68岁男性急诊血管内修复14厘米腹主动脉瘤后主动脉-十二指肠瘘。

IF 0.7 Q3 MEDICINE, GENERAL & INTERNAL
Maja Anna Romanowska, Miare Kuse, Elizabet Talia Yel, Tomasz Ostrowski, Oskar Gąsiorowski, Zbigniew Gałązka
{"title":"68岁男性急诊血管内修复14厘米腹主动脉瘤后主动脉-十二指肠瘘。","authors":"Maja Anna Romanowska, Miare Kuse, Elizabet Talia Yel, Tomasz Ostrowski, Oskar Gąsiorowski, Zbigniew Gałązka","doi":"10.12659/AJCR.948062","DOIUrl":null,"url":null,"abstract":"<p><p>BACKGROUND Aorto-duodenal fistula (ADF) is a communication between the aorta and the duodenum and requires urgent aortic repair. However, it often leads to life-threatening complications. Thus, an early and appropriate diagnostic method is necessary to deliver adequate treatment. This report describes the case of a 68-year-old man with anaorto-duodenal fistula following emergency endovascular repair of a 14-cm abdominal aortic aneurysm (AAA) identified using oral contrast computed tomography (CT), and discusses the consequences of delayed treatment and ADF management. CASE REPORT We present a case of a 68-year-old White man with abdominal bloating, who upon further examination was diagnosed with an AAA, which was successfully treated by endovascular aneurysm repair (EVAR). However, 1 year later, an endoleak was discovered and, despite the physicians' efforts, the overall treatment was complicated due to the patient's continuous postponement of treatment over several years. The aneurysm continued to expand until it reached 14 cm. Despite the successful endovascular repair of the endoleak, a duodeno-aortic fistula (DAF) was diagnosed using CT with oral contrast. The patient was managed conservatively with aneurysmal sac drainage and antibiotic therapy, which decreased the size of the aneurysmal sac. Despite early diagnostic efforts and interventions, the patient's condition deteriorated due to further complications, ultimately resulting in death. CONCLUSIONS This case report demonstrates a potential useful diagnostic role of CT with oral contrast in detecting DAF, in situations when other methods fail to do so, and emphasizes the importance of prompt intervention to prevent life-threatening complications. However, further investigations to explore the underlying mechanism and its replicability are required.</p>","PeriodicalId":39064,"journal":{"name":"American Journal of Case Reports","volume":"26 ","pages":"e948062"},"PeriodicalIF":0.7000,"publicationDate":"2025-08-22","publicationTypes":"Journal Article","fieldsOfStudy":null,"isOpenAccess":false,"openAccessPdf":"https://www.ncbi.nlm.nih.gov/pmc/articles/PMC12379741/pdf/","citationCount":"0","resultStr":"{\"title\":\"Aorto-Duodenal Fistula After Emergency Endovascular Repair of a 14-cm Abdominal Aortic Aneurysm in a 68-Year-Old Man.\",\"authors\":\"Maja Anna Romanowska, Miare Kuse, Elizabet Talia Yel, Tomasz Ostrowski, Oskar Gąsiorowski, Zbigniew Gałązka\",\"doi\":\"10.12659/AJCR.948062\",\"DOIUrl\":null,\"url\":null,\"abstract\":\"<p><p>BACKGROUND Aorto-duodenal fistula (ADF) is a communication between the aorta and the duodenum and requires urgent aortic repair. However, it often leads to life-threatening complications. Thus, an early and appropriate diagnostic method is necessary to deliver adequate treatment. This report describes the case of a 68-year-old man with anaorto-duodenal fistula following emergency endovascular repair of a 14-cm abdominal aortic aneurysm (AAA) identified using oral contrast computed tomography (CT), and discusses the consequences of delayed treatment and ADF management. CASE REPORT We present a case of a 68-year-old White man with abdominal bloating, who upon further examination was diagnosed with an AAA, which was successfully treated by endovascular aneurysm repair (EVAR). However, 1 year later, an endoleak was discovered and, despite the physicians' efforts, the overall treatment was complicated due to the patient's continuous postponement of treatment over several years. The aneurysm continued to expand until it reached 14 cm. Despite the successful endovascular repair of the endoleak, a duodeno-aortic fistula (DAF) was diagnosed using CT with oral contrast. The patient was managed conservatively with aneurysmal sac drainage and antibiotic therapy, which decreased the size of the aneurysmal sac. Despite early diagnostic efforts and interventions, the patient's condition deteriorated due to further complications, ultimately resulting in death. CONCLUSIONS This case report demonstrates a potential useful diagnostic role of CT with oral contrast in detecting DAF, in situations when other methods fail to do so, and emphasizes the importance of prompt intervention to prevent life-threatening complications. However, further investigations to explore the underlying mechanism and its replicability are required.</p>\",\"PeriodicalId\":39064,\"journal\":{\"name\":\"American Journal of Case Reports\",\"volume\":\"26 \",\"pages\":\"e948062\"},\"PeriodicalIF\":0.7000,\"publicationDate\":\"2025-08-22\",\"publicationTypes\":\"Journal Article\",\"fieldsOfStudy\":null,\"isOpenAccess\":false,\"openAccessPdf\":\"https://www.ncbi.nlm.nih.gov/pmc/articles/PMC12379741/pdf/\",\"citationCount\":\"0\",\"resultStr\":null,\"platform\":\"Semanticscholar\",\"paperid\":null,\"PeriodicalName\":\"American Journal of Case Reports\",\"FirstCategoryId\":\"1085\",\"ListUrlMain\":\"https://doi.org/10.12659/AJCR.948062\",\"RegionNum\":0,\"RegionCategory\":null,\"ArticlePicture\":[],\"TitleCN\":null,\"AbstractTextCN\":null,\"PMCID\":null,\"EPubDate\":\"\",\"PubModel\":\"\",\"JCR\":\"Q3\",\"JCRName\":\"MEDICINE, GENERAL & INTERNAL\",\"Score\":null,\"Total\":0}","platform":"Semanticscholar","paperid":null,"PeriodicalName":"American Journal of Case Reports","FirstCategoryId":"1085","ListUrlMain":"https://doi.org/10.12659/AJCR.948062","RegionNum":0,"RegionCategory":null,"ArticlePicture":[],"TitleCN":null,"AbstractTextCN":null,"PMCID":null,"EPubDate":"","PubModel":"","JCR":"Q3","JCRName":"MEDICINE, GENERAL & INTERNAL","Score":null,"Total":0}
引用次数: 0

