原发性肝神经内分泌癌的快速进展:一例报告显示剧烈的肿瘤行为。

IF 0.7 Q3 MEDICINE, GENERAL & INTERNAL
Rina Kobayashi, Tomohide Hori, Makoto Yamawaki, Shigeki Nakayama, Satoru Umegae, Takao Iwanaga, Ryutaro Nishikawa, Takahiro Shimoyama, Sakurako Suzuki, Shinichiro Atsumi, Hiroshi Hasegawa, Shigehito Nakashima, Kunihiro Higuchi, Kentaro Onishi, Ryotaro Sakaguchi, Shoichi Morita, Haruka Miyao, Saki Aota, Hikaru Ohtani, Takayuki Yamamoto
{"title":"原发性肝神经内分泌癌的快速进展:一例报告显示剧烈的肿瘤行为。","authors":"Rina Kobayashi, Tomohide Hori, Makoto Yamawaki, Shigeki Nakayama, Satoru Umegae, Takao Iwanaga, Ryutaro Nishikawa, Takahiro Shimoyama, Sakurako Suzuki, Shinichiro Atsumi, Hiroshi Hasegawa, Shigehito Nakashima, Kunihiro Higuchi, Kentaro Onishi, Ryotaro Sakaguchi, Shoichi Morita, Haruka Miyao, Saki Aota, Hikaru Ohtani, Takayuki Yamamoto","doi":"10.12659/AJCR.948500","DOIUrl":null,"url":null,"abstract":"<p><p>BACKGROUND Primary hepatic neuroendocrine neoplasms (PHNENs), including primary hepatic neuroendocrine carcinoma (PHNEC), are extremely rare. PHNENs typically exhibit slow growth, although mixed neuroendocrine-non-neuroendocrine neoplasms have poor prognoses. PHNENs are also challenging to diagnose. CASE REPORT A 73-year-old man underwent plain computed tomography (CT), which incidentally detected a 42-mm solitary hepatic tumor. Serum levels of protein induced by vitamin K absence or antagonist-II (PIVKA-II) were elevated at 138 mAU/mL. Thirteen days later, magnetic resonance imaging (MRI) revealed an enlarged hepatic tumor with tumor thromboses extending into the hepatic and portal veins. No early-phase enhancement was observed. At 18 days, Doppler ultrasound and dynamic CT evaluated the tumor as hypovascular, and a newly swollen solitary lymph node appeared. At 39 days, positron emission tomography (PET)/CT revealed strong uptake in the primary liver tumor and metastatic lymph nodes, with additional distant lymph node metastases emerging. At 49 days, a metastatic cervical lymph node was surgically resected. At 61 days, PHNEC was definitively diagnosed based on histopathological and immunohistochemical assessments. The Ki-67 labeling index was >90%. At 67 days, he was hospitalized to begin chemotherapy, but CT revealed end-stage disease. Palliative treatment was required, and the patient died of cancer 82 days after the initial diagnosis. CONCLUSIONS We have presented a thought-provoking case of PHNEC with rapid oncological progression. To clarify clinical implications (eg, atypical imaging features and diagnostic pitfalls), detailed imaging findings are provided. We anticipate that this case will be informative for clinicians in this field.</p>","PeriodicalId":39064,"journal":{"name":"American Journal of Case Reports","volume":"26 ","pages":"e948500"},"PeriodicalIF":0.7000,"publicationDate":"2025-08-25","publicationTypes":"Journal Article","fieldsOfStudy":null,"isOpenAccess":false,"openAccessPdf":"https://www.ncbi.nlm.nih.gov/pmc/articles/PMC12396091/pdf/","citationCount":"0","resultStr":"{\"title\":\"Rapid Progression of Primary Hepatic Neuroendocrine Carcinoma: A Case Report Demonstrating Drastic Oncological Behavior.\",\"authors\":\"Rina Kobayashi, Tomohide Hori, Makoto Yamawaki, Shigeki Nakayama, Satoru Umegae, Takao Iwanaga, Ryutaro Nishikawa, Takahiro Shimoyama, Sakurako Suzuki, Shinichiro Atsumi, Hiroshi Hasegawa, Shigehito Nakashima, Kunihiro Higuchi, Kentaro Onishi, Ryotaro Sakaguchi, Shoichi Morita, Haruka Miyao, Saki Aota, Hikaru Ohtani, Takayuki Yamamoto\",\"doi\":\"10.12659/AJCR.948500\",\"DOIUrl\":null,\"url\":null,\"abstract\":\"<p><p>BACKGROUND Primary hepatic neuroendocrine neoplasms (PHNENs), including primary hepatic neuroendocrine carcinoma (PHNEC), are extremely rare. PHNENs typically exhibit slow growth, although mixed neuroendocrine-non-neuroendocrine neoplasms have poor prognoses. PHNENs are also challenging to diagnose. CASE REPORT A 73-year-old man underwent plain computed tomography (CT), which incidentally detected a 42-mm solitary hepatic tumor. Serum levels of protein induced by vitamin K absence or antagonist-II (PIVKA-II) were elevated at 138 mAU/mL. Thirteen days later, magnetic resonance imaging (MRI) revealed an enlarged hepatic tumor with tumor thromboses extending into the hepatic and portal veins. No early-phase enhancement was observed. At 18 days, Doppler ultrasound and dynamic CT evaluated the tumor as hypovascular, and a newly swollen solitary lymph node appeared. At 39 days, positron emission tomography (PET)/CT revealed strong uptake in the primary liver tumor and metastatic lymph nodes, with additional distant lymph node metastases emerging. At 49 days, a metastatic cervical lymph node was surgically resected. At 61 days, PHNEC was definitively diagnosed based on histopathological and immunohistochemical assessments. The Ki-67 labeling index was >90%. At 67 days, he was hospitalized to begin chemotherapy, but CT revealed end-stage disease. Palliative treatment was required, and the patient died of cancer 82 days after the initial diagnosis. CONCLUSIONS We have presented a thought-provoking case of PHNEC with rapid oncological progression. To clarify clinical implications (eg, atypical imaging features and diagnostic pitfalls), detailed imaging findings are provided. We anticipate that this case will be informative for clinicians in this field.</p>\",\"PeriodicalId\":39064,\"journal\":{\"name\":\"American Journal of Case Reports\",\"volume\":\"26 \",\"pages\":\"e948500\"},\"PeriodicalIF\":0.7000,\"publicationDate\":\"2025-08-25\",\"publicationTypes\":\"Journal Article\",\"fieldsOfStudy\":null,\"isOpenAccess\":false,\"openAccessPdf\":\"https://www.ncbi.nlm.nih.gov/pmc/articles/PMC12396091/pdf/\",\"citationCount\":\"0\",\"resultStr\":null,\"platform\":\"Semanticscholar\",\"paperid\":null,\"PeriodicalName\":\"American Journal of Case Reports\",\"FirstCategoryId\":\"1085\",\"ListUrlMain\":\"https://doi.org/10.12659/AJCR.948500\",\"RegionNum\":0,\"RegionCategory\":null,\"ArticlePicture\":[],\"TitleCN\":null,\"AbstractTextCN\":null,\"PMCID\":null,\"EPubDate\":\"\",\"PubModel\":\"\",\"JCR\":\"Q3\",\"JCRName\":\"MEDICINE, GENERAL & INTERNAL\",\"Score\":null,\"Total\":0}","platform":"Semanticscholar","paperid":null,"PeriodicalName":"American Journal of Case Reports","FirstCategoryId":"1085","ListUrlMain":"https://doi.org/10.12659/AJCR.948500","RegionNum":0,"RegionCategory":null,"ArticlePicture":[],"TitleCN":null,"AbstractTextCN":null,"PMCID":null,"EPubDate":"","PubModel":"","JCR":"Q3","JCRName":"MEDICINE, GENERAL & INTERNAL","Score":null,"Total":0}
引用次数: 0

