胫骨骨折后快速发生静脉血栓1例。

IF 0.7 Q3 MEDICINE, GENERAL & INTERNAL
Caiquan Long, Zizhen Xie, Weili Luo, Haotian Wang
{"title":"胫骨骨折后快速发生静脉血栓1例。","authors":"Caiquan Long, Zizhen Xie, Weili Luo, Haotian Wang","doi":"10.12659/AJCR.948654","DOIUrl":null,"url":null,"abstract":"<p><p>BACKGROUND Conventional clinical understanding holds that venous thrombus formation typically occurs days after traumatic injury. However, our findings demonstrate that acute thrombosis can begin within 7.5 hours after fracture in knee trauma cases, challenging existing paradigms. CASE REPORT A 43-year-old man was admitted to the Emergency Department (ED) after an electric bicycle accident precipitated by acute-onset dizziness accompanied by visual disturbances. Initial radiographic evaluation confirmed a comminuted right proximal tibia fracture with concomitant multiple acute ischemic cerebral infarctions on neuroimaging. Compression ultrasonography performed in the ED showed no evidence of deep venous thrombosis in the lower extremities. However, markedly elevated D-dimer levels (9.39 mg/L; reference <0.5 mg/L) prompted high clinical suspicion for occult venous thromboembolism. Serial Doppler ultrasound surveillance revealed the rapid development of a free-floating thrombus in the right soleal vein within 7.5 hours after the fracture occurred. CONCLUSIONS This case report documents the exceptionally rapid development of venous thrombosis within 7.5 hours following a proximal tibia fracture, particularly in high-risk patients with comorbid conditions such as diabetes mellitus and ischemic stroke. These findings necessitate immediate reassessment of current thromboprophylaxis protocols in orthopedic trauma, emphasizing the critical importance of early and frequent vascular monitoring (including serial Doppler ultrasonography and D-dimer assessment) to detect hyperacute thrombus formation. Clinicians must maintain heightened awareness of this emergency thromboembolic risk while simultaneously managing hemorrhage concerns, as this case demonstrates that the traditional 24-hour prophylaxis window may be inadequate for certain high-risk trauma populations.</p>","PeriodicalId":39064,"journal":{"name":"American Journal of Case Reports","volume":"26 ","pages":"e948654"},"PeriodicalIF":0.7000,"publicationDate":"2025-08-31","publicationTypes":"Journal Article","fieldsOfStudy":null,"isOpenAccess":false,"openAccessPdf":"https://www.ncbi.nlm.nih.gov/pmc/articles/PMC12410108/pdf/","citationCount":"0","resultStr":"{\"title\":\"Rapid-Onset Venous Thrombosis After Tibia Fracture: A Case Report.\",\"authors\":\"Caiquan Long, Zizhen Xie, Weili Luo, Haotian Wang\",\"doi\":\"10.12659/AJCR.948654\",\"DOIUrl\":null,\"url\":null,\"abstract\":\"<p><p>BACKGROUND Conventional clinical understanding holds that venous thrombus formation typically occurs days after traumatic injury. However, our findings demonstrate that acute thrombosis can begin within 7.5 hours after fracture in knee trauma cases, challenging existing paradigms. CASE REPORT A 43-year-old man was admitted to the Emergency Department (ED) after an electric bicycle accident precipitated by acute-onset dizziness accompanied by visual disturbances. Initial radiographic evaluation confirmed a comminuted right proximal tibia fracture with concomitant multiple acute ischemic cerebral infarctions on neuroimaging. Compression ultrasonography performed in the ED showed no evidence of deep venous thrombosis in the lower extremities. However, markedly elevated D-dimer levels (9.39 mg/L; reference <0.5 mg/L) prompted high clinical suspicion for occult venous thromboembolism. Serial Doppler ultrasound surveillance revealed the rapid development of a free-floating thrombus in the right soleal vein within 7.5 hours after the fracture occurred. CONCLUSIONS This case report documents the exceptionally rapid development of venous thrombosis within 7.5 hours following a proximal tibia fracture, particularly in high-risk patients with comorbid conditions such as diabetes mellitus and ischemic stroke. These findings necessitate immediate reassessment of current thromboprophylaxis protocols in orthopedic trauma, emphasizing the critical importance of early and frequent vascular monitoring (including serial Doppler ultrasonography and D-dimer assessment) to detect hyperacute thrombus formation. Clinicians must maintain heightened awareness of this emergency thromboembolic risk while simultaneously managing hemorrhage concerns, as this case demonstrates that the traditional 24-hour prophylaxis window may be inadequate for certain high-risk trauma populations.</p>\",\"PeriodicalId\":39064,\"journal\":{\"name\":\"American Journal of Case Reports\",\"volume\":\"26 \",\"pages\":\"e948654\"},\"PeriodicalIF\":0.7000,\"publicationDate\":\"2025-08-31\",\"publicationTypes\":\"Journal Article\",\"fieldsOfStudy\":null,\"isOpenAccess\":false,\"openAccessPdf\":\"https://www.ncbi.nlm.nih.gov/pmc/articles/PMC12410108/pdf/\",\"citationCount\":\"0\",\"resultStr\":null,\"platform\":\"Semanticscholar\",\"paperid\":null,\"PeriodicalName\":\"American Journal of Case Reports\",\"FirstCategoryId\":\"1085\",\"ListUrlMain\":\"https://doi.org/10.12659/AJCR.948654\",\"RegionNum\":0,\"RegionCategory\":null,\"ArticlePicture\":[],\"TitleCN\":null,\"AbstractTextCN\":null,\"PMCID\":null,\"EPubDate\":\"\",\"PubModel\":\"\",\"JCR\":\"Q3\",\"JCRName\":\"MEDICINE, GENERAL & INTERNAL\",\"Score\":null,\"Total\":0}","platform":"Semanticscholar","paperid":null,"PeriodicalName":"American Journal of Case Reports","FirstCategoryId":"1085","ListUrlMain":"https://doi.org/10.12659/AJCR.948654","RegionNum":0,"RegionCategory":null,"ArticlePicture":[],"TitleCN":null,"AbstractTextCN":null,"PMCID":null,"EPubDate":"","PubModel":"","JCR":"Q3","JCRName":"MEDICINE, GENERAL & INTERNAL","Score":null,"Total":0}
引用次数: 0

