肾梗死中一过性肾动脉狭窄1例报告。

IF 0.7 Q3 MEDICINE, GENERAL & INTERNAL
George K Annan, Walter Agyeman, Samuel B Acheampong, Abigail Mills-Annoh, Albert Asare Adu
{"title":"肾梗死中一过性肾动脉狭窄1例报告。","authors":"George K Annan, Walter Agyeman, Samuel B Acheampong, Abigail Mills-Annoh, Albert Asare Adu","doi":"10.12659/AJCR.949596","DOIUrl":null,"url":null,"abstract":"<p><p>BACKGROUND Renal infarction is a rare condition resulting from interruption of renal arterial blood flow. Its nonspecific presentation often mimics more common diagnoses such as nephrolithiasis, pyelonephritis, or musculoskeletal pain, contributing to delayed or missed diagnosis. Early identification is essential to prevent irreversible renal damage and optimize patient outcomes. Imaging plays a critical role in both the initial diagnosis and in determining the underlying etiology, which may include thromboembolism, in-situ thrombosis, vascular injury, or hypercoagulable states. CASE REPORT We describe a case of a 63-year-old woman with a history of coronary artery disease, diabetes mellitus, hormone replacement therapy, and a 42 pack-year smoking history, who presented with sudden-onset, severe left-flank pain. Initial laboratory results were nonspecific, with mild proteinuria and microscopic hematuria. Computed tomography (CT) angiography demonstrated severe stenosis of the superior left renal artery and extensive left renal infarction. A diagnosis of atherosclerotic renal infarction was made. She was treated with intravenous heparin, transitioned to dual antiplatelet therapy and high-intensity statin, and discharged with a 30-day cardiac event monitor. No arrhythmia was detected, and her thrombophilia workup was negative. Follow-up CT angiography 1 month later revealed complete resolution of the renal artery stenosis, with no residual narrowing or plaque. The transient nature of the vascular finding, along with the lack of structural atherosclerosis, prompted diagnostic reassessment, favoring an embolic mechanism possibly related to multiple modifiable prothrombotic clinical risk factors and unrecognized embolic sources. CONCLUSIONS This case illustrates the importance of follow-up imaging and clinical reassessment in differentiating embolic from atherosclerotic causes of renal infarction.</p>","PeriodicalId":39064,"journal":{"name":"American Journal of Case Reports","volume":"26 ","pages":"e949596"},"PeriodicalIF":0.7000,"publicationDate":"2025-08-30","publicationTypes":"Journal Article","fieldsOfStudy":null,"isOpenAccess":false,"openAccessPdf":"https://www.ncbi.nlm.nih.gov/pmc/articles/PMC12406750/pdf/","citationCount":"0","resultStr":"{\"title\":\"Transient Renal Artery Stenosis in Renal Infarction: A Case Report.\",\"authors\":\"George K Annan, Walter Agyeman, Samuel B Acheampong, Abigail Mills-Annoh, Albert Asare Adu\",\"doi\":\"10.12659/AJCR.949596\",\"DOIUrl\":null,\"url\":null,\"abstract\":\"<p><p>BACKGROUND Renal infarction is a rare condition resulting from interruption of renal arterial blood flow. Its nonspecific presentation often mimics more common diagnoses such as nephrolithiasis, pyelonephritis, or musculoskeletal pain, contributing to delayed or missed diagnosis. Early identification is essential to prevent irreversible renal damage and optimize patient outcomes. Imaging plays a critical role in both the initial diagnosis and in determining the underlying etiology, which may include thromboembolism, in-situ thrombosis, vascular injury, or hypercoagulable states. CASE REPORT We describe a case of a 63-year-old woman with a history of coronary artery disease, diabetes mellitus, hormone replacement therapy, and a 42 pack-year smoking history, who presented with sudden-onset, severe left-flank pain. Initial laboratory results were nonspecific, with mild proteinuria and microscopic hematuria. Computed tomography (CT) angiography demonstrated severe stenosis of the superior left renal artery and extensive left renal infarction. A diagnosis of atherosclerotic renal infarction was made. She was treated with intravenous heparin, transitioned to dual antiplatelet therapy and high-intensity statin, and discharged with a 30-day cardiac event monitor. No arrhythmia was detected, and her thrombophilia workup was negative. Follow-up CT angiography 1 month later revealed complete resolution of the renal artery stenosis, with no residual narrowing or plaque. The transient nature of the vascular finding, along with the lack of structural atherosclerosis, prompted diagnostic reassessment, favoring an embolic mechanism possibly related to multiple modifiable prothrombotic clinical risk factors and unrecognized embolic sources. CONCLUSIONS This case illustrates the importance of follow-up imaging and clinical reassessment in differentiating embolic from atherosclerotic causes of renal infarction.</p>\",\"PeriodicalId\":39064,\"journal\":{\"name\":\"American Journal of Case Reports\",\"volume\":\"26 \",\"pages\":\"e949596\"},\"PeriodicalIF\":0.7000,\"publicationDate\":\"2025-08-30\",\"publicationTypes\":\"Journal Article\",\"fieldsOfStudy\":null,\"isOpenAccess\":false,\"openAccessPdf\":\"https://www.ncbi.nlm.nih.gov/pmc/articles/PMC12406750/pdf/\",\"citationCount\":\"0\",\"resultStr\":null,\"platform\":\"Semanticscholar\",\"paperid\":null,\"PeriodicalName\":\"American Journal of Case Reports\",\"FirstCategoryId\":\"1085\",\"ListUrlMain\":\"https://doi.org/10.12659/AJCR.949596\",\"RegionNum\":0,\"RegionCategory\":null,\"ArticlePicture\":[],\"TitleCN\":null,\"AbstractTextCN\":null,\"PMCID\":null,\"EPubDate\":\"\",\"PubModel\":\"\",\"JCR\":\"Q3\",\"JCRName\":\"MEDICINE, GENERAL & INTERNAL\",\"Score\":null,\"Total\":0}","platform":"Semanticscholar","paperid":null,"PeriodicalName":"American Journal of Case Reports","FirstCategoryId":"1085","ListUrlMain":"https://doi.org/10.12659/AJCR.949596","RegionNum":0,"RegionCategory":null,"ArticlePicture":[],"TitleCN":null,"AbstractTextCN":null,"PMCID":null,"EPubDate":"","PubModel":"","JCR":"Q3","JCRName":"MEDICINE, GENERAL & INTERNAL","Score":null,"Total":0}
引用次数: 0

