综合细胞遗传学分析揭示了产前唐氏综合征筛查阴性新生儿的镶嵌现象:1例报告。

IF 0.7 Q3 MEDICINE, GENERAL & INTERNAL
Irina Puppo, Alla Vardanyan, Gohar Shahsuvaryan, Susanna Petrosyan, Narek Pepanyan, Inessa Nazaryan
{"title":"综合细胞遗传学分析揭示了产前唐氏综合征筛查阴性新生儿的镶嵌现象:1例报告。","authors":"Irina Puppo, Alla Vardanyan, Gohar Shahsuvaryan, Susanna Petrosyan, Narek Pepanyan, Inessa Nazaryan","doi":"10.12659/AJCR.948522","DOIUrl":null,"url":null,"abstract":"<p><p>BACKGROUND Down syndrome, or trisomy 21, is one of the most common chromosomal disorders associated with intellectual disability. Prenatal screening is a proactive approach to identify fetuses with common chromosomal abnormalities. Mosaicism is one of the causes of false-negative results in prenatal screening for Down syndrome. CASE REPORT We present a case of a newborn with tissue-specific and intercellular mosaicism for trisomy 21. Postnatal karyotyping of phytohemagglutinin-stimulated lymphocytes confirmed trisomy 21 in all analyzed metaphases. However, fluorescence in situ hybridization on unstimulated lymphocyte nuclei and buccal smears revealed mosaicism, with approximately 20% of cells from both tissues displaying disomy for chromosome 21. The intercellular karyotypic discordance observed in this case shows that mosaicism can be more complex than what is detectable by conventional karyotyping, and that it can be related to the biological particularities of the analyzed cells and restriction of a widely used cell division stimulator, rather than to technical limitation. CONCLUSIONS Our findings underscore the critical importance of combining karyotyping with fluorescence in situ hybridization on unstimulated lymphocytes and buccal smear cells to improve the accuracy of cytogenetic diagnosis in newborns with suspected Down syndrome. Such in-depth cytogenetic analyses provide essential information for genetic counseling, research on genotype-phenotype correlations, and evaluation of age-acquired mosaicism and its association with age-related comorbidities in patients with trisomy 21. Comprehensive identification of the biological causes underlying false-negative results in prenatal screening can help overcome the limitations of current technological platforms and support the refinement of diagnostic algorithms.</p>","PeriodicalId":39064,"journal":{"name":"American Journal of Case Reports","volume":"26 ","pages":"e948522"},"PeriodicalIF":0.7000,"publicationDate":"2025-08-27","publicationTypes":"Journal Article","fieldsOfStudy":null,"isOpenAccess":false,"openAccessPdf":"https://www.ncbi.nlm.nih.gov/pmc/articles/PMC12400873/pdf/","citationCount":"0","resultStr":"{\"title\":\"Comprehensive Cytogenetic Analysis Reveals Mosaicism in Newborn with Negative Prenatal Down Syndrome Screening: A Case Report.\",\"authors\":\"Irina Puppo, Alla Vardanyan, Gohar Shahsuvaryan, Susanna Petrosyan, Narek Pepanyan, Inessa Nazaryan\",\"doi\":\"10.12659/AJCR.948522\",\"DOIUrl\":null,\"url\":null,\"abstract\":\"<p><p>BACKGROUND Down syndrome, or trisomy 21, is one of the most common chromosomal disorders associated with intellectual disability. Prenatal screening is a proactive approach to identify fetuses with common chromosomal abnormalities. Mosaicism is one of the causes of false-negative results in prenatal screening for Down syndrome. CASE REPORT We present a case of a newborn with tissue-specific and intercellular mosaicism for trisomy 21. Postnatal karyotyping of phytohemagglutinin-stimulated lymphocytes confirmed trisomy 21 in all analyzed metaphases. However, fluorescence in situ hybridization on unstimulated lymphocyte nuclei and buccal smears revealed mosaicism, with approximately 20% of cells from both tissues displaying disomy for chromosome 21. The intercellular karyotypic discordance observed in this case shows that mosaicism can be more complex than what is detectable by conventional karyotyping, and that it can be related to the biological particularities of the analyzed cells and restriction of a widely used cell division stimulator, rather than to technical limitation. CONCLUSIONS Our findings underscore the critical importance of combining karyotyping with fluorescence in situ hybridization on unstimulated lymphocytes and buccal smear cells to improve the accuracy of cytogenetic diagnosis in newborns with suspected Down syndrome. Such in-depth cytogenetic analyses provide essential information for genetic counseling, research on genotype-phenotype correlations, and evaluation of age-acquired mosaicism and its association with age-related comorbidities in patients with trisomy 21. Comprehensive identification of the biological causes underlying false-negative results in prenatal screening can help overcome the limitations of current technological platforms and support the refinement of diagnostic algorithms.</p>\",\"PeriodicalId\":39064,\"journal\":{\"name\":\"American Journal of Case Reports\",\"volume\":\"26 \",\"pages\":\"e948522\"},\"PeriodicalIF\":0.7000,\"publicationDate\":\"2025-08-27\",\"publicationTypes\":\"Journal Article\",\"fieldsOfStudy\":null,\"isOpenAccess\":false,\"openAccessPdf\":\"https://www.ncbi.nlm.nih.gov/pmc/articles/PMC12400873/pdf/\",\"citationCount\":\"0\",\"resultStr\":null,\"platform\":\"Semanticscholar\",\"paperid\":null,\"PeriodicalName\":\"American Journal of Case Reports\",\"FirstCategoryId\":\"1085\",\"ListUrlMain\":\"https://doi.org/10.12659/AJCR.948522\",\"RegionNum\":0,\"RegionCategory\":null,\"ArticlePicture\":[],\"TitleCN\":null,\"AbstractTextCN\":null,\"PMCID\":null,\"EPubDate\":\"\",\"PubModel\":\"\",\"JCR\":\"Q3\",\"JCRName\":\"MEDICINE, GENERAL & INTERNAL\",\"Score\":null,\"Total\":0}","platform":"Semanticscholar","paperid":null,"PeriodicalName":"American Journal of Case Reports","FirstCategoryId":"1085","ListUrlMain":"https://doi.org/10.12659/AJCR.948522","RegionNum":0,"RegionCategory":null,"ArticlePicture":[],"TitleCN":null,"AbstractTextCN":null,"PMCID":null,"EPubDate":"","PubModel":"","JCR":"Q3","JCRName":"MEDICINE, GENERAL & INTERNAL","Score":null,"Total":0}
引用次数: 0

