胸腔镜入路治疗青少年原发性胸腺包虫病1例。

IF 0.7 Q3 MEDICINE, GENERAL & INTERNAL
Mohammad Al-Hurani, Yousef Al-Hadrab, Khaleel Raslan Ayoub, Amjad Al-Salhi, Hala Sadi Al-Sarsour, Gregor Jan Kocher
{"title":"胸腔镜入路治疗青少年原发性胸腺包虫病1例。","authors":"Mohammad Al-Hurani, Yousef Al-Hadrab, Khaleel Raslan Ayoub, Amjad Al-Salhi, Hala Sadi Al-Sarsour, Gregor Jan Kocher","doi":"10.12659/AJCR.948600","DOIUrl":null,"url":null,"abstract":"<p><p>BACKGROUND Hydatid disease remains a major clinical concern, particularly in regions where it is endemic. This parasitic infection is caused by Echinococcus species. The liver and lungs are the most affected organs. Although the lungs are the most commonly affected intrathoracic organ, extrapulmonary intrathoracic hydatid disease is uncommon. However, primary mediastinal hydatid disease is a rare entity, and a primary hydatid cyst in the thymus is extremely rare. Although video-assisted thoracoscopic surgery (VATS) plays an important role in the field of thoracic surgery, its role in treating hydatid disease in the chest is not well established. This report describes a case of 17-year-old male presenting with primary hydatid cyst of the thymus treated thoracoscopically. CASE REPORT A 17-year-old male presented to our clinic with chest tightness and shortness of breath of 3 months duration. A well-defined opacity was identified on chest radiography. Subsequent computed tomography (CT) revealed a large, well-defined cystic lesion in the left hemithorax, measuring 6.5×7×11 cm. He was later scheduled for VATS to resect the cyst, which was found to be in continuity with the thymic gland. An en bloc thymectomy was performed to ensure complete peri-cystectomy. CONCLUSIONS This case is unique not only because it describes a rare location of hydatid disease, but also due to the technique of resection that was used. Based on our literature review, this is among the earliest reported cases of a hydatid cyst in this location resected via thoracoscopy. Furthermore, compared with thoracotomy, VATS offers faster recovery and reduced postoperative pain, and its application in similar cases should be further explored.</p>","PeriodicalId":39064,"journal":{"name":"American Journal of Case Reports","volume":"26 ","pages":"e948600"},"PeriodicalIF":0.7000,"publicationDate":"2025-08-22","publicationTypes":"Journal Article","fieldsOfStudy":null,"isOpenAccess":false,"openAccessPdf":"https://www.ncbi.nlm.nih.gov/pmc/articles/PMC12379743/pdf/","citationCount":"0","resultStr":"{\"title\":\"Thoracoscopic Approach for Treating a Primary Hydatid Cyst in the Thymus in a Teenager: A Case Report.\",\"authors\":\"Mohammad Al-Hurani, Yousef Al-Hadrab, Khaleel Raslan Ayoub, Amjad Al-Salhi, Hala Sadi Al-Sarsour, Gregor Jan Kocher\",\"doi\":\"10.12659/AJCR.948600\",\"DOIUrl\":null,\"url\":null,\"abstract\":\"<p><p>BACKGROUND Hydatid disease remains a major clinical concern, particularly in regions where it is endemic. This parasitic infection is caused by Echinococcus species. The liver and lungs are the most affected organs. Although the lungs are the most commonly affected intrathoracic organ, extrapulmonary intrathoracic hydatid disease is uncommon. However, primary mediastinal hydatid disease is a rare entity, and a primary hydatid cyst in the thymus is extremely rare. Although video-assisted thoracoscopic surgery (VATS) plays an important role in the field of thoracic surgery, its role in treating hydatid disease in the chest is not well established. This report describes a case of 17-year-old male presenting with primary hydatid cyst of the thymus treated thoracoscopically. CASE REPORT A 17-year-old male presented to our clinic with chest tightness and shortness of breath of 3 months duration. A well-defined opacity was identified on chest radiography. Subsequent computed tomography (CT) revealed a large, well-defined cystic lesion in the left hemithorax, measuring 6.5×7×11 cm. He was later scheduled for VATS to resect the cyst, which was found to be in continuity with the thymic gland. An en bloc thymectomy was performed to ensure complete peri-cystectomy. CONCLUSIONS This case is unique not only because it describes a rare location of hydatid disease, but also due to the technique of resection that was used. Based on our literature review, this is among the earliest reported cases of a hydatid cyst in this location resected via thoracoscopy. Furthermore, compared with thoracotomy, VATS offers faster recovery and reduced postoperative pain, and its application in similar cases should be further explored.</p>\",\"PeriodicalId\":39064,\"journal\":{\"name\":\"American Journal of Case Reports\",\"volume\":\"26 \",\"pages\":\"e948600\"},\"PeriodicalIF\":0.7000,\"publicationDate\":\"2025-08-22\",\"publicationTypes\":\"Journal Article\",\"fieldsOfStudy\":null,\"isOpenAccess\":false,\"openAccessPdf\":\"https://www.ncbi.nlm.nih.gov/pmc/articles/PMC12379743/pdf/\",\"citationCount\":\"0\",\"resultStr\":null,\"platform\":\"Semanticscholar\",\"paperid\":null,\"PeriodicalName\":\"American Journal of Case Reports\",\"FirstCategoryId\":\"1085\",\"ListUrlMain\":\"https://doi.org/10.12659/AJCR.948600\",\"RegionNum\":0,\"RegionCategory\":null,\"ArticlePicture\":[],\"TitleCN\":null,\"AbstractTextCN\":null,\"PMCID\":null,\"EPubDate\":\"\",\"PubModel\":\"\",\"JCR\":\"Q3\",\"JCRName\":\"MEDICINE, GENERAL & INTERNAL\",\"Score\":null,\"Total\":0}","platform":"Semanticscholar","paperid":null,"PeriodicalName":"American Journal of Case Reports","FirstCategoryId":"1085","ListUrlMain":"https://doi.org/10.12659/AJCR.948600","RegionNum":0,"RegionCategory":null,"ArticlePicture":[],"TitleCN":null,"AbstractTextCN":null,"PMCID":null,"EPubDate":"","PubModel":"","JCR":"Q3","JCRName":"MEDICINE, GENERAL & INTERNAL","Score":null,"Total":0}
引用次数: 0