摘要

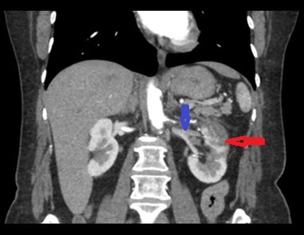
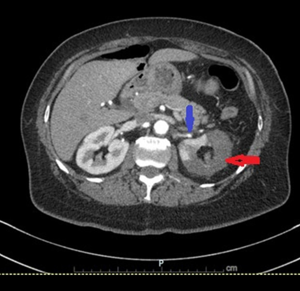
背景:肾梗死是一种罕见的由肾动脉血流中断引起的疾病。它的非特异性表现通常与肾结石、肾盂肾炎或肌肉骨骼疼痛等更常见的诊断相似,导致延误或漏诊。早期识别对于预防不可逆肾损害和优化患者预后至关重要。影像学在初始诊断和确定潜在病因(可能包括血栓栓塞、原位血栓形成、血管损伤或高凝状态)方面都起着关键作用。病例报告我们描述了一例63岁女性,有冠状动脉疾病、糖尿病、激素替代治疗史和42包年的吸烟史,她表现为突然发作的严重左侧疼痛。最初的实验室结果是非特异性的,有轻度蛋白尿和显微镜下的血尿。CT血管造影显示左肾上动脉严重狭窄和广泛的左肾梗死。诊断为动脉粥样硬化性肾梗死。她接受静脉肝素治疗,过渡到双重抗血小板治疗和高强度他汀类药物,出院时进行了30天的心脏事件监测。未发现心律失常,血栓性疾病检查呈阴性。1个月后随访CT血管造影显示肾动脉狭窄完全消退,无残留狭窄或斑块。血管发现的短暂性,以及缺乏结构性动脉粥样硬化,促使诊断重新评估,倾向于栓塞机制可能与多种可改变的血栓形成前临床危险因素和未识别的栓塞来源有关。结论:本病例说明了在鉴别栓塞性和动脉粥样硬化性肾梗死病因时,随访影像学和临床再评估的重要性。
本文章由计算机程序翻译,如有差异,请以英文原文为准。

