The Down syndrome presented a complex clinical scenario, making diagnosis challenging due to a lack of cooperation and uncertainty about when the dissection occurred, as symptoms like pain were not reported. Though rare in children, it is vital to recognize procedures such as percutaneous closure of patent ductus arteriosus followed by device retrieval as potential risk factors for aortic dissections in the pediatric population.</p>","PeriodicalId":45251,"journal":{"name":"Pediatric Reports","volume":"17 4","pages":""},"PeriodicalIF":1.4000,"publicationDate":"2025-08-08","publicationTypes":"Journal Article","fieldsOfStudy":null,"isOpenAccess":false,"openAccessPdf":"https://www.ncbi.nlm.nih.gov/pmc/articles/PMC12389546/pdf/","citationCount":"0","resultStr":"{\"title\":\"A Rare Case of Aortic Dissection 10 Years Post Percutaneous Catheterization Retrieval of an Embolized PDA Device in a Patient with Down Syndrome.\",\"authors\":\"Youna Park, Hong Ryang Kil, Sang Yoon Kim, Geena Kim\",\"doi\":\"10.3390/pediatric17040084\",\"DOIUrl\":null,\"url\":null,\"abstract\":\"<p><p>There are no recorded cases of catheter-induced aortic dissection in pediatric patients. We report a unique case of a pediatric patient with Down syndrome who developed a long-standing dissecting aortic aneurysm. The patient underwent successful stent insertion 10 years after experiencing difficulty retrieving an embolized patent ductus arteriosus device. The Down syndrome presented a complex clinical scenario, making diagnosis challenging due to a lack of cooperation and uncertainty about when the dissection occurred, as symptoms like pain were not reported. Though rare in children, it is vital to recognize procedures such as percutaneous closure of patent ductus arteriosus followed by device retrieval as potential risk factors for aortic dissections in the pediatric population.</p>\",\"PeriodicalId\":45251,\"journal\":{\"name\":\"Pediatric Reports\",\"volume\":\"17 4\",\"pages\":\"\"},\"PeriodicalIF\":1.4000,\"publicationDate\":\"2025-08-08\",\"publicationTypes\":\"Journal Article\",\"fieldsOfStudy\":null,\"isOpenAccess\":false,\"openAccessPdf\":\"https://www.ncbi.nlm.nih.gov/pmc/articles/PMC12389546/pdf/\",\"citationCount\":\"0\",\"resultStr\":null,\"platform\":\"Semanticscholar\",\"paperid\":null,\"PeriodicalName\":\"Pediatric Reports\",\"FirstCategoryId\":\"1085\",\"ListUrlMain\":\"https://doi.org/10.3390/pediatric17040084\",\"RegionNum\":0,\"RegionCategory\":null,\"ArticlePicture\":[],\"TitleCN\":null,\"AbstractTextCN\":null,\"PMCID\":null,\"EPubDate\":\"\",\"PubModel\":\"\",\"JCR\":\"Q3\",\"JCRName\":\"PEDIATRICS\",\"Score\":null,\"Total\":0}","platform":"Semanticscholar","paperid":null,"PeriodicalName":"Pediatric Reports","FirstCategoryId":"1085","ListUrlMain":"https://doi.org/10.3390/pediatric17040084","RegionNum":0,"RegionCategory":null,"ArticlePicture":[],"TitleCN":null,"AbstractTextCN":null,"PMCID":null,"EPubDate":"","PubModel":"","JCR":"Q3","JCRName":"PEDIATRICS","Score":null,"Total":0}
引用次数: 0

摘要

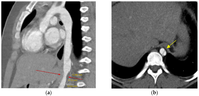
没有记录的病例导管引起的主动脉夹层的儿童患者。我们报告一个独特的情况下,儿童患者唐氏综合症谁开发了一个长期夹层主动脉瘤。患者在难以取出栓塞的动脉导管未闭装置10年后成功植入支架。唐氏综合症表现出复杂的临床情况,由于缺乏合作和不确定何时发生解剖,使得诊断具有挑战性,因为没有报告疼痛等症状。虽然在儿童中很少见,但重要的是要认识到经皮动脉导管未闭闭合后取出装置等手术是儿童主动脉夹层的潜在危险因素。
本文章由计算机程序翻译,如有差异,请以英文原文为准。

A Rare Case of Aortic Dissection 10 Years Post Percutaneous Catheterization Retrieval of an Embolized PDA Device in a Patient with Down Syndrome.

A Rare Case of Aortic Dissection 10 Years Post Percutaneous Catheterization Retrieval of an Embolized PDA Device in a Patient with Down Syndrome.

A Rare Case of Aortic Dissection 10 Years Post Percutaneous Catheterization Retrieval of an Embolized PDA Device in a Patient with Down Syndrome.

A Rare Case of Aortic Dissection 10 Years Post Percutaneous Catheterization Retrieval of an Embolized PDA Device in a Patient with Down Syndrome.

There are no recorded cases of catheter-induced aortic dissection in pediatric patients. We report a unique case of a pediatric patient with Down syndrome who developed a long-standing dissecting aortic aneurysm. The patient underwent successful stent insertion 10 years after experiencing difficulty retrieving an embolized patent ductus arteriosus device. The Down syndrome presented a complex clinical scenario, making diagnosis challenging due to a lack of cooperation and uncertainty about when the dissection occurred, as symptoms like pain were not reported. Though rare in children, it is vital to recognize procedures such as percutaneous closure of patent ductus arteriosus followed by device retrieval as potential risk factors for aortic dissections in the pediatric population.

求助全文
通过发布文献求助,成功后即可免费获取论文全文。 去求助
来源期刊
Pediatric Reports
Pediatric Reports PEDIATRICS-
CiteScore
2.10
自引率
0.00%
发文量
55
审稿时长
11 weeks
×
引用
GB/T 7714-2015
复制
MLA
复制
APA
复制
导出至
BibTeX EndNote RefMan NoteFirst NoteExpress
×
提示
您的信息不完整,为了账户安全,请先补充。
现在去补充
×
提示
您因"违规操作"
具体请查看互助需知
我知道了
×
提示
确定
请完成安全验证×
copy
已复制链接
快去分享给好友吧!
我知道了
右上角分享
点击右上角分享
0
联系我们:info@booksci.cn Book学术提供免费学术资源搜索服务,方便国内外学者检索中英文文献。致力于提供最便捷和优质的服务体验。 Copyright © 2023 布克学术 All rights reserved.
京ICP备2023020795号-1
ghs 京公网安备 11010802042870号
Book学术文献互助
Book学术文献互助群
群 号:604180095
Book学术官方微信