摘要

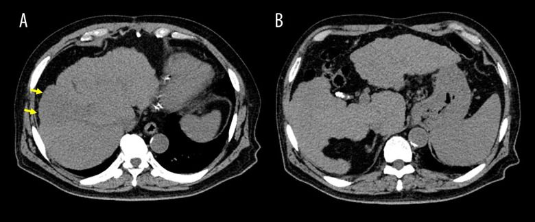
原发性肝神经内分泌肿瘤(PHNENs),包括原发性肝神经内分泌癌(PHNEC),是非常罕见的。尽管混合神经内分泌-非神经内分泌肿瘤预后较差,但PHNENs通常表现为生长缓慢。PHNENs的诊断也具有挑战性。病例报告一名73岁男性接受CT平扫时,偶然发现一个42毫米的孤立性肝脏肿瘤。缺乏维生素K或PIVKA-II诱导的血清蛋白水平升高至138 mAU/mL。13天后,磁共振成像(MRI)显示肝脏肿瘤扩大,肿瘤血栓延伸到肝静脉和门静脉。未观察到早期增强。第18天,多普勒超声和动态CT评估肿瘤为低血管,并出现新的肿胀的孤立淋巴结。第39天,正电子发射断层扫描(PET)/CT显示原发性肝脏肿瘤和转移性淋巴结强烈摄取,并出现其他远处淋巴结转移。第49天,手术切除转移性颈部淋巴结。在第61天,根据组织病理学和免疫组织化学评估明确诊断PHNEC。Ki-67标记指数为90%。在第67天,他住院开始化疗,但CT显示终末期疾病。需要姑息治疗,患者在最初诊断后82天死于癌症。结论:我们报告了一个令人深思的PHNEC病例,肿瘤进展迅速。为了阐明临床意义(例如,非典型影像特征和诊断缺陷),提供了详细的影像结果。我们期望这个病例将对该领域的临床医生提供信息。
本文章由计算机程序翻译,如有差异,请以英文原文为准。

