51岁男性黏膜下盲肠脂肪瘤模拟恶性肿瘤:常规结肠镜检查的诊断挑战。

IF 0.7 Q3 MEDICINE, GENERAL & INTERNAL
Meiling Sun, Lifeng Wang
{"title":"51岁男性黏膜下盲肠脂肪瘤模拟恶性肿瘤:常规结肠镜检查的诊断挑战。","authors":"Meiling Sun, Lifeng Wang","doi":"10.12659/AJCR.947482","DOIUrl":null,"url":null,"abstract":"<p><p>BACKGROUND Benign submucosal tumors of the large bowel include lipomas and smooth muscle tumors, which can be a diagnostic challenge since they appear as nodules or masses on colonoscopy. This report describes the case of a 51-year-old man with a submucosal lipoma of the cecum diagnosed as an incidental finding during routine colonoscopy. CASE REPORT On April 29, 2024, a 51-year-old male patient was found during colonoscopy to have a submucosal mass in the cecum, with surface ulceration, raising suspicion of malignancy. However, endoscopic biopsy showed no evidence of malignant components. For further evaluation and treatment, the patient underwent laparoscopic right hemicolectomy on May 7, 2024. Postoperative pathology results confirmed that the submucosal mass in the cecum was a lipoma. CONCLUSIONS Even though modern gastrointestinal endoscopy has made significant advancements, the diagnosis of a benign or malignant nature in some gastrointestinal submucosal masses remains a challenge in clinical practice today. It is worth noting that benign submucosal masses of the cecum can also present with various colonoscopy findings that look like malignant tumors, with or without symptoms.</p>","PeriodicalId":39064,"journal":{"name":"American Journal of Case Reports","volume":"26 ","pages":"e947482"},"PeriodicalIF":0.7000,"publicationDate":"2025-08-26","publicationTypes":"Journal Article","fieldsOfStudy":null,"isOpenAccess":false,"openAccessPdf":"https://www.ncbi.nlm.nih.gov/pmc/articles/PMC12398251/pdf/","citationCount":"0","resultStr":"{\"title\":\"Submucosal Cecal Lipoma Mimicking Malignancy in a 51-Year-Old Man: A Diagnostic Challenge in Routine Colonoscopy.\",\"authors\":\"Meiling Sun, Lifeng Wang\",\"doi\":\"10.12659/AJCR.947482\",\"DOIUrl\":null,\"url\":null,\"abstract\":\"<p><p>BACKGROUND Benign submucosal tumors of the large bowel include lipomas and smooth muscle tumors, which can be a diagnostic challenge since they appear as nodules or masses on colonoscopy. This report describes the case of a 51-year-old man with a submucosal lipoma of the cecum diagnosed as an incidental finding during routine colonoscopy. CASE REPORT On April 29, 2024, a 51-year-old male patient was found during colonoscopy to have a submucosal mass in the cecum, with surface ulceration, raising suspicion of malignancy. However, endoscopic biopsy showed no evidence of malignant components. For further evaluation and treatment, the patient underwent laparoscopic right hemicolectomy on May 7, 2024. Postoperative pathology results confirmed that the submucosal mass in the cecum was a lipoma. CONCLUSIONS Even though modern gastrointestinal endoscopy has made significant advancements, the diagnosis of a benign or malignant nature in some gastrointestinal submucosal masses remains a challenge in clinical practice today. It is worth noting that benign submucosal masses of the cecum can also present with various colonoscopy findings that look like malignant tumors, with or without symptoms.</p>\",\"PeriodicalId\":39064,\"journal\":{\"name\":\"American Journal of Case Reports\",\"volume\":\"26 \",\"pages\":\"e947482\"},\"PeriodicalIF\":0.7000,\"publicationDate\":\"2025-08-26\",\"publicationTypes\":\"Journal Article\",\"fieldsOfStudy\":null,\"isOpenAccess\":false,\"openAccessPdf\":\"https://www.ncbi.nlm.nih.gov/pmc/articles/PMC12398251/pdf/\",\"citationCount\":\"0\",\"resultStr\":null,\"platform\":\"Semanticscholar\",\"paperid\":null,\"PeriodicalName\":\"American Journal of Case Reports\",\"FirstCategoryId\":\"1085\",\"ListUrlMain\":\"https://doi.org/10.12659/AJCR.947482\",\"RegionNum\":0,\"RegionCategory\":null,\"ArticlePicture\":[],\"TitleCN\":null,\"AbstractTextCN\":null,\"PMCID\":null,\"EPubDate\":\"\",\"PubModel\":\"\",\"JCR\":\"Q3\",\"JCRName\":\"MEDICINE, GENERAL & INTERNAL\",\"Score\":null,\"Total\":0}","platform":"Semanticscholar","paperid":null,"PeriodicalName":"American Journal of Case Reports","FirstCategoryId":"1085","ListUrlMain":"https://doi.org/10.12659/AJCR.947482","RegionNum":0,"RegionCategory":null,"ArticlePicture":[],"TitleCN":null,"AbstractTextCN":null,"PMCID":null,"EPubDate":"","PubModel":"","JCR":"Q3","JCRName":"MEDICINE, GENERAL & INTERNAL","Score":null,"Total":0}
引用次数: 0

