前列腺特异性膜抗原(PSMA)-PET/CT时代nomogram预测盆腔淋巴结转移的相关性

IF 1.3 4区 医学 Q4 UROLOGY & NEPHROLOGY
Current Urology Pub Date : 2025-09-01 Epub Date: 2025-07-03 DOI:10.1097/CU9.0000000000000290
Ofer N Gofrit, Marina Orevi, Simona Ben-Haim, Tzahi Meuman, Mordechai Duvdevani, Guy Hidas, Vladimir Yutkin
{"title":"前列腺特异性膜抗原(PSMA)-PET/CT时代nomogram预测盆腔淋巴结转移的相关性","authors":"Ofer N Gofrit, Marina Orevi, Simona Ben-Haim, Tzahi Meuman, Mordechai Duvdevani, Guy Hidas, Vladimir Yutkin","doi":"10.1097/CU9.0000000000000290","DOIUrl":null,"url":null,"abstract":"<p><strong>Background/aims: </strong>Current guidelines suggest that the indications for pelvic lymph node (LN) dissection (PLND) during radical prostatectomy (RP) should rely on nomograms predicting their involvement. Positron emission tomography/computed tomography (PET/CT) with prostate-specific membrane antigen (PSMA) radioligand is gaining acceptance as routine diagnostic test before RP in patients with intermediate/high-risk prostate cancer (PC). In this study, we examined the effect of preoperative PET/CT on the accuracy of the nomograms.</p><p><strong>Materials and methods: </strong>Patients with intermediate/high risk PC showing no extraprostatic disease on PET/CT-PSMA underwent RP with PLND and were followed postoperatively for at least 6 months. Patients with detectable (>0.1 ng/mL) postoperative prostate-specific antigen levels underwent re-evaluation with PET/CT-PSMA.</p><p><strong>Results: </strong>A total of 70 patients underwent RP for intermediate (34 patients) or high-risk disease (36 patients). According to the Partin, MSKCC, and Briganti 2012 nomograms, positive LNs were expected in 7, 13, and 12 patients, respectively. At PLND, 1 positive LN was found in a single patient (<i>p</i> < 0.05 compared with the expected number of patients from all nomograms). Postoperatively, 10 patients developed detectable prostate-specific antigen levels. One patient exhibited radioligand uptake that could indicate LN involvement. Considering these 2 patients as failures, the negative predictive value of PSMA-PET/CT for LN involvement was 97.1%.</p><p><strong>Conclusions: </strong>Preoperative PSMA-PET/CT with no extraprostatic uptake before RP in patients with intermediate to high-grade PC is highly accurate for ruling out LN involvement, superior to the routinely used nomograms. Its use induced stage migration, rendering predictive nomograms irrelevant.</p>","PeriodicalId":39147,"journal":{"name":"Current Urology","volume":"19 5","pages":"353-356"},"PeriodicalIF":1.3000,"publicationDate":"2025-09-01","publicationTypes":"Journal Article","fieldsOfStudy":null,"isOpenAccess":false,"openAccessPdf":"https://www.ncbi.nlm.nih.gov/pmc/articles/PMC12398372/pdf/","citationCount":"0","resultStr":"{\"title\":\"The relevance of nomograms for prediction of pelvic lymph node metastases in the prostate-specific membrane antigen (PSMA)-PET/CT era.\",\"authors\":\"Ofer N Gofrit, Marina Orevi, Simona Ben-Haim, Tzahi Meuman, Mordechai Duvdevani, Guy Hidas, Vladimir Yutkin\",\"doi\":\"10.1097/CU9.0000000000000290\",\"DOIUrl\":null,\"url\":null,\"abstract\":\"<p><strong>Background/aims: </strong>Current guidelines suggest that the indications for pelvic lymph node (LN) dissection (PLND) during radical prostatectomy (RP) should rely on nomograms predicting their involvement. Positron emission tomography/computed tomography (PET/CT) with prostate-specific membrane antigen (PSMA) radioligand is gaining acceptance as routine diagnostic test before RP in patients with intermediate/high-risk prostate cancer (PC). In this study, we examined the effect of preoperative PET/CT on the accuracy of the nomograms.</p><p><strong>Materials and methods: </strong>Patients with intermediate/high risk PC showing no extraprostatic disease on PET/CT-PSMA underwent RP with PLND and were followed postoperatively for at least 6 months. Patients with detectable (>0.1 ng/mL) postoperative prostate-specific antigen levels underwent re-evaluation with PET/CT-PSMA.</p><p><strong>Results: </strong>A total of 70 patients underwent RP for intermediate (34 patients) or high-risk disease (36 patients). According to the Partin, MSKCC, and Briganti 2012 nomograms, positive LNs were expected in 7, 13, and 12 patients, respectively. At PLND, 1 positive LN was found in a single patient (<i>p</i> < 0.05 compared with the expected number of patients from all nomograms). Postoperatively, 10 patients developed detectable prostate-specific antigen levels. One patient exhibited radioligand uptake that could indicate LN involvement. Considering these 2 patients as failures, the negative predictive value of PSMA-PET/CT for LN involvement was 97.1%.</p><p><strong>Conclusions: </strong>Preoperative PSMA-PET/CT with no extraprostatic uptake before RP in patients with intermediate to high-grade PC is highly accurate for ruling out LN involvement, superior to the routinely used nomograms. Its use induced stage migration, rendering predictive nomograms irrelevant.</p>\",\"PeriodicalId\":39147,\"journal\":{\"name\":\"Current Urology\",\"volume\":\"19 5\",\"pages\":\"353-356\"},\"PeriodicalIF\":1.3000,\"publicationDate\":\"2025-09-01\",\"publicationTypes\":\"Journal Article\",\"fieldsOfStudy\":null,\"isOpenAccess\":false,\"openAccessPdf\":\"https://www.ncbi.nlm.nih.gov/pmc/articles/PMC12398372/pdf/\",\"citationCount\":\"0\",\"resultStr\":null,\"platform\":\"Semanticscholar\",\"paperid\":null,\"PeriodicalName\":\"Current Urology\",\"FirstCategoryId\":\"1085\",\"ListUrlMain\":\"https://doi.org/10.1097/CU9.0000000000000290\",\"RegionNum\":4,\"RegionCategory\":\"医学\",\"ArticlePicture\":[],\"TitleCN\":null,\"AbstractTextCN\":null,\"PMCID\":null,\"EPubDate\":\"2025/7/3 0:00:00\",\"PubModel\":\"Epub\",\"JCR\":\"Q4\",\"JCRName\":\"UROLOGY & NEPHROLOGY\",\"Score\":null,\"Total\":0}","platform":"Semanticscholar","paperid":null,"PeriodicalName":"Current Urology","FirstCategoryId":"1085","ListUrlMain":"https://doi.org/10.1097/CU9.0000000000000290","RegionNum":4,"RegionCategory":"医学","ArticlePicture":[],"TitleCN":null,"AbstractTextCN":null,"PMCID":null,"EPubDate":"2025/7/3 0:00:00","PubModel":"Epub","JCR":"Q4","JCRName":"UROLOGY & NEPHROLOGY","Score":null,"Total":0}
引用次数: 0

