气枪损伤:罕见的子弹在右心室的滞留和成功的手术切除。

IF 0.7 Q3 MEDICINE, GENERAL & INTERNAL
Yan Efrata Sembiring, Fan Maitri Aldian, Amy Rosalie Sukamto
{"title":"气枪损伤:罕见的子弹在右心室的滞留和成功的手术切除。","authors":"Yan Efrata Sembiring, Fan Maitri Aldian, Amy Rosalie Sukamto","doi":"10.12659/AJCR.948109","DOIUrl":null,"url":null,"abstract":"<p><p>BACKGROUND Air rifles, frequently used in sports, can cause complex, violent, and traumatic cardiac injury associated with significant morbidity and mortality. Unlike firearm projectiles, air rifle pellets lack rotational movement but can achieve velocities of 100 to 230 m/s. CASE REPORT A 21-year-old man was referred to our hospital after sustaining an air rifle injury to the right chest. He presented 10 h after injury with chest pain but was hemodynamically stable. Physical examination revealed decreased breath sounds and tenderness in the right hemithorax. Chest X-ray showed right-sided hemothorax and pulmonary contusion, prompting chest tube placement, with initial drainage of 500 cc hemorrhagic fluid. Transthoracic echocardiography identified a hyperechoic mass in the right ventricle, with mild pericardial effusion. Computed tomography confirmed the projectile was lodged in the posterior right ventricle, 0.8 cm from the tricuspid annulus. Emergency surgery was performed and successfully extracted an intact 3×3×5 mm air gun pellet. Postoperatively, the patient experienced a brief tonic-clonic seizure, which was managed with midazolam and propofol. He received prophylactic ceftriaxone, intravenous phenytoin, vitamin B6, and folic acid and oral aspirin, ibuprofen, and omeprazole. The patient showed improvement by postoperative day 3 and was discharged on day 4. Weekly follow-ups and an EEG 1 month after discharge showed normal results. At the 2-month follow-up, the patient remained asymptomatic. CONCLUSIONS Awareness of cardiac penetrating wounds, bullet trajectory, and clinical signs, along with a multidisciplinary approach and patient-family involvement, is crucial for favorable outcomes and long-term follow-up.</p>","PeriodicalId":39064,"journal":{"name":"American Journal of Case Reports","volume":"26 ","pages":"e948109"},"PeriodicalIF":0.7000,"publicationDate":"2025-08-29","publicationTypes":"Journal Article","fieldsOfStudy":null,"isOpenAccess":false,"openAccessPdf":"https://www.ncbi.nlm.nih.gov/pmc/articles/PMC12404002/pdf/","citationCount":"0","resultStr":"{\"title\":\"Air Rifle Injury: Rare Bullet Lodgement in the Right Ventricle and Successful Surgical Removal.\",\"authors\":\"Yan Efrata Sembiring, Fan Maitri Aldian, Amy Rosalie Sukamto\",\"doi\":\"10.12659/AJCR.948109\",\"DOIUrl\":null,\"url\":null,\"abstract\":\"<p><p>BACKGROUND Air rifles, frequently used in sports, can cause complex, violent, and traumatic cardiac injury associated with significant morbidity and mortality. Unlike firearm projectiles, air rifle pellets lack rotational movement but can achieve velocities of 100 to 230 m/s. CASE REPORT A 21-year-old man was referred to our hospital after sustaining an air rifle injury to the right chest. He presented 10 h after injury with chest pain but was hemodynamically stable. Physical examination revealed decreased breath sounds and tenderness in the right hemithorax. Chest X-ray showed right-sided hemothorax and pulmonary contusion, prompting chest tube placement, with initial drainage of 500 cc hemorrhagic fluid. Transthoracic echocardiography identified a hyperechoic mass in the right ventricle, with mild pericardial effusion. Computed tomography confirmed the projectile was lodged in the posterior right ventricle, 0.8 cm from the tricuspid annulus. Emergency surgery was performed and successfully extracted an intact 3×3×5 mm air gun pellet. Postoperatively, the patient experienced a brief tonic-clonic seizure, which was managed with midazolam and propofol. He received prophylactic ceftriaxone, intravenous phenytoin, vitamin B6, and folic acid and oral aspirin, ibuprofen, and omeprazole. The patient showed improvement by postoperative day 3 and was discharged on day 4. Weekly follow-ups and an EEG 1 month after discharge showed normal results. At the 2-month follow-up, the patient remained asymptomatic. CONCLUSIONS Awareness of cardiac penetrating wounds, bullet trajectory, and clinical signs, along with a multidisciplinary approach and patient-family involvement, is crucial for favorable outcomes and long-term follow-up.</p>\",\"PeriodicalId\":39064,\"journal\":{\"name\":\"American Journal of Case Reports\",\"volume\":\"26 \",\"pages\":\"e948109\"},\"PeriodicalIF\":0.7000,\"publicationDate\":\"2025-08-29\",\"publicationTypes\":\"Journal Article\",\"fieldsOfStudy\":null,\"isOpenAccess\":false,\"openAccessPdf\":\"https://www.ncbi.nlm.nih.gov/pmc/articles/PMC12404002/pdf/\",\"citationCount\":\"0\",\"resultStr\":null,\"platform\":\"Semanticscholar\",\"paperid\":null,\"PeriodicalName\":\"American Journal of Case Reports\",\"FirstCategoryId\":\"1085\",\"ListUrlMain\":\"https://doi.org/10.12659/AJCR.948109\",\"RegionNum\":0,\"RegionCategory\":null,\"ArticlePicture\":[],\"TitleCN\":null,\"AbstractTextCN\":null,\"PMCID\":null,\"EPubDate\":\"\",\"PubModel\":\"\",\"JCR\":\"Q3\",\"JCRName\":\"MEDICINE, GENERAL & INTERNAL\",\"Score\":null,\"Total\":0}","platform":"Semanticscholar","paperid":null,"PeriodicalName":"American Journal of Case Reports","FirstCategoryId":"1085","ListUrlMain":"https://doi.org/10.12659/AJCR.948109","RegionNum":0,"RegionCategory":null,"ArticlePicture":[],"TitleCN":null,"AbstractTextCN":null,"PMCID":null,"EPubDate":"","PubModel":"","JCR":"Q3","JCRName":"MEDICINE, GENERAL & INTERNAL","Score":null,"Total":0}
引用次数: 0

