脑炎性淀粉样血管病:对治疗的反应。

Q3 Medicine
Dementia e Neuropsychologia Pub Date : 2025-08-18 eCollection Date: 2025-01-01 DOI:10.1590/1980-5764-DN-2024-0263
João Roberto Ribeiro Pimenta, Júlian Letícia Freitas, Maria Sheila Guimarães Rocha, Sonia Maria Dozzi Brucki
{"title":"脑炎性淀粉样血管病:对治疗的反应。","authors":"João Roberto Ribeiro Pimenta, Júlian Letícia Freitas, Maria Sheila Guimarães Rocha, Sonia Maria Dozzi Brucki","doi":"10.1590/1980-5764-DN-2024-0263","DOIUrl":null,"url":null,"abstract":"<p><p>Cerebral Amyloid Angiopathy (CAA) is a small vessel disease associated with β-amyloid (Aβ) deposition in cortical and leptomeningeal vessels. Traditionally diagnosed through invasive methods, it can now be identified via advanced imaging modalities, enhancing non-invasive diagnostic accuracy. A subset of patients exhibits an inflammatory presentation, termed Inflammatory Cerebral Amyloid Angiopathy (CAA-RI), characterized by cognitive decline, behavioral changes, and neurological deficits. This study highlighted two cases of CAA-RI with subacute onset, detailed clinical progression, and distinct MRI findings consistent with revised diagnostic criteria, enabling early suspicion. Both cases showed significant improvement with immunosuppressive therapy, reinforcing the potentially reversible nature of CAA-RI and the importance of early recognition. This article underscores the relevance of advanced imaging in the differential diagnosis of CAA and the potential for improved patient outcomes with timely treatment.</p>","PeriodicalId":39167,"journal":{"name":"Dementia e Neuropsychologia","volume":"19 ","pages":"e20240263"},"PeriodicalIF":0.0000,"publicationDate":"2025-08-18","publicationTypes":"Journal Article","fieldsOfStudy":null,"isOpenAccess":false,"openAccessPdf":"https://www.ncbi.nlm.nih.gov/pmc/articles/PMC12364481/pdf/","citationCount":"0","resultStr":"{\"title\":\"Cerebral inflammatory amyloid angiopathy: response to treatment.\",\"authors\":\"João Roberto Ribeiro Pimenta, Júlian Letícia Freitas, Maria Sheila Guimarães Rocha, Sonia Maria Dozzi Brucki\",\"doi\":\"10.1590/1980-5764-DN-2024-0263\",\"DOIUrl\":null,\"url\":null,\"abstract\":\"<p><p>Cerebral Amyloid Angiopathy (CAA) is a small vessel disease associated with β-amyloid (Aβ) deposition in cortical and leptomeningeal vessels. Traditionally diagnosed through invasive methods, it can now be identified via advanced imaging modalities, enhancing non-invasive diagnostic accuracy. A subset of patients exhibits an inflammatory presentation, termed Inflammatory Cerebral Amyloid Angiopathy (CAA-RI), characterized by cognitive decline, behavioral changes, and neurological deficits. This study highlighted two cases of CAA-RI with subacute onset, detailed clinical progression, and distinct MRI findings consistent with revised diagnostic criteria, enabling early suspicion. Both cases showed significant improvement with immunosuppressive therapy, reinforcing the potentially reversible nature of CAA-RI and the importance of early recognition. This article underscores the relevance of advanced imaging in the differential diagnosis of CAA and the potential for improved patient outcomes with timely treatment.</p>\",\"PeriodicalId\":39167,\"journal\":{\"name\":\"Dementia e Neuropsychologia\",\"volume\":\"19 \",\"pages\":\"e20240263\"},\"PeriodicalIF\":0.0000,\"publicationDate\":\"2025-08-18\",\"publicationTypes\":\"Journal Article\",\"fieldsOfStudy\":null,\"isOpenAccess\":false,\"openAccessPdf\":\"https://www.ncbi.nlm.nih.gov/pmc/articles/PMC12364481/pdf/\",\"citationCount\":\"0\",\"resultStr\":null,\"platform\":\"Semanticscholar\",\"paperid\":null,\"PeriodicalName\":\"Dementia e Neuropsychologia\",\"FirstCategoryId\":\"1085\",\"ListUrlMain\":\"https://doi.org/10.1590/1980-5764-DN-2024-0263\",\"RegionNum\":0,\"RegionCategory\":null,\"ArticlePicture\":[],\"TitleCN\":null,\"AbstractTextCN\":null,\"PMCID\":null,\"EPubDate\":\"2025/1/1 0:00:00\",\"PubModel\":\"eCollection\",\"JCR\":\"Q3\",\"JCRName\":\"Medicine\",\"Score\":null,\"Total\":0}","platform":"Semanticscholar","paperid":null,"PeriodicalName":"Dementia e Neuropsychologia","FirstCategoryId":"1085","ListUrlMain":"https://doi.org/10.1590/1980-5764-DN-2024-0263","RegionNum":0,"RegionCategory":null,"ArticlePicture":[],"TitleCN":null,"AbstractTextCN":null,"PMCID":null,"EPubDate":"2025/1/1 0:00:00","PubModel":"eCollection","JCR":"Q3","JCRName":"Medicine","Score":null,"Total":0}
引用次数: 0