摘要

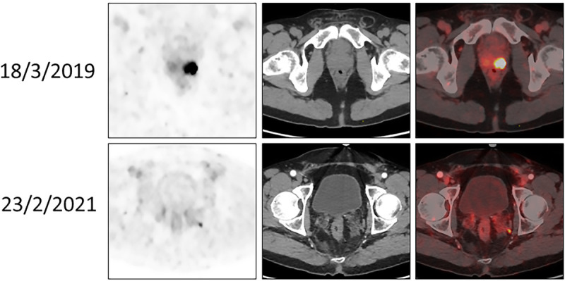
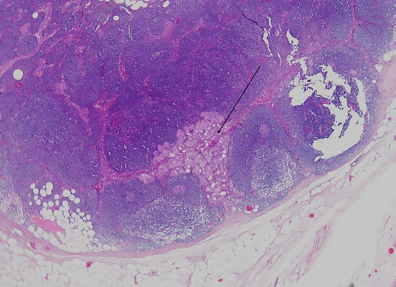
背景/目的:目前的指南建议根治性前列腺切除术(RP)中盆腔淋巴结(LN)清扫(PLND)的适应症应该依赖于预测其累及的形态图。前列腺特异性膜抗原(PSMA)放射配体正电子发射断层扫描/计算机断层扫描(PET/CT)作为中/高危前列腺癌(PC)患者RP前的常规诊断检查,越来越被接受。在这项研究中,我们检查了术前PET/CT对断层图准确性的影响。材料和方法:PET/CT-PSMA未显示前列腺外病变的中/高危PC患者行RP合并PLND,术后随访至少6个月。术后可检测到前列腺特异性抗原水平(>0.1 ng/mL)的患者通过PET/CT-PSMA重新评估。结果:共有70例患者接受了中度(34例)或高危(36例)疾病的RP。根据Partin、MSKCC和Briganti 2012 nomogram数据,预计分别有7例、13例和12例患者出现阳性ln。在PLND中,1例患者中发现1例LN阳性(与所有nomogram预期患者数相比,p < 0.05)。术后10例患者出现可检测到的前列腺特异性抗原水平。一名患者表现出放射性寡核苷酸摄取,可能表明淋巴结受累。考虑到这2例患者为失败,PSMA-PET/CT对LN累及的阴性预测值为97.1%。结论:术前PSMA-PET/CT在RP前未发现前列腺外摄取的中高级别PC患者排除LN累及的准确度高,优于常规使用的影像学检查。它的使用引起了阶段迁移,使预测图无关紧要。
本文章由计算机程序翻译,如有差异,请以英文原文为准。