摘要

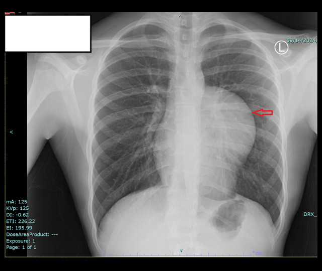
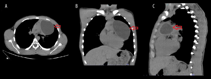
背景:包虫病仍然是一个主要的临床问题,特别是在流行包虫病的地区。这种寄生虫感染是由棘球绦虫引起的。肝和肺是受影响最严重的器官。尽管肺是最常见的胸内脏器,但肺外的胸内包虫病并不常见。然而,原发性纵隔包虫病是一种罕见的疾病,而胸腺的原发性包虫病更是极为罕见。尽管视频胸腔镜手术在胸外科领域发挥着重要作用,但其在治疗胸部包虫病中的作用尚不明确。本文报告一例17岁男性胸腔镜下胸腺包虫病原发治疗。病例报告一名17岁男性因胸闷、呼吸短促3个月前来就诊。胸片上可见明显的混浊。随后的计算机断层扫描(CT)显示在左半胸有一个大的、界限明确的囊性病变,尺寸为6.5×7×11 cm。他后来被安排进行VATS手术切除囊肿,发现囊肿与胸腺有连续性。整体胸腺切除术,以确保完全切除膀胱周围。结论:该病例的独特之处不仅在于它描述了一种罕见的包虫病部位,还在于所采用的切除技术。根据我们的文献回顾,这是最早报道的通过胸腔镜切除该部位包虫病的病例之一。此外,与开胸手术相比,VATS恢复更快,术后疼痛减轻,在类似病例中的应用有待进一步探讨。
本文章由计算机程序翻译,如有差异,请以英文原文为准。

Thoracoscopic Approach for Treating a Primary Hydatid Cyst in the Thymus in a Teenager: A Case Report.

Thoracoscopic Approach for Treating a Primary Hydatid Cyst in the Thymus in a Teenager: A Case Report.

Thoracoscopic Approach for Treating a Primary Hydatid Cyst in the Thymus in a Teenager: A Case Report.

Thoracoscopic Approach for Treating a Primary Hydatid Cyst in the Thymus in a Teenager: A Case Report.

BACKGROUND Hydatid disease remains a major clinical concern, particularly in regions where it is endemic. This parasitic infection is caused by Echinococcus species. The liver and lungs are the most affected organs. Although the lungs are the most commonly affected intrathoracic organ, extrapulmonary intrathoracic hydatid disease is uncommon. However, primary mediastinal hydatid disease is a rare entity, and a primary hydatid cyst in the thymus is extremely rare. Although video-assisted thoracoscopic surgery (VATS) plays an important role in the field of thoracic surgery, its role in treating hydatid disease in the chest is not well established. This report describes a case of 17-year-old male presenting with primary hydatid cyst of the thymus treated thoracoscopically. CASE REPORT A 17-year-old male presented to our clinic with chest tightness and shortness of breath of 3 months duration. A well-defined opacity was identified on chest radiography. Subsequent computed tomography (CT) revealed a large, well-defined cystic lesion in the left hemithorax, measuring 6.5×7×11 cm. He was later scheduled for VATS to resect the cyst, which was found to be in continuity with the thymic gland. An en bloc thymectomy was performed to ensure complete peri-cystectomy. CONCLUSIONS This case is unique not only because it describes a rare location of hydatid disease, but also due to the technique of resection that was used. Based on our literature review, this is among the earliest reported cases of a hydatid cyst in this location resected via thoracoscopy. Furthermore, compared with thoracotomy, VATS offers faster recovery and reduced postoperative pain, and its application in similar cases should be further explored.

求助全文
通过发布文献求助,成功后即可免费获取论文全文。 去求助
来源期刊
American Journal of Case Reports
American Journal of Case Reports Medicine-Medicine (all)
CiteScore
1.80
自引率
0.00%
发文量
599
期刊介绍: American Journal of Case Reports is an international, peer-reviewed scientific journal that publishes single and series case reports in all medical fields. American Journal of Case Reports is issued on a continuous basis as a primary electronic journal. Print copies of a single article or a set of articles can be ordered on demand.
×
引用
GB/T 7714-2015
复制
MLA
复制
APA
复制
导出至
BibTeX EndNote RefMan NoteFirst NoteExpress
×
提示
您的信息不完整,为了账户安全,请先补充。
现在去补充
×
提示
您因"违规操作"
具体请查看互助需知
我知道了
×
提示
确定
请完成安全验证×
copy
已复制链接
快去分享给好友吧!
我知道了
右上角分享
点击右上角分享
0
联系我们:info@booksci.cn Book学术提供免费学术资源搜索服务,方便国内外学者检索中英文文献。致力于提供最便捷和优质的服务体验。 Copyright © 2023 布克学术 All rights reserved.
京ICP备2023020795号-1
ghs 京公网安备 11010802042870号
Book学术文献互助
Book学术文献互助群
群 号:604180095
Book学术官方微信