Rapid Progression of Primary Hepatic Neuroendocrine Carcinoma: A Case Report Demonstrating Drastic Oncological Behavior.

Rapid Progression of Primary Hepatic Neuroendocrine Carcinoma: A Case Report Demonstrating Drastic Oncological Behavior.

Rapid Progression of Primary Hepatic Neuroendocrine Carcinoma: A Case Report Demonstrating Drastic Oncological Behavior.

Rapid Progression of Primary Hepatic Neuroendocrine Carcinoma: A Case Report Demonstrating Drastic Oncological Behavior.

BACKGROUND Primary hepatic neuroendocrine neoplasms (PHNENs), including primary hepatic neuroendocrine carcinoma (PHNEC), are extremely rare. PHNENs typically exhibit slow growth, although mixed neuroendocrine-non-neuroendocrine neoplasms have poor prognoses. PHNENs are also challenging to diagnose. CASE REPORT A 73-year-old man underwent plain computed tomography (CT), which incidentally detected a 42-mm solitary hepatic tumor. Serum levels of protein induced by vitamin K absence or antagonist-II (PIVKA-II) were elevated at 138 mAU/mL. Thirteen days later, magnetic resonance imaging (MRI) revealed an enlarged hepatic tumor with tumor thromboses extending into the hepatic and portal veins. No early-phase enhancement was observed. At 18 days, Doppler ultrasound and dynamic CT evaluated the tumor as hypovascular, and a newly swollen solitary lymph node appeared. At 39 days, positron emission tomography (PET)/CT revealed strong uptake in the primary liver tumor and metastatic lymph nodes, with additional distant lymph node metastases emerging. At 49 days, a metastatic cervical lymph node was surgically resected. At 61 days, PHNEC was definitively diagnosed based on histopathological and immunohistochemical assessments. The Ki-67 labeling index was >90%. At 67 days, he was hospitalized to begin chemotherapy, but CT revealed end-stage disease. Palliative treatment was required, and the patient died of cancer 82 days after the initial diagnosis. CONCLUSIONS We have presented a thought-provoking case of PHNEC with rapid oncological progression. To clarify clinical implications (eg, atypical imaging features and diagnostic pitfalls), detailed imaging findings are provided. We anticipate that this case will be informative for clinicians in this field.

求助全文
通过发布文献求助,成功后即可免费获取论文全文。 去求助
来源期刊
American Journal of Case Reports
American Journal of Case Reports Medicine-Medicine (all)
CiteScore
1.80
自引率
0.00%
发文量
599
期刊介绍: American Journal of Case Reports is an international, peer-reviewed scientific journal that publishes single and series case reports in all medical fields. American Journal of Case Reports is issued on a continuous basis as a primary electronic journal. Print copies of a single article or a set of articles can be ordered on demand.
×
引用
GB/T 7714-2015
复制
MLA
复制
APA
复制
导出至
BibTeX EndNote RefMan NoteFirst NoteExpress
×
提示
您的信息不完整,为了账户安全,请先补充。
现在去补充
×
提示
您因"违规操作"
具体请查看互助需知
我知道了
×
提示
确定
请完成安全验证×
copy
已复制链接
快去分享给好友吧!
我知道了
右上角分享
点击右上角分享
0
联系我们:info@booksci.cn Book学术提供免费学术资源搜索服务,方便国内外学者检索中英文文献。致力于提供最便捷和优质的服务体验。 Copyright © 2023 布克学术 All rights reserved.
京ICP备2023020795号-1
ghs 京公网安备 11010802042870号
Book学术文献互助
Book学术文献互助群
群 号:604180095
Book学术官方微信