摘要

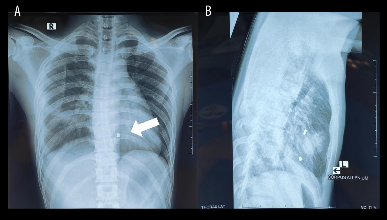
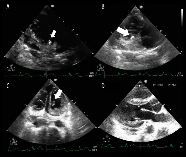
运动中经常使用的气步枪可造成复杂的、暴力性的、外伤性的心脏损伤,其发病率和死亡率都很高。与火器弹不同,气枪弹丸缺乏旋转运动,但可以达到100到230米/秒的速度。病例报告一名21岁男子在右胸气枪受伤后被转介至我院。伤后10小时出现胸痛,但血流动力学稳定。体格检查显示呼吸音减少,右半胸有压痛。胸部x线显示右侧胸血和肺挫伤,提示放置胸管,初始引流500cc出血性液体。经胸超声心动图发现右心室高回声肿块,伴轻度心包积液。计算机断层扫描证实弹丸位于右心室后部,距三尖瓣环0.8 cm处。进行紧急手术并成功取出完整的3×3×5毫米气枪弹丸。术后,患者出现短暂的强直阵挛性发作,给予咪达唑仑和异丙酚治疗。他接受预防性头孢曲松、静脉注射苯妥英、维生素B6、叶酸和口服阿司匹林、布洛芬和奥美拉唑。患者术后第3天病情好转,第4天出院。每周随访及出院后1个月脑电图显示正常。在2个月的随访中,患者仍无症状。结论:意识到心脏穿透伤、子弹轨迹和临床体征,以及多学科方法和患者家庭参与,对于良好的预后和长期随访至关重要。
本文章由计算机程序翻译,如有差异,请以英文原文为准。

Air Rifle Injury: Rare Bullet Lodgement in the Right Ventricle and Successful Surgical Removal.