The relevance of nomograms for prediction of pelvic lymph node metastases in the prostate-specific membrane antigen (PSMA)-PET/CT era.

The relevance of nomograms for prediction of pelvic lymph node metastases in the prostate-specific membrane antigen (PSMA)-PET/CT era.

The relevance of nomograms for prediction of pelvic lymph node metastases in the prostate-specific membrane antigen (PSMA)-PET/CT era.

Background/aims: Current guidelines suggest that the indications for pelvic lymph node (LN) dissection (PLND) during radical prostatectomy (RP) should rely on nomograms predicting their involvement. Positron emission tomography/computed tomography (PET/CT) with prostate-specific membrane antigen (PSMA) radioligand is gaining acceptance as routine diagnostic test before RP in patients with intermediate/high-risk prostate cancer (PC). In this study, we examined the effect of preoperative PET/CT on the accuracy of the nomograms.

Materials and methods: Patients with intermediate/high risk PC showing no extraprostatic disease on PET/CT-PSMA underwent RP with PLND and were followed postoperatively for at least 6 months. Patients with detectable (>0.1 ng/mL) postoperative prostate-specific antigen levels underwent re-evaluation with PET/CT-PSMA.

Results: A total of 70 patients underwent RP for intermediate (34 patients) or high-risk disease (36 patients). According to the Partin, MSKCC, and Briganti 2012 nomograms, positive LNs were expected in 7, 13, and 12 patients, respectively. At PLND, 1 positive LN was found in a single patient (p < 0.05 compared with the expected number of patients from all nomograms). Postoperatively, 10 patients developed detectable prostate-specific antigen levels. One patient exhibited radioligand uptake that could indicate LN involvement. Considering these 2 patients as failures, the negative predictive value of PSMA-PET/CT for LN involvement was 97.1%.

Conclusions: Preoperative PSMA-PET/CT with no extraprostatic uptake before RP in patients with intermediate to high-grade PC is highly accurate for ruling out LN involvement, superior to the routinely used nomograms. Its use induced stage migration, rendering predictive nomograms irrelevant.

求助全文
通过发布文献求助,成功后即可免费获取论文全文。 去求助
来源期刊
Current Urology
Current Urology Medicine-Urology
CiteScore
2.30
自引率
0.00%
发文量
96
×
引用
GB/T 7714-2015
复制
MLA
复制
APA
复制
导出至
BibTeX EndNote RefMan NoteFirst NoteExpress
×
提示
您的信息不完整,为了账户安全,请先补充。
现在去补充
×
提示
您因"违规操作"
具体请查看互助需知
我知道了
×
提示
确定
请完成安全验证×
copy
已复制链接
快去分享给好友吧!
我知道了
右上角分享
点击右上角分享
0
联系我们:info@booksci.cn Book学术提供免费学术资源搜索服务,方便国内外学者检索中英文文献。致力于提供最便捷和优质的服务体验。 Copyright © 2023 布克学术 All rights reserved.
京ICP备2023020795号-1
ghs 京公网安备 11010802042870号
Book学术文献互助
Book学术文献互助群
群 号:604180095
Book学术官方微信