胰腺癌致副瘤性肌炎横纹肌溶解1例。

IF 0.4 Q3 MEDICINE, GENERAL & INTERNAL
Oxford Medical Case Reports Pub Date : 2025-08-20 eCollection Date: 2025-08-01 DOI:10.1093/omcr/omaf141
Ariel Ahl, Rafi Orphali, Kumar Desai
{"title":"胰腺癌致副瘤性肌炎横纹肌溶解1例。","authors":"Ariel Ahl, Rafi Orphali, Kumar Desai","doi":"10.1093/omcr/omaf141","DOIUrl":null,"url":null,"abstract":"<p><p>Rhabdomyolysis is a clinical syndrome characterized by the breakdown of skeletal muscle tissue, leading to the release of myoglobin and creatine kinase (CK) into the bloodstream. The condition clinically presents with myalgia, weakness, and dark urine. It can lead to kidney failure and can be life threatening. Various factors and conditions, including trauma, prolonged immobilization, strenuous exercise, infections, alcohol consumption, medications, and malignancies are potential causes. A rare cause of pancreatic cancer-induced paraneoplastic myositis has been observed. Herein, we present the case of an 87-year-old man who presented with fatigue, weight loss, and invasive pancreatic adenocarcinoma resulting in rhabdomyolysis due to paraneoplastic myositis.</p>","PeriodicalId":45318,"journal":{"name":"Oxford Medical Case Reports","volume":"2025 8","pages":"omaf141"},"PeriodicalIF":0.4000,"publicationDate":"2025-08-20","publicationTypes":"Journal Article","fieldsOfStudy":null,"isOpenAccess":false,"openAccessPdf":"https://www.ncbi.nlm.nih.gov/pmc/articles/PMC12365977/pdf/","citationCount":"0","resultStr":"{\"title\":\"A case of paraneoplastic myositis induced rhabdomyolysis due to pancreatic adenocarcinoma.\",\"authors\":\"Ariel Ahl, Rafi Orphali, Kumar Desai\",\"doi\":\"10.1093/omcr/omaf141\",\"DOIUrl\":null,\"url\":null,\"abstract\":\"<p><p>Rhabdomyolysis is a clinical syndrome characterized by the breakdown of skeletal muscle tissue, leading to the release of myoglobin and creatine kinase (CK) into the bloodstream. The condition clinically presents with myalgia, weakness, and dark urine. It can lead to kidney failure and can be life threatening. Various factors and conditions, including trauma, prolonged immobilization, strenuous exercise, infections, alcohol consumption, medications, and malignancies are potential causes. A rare cause of pancreatic cancer-induced paraneoplastic myositis has been observed. Herein, we present the case of an 87-year-old man who presented with fatigue, weight loss, and invasive pancreatic adenocarcinoma resulting in rhabdomyolysis due to paraneoplastic myositis.</p>\",\"PeriodicalId\":45318,\"journal\":{\"name\":\"Oxford Medical Case Reports\",\"volume\":\"2025 8\",\"pages\":\"omaf141\"},\"PeriodicalIF\":0.4000,\"publicationDate\":\"2025-08-20\",\"publicationTypes\":\"Journal Article\",\"fieldsOfStudy\":null,\"isOpenAccess\":false,\"openAccessPdf\":\"https://www.ncbi.nlm.nih.gov/pmc/articles/PMC12365977/pdf/\",\"citationCount\":\"0\",\"resultStr\":null,\"platform\":\"Semanticscholar\",\"paperid\":null,\"PeriodicalName\":\"Oxford Medical Case Reports\",\"FirstCategoryId\":\"1085\",\"ListUrlMain\":\"https://doi.org/10.1093/omcr/omaf141\",\"RegionNum\":0,\"RegionCategory\":null,\"ArticlePicture\":[],\"TitleCN\":null,\"AbstractTextCN\":null,\"PMCID\":null,\"EPubDate\":\"2025/8/1 0:00:00\",\"PubModel\":\"eCollection\",\"JCR\":\"Q3\",\"JCRName\":\"MEDICINE, GENERAL & INTERNAL\",\"Score\":null,\"Total\":0}","platform":"Semanticscholar","paperid":null,"PeriodicalName":"Oxford Medical Case Reports","FirstCategoryId":"1085","ListUrlMain":"https://doi.org/10.1093/omcr/omaf141","RegionNum":0,"RegionCategory":null,"ArticlePicture":[],"TitleCN":null,"AbstractTextCN":null,"PMCID":null,"EPubDate":"2025/8/1 0:00:00","PubModel":"eCollection","JCR":"Q3","JCRName":"MEDICINE, GENERAL & INTERNAL","Score":null,"Total":0}
引用次数: 0

