免疫检查点抑制剂在黑色素瘤治疗中诱导胰腺炎症:一例报告。

IF 0.7 Q3 MEDICINE, GENERAL & INTERNAL
Abdo I El Tawil, Beatriz A Mendes, Leandro A F Machoski, Micheli F Domingos, Noelle S Wassano, Sérgio O Ioshii, Eduardo J B Ramos
{"title":"免疫检查点抑制剂在黑色素瘤治疗中诱导胰腺炎症:一例报告。","authors":"Abdo I El Tawil, Beatriz A Mendes, Leandro A F Machoski, Micheli F Domingos, Noelle S Wassano, Sérgio O Ioshii, Eduardo J B Ramos","doi":"10.12659/AJCR.948580","DOIUrl":null,"url":null,"abstract":"<p><p>BACKGROUND Immunotherapy has seen an exponential increase recently, as has the study of its associated adverse effects. Although a wide range of reactions to immunotherapy has been described, reports of immune-mediated focal pancreatitis remain rare. Autoimmune pancreatitis related to immune checkpoint inhibitors occurs because of the hyperactivation of T lymphocytes, which act against pancreatic cells, causing inflammation. CASE REPORT This case report describes a previously healthy 41-year-old man with a diagnosis of metastatic melanoma with inguinal lymph node metastasis. The patient underwent 1 year of adjuvant treatment with nivolumab and had excellent tolerance. After a 1-year suspension of this treatment, nodal and peritoneal recurrence occurred, leading to the initiation of combined therapy with ipilimumab and nivolumab, followed by maintenance nivolumab, resulting in a complete response. After 10 cycles of nivolumab, PET-CT and MRI identified a lesion in the head of the pancreas, which was suspected to be a primary neoplasm. The patient was asymptomatic, with normal tumor markers and elevated amylase and lipase levels. An endoscopic ultrasound-guided biopsy was performed to rule out primary pancreatic cancer, revealing moderately active chronic inflammation associated with immunotherapy. Nivolumab treatment was interrupted for 2 weeks, during which pancreatic enzyme levels improved. Treatment was resumed thereafter. The patient continued with monthly nivolumab applications, maintaining a complete response. without changes in imaging or laboratory test results. CONCLUSIONS This case is atypical for autoimmune pancreatitis owing to the absence of corticosteroid intervention, self-limiting nature of inflammation, and lack of inflammatory recurrence despite the continued use of immunotherapy.</p>","PeriodicalId":39064,"journal":{"name":"American Journal of Case Reports","volume":"26 ","pages":"e948580"},"PeriodicalIF":0.7000,"publicationDate":"2025-08-28","publicationTypes":"Journal Article","fieldsOfStudy":null,"isOpenAccess":false,"openAccessPdf":"https://www.ncbi.nlm.nih.gov/pmc/articles/PMC12404001/pdf/","citationCount":"0","resultStr":"{\"title\":\"Pancreatic Inflammation Induced by Immune Checkpoint Inhibitors in Melanoma Treatment: A Case Report.\",\"authors\":\"Abdo I El Tawil, Beatriz A Mendes, Leandro A F Machoski, Micheli F Domingos, Noelle S Wassano, Sérgio O Ioshii, Eduardo J B Ramos\",\"doi\":\"10.12659/AJCR.948580\",\"DOIUrl\":null,\"url\":null,\"abstract\":\"<p><p>BACKGROUND Immunotherapy has seen an exponential increase recently, as has the study of its associated adverse effects. Although a wide range of reactions to immunotherapy has been described, reports of immune-mediated focal pancreatitis remain rare. Autoimmune pancreatitis related to immune checkpoint inhibitors occurs because of the hyperactivation of T lymphocytes, which act against pancreatic cells, causing inflammation. CASE REPORT This case report describes a previously healthy 41-year-old man with a diagnosis of metastatic melanoma with inguinal lymph node metastasis. The patient underwent 1 year of adjuvant treatment with nivolumab and had excellent tolerance. After a 1-year suspension of this treatment, nodal and peritoneal recurrence occurred, leading to the initiation of combined therapy with ipilimumab and nivolumab, followed by maintenance nivolumab, resulting in a complete response. After 10 cycles of nivolumab, PET-CT and MRI identified a lesion in the head of the pancreas, which was suspected to be a primary neoplasm. The patient was asymptomatic, with normal tumor markers and elevated amylase and lipase levels. An endoscopic ultrasound-guided biopsy was performed to rule out primary pancreatic cancer, revealing moderately active chronic inflammation associated with immunotherapy. Nivolumab treatment was interrupted for 2 weeks, during which pancreatic enzyme levels improved. Treatment was resumed thereafter. The patient continued with monthly nivolumab applications, maintaining a complete response. without changes in imaging or laboratory test results. CONCLUSIONS This case is atypical for autoimmune pancreatitis owing to the absence of corticosteroid intervention, self-limiting nature of inflammation, and lack of inflammatory recurrence despite the continued use of immunotherapy.</p>\",\"PeriodicalId\":39064,\"journal\":{\"name\":\"American Journal of Case Reports\",\"volume\":\"26 \",\"pages\":\"e948580\"},\"PeriodicalIF\":0.7000,\"publicationDate\":\"2025-08-28\",\"publicationTypes\":\"Journal Article\",\"fieldsOfStudy\":null,\"isOpenAccess\":false,\"openAccessPdf\":\"https://www.ncbi.nlm.nih.gov/pmc/articles/PMC12404001/pdf/\",\"citationCount\":\"0\",\"resultStr\":null,\"platform\":\"Semanticscholar\",\"paperid\":null,\"PeriodicalName\":\"American Journal of Case Reports\",\"FirstCategoryId\":\"1085\",\"ListUrlMain\":\"https://doi.org/10.12659/AJCR.948580\",\"RegionNum\":0,\"RegionCategory\":null,\"ArticlePicture\":[],\"TitleCN\":null,\"AbstractTextCN\":null,\"PMCID\":null,\"EPubDate\":\"\",\"PubModel\":\"\",\"JCR\":\"Q3\",\"JCRName\":\"MEDICINE, GENERAL & INTERNAL\",\"Score\":null,\"Total\":0}","platform":"Semanticscholar","paperid":null,"PeriodicalName":"American Journal of Case Reports","FirstCategoryId":"1085","ListUrlMain":"https://doi.org/10.12659/AJCR.948580","RegionNum":0,"RegionCategory":null,"ArticlePicture":[],"TitleCN":null,"AbstractTextCN":null,"PMCID":null,"EPubDate":"","PubModel":"","JCR":"Q3","JCRName":"MEDICINE, GENERAL & INTERNAL","Score":null,"Total":0}
引用次数: 0