摘要

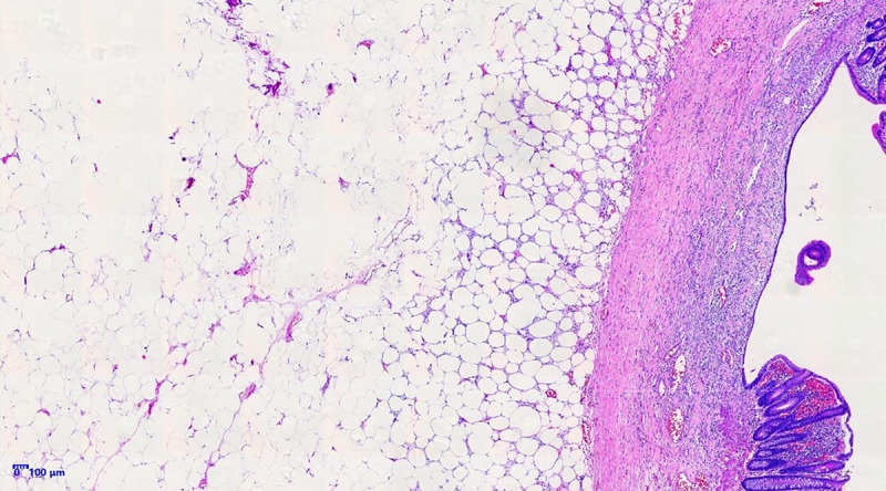
背景:大肠粘膜下良性肿瘤包括脂肪瘤和平滑肌肿瘤,由于它们在结肠镜检查时表现为结节或肿块,因此可能是一个诊断难题。本报告描述一例51岁男性盲肠粘膜下脂肪瘤诊断为偶然发现在常规结肠镜检查。病例报告:2024年4月29日,51岁男性患者在结肠镜检查时发现盲肠粘膜下肿物,表面溃疡,怀疑为恶性。然而,内窥镜活检显示没有恶性成分的证据。为进一步评估和治疗,患者于2024年5月7日行腹腔镜右半结肠切除术。术后病理证实盲肠粘膜下肿物为脂肪瘤。结论:尽管现代胃肠内镜已经取得了显著的进步,但在临床上,一些胃肠道粘膜下肿物的良恶性诊断仍然是一个挑战。值得注意的是,盲肠的良性粘膜下肿物也可能出现各种结肠镜检查结果,看起来像恶性肿瘤,有或无症状。
本文章由计算机程序翻译,如有差异,请以英文原文为准。

Submucosal Cecal Lipoma Mimicking Malignancy in a 51-Year-Old Man: A Diagnostic Challenge in Routine Colonoscopy.

Submucosal Cecal Lipoma Mimicking Malignancy in a 51-Year-Old Man: A Diagnostic Challenge in Routine Colonoscopy.

Submucosal Cecal Lipoma Mimicking Malignancy in a 51-Year-Old Man: A Diagnostic Challenge in Routine Colonoscopy.

BACKGROUND Benign submucosal tumors of the large bowel include lipomas and smooth muscle tumors, which can be a diagnostic challenge since they appear as nodules or masses on colonoscopy. This report describes the case of a 51-year-old man with a submucosal lipoma of the cecum diagnosed as an incidental finding during routine colonoscopy. CASE REPORT On April 29, 2024, a 51-year-old male patient was found during colonoscopy to have a submucosal mass in the cecum, with surface ulceration, raising suspicion of malignancy. However, endoscopic biopsy showed no evidence of malignant components. For further evaluation and treatment, the patient underwent laparoscopic right hemicolectomy on May 7, 2024. Postoperative pathology results confirmed that the submucosal mass in the cecum was a lipoma. CONCLUSIONS Even though modern gastrointestinal endoscopy has made significant advancements, the diagnosis of a benign or malignant nature in some gastrointestinal submucosal masses remains a challenge in clinical practice today. It is worth noting that benign submucosal masses of the cecum can also present with various colonoscopy findings that look like malignant tumors, with or without symptoms.

求助全文
通过发布文献求助,成功后即可免费获取论文全文。 去求助
来源期刊
American Journal of Case Reports
American Journal of Case Reports Medicine-Medicine (all)
CiteScore
1.80
自引率
0.00%
发文量
599
期刊介绍: American Journal of Case Reports is an international, peer-reviewed scientific journal that publishes single and series case reports in all medical fields. American Journal of Case Reports is issued on a continuous basis as a primary electronic journal. Print copies of a single article or a set of articles can be ordered on demand.
×
引用
GB/T 7714-2015
复制
MLA
复制
APA
复制
导出至
BibTeX EndNote RefMan NoteFirst NoteExpress
×
提示
您的信息不完整,为了账户安全,请先补充。
现在去补充
×
提示
您因"违规操作"
具体请查看互助需知
我知道了
×
提示
确定
请完成安全验证×
copy
已复制链接
快去分享给好友吧!
我知道了
右上角分享
点击右上角分享
0
联系我们:info@booksci.cn Book学术提供免费学术资源搜索服务,方便国内外学者检索中英文文献。致力于提供最便捷和优质的服务体验。 Copyright © 2023 布克学术 All rights reserved.
京ICP备2023020795号-1
ghs 京公网安备 11010802042870号
Book学术文献互助
Book学术文献互助群
群 号:604180095
Book学术官方微信