摘要

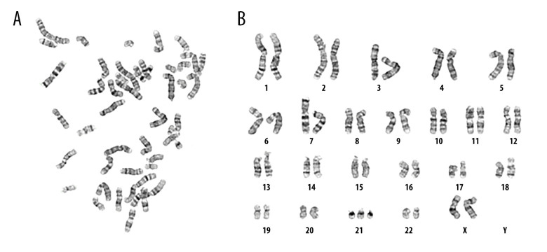
唐氏综合症,或称21三体,是与智力残疾相关的最常见的染色体疾病之一。产前筛查是一种积极主动的方法,以确定胎儿常见的染色体异常。镶嵌现象是导致产前唐氏综合症筛查假阴性结果的原因之一。病例报告我们提出一个病例新生儿与组织特异性和细胞间镶嵌21三体。出生后植物血凝素刺激淋巴细胞的核型在所有分析的中期证实了21三体。然而,未经刺激的淋巴细胞核和颊涂片的荧光原位杂交显示嵌合体,来自两种组织的约20%的细胞显示21号染色体二体。在这种情况下观察到的细胞间核型不一致表明,镶嵌现象可能比传统核型检测到的更复杂,并且它可能与所分析细胞的生物学特性和广泛使用的细胞分裂刺激剂的限制有关,而不是技术限制。结论:我们的研究结果强调了将核型分析与荧光原位杂交结合对未刺激淋巴细胞和口腔涂片细胞进行检测对于提高新生儿疑似唐氏综合征的细胞遗传学诊断的准确性至关重要。这种深入的细胞遗传学分析为21三体患者的遗传咨询、基因型-表型相关性研究、年龄获得性嵌合体及其与年龄相关合并症的关系的评估提供了必要的信息。全面确定产前筛查中假阴性结果的生物学原因有助于克服当前技术平台的局限性,并支持改进诊断算法。
本文章由计算机程序翻译,如有差异,请以英文原文为准。