摘要

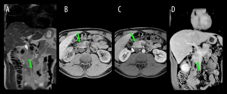
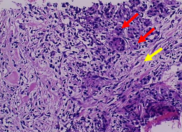
免疫疗法近年来呈指数增长,其相关副作用的研究也呈指数增长。尽管对免疫治疗的广泛反应已被描述,但免疫介导的局灶性胰腺炎的报道仍然很少。与免疫检查点抑制剂相关的自身免疫性胰腺炎发生的原因是T淋巴细胞的过度活化,T淋巴细胞对胰腺细胞起作用,引起炎症。病例报告:本病例报告描述了一位先前健康的41岁男性,诊断为转移性黑色素瘤伴腹股沟淋巴结转移。患者接受了1年的纳武单抗辅助治疗,并具有良好的耐受性。该治疗暂停1年后,淋巴结和腹膜复发发生,导致开始伊匹单抗和纳武单抗联合治疗,随后维持纳武单抗,导致完全缓解。经过10个疗程的纳武单抗治疗后,PET-CT和MRI发现胰腺头部病变,怀疑为原发性肿瘤。患者无症状,肿瘤标志物正常,淀粉酶和脂肪酶水平升高。内镜下超声引导活检排除原发性胰腺癌,发现与免疫治疗相关的中度活动性慢性炎症。尼武单抗治疗中断2周,期间胰酶水平改善。此后恢复治疗。患者继续每月应用纳武单抗,保持完全缓解。成像或实验室检查结果无变化。结论:由于缺乏皮质类固醇干预,炎症的自限性,尽管继续使用免疫治疗,但缺乏炎症复发,该病例是非典型的自身免疫性胰腺炎。
本文章由计算机程序翻译,如有差异,请以英文原文为准。