Transient Renal Artery Stenosis in Renal Infarction: A Case Report.

Transient Renal Artery Stenosis in Renal Infarction: A Case Report.

Transient Renal Artery Stenosis in Renal Infarction: A Case Report.

Transient Renal Artery Stenosis in Renal Infarction: A Case Report.

BACKGROUND Renal infarction is a rare condition resulting from interruption of renal arterial blood flow. Its nonspecific presentation often mimics more common diagnoses such as nephrolithiasis, pyelonephritis, or musculoskeletal pain, contributing to delayed or missed diagnosis. Early identification is essential to prevent irreversible renal damage and optimize patient outcomes. Imaging plays a critical role in both the initial diagnosis and in determining the underlying etiology, which may include thromboembolism, in-situ thrombosis, vascular injury, or hypercoagulable states. CASE REPORT We describe a case of a 63-year-old woman with a history of coronary artery disease, diabetes mellitus, hormone replacement therapy, and a 42 pack-year smoking history, who presented with sudden-onset, severe left-flank pain. Initial laboratory results were nonspecific, with mild proteinuria and microscopic hematuria. Computed tomography (CT) angiography demonstrated severe stenosis of the superior left renal artery and extensive left renal infarction. A diagnosis of atherosclerotic renal infarction was made. She was treated with intravenous heparin, transitioned to dual antiplatelet therapy and high-intensity statin, and discharged with a 30-day cardiac event monitor. No arrhythmia was detected, and her thrombophilia workup was negative. Follow-up CT angiography 1 month later revealed complete resolution of the renal artery stenosis, with no residual narrowing or plaque. The transient nature of the vascular finding, along with the lack of structural atherosclerosis, prompted diagnostic reassessment, favoring an embolic mechanism possibly related to multiple modifiable prothrombotic clinical risk factors and unrecognized embolic sources. CONCLUSIONS This case illustrates the importance of follow-up imaging and clinical reassessment in differentiating embolic from atherosclerotic causes of renal infarction.

求助全文
通过发布文献求助,成功后即可免费获取论文全文。 去求助
来源期刊
American Journal of Case Reports
American Journal of Case Reports Medicine-Medicine (all)
CiteScore
1.80
自引率
0.00%
发文量
599
期刊介绍: American Journal of Case Reports is an international, peer-reviewed scientific journal that publishes single and series case reports in all medical fields. American Journal of Case Reports is issued on a continuous basis as a primary electronic journal. Print copies of a single article or a set of articles can be ordered on demand.
×
引用
GB/T 7714-2015
复制
MLA
复制
APA
复制
导出至
BibTeX EndNote RefMan NoteFirst NoteExpress
×
提示
您的信息不完整,为了账户安全,请先补充。
现在去补充
×
提示
您因"违规操作"
具体请查看互助需知
我知道了
×
提示
确定
请完成安全验证×
copy
已复制链接
快去分享给好友吧!
我知道了
右上角分享
点击右上角分享
0
联系我们:info@booksci.cn Book学术提供免费学术资源搜索服务,方便国内外学者检索中英文文献。致力于提供最便捷和优质的服务体验。 Copyright © 2023 布克学术 All rights reserved.
京ICP备2023020795号-1
ghs 京公网安备 11010802042870号
Book学术文献互助
Book学术文献互助群
群 号:604180095
Book学术官方微信