摘要

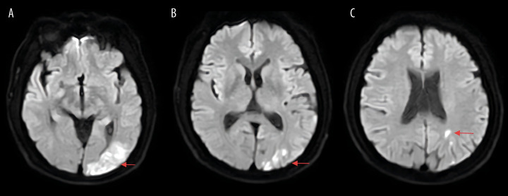
传统的临床认识认为,静脉血栓形成通常发生在创伤后几天。然而,我们的研究结果表明,急性血栓形成可在膝关节创伤病例骨折后7.5小时内开始,挑战了现有的范式。病例报告:一名43岁男性在发生电动自行车事故后,因急性头晕伴视力障碍而入院急诊。最初的x线评估证实了右侧胫骨近端粉碎性骨折并伴有多发性急性缺血性脑梗死。在急诊科进行的压缩超声检查显示没有下肢深静脉血栓形成的证据。然而,d -二聚体水平显著升高(9.39 mg/L
本文章由计算机程序翻译,如有差异,请以英文原文为准。

Rapid-Onset Venous Thrombosis After Tibia Fracture: A Case Report.

Rapid-Onset Venous Thrombosis After Tibia Fracture: A Case Report.

Rapid-Onset Venous Thrombosis After Tibia Fracture: A Case Report.

Rapid-Onset Venous Thrombosis After Tibia Fracture: A Case Report.

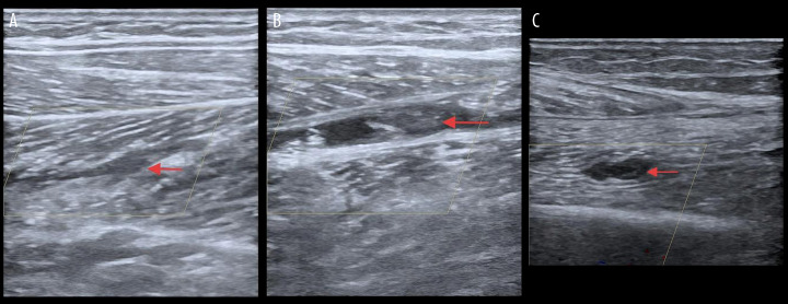
BACKGROUND Conventional clinical understanding holds that venous thrombus formation typically occurs days after traumatic injury. However, our findings demonstrate that acute thrombosis can begin within 7.5 hours after fracture in knee trauma cases, challenging existing paradigms. CASE REPORT A 43-year-old man was admitted to the Emergency Department (ED) after an electric bicycle accident precipitated by acute-onset dizziness accompanied by visual disturbances. Initial radiographic evaluation confirmed a comminuted right proximal tibia fracture with concomitant multiple acute ischemic cerebral infarctions on neuroimaging. Compression ultrasonography performed in the ED showed no evidence of deep venous thrombosis in the lower extremities. However, markedly elevated D-dimer levels (9.39 mg/L; reference <0.5 mg/L) prompted high clinical suspicion for occult venous thromboembolism. Serial Doppler ultrasound surveillance revealed the rapid development of a free-floating thrombus in the right soleal vein within 7.5 hours after the fracture occurred. CONCLUSIONS This case report documents the exceptionally rapid development of venous thrombosis within 7.5 hours following a proximal tibia fracture, particularly in high-risk patients with comorbid conditions such as diabetes mellitus and ischemic stroke. These findings necessitate immediate reassessment of current thromboprophylaxis protocols in orthopedic trauma, emphasizing the critical importance of early and frequent vascular monitoring (including serial Doppler ultrasonography and D-dimer assessment) to detect hyperacute thrombus formation. Clinicians must maintain heightened awareness of this emergency thromboembolic risk while simultaneously managing hemorrhage concerns, as this case demonstrates that the traditional 24-hour prophylaxis window may be inadequate for certain high-risk trauma populations.

求助全文
通过发布文献求助,成功后即可免费获取论文全文。 去求助
来源期刊
American Journal of Case Reports
American Journal of Case Reports Medicine-Medicine (all)
CiteScore
1.80
自引率
0.00%
发文量
599
期刊介绍: American Journal of Case Reports is an international, peer-reviewed scientific journal that publishes single and series case reports in all medical fields. American Journal of Case Reports is issued on a continuous basis as a primary electronic journal. Print copies of a single article or a set of articles can be ordered on demand.
×
引用
GB/T 7714-2015
复制
MLA
复制
APA
复制
导出至
BibTeX EndNote RefMan NoteFirst NoteExpress
×
提示
您的信息不完整,为了账户安全,请先补充。
现在去补充
×
提示
您因"违规操作"
具体请查看互助需知
我知道了
×
提示
确定
请完成安全验证×
copy
已复制链接
快去分享给好友吧!
我知道了
右上角分享
点击右上角分享
0
联系我们:info@booksci.cn Book学术提供免费学术资源搜索服务,方便国内外学者检索中英文文献。致力于提供最便捷和优质的服务体验。 Copyright © 2023 布克学术 All rights reserved.
京ICP备2023020795号-1
ghs 京公网安备 11010802042870号
Book学术文献互助
Book学术文献互助群
群 号:604180095
Book学术官方微信