Pancreatic Inflammation Induced by Immune Checkpoint Inhibitors in Melanoma Treatment: A Case Report.

Pancreatic Inflammation Induced by Immune Checkpoint Inhibitors in Melanoma Treatment: A Case Report.

Pancreatic Inflammation Induced by Immune Checkpoint Inhibitors in Melanoma Treatment: A Case Report.

Pancreatic Inflammation Induced by Immune Checkpoint Inhibitors in Melanoma Treatment: A Case Report.

BACKGROUND Immunotherapy has seen an exponential increase recently, as has the study of its associated adverse effects. Although a wide range of reactions to immunotherapy has been described, reports of immune-mediated focal pancreatitis remain rare. Autoimmune pancreatitis related to immune checkpoint inhibitors occurs because of the hyperactivation of T lymphocytes, which act against pancreatic cells, causing inflammation. CASE REPORT This case report describes a previously healthy 41-year-old man with a diagnosis of metastatic melanoma with inguinal lymph node metastasis. The patient underwent 1 year of adjuvant treatment with nivolumab and had excellent tolerance. After a 1-year suspension of this treatment, nodal and peritoneal recurrence occurred, leading to the initiation of combined therapy with ipilimumab and nivolumab, followed by maintenance nivolumab, resulting in a complete response. After 10 cycles of nivolumab, PET-CT and MRI identified a lesion in the head of the pancreas, which was suspected to be a primary neoplasm. The patient was asymptomatic, with normal tumor markers and elevated amylase and lipase levels. An endoscopic ultrasound-guided biopsy was performed to rule out primary pancreatic cancer, revealing moderately active chronic inflammation associated with immunotherapy. Nivolumab treatment was interrupted for 2 weeks, during which pancreatic enzyme levels improved. Treatment was resumed thereafter. The patient continued with monthly nivolumab applications, maintaining a complete response. without changes in imaging or laboratory test results. CONCLUSIONS This case is atypical for autoimmune pancreatitis owing to the absence of corticosteroid intervention, self-limiting nature of inflammation, and lack of inflammatory recurrence despite the continued use of immunotherapy.

求助全文
通过发布文献求助,成功后即可免费获取论文全文。 去求助
来源期刊
American Journal of Case Reports
American Journal of Case Reports Medicine-Medicine (all)
CiteScore
1.80
自引率
0.00%
发文量
599
期刊介绍: American Journal of Case Reports is an international, peer-reviewed scientific journal that publishes single and series case reports in all medical fields. American Journal of Case Reports is issued on a continuous basis as a primary electronic journal. Print copies of a single article or a set of articles can be ordered on demand.
×
引用
GB/T 7714-2015
复制
MLA
复制
APA
复制
导出至
BibTeX EndNote RefMan NoteFirst NoteExpress
×
提示
您的信息不完整,为了账户安全,请先补充。
现在去补充
×
提示
您因"违规操作"
具体请查看互助需知
我知道了
×
提示
确定
请完成安全验证×
copy
已复制链接
快去分享给好友吧!
我知道了
右上角分享
点击右上角分享
0
联系我们:info@booksci.cn Book学术提供免费学术资源搜索服务,方便国内外学者检索中英文文献。致力于提供最便捷和优质的服务体验。 Copyright © 2023 布克学术 All rights reserved.
京ICP备2023020795号-1
ghs 京公网安备 11010802042870号
Book学术文献互助
Book学术文献互助群
群 号:604180095
Book学术官方微信