摘要

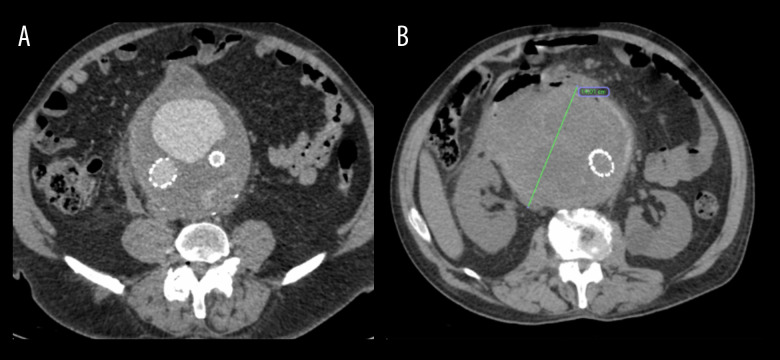
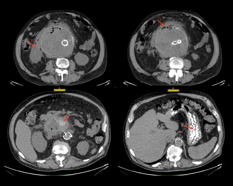
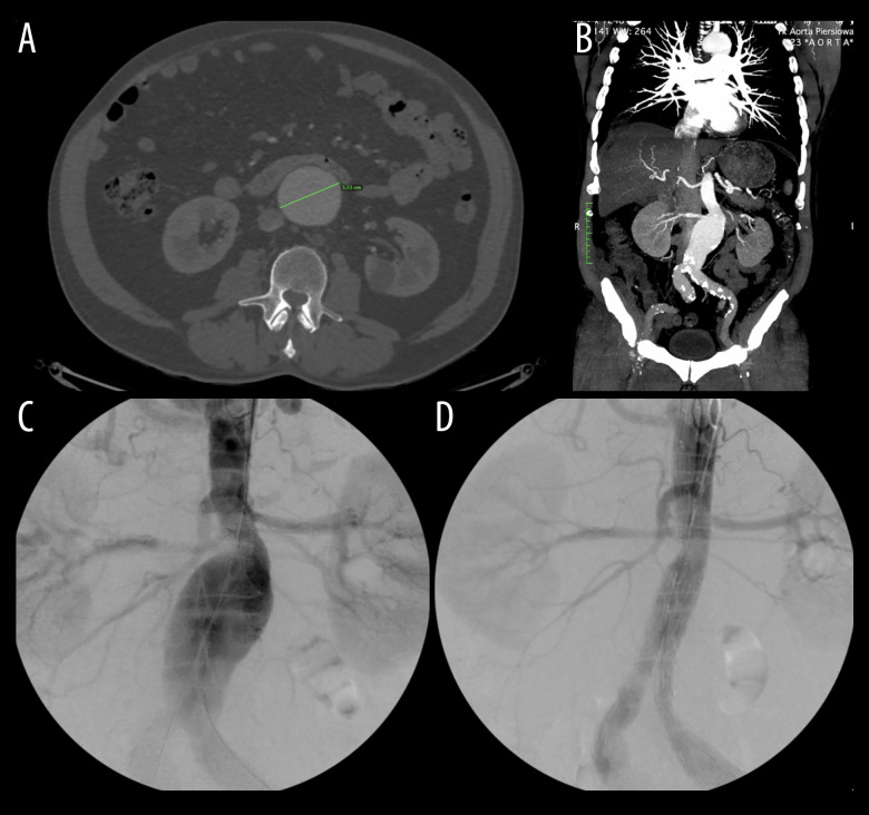
主动脉-十二指肠瘘(ADF)是主动脉和十二指肠之间的交通,需要紧急主动脉修复。然而,它经常导致危及生命的并发症。因此,早期和适当的诊断方法是必要的,以提供充分的治疗。本报告描述了一名68岁男性患者,在使用口腔造影计算机断层扫描(CT)对14厘米腹主动脉瘤(AAA)进行紧急血管内修复后出现肛肠-十二指肠瘘的病例,并讨论了延迟治疗和ADF管理的后果。我们报告一例68岁白人男性腹部腹胀,经进一步检查诊断为AAA,并通过血管内动脉瘤修复(EVAR)成功治疗。然而,1年后,发现了一个漏洞,尽管医生的努力,但由于患者连续数年推迟治疗,整体治疗变得复杂。动脉瘤继续扩大,直到达到14厘米。尽管血管内瘘成功修复,但通过CT和口腔造影诊断为十二指肠主动脉瘘(DAF)。患者保守处理动脉瘤囊引流和抗生素治疗,减少了动脉瘤囊的大小。尽管进行了早期诊断和干预,但由于进一步的并发症,患者的病情恶化,最终导致死亡。结论:本病例报告表明,在其他方法无法检测DAF的情况下,CT联合口腔造影在检测DAF方面具有潜在的有用诊断作用,并强调了及时干预以预防危及生命的并发症的重要性。然而,需要进一步的研究来探索潜在的机制及其可复制性。
本文章由计算机程序翻译,如有差异,请以英文原文为准。