摘要

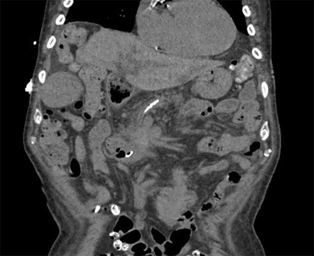
横纹肌溶解是一种临床综合征,其特征是骨骼肌组织分解,导致肌红蛋白和肌酸激酶(CK)释放到血液中。临床表现为肌痛、虚弱和尿色深。它会导致肾衰竭,并可能危及生命。各种因素和条件,包括创伤、长期固定、剧烈运动、感染、饮酒、药物和恶性肿瘤都是潜在的原因。一种罕见的胰腺癌引起的副肿瘤性肌炎已经被观察到。在此,我们报告一位87岁的男性患者,他表现为疲劳、体重减轻和侵袭性胰腺腺癌,由于副瘤性肌炎导致横纹肌溶解。
本文章由计算机程序翻译,如有差异,请以英文原文为准。

A case of paraneoplastic myositis induced rhabdomyolysis due to pancreatic adenocarcinoma.

A case of paraneoplastic myositis induced rhabdomyolysis due to pancreatic adenocarcinoma.

Rhabdomyolysis is a clinical syndrome characterized by the breakdown of skeletal muscle tissue, leading to the release of myoglobin and creatine kinase (CK) into the bloodstream. The condition clinically presents with myalgia, weakness, and dark urine. It can lead to kidney failure and can be life threatening. Various factors and conditions, including trauma, prolonged immobilization, strenuous exercise, infections, alcohol consumption, medications, and malignancies are potential causes. A rare cause of pancreatic cancer-induced paraneoplastic myositis has been observed. Herein, we present the case of an 87-year-old man who presented with fatigue, weight loss, and invasive pancreatic adenocarcinoma resulting in rhabdomyolysis due to paraneoplastic myositis.

求助全文
通过发布文献求助,成功后即可免费获取论文全文。 去求助
来源期刊
Oxford Medical Case Reports
Oxford Medical Case Reports MEDICINE, GENERAL & INTERNAL-
CiteScore
0.90
自引率
0.00%
发文量
125
审稿时长
19 weeks
期刊介绍: Oxford Medical Case Reports (OMCR) is an open access, peer-reviewed online journal publishing original and educationally valuable case reports that expand the field of medicine. The journal covers all medical specialities including cardiology, rheumatology, nephrology, oncology, neurology, and reproduction, comprising a comprehensive resource for physicians in all fields and at all stages of training. Oxford Medical Case Reports deposits all articles in PubMed Central (PMC). Physicians and researchers can find your work through PubMed , helping you reach the widest possible audience. The journal is also indexed in the Web of Science Core Collection . Oxford Medical Case Reports publishes case reports under the following categories: Allergy Audiovestibular medicine Cardiology and cardiovascular systems Critical care medicine Dermatology Emergency medicine Endocrinology and metabolism Gastroenterology and hepatology Geriatrics and gerontology Haematology Immunology Infectious diseases and tropical medicine Medical disorders in pregnancy Medical ophthalmology Nephrology Neurology Oncology Paediatrics Pain Palliative medicine Pharmacology and pharmacy Psychiatry Radiology, nuclear medicine, and medical imaging Respiratory disorders Rheumatology Sexual and reproductive health Sports Medicine Substance abuse.
×
引用
GB/T 7714-2015
复制
MLA
复制
APA
复制
导出至
BibTeX EndNote RefMan NoteFirst NoteExpress
×
提示
您的信息不完整,为了账户安全,请先补充。
现在去补充
×
提示
您因"违规操作"
具体请查看互助需知
我知道了
×
提示
确定
请完成安全验证×
copy
已复制链接
快去分享给好友吧!
我知道了
右上角分享
点击右上角分享
0
联系我们:info@booksci.cn Book学术提供免费学术资源搜索服务,方便国内外学者检索中英文文献。致力于提供最便捷和优质的服务体验。 Copyright © 2023 布克学术 All rights reserved.
京ICP备2023020795号-1
ghs 京公网安备 11010802042870号
Book学术文献互助
Book学术文献互助群
群 号:604180095
Book学术官方微信