摘要

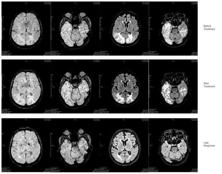
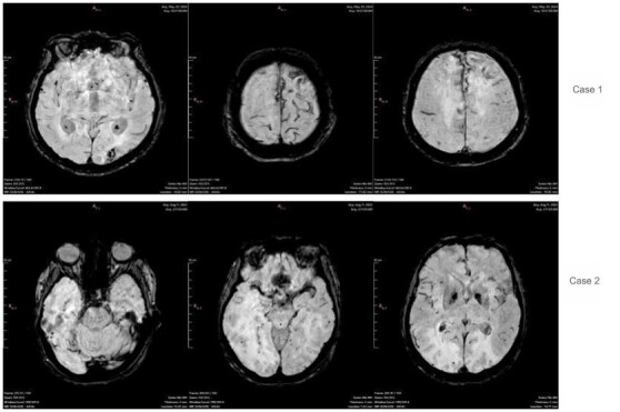
脑淀粉样血管病(CAA)是一种与β-淀粉样蛋白(a β)沉积在皮质和小脑膜血管相关的小血管疾病。传统上通过侵入性方法诊断,现在可以通过先进的成像模式来识别,提高了非侵入性诊断的准确性。一部分患者表现出炎症性表现,称为炎症性脑淀粉样血管病(CAA-RI),其特征是认知能力下降、行为改变和神经功能障碍。本研究重点介绍了两例CAA-RI,其亚急性发作,详细的临床进展,独特的MRI结果符合修订的诊断标准,能够早期怀疑。两例患者在免疫抑制治疗后均有显著改善,这加强了CAA-RI的潜在可逆性和早期识别的重要性。这篇文章强调了先进的影像学在CAA鉴别诊断中的重要性,以及通过及时治疗改善患者预后的潜力。
本文章由计算机程序翻译,如有差异,请以英文原文为准。

Cerebral inflammatory amyloid angiopathy: response to treatment.

Cerebral inflammatory amyloid angiopathy: response to treatment.

Cerebral inflammatory amyloid angiopathy: response to treatment.

Cerebral inflammatory amyloid angiopathy: response to treatment.

Cerebral Amyloid Angiopathy (CAA) is a small vessel disease associated with β-amyloid (Aβ) deposition in cortical and leptomeningeal vessels. Traditionally diagnosed through invasive methods, it can now be identified via advanced imaging modalities, enhancing non-invasive diagnostic accuracy. A subset of patients exhibits an inflammatory presentation, termed Inflammatory Cerebral Amyloid Angiopathy (CAA-RI), characterized by cognitive decline, behavioral changes, and neurological deficits. This study highlighted two cases of CAA-RI with subacute onset, detailed clinical progression, and distinct MRI findings consistent with revised diagnostic criteria, enabling early suspicion. Both cases showed significant improvement with immunosuppressive therapy, reinforcing the potentially reversible nature of CAA-RI and the importance of early recognition. This article underscores the relevance of advanced imaging in the differential diagnosis of CAA and the potential for improved patient outcomes with timely treatment.

求助全文
通过发布文献求助,成功后即可免费获取论文全文。 去求助
来源期刊
Dementia e Neuropsychologia
Dementia e Neuropsychologia Medicine-Geriatrics and Gerontology
CiteScore
2.20
自引率
0.00%
发文量
58
审稿时长
8 weeks
期刊介绍: Dementia top Neuropsychologia the official scientific journal of the Cognitive Neurology and Ageing Department of the Brazilian Academy of Neurology and of the Brazilian Association of Geriatric Neuropsychiatry, is published by the "Associação Neurologia Cognitiva e do Comportamento", a nonprofit Brazilian association. Regularly published on March, June, September, and December since 2007.
×
引用
GB/T 7714-2015
复制
MLA
复制
APA
复制
导出至
BibTeX EndNote RefMan NoteFirst NoteExpress
×
提示
您的信息不完整,为了账户安全,请先补充。
现在去补充
×
提示
您因"违规操作"
具体请查看互助需知
我知道了
×
提示
确定
请完成安全验证×
copy
已复制链接
快去分享给好友吧!
我知道了
右上角分享
点击右上角分享
0
联系我们:info@booksci.cn Book学术提供免费学术资源搜索服务,方便国内外学者检索中英文文献。致力于提供最便捷和优质的服务体验。 Copyright © 2023 布克学术 All rights reserved.
京ICP备2023020795号-1
ghs 京公网安备 11010802042870号
Book学术文献互助
Book学术文献互助群
群 号:604180095
Book学术官方微信