Aorto-Duodenal Fistula After Emergency Endovascular Repair of a 14-cm Abdominal Aortic Aneurysm in a 68-Year-Old Man.

Aorto-Duodenal Fistula After Emergency Endovascular Repair of a 14-cm Abdominal Aortic Aneurysm in a 68-Year-Old Man.

Aorto-Duodenal Fistula After Emergency Endovascular Repair of a 14-cm Abdominal Aortic Aneurysm in a 68-Year-Old Man.

Aorto-Duodenal Fistula After Emergency Endovascular Repair of a 14-cm Abdominal Aortic Aneurysm in a 68-Year-Old Man.

BACKGROUND Aorto-duodenal fistula (ADF) is a communication between the aorta and the duodenum and requires urgent aortic repair. However, it often leads to life-threatening complications. Thus, an early and appropriate diagnostic method is necessary to deliver adequate treatment. This report describes the case of a 68-year-old man with anaorto-duodenal fistula following emergency endovascular repair of a 14-cm abdominal aortic aneurysm (AAA) identified using oral contrast computed tomography (CT), and discusses the consequences of delayed treatment and ADF management. CASE REPORT We present a case of a 68-year-old White man with abdominal bloating, who upon further examination was diagnosed with an AAA, which was successfully treated by endovascular aneurysm repair (EVAR). However, 1 year later, an endoleak was discovered and, despite the physicians' efforts, the overall treatment was complicated due to the patient's continuous postponement of treatment over several years. The aneurysm continued to expand until it reached 14 cm. Despite the successful endovascular repair of the endoleak, a duodeno-aortic fistula (DAF) was diagnosed using CT with oral contrast. The patient was managed conservatively with aneurysmal sac drainage and antibiotic therapy, which decreased the size of the aneurysmal sac. Despite early diagnostic efforts and interventions, the patient's condition deteriorated due to further complications, ultimately resulting in death. CONCLUSIONS This case report demonstrates a potential useful diagnostic role of CT with oral contrast in detecting DAF, in situations when other methods fail to do so, and emphasizes the importance of prompt intervention to prevent life-threatening complications. However, further investigations to explore the underlying mechanism and its replicability are required.

求助全文
通过发布文献求助,成功后即可免费获取论文全文。 去求助
来源期刊
American Journal of Case Reports
American Journal of Case Reports Medicine-Medicine (all)
CiteScore
1.80
自引率
0.00%
发文量
599
期刊介绍: American Journal of Case Reports is an international, peer-reviewed scientific journal that publishes single and series case reports in all medical fields. American Journal of Case Reports is issued on a continuous basis as a primary electronic journal. Print copies of a single article or a set of articles can be ordered on demand.
×
引用
GB/T 7714-2015
复制
MLA
复制
APA
复制
导出至
BibTeX EndNote RefMan NoteFirst NoteExpress
×
提示
您的信息不完整,为了账户安全,请先补充。
现在去补充
×
提示
您因"违规操作"
具体请查看互助需知
我知道了
×
提示
确定
请完成安全验证×
copy
已复制链接
快去分享给好友吧!
我知道了
右上角分享
点击右上角分享
0
联系我们:info@booksci.cn Book学术提供免费学术资源搜索服务,方便国内外学者检索中英文文献。致力于提供最便捷和优质的服务体验。 Copyright © 2023 布克学术 All rights reserved.
京ICP备2023020795号-1
ghs 京公网安备 11010802042870号
Book学术文献互助
Book学术文献互助群
群 号:604180095
Book学术官方微信