Air Rifle Injury: Rare Bullet Lodgement in the Right Ventricle and Successful Surgical Removal.

Air Rifle Injury: Rare Bullet Lodgement in the Right Ventricle and Successful Surgical Removal.

Air Rifle Injury: Rare Bullet Lodgement in the Right Ventricle and Successful Surgical Removal.

BACKGROUND Air rifles, frequently used in sports, can cause complex, violent, and traumatic cardiac injury associated with significant morbidity and mortality. Unlike firearm projectiles, air rifle pellets lack rotational movement but can achieve velocities of 100 to 230 m/s. CASE REPORT A 21-year-old man was referred to our hospital after sustaining an air rifle injury to the right chest. He presented 10 h after injury with chest pain but was hemodynamically stable. Physical examination revealed decreased breath sounds and tenderness in the right hemithorax. Chest X-ray showed right-sided hemothorax and pulmonary contusion, prompting chest tube placement, with initial drainage of 500 cc hemorrhagic fluid. Transthoracic echocardiography identified a hyperechoic mass in the right ventricle, with mild pericardial effusion. Computed tomography confirmed the projectile was lodged in the posterior right ventricle, 0.8 cm from the tricuspid annulus. Emergency surgery was performed and successfully extracted an intact 3×3×5 mm air gun pellet. Postoperatively, the patient experienced a brief tonic-clonic seizure, which was managed with midazolam and propofol. He received prophylactic ceftriaxone, intravenous phenytoin, vitamin B6, and folic acid and oral aspirin, ibuprofen, and omeprazole. The patient showed improvement by postoperative day 3 and was discharged on day 4. Weekly follow-ups and an EEG 1 month after discharge showed normal results. At the 2-month follow-up, the patient remained asymptomatic. CONCLUSIONS Awareness of cardiac penetrating wounds, bullet trajectory, and clinical signs, along with a multidisciplinary approach and patient-family involvement, is crucial for favorable outcomes and long-term follow-up.

求助全文
通过发布文献求助,成功后即可免费获取论文全文。 去求助
来源期刊
American Journal of Case Reports
American Journal of Case Reports Medicine-Medicine (all)
CiteScore
1.80
自引率
0.00%
发文量
599
期刊介绍: American Journal of Case Reports is an international, peer-reviewed scientific journal that publishes single and series case reports in all medical fields. American Journal of Case Reports is issued on a continuous basis as a primary electronic journal. Print copies of a single article or a set of articles can be ordered on demand.
×
引用
GB/T 7714-2015
复制
MLA
复制
APA
复制
导出至
BibTeX EndNote RefMan NoteFirst NoteExpress
×
提示
您的信息不完整,为了账户安全,请先补充。
现在去补充
×
提示
您因"违规操作"
具体请查看互助需知
我知道了
×
提示
确定
请完成安全验证×
copy
已复制链接
快去分享给好友吧!
我知道了
右上角分享
点击右上角分享
0
联系我们:info@booksci.cn Book学术提供免费学术资源搜索服务,方便国内外学者检索中英文文献。致力于提供最便捷和优质的服务体验。 Copyright © 2023 布克学术 All rights reserved.
京ICP备2023020795号-1
ghs 京公网安备 11010802042870号
Book学术文献互助
Book学术文献互助群
群 号:604180095
Book学术官方微信