Comprehensive Cytogenetic Analysis Reveals Mosaicism in Newborn with Negative Prenatal Down Syndrome Screening: A Case Report.

Comprehensive Cytogenetic Analysis Reveals Mosaicism in Newborn with Negative Prenatal Down Syndrome Screening: A Case Report.

Comprehensive Cytogenetic Analysis Reveals Mosaicism in Newborn with Negative Prenatal Down Syndrome Screening: A Case Report.

BACKGROUND Down syndrome, or trisomy 21, is one of the most common chromosomal disorders associated with intellectual disability. Prenatal screening is a proactive approach to identify fetuses with common chromosomal abnormalities. Mosaicism is one of the causes of false-negative results in prenatal screening for Down syndrome. CASE REPORT We present a case of a newborn with tissue-specific and intercellular mosaicism for trisomy 21. Postnatal karyotyping of phytohemagglutinin-stimulated lymphocytes confirmed trisomy 21 in all analyzed metaphases. However, fluorescence in situ hybridization on unstimulated lymphocyte nuclei and buccal smears revealed mosaicism, with approximately 20% of cells from both tissues displaying disomy for chromosome 21. The intercellular karyotypic discordance observed in this case shows that mosaicism can be more complex than what is detectable by conventional karyotyping, and that it can be related to the biological particularities of the analyzed cells and restriction of a widely used cell division stimulator, rather than to technical limitation. CONCLUSIONS Our findings underscore the critical importance of combining karyotyping with fluorescence in situ hybridization on unstimulated lymphocytes and buccal smear cells to improve the accuracy of cytogenetic diagnosis in newborns with suspected Down syndrome. Such in-depth cytogenetic analyses provide essential information for genetic counseling, research on genotype-phenotype correlations, and evaluation of age-acquired mosaicism and its association with age-related comorbidities in patients with trisomy 21. Comprehensive identification of the biological causes underlying false-negative results in prenatal screening can help overcome the limitations of current technological platforms and support the refinement of diagnostic algorithms.

求助全文
通过发布文献求助,成功后即可免费获取论文全文。 去求助
来源期刊
American Journal of Case Reports
American Journal of Case Reports Medicine-Medicine (all)
CiteScore
1.80
自引率
0.00%
发文量
599
期刊介绍: American Journal of Case Reports is an international, peer-reviewed scientific journal that publishes single and series case reports in all medical fields. American Journal of Case Reports is issued on a continuous basis as a primary electronic journal. Print copies of a single article or a set of articles can be ordered on demand.
×
引用
GB/T 7714-2015
复制
MLA
复制
APA
复制
导出至
BibTeX EndNote RefMan NoteFirst NoteExpress
×
提示
您的信息不完整,为了账户安全,请先补充。
现在去补充
×
提示
您因"违规操作"
具体请查看互助需知
我知道了
×
提示
确定
请完成安全验证×
copy
已复制链接
快去分享给好友吧!
我知道了
右上角分享
点击右上角分享
0
联系我们:info@booksci.cn Book学术提供免费学术资源搜索服务,方便国内外学者检索中英文文献。致力于提供最便捷和优质的服务体验。 Copyright © 2023 布克学术 All rights reserved.
京ICP备2023020795号-1
ghs 京公网安备 11010802042870号
Book学术文献互助
Book学术文献互助群
群 号:604